Это в самом деле удивительно. Верховодящий стоматологический орган нашей страны, солнцелико-бородатая СТАР даёт статистику чуть ли не в 60-80% случаев перикоронита при прорезывании нижних зубов мудрости. При этом результаты беглого поиска по интернету ограничиваются мультиками, компьютерными картинками и прочими детскими рисунками, сопровождаемыми такими же детскими объяснениями.
В свое время я написал несколько статей, где затронул тему перекоронита. Одна из них получилась очень удачной, поэтому была неоднократно спижжена разными нехорошими людьми:
А вообще, воровать — нехорошо. Каким бы хорошим ни был специалист — как только он начинает пиздить чужие статьи и выдавать чужие работы за свои, — он мгновенно обнуляет все свои профессиональные достоинства и человеческие качества. Я с такими «специалистами» сталкивался. Одного даже знаю лично. К сожалению.
Сегодня я расскажу тебе о перикороните, заболевании, часто связываемым с затрудненным прорезыванием зубов. Причем, не только восьмерок, но и вообще, любых зубов.
Для начала, я внесу ясность в некоторые формулировки:
1. «Перикоронарит» и «перикоронит» — это одно и то же. «Перикоронит» считается более современным термином. В частности, именно его использует англоязычная литература. Испанцы и итальянцы используют термин pericоrоnaritis, что ближе к латыни, из которой, собственно, берут название все болезни. То есть, с точки зрения исторической терминологии термин «перикоронарит» является более корректным названием, но англосаксы, как обычно, всё испортили. Далее я буду использовать англосаксонский pericoronitis, да простят меня Гиппотрах, Филипп Ауреол Теофраст Бомбаст фон Гогенгейм и Али Ибн Сина.
2. Перикоронит вовсе не означает «затрудненное прорезывание» зуба мудрости. Если рассуждать здраво, то «затрудненное прорезывание» — это либо прорезывание зуба не в том направлении (аномалия положения) , либо задержка прорезывания и «застревание» зуба в челюсти. То, что мы называем «ретенцией» или «частичной ретенцией».
3. Перикоронит может возникнуть уже после частичного прорезывания зуба, а иногда — даже при нормальном прорезывании зуба. Причем, абсолютно любого зуба, не обязательно зуба мудрости.
4. С точки зрения нозологии перикоронит представляет собой локальный инфекционно-воспалительный процесс и является разновидностью местного гингивита, в этиологии и патогенезе которого основную роль играет микрофлора полости рта. Как и в случае с любыми заболеваниями краевого периодонта, первопричинами перикоронита являются прикус и гигиена полости рта. И скоро ты узнаешь, почему.
Говоря о перикороните, мы далеко не всегда подразумеваем проблему зубов мудрости, равно как и «затрудненное прорезывание зубов мудрости» далеко не всегда сопровождается развитием перикоронита. Мы сталкивались с перикоронитом в области вторых и первых моляров, даже в области премоляров — и симптоматически он также неприятен, как и на зубах мудрости.
Но перикоронит в области зубов мудрости мы встречаем значительно чаще. И вот, почему.
Причина 1. Спасибо за наше «мягкое» детство.
Ооооо!!!! Сколько мы об этом писали! Я сжег не одну компьютерную клавиатуру, а Андрей Дашков извел, несколько упаковок карандашей и целую пачку бумаги «Снегурочка». Просто посмотри информацию по хэштегам «зубы мудрости» или «удаление зубов мудрости» на любом из наших сайтов (2026.implant-in.com, ЖЖ и т. д.) — больше нас про восьмерки точно никто не пишет.
Для тебя не будет открытием, что из-за изменения образа жизни и характера употребляемой пищи, появления новых машин и технологий, популяция людей меняется — и не всегда в лучшую сторону. Если раньше по Некрасову «есть женщины в русских селеньях… коня на скаку остановит, в горящую избу войдёт…», то сейчас Николая Алексеевича сильно удивили бы бородатые мужики, пьющие ванильный смузи с глютенфри-маффинами в процессе маникюра и депиляции интимных зон в бьюти-салоне где-нибудь рядом с фешн-гламур-клубом «Дровосекс».
Проще говоря, наш рацион питания (причем, с самого раннего и самого важного для здоровья зубов возраста — с детства) стал настолько бестолковым, что сейчас ты редко встретишь ребенка, который с удовольствием грыз бы морковку или редиску. А если мамочка дает дитятку яблочко, то обязательно порежет его на мелкие кусочки и снимет кожицу, чтобы дитятку было удобнее… А еще все эти коктейли, готовые пюре, соки в бутылочках и прочая дрянь…
Родители совершенно забывают о том, что активное жевание и работа зубочелюстного аппарата являются главными стимуляторами роста челюстей и способствуют своевременной смене и прорезыванию зубов.
Раньше, еще до появления секты свидетелей кролика «Нестле» мясных паровых фрикаделек на пару, и сосисок «Как у папы может», дети грызли поднятое с земли зеленые недозрелые червивые яблоки, тем самым повышали свой иммунитет, обзаводились глистами и прочими кишечными тамагочами. Если яблоки были спижжены из соседского сада, то бонусом шли смекалка, умение маскироваться и бег с препятствиями. Но самое главное — такая диета стимулировала рост челюстей, формирование жевательного аппарата и прорезывание зубов. Своевременную смену и прорезывание зубов.
И ведь вспомни, — в нашем с тобой возрасте мы удаляли молочные зубы сами, а не ходили к стоматологу, чтобы нам под «укусиком комарика» и с «душистой ксеноновой маской» удалили зубы, которые должны были резорбироваться и выпасть ЕСТЕСТВЕННЫМ путём! А сейчас такая картина — сплошь и рядом. Виной тому — отсутствие в рационе детей грязной морковки и червивых яблок, мягкий рацион, который не может простимулировать развитие зубочелюстной системы.
Мягкая, полупереваренная, переконсервированная, полухимическая и адаптированная еда, педиатры-любители, провозгласившие своим девизом «всё мягкое — детям», родители, которые, после чтения мамкиных форумов и пабликов, думают, что лучше стоматологов, разбираются в детских зубах, привели к тому, что:
— сегодня большинство молочных зубов удаляют раньше срока по причине, не связанной с резорбцией корней — просто дети жрут всё подряд и не умеют (или не хотят) чистить зубы. Утрата молочных зубов не по возрасту — это одна из главных причин того, что челюстной аппарат развивается не так, как надо, а именно — в нём начинает не хватать места для постоянных зубов. С предсказуемыми последствиями — патологией прикуса.
— мы наблюдаем сильные задержки со сменой прикуса. Если раньше слегка подвижный молочный зуб был поводом для первого в жизни ребенка эксперимента: его нужно было как следует расшатать, затем привязать леской к велосипеду, затем бежать за велосипедом десять километров, чтобы от усталости упасть и «вырвать» его нафиг. Сейчас минимально подвижный подвижный зуб — это повод обращения к хирургу-стоматологу, ксеноновой маске, «комарику» и… приглашения зубной феи. Ежу понятно, что если зуб выпал не сам, а его вытащила огромная бородатая армянская зубная фея с партаками по всему телу — это никак не способствует нормальному и равномерному росту челюсти. Да и вообще, это больше травмирует психику ребенка, чем десятикилометровый забег за велосипедом с привязанным леской зубом.
И вот, мы получаем целое поколение детишек с зубочелюстными аномалиями и необходимостью исправлять прикус чуть ли не с дошкольного возраста. Ортодонты, конечно, рады, откладывают деньги на новый красненький Haval. Но дети! Нет ничего приятного в том, чтобы с 5-6 летнего возраста носить/ломать/ремонтировать/терять/потом снова носить ортодонтическую пластинку, которую еще нужно регулярно подкручивать. Она, конечно, красивая, с блестками и Тони Старком, но портит дикцию, снижает социализацию. А еще иногда воняет, если за ней не ухаживать.
Причина 2. Дорогу мудрости!
Так уж получилось, что третьи моляры (или зубы мудрости), потому и называются «мудрыми», что прорезаются последними. Представим ребенка, который, благодаря заботе со стороны родителей, внимательных и очень «продвинутых» педиатров и стоматологов, таки, обрел недоразвитые по размерам челюсти. Ну ок, большинству зубов места хватает — и нередко с прорезыванием постоянных зубов, вплоть до вторых моляров, нет никаких проблем. Но вот, семерки вылезли, место в челюсти закончилось… а зачатки третьих моляров, ваших нелюбимых восьмерок, никуда не делись. Далее есть три варианта развития событий:
Кстати, забавный факт. В школьных учебниках девяностых годов прямо указывалось, что зубы мудрости появляются далеко не у всех пациентов: книга авторитетно указывала, что у трети людей есть только два зуба мудрости, а у половины их нет вообще! Сейчас, благодаря распространению рентгенологических методов диагностики, в особенности ортопантомографии, мы знаем, что отсутствие зубов мудрости - это большая редкость и повод купить лотерейный билетик.
Проще говоря, причиной ретенции (непрорезывания), аномального положения или полупрорезывания зубов мудрости является недостаток места, вызванный недоразвитием зубочелюстного аппарата или несоразмерным зубным рядом
Логично предположить, что подобные состояния — это первый звоночек того, что пациенту требуется консультация ортодонта. Поскольку даже оставшийся в челюстной кости зуб мудрости, не говоря уже о его зачатке, не оставляет попыток что-то испортить. В частности, формирующаяся корневая система «толкает» весь зубной ряд вперед, вызывая его деформацию:
То же самое происходит из-за роста фолликула вокруг коронковой части восьмерки. В зависимости от условий, это может привести всё к той же деформации зубного ряда, смещению семерок, шестерок и т. д., вплоть до резцов, вперед и к центру. Либо наоборот, «выталкиванию» самого зуба назад с формированием т. н. «фолликулярной кисты»:
с которыми мы в последнее время весьма часто сталкиваемся. Нет, их не стало больше. Просто раньше с любой подобной проблемой (даже с простым по удалению зубом мудрости) коллеги сразу отправляли в ЧЛХ, где пациента вынуждали записаться в очередь, сдать кучу анализов, госпитализироваться, а потом кромсали его аки баранью башку, попутно предлагая «новаторские» методы лечения и защищая эти свои диссертации. Но однажды умные люди, прочитав наши статьи поняли, что проще обратиться в уютную Клинику ИН, где все процедуры по решению подобной проблемы занимают не более часа, не требуют наркоза и госпитализации с этой вашей внутрибольничной инфекцией. И что экспериментов над ними уж точно никто ставить не будет. Сейчас мы проводим, как минимум, одну подобную операцию в месяц, что для такой скромной и небольшой клиники, вроде нашей, прям дофига.
И прежде, чем мы вернемся к теме заголовка, я возьму на себя смелость дать тебе несколько рекомендаций о том, как не превращать восьмерки в серьезную проблему.
1. Наконец, возьми за правило, что стоматолог — это тот самый доктор, который сопровождает человека всю жизнь, с момента появления молочных зубов, а иногда и с более раннего возраста. Фразы, типа «еще нет постоянных зубов», «успеем!», «не беспокоит же!» приведут тебя или твоего ребенка не только к стоматологу-терапевту, но и к протезисту, ортодонту и, не дай Б-г, к челюстно-лицевому хирургу.
2. Профилактические осмотры — наше всё. Точнее — это твоё всё. Минздрав всё время докладывает о росте смертности от сердечно-сосудистых заболеваний — и можно сколько угодно трындеть про вредные привычки, плохую работу/еду/экологию… но главная причина заключается в том, что люди положили болт на ежегодную диспансеризацию и посещение кардиолога после пятидесяти. С онкозаболеваниями — та же история. «А вдруг что-нибудь найдут?» — тревожно говорит какая-нибудь тётя и обходит стороной кабинет маммографии. А ведь если бы не прошла мимо — возможно, что-нибудь нашли, вовремя вылечили, и чья-то мама или бабушка сейчас была бы жива?
В стоматологии та же история. Мы не зря требуем от вас приходить к нам в гости раз в полгода даже тогда, когда вас ничего не беспокоит. Нет, мы не будем изо всех сил затаскивать тебя в кресло, искать «несуществующие» болезни, и перепиливать старые пломбы со словами: «Ну, она стрёёёёмная…».НЕТ! Вместо этого мы сделаем тебе нужный рентгеновский снимок, сравним его с предыдущим (всё познается в сравнении), проведем профессиональную гигиену полости рта, проверим качество пломб, коронок, протезов и имплантатов, все полученные данные зафиксируем в карте и нашей базе данных. Если всё нормально, если нет никаких проблем, угрожающих твоему стоматологическому здоровью — да, давай, до-свидания, увидимся через полгода-год!
3. Ну, а если проблема (с теми же восьмерками) обнаружена на стадии зачатка или полусформированного зуба — не нужно ждать, что она рассосется сама собой. Законы биологии лишь немногим отличаются от законов физики — мы точно знаем результат, просто не можем предсказать время его наступления.. Поэтому никогда не оставляй решение «на потом», не надейся, что «само пройдет». Чем раньше ты обнаружишь и осознаешь стоматологическую проблему, тем проще будет её решить и тем меньше осложнений и рисков она создаст.
В общем, запомни это. Запиши где-нибудь. Соблюдай. И тогда стоматология станет для тебя практически бесплатной.
Что нужно, чтобы случился перикоронит?
В начале статьи я отметил, два пункта:
— Перикоронит является разновидностью местного гингивита, т. е. это проблема десны, а не зуба. Точнее, проблема взаиморасположения десны и зуба. А еще — проблема гигиены.
— Перикоронит может развиться не только около зубов мудрости, и не только на стадии их прорезывания. Поэтому придуманный синоним «затрудненное прорезывание зубов мудрости», как минимум, некорректный.
Следовательно, для получения и развития перикоронарита нам необходим ряд условий:
1. Устойчивый ретенционный пункт, полость, карман или что-то такое, где бы скапливался зубной налет и развивалась бы в тепличных условиях микрофлора полости рта.
2. Этот самый зубной налет и эта самая микрофлора полости рта.
3. Плохие навыки индивидуальной гигиены полости рта, когда человек чистит не в состоянии почистить больше шести передних зубов (причем, только с одной стороны), а также низкий уровень санитарно-гигиенического образования и вера в волшебные палочки из мисвака.
4. Какие-то анатомо-физиологические условия, из-за которых невозможна тщательная гигиена полости рта (например, плохое открывание рта, сильно выраженный рвотный рефлекс, большой язык и т. д.)
Рассуждая, в каком участке зубного ряда высока вероятность развития всех этих условий, ты с удивлением заметишь. что это… как раз область зубов мудрости.
Ну, смотри сам:
Иными словами, перикоронит может случиться в области любого из зубов, но по стечению обстоятельств, чаще всего случается в области зубов мудрости. Тут я особо подчеркну, что
развитие перикоронита отнюдь не всегда связано с их прорезыванием и нередко происходит уже после него.
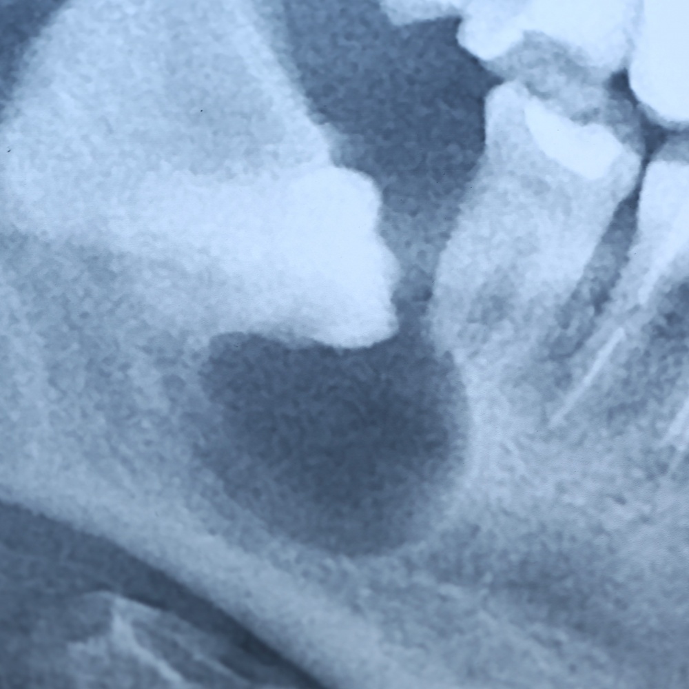
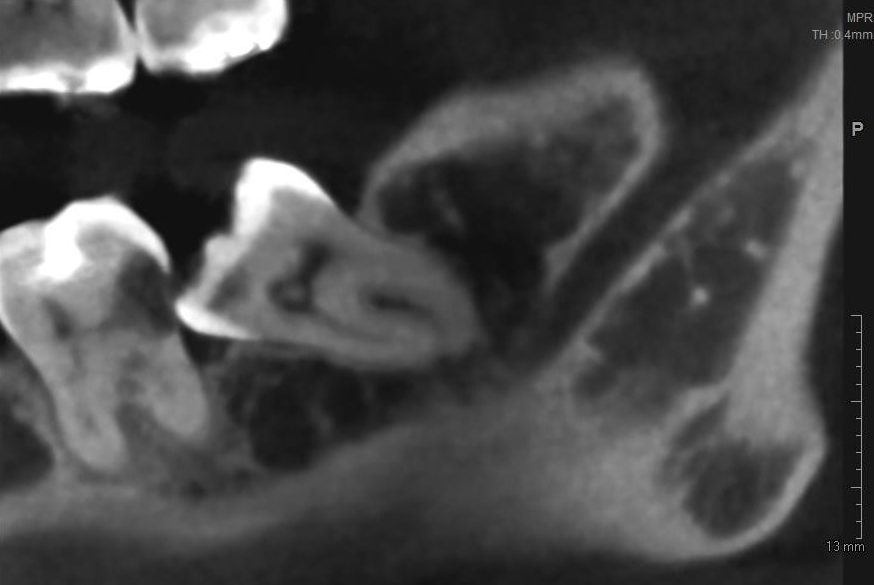
Как на картинке ниже: вроде, восьмерка прорезалась давно, но в окклюзионный контакт в антагонистом не вошла. Из-за этого остался десневой капюшон над коронковой частью, усугубленный костным карманом за зубом мудрости. В таких условиях перикоронит случится обязательно — мы только не можем сказать, когда именно.
Поскольку сам человек не в состоянии «промыть» образовавшуюся полость, да и само «промывание» обладает лишь кратковременным эффектом, инфекционно-воспалительный процесс распространяется далее, причиняет дискомфорт пациенту и представляет существенную угрозу для жизни и здоровья.
Да-да, всё верно — «угроза жизни и здоровья». Если мы обратимся к статистике и изучим причины гнойной-воспалительных осложнений и связанных с ними летальных исходов в стоматологической практике, то на первом месте с большим отрывом будут проблемы с зубами мудрости.
Если хочешь проблем — спроси меня как!
Если ты действительно хочешь по полной огрести от своих бестолковых восьмерок, полежать в отделении ЧЛХ, словить флегмону, абсцесс или даже сепсис, получить в итоге эпитафию на камне «Ну почему я не слушал Васильева?», то твоими действиями должны быть:
— фраза «Да хуй с ним, само пройдет! У соседа же прошло!»
— обращение к таежному/степному/пустынному/ближайшему шаману, который вырежет из мыла зуб-вуду, воткнет в него несколько иголок и пообещает на костях предков, что завтра всё пройдёт.
— обращение к гомеопату, который направит тебя в «Эвалар», где стопудово найдутся специальные гомеопатические таблетки «от прорезывания зубов мудрости». Разумеется, за 100500 рублей.
— изучение интернет-форумов и пабликов, где тебе посоветуют мазать область воспаления «Метрогилом Дента», «Солкосерилом», «Асептой», настойкой прополиса, экстрактом говна мухи це-це, а также прикладывать неодимовый магнит (штоб зуб начал расти в нужном направлении), печеную луковицу или мошонку чихуахуа (если есть). Если ты случайно перепутаешь форум, то можешь наткнуться на более извращенные предложения по лечению перикоронита, рассказать о которых мне не позволяет воспитание.
— наговор: «У собачки — боли, у кошечки — боли, а у меня, такого умного и красивого — не боли!». К сожалению, не помогает. Проверял на себе.
Отдельно замечу, что есть небольшая вероятность того, что предложенные советы тебе помогут. Но ненадолго. И не всегда.
И в случае, если что-то пойдет не так, например, мошонка чихуахуа окажется слишком уж горячей, то тебе срочно нужно придумать девиз. Чтобы четко смотрелся на камне:
Поэтому не торопись сам себя лечить. Как минимум, дочитай эту статью до конца. Самое интересное — в конце. Это же давно известно.
Как мы лечим перикоронит?
Собственно, мы лечим его так, как нужно его лечить.
Прежде, чем рассказать тебе об алгоритме лечения перикоронита, я решил заглянуть в клинические рекомендации (протоколы лечения) СТАР по заболеванию «перикоронит», утвержденные Постановлением СТАР №11 от 26 сентября 2017 года — а вдруг там написано что-то ценное и полезное, и мне вообще не стоит утруждаться? Ожидаемо, я нашел там хуету. Если ты будешь лечить перикоронит по этим самым рекомендациям — ты будешь лечить его долго, мучительно для себя и пациента, и с неясным исходом. Как в обычной городской стоматологической поликлинике или ОЧЛХ, где они являются обязательными для исполнения. Хотя, клинические рекомендации потому и называются «рекомендациями», что допускают отступления во имя упрощения, удешевления, улучшения качества жизни и здоровья пациента. Об этих отступлениях мы и поговорим далее.
Всё это делается в один приём, без необходимости растягивать удовольствие на пару недель диагностики, обследования и госпитализации.
1. Обратись к стоматологу-хирургу.
Как я обычно в таких случаях подчеркиваю, обратись к КОМПЕТЕТНОМУ стоматологу-хирургу. Скромно могу предложить тебе посетить нашу Уютную Клинику ИН, где каждый день работают врачи всех специальностей, а по острому состоянию тебя примут вне очереди.
2. Реши вопрос, насколько ценным является зуб, спровоцировавший воспаление, и на самом ли деле он является его причиной.
Для этого, помимо консультации хирурга-стоматолога, тебе потребуется:
— ортопантомография или, что лучше, конусно-лучевая компьютерная томография. По данным рентгенологического обследования можно определить стадию формирования зуба, направление его движения, отношение к прилежащим структурам, соседним зубам, а также форму и размер образовавшейся под капюшоном полости.
— консультация ортодонта. Если стоматолог-ортодонт после соответствующей диагностики говорит о патологии прикуса, о развивающейся зубочелюстной аномалии и недостатке места для прорезывания третьего моляра…. решение напрашивается сам собой.
3. Исходя из ранее полученных данных, прими решение о тактике лечения.
Сожалею, но выбор решений ограничен. Существенно ограничен:
Иссечение воспаленной десны над зубом (того самого «капюшона), с последующей обработкой и дренажем образовавшейся раны.
Такая тактика оправдана в случае, если:
— по данным рентгенодиагностики (КЛКТ или ортопантомограммы) зуб находится в стадии прорезывания (верхушки корней не сформированы), ось прорезывания зуба имеет более-менее правильное направление, его коронковая часть не повреждена кариесом.
— врач-ортодонт подтверждает, что для прорезывания третьего моляра есть необходимое пространство (хватит места в зубном ряду), нет патологии прикуса и признаков развивающейся зубочелюстной аномалии.
— подобное состояние (перикоронит) у тебя впервые, и ты раньше никогда с ним не сталкивался.
— тебе не больше 20 лет.
При совпадении всех четырех условий, КОМПЕТЕНТНЫЙ хирург-стоматолог с помощью скальпеля иссечет десну над коронковой частью прорезывающегося зуба, остановит кровотечение, дренирует образовавшуюся рану, сделает послеоперационные назначения (как правило, они включают в себя антибактериальную и противовоспалительную терапию, а также уход за областью послеоперационной раны) и запишет тебя на послеоперационные осмотры, которые ни в коем случае нельзя игнорировать.
Если всё норм, и показания к хирургическому вмешательству ты и врач определили правильно — твой злосчастный зуб прорежется и займет своё место в зубном ряду. Тебе лишь останется за ним ухаживать, периодически показываясь стоматологу на профилактических осмотрах.
См. также: Когда НЕ НУЖНО удалять зубы мудрости.
Однако, даже такое лечение перикоронита вовсе не гарантирует благоприятный исход в долгосрочной перспективе. Иными словами, ты должен быть готов к тому, что рано или поздно твой зуб мудрости, с которым ты пережил аж целую хирургическую операцию и последующие постоперационные страдания, придётся удалить.
Поэтому чаще, намного чаще, мы прибегаем к более радикальному, но зато более правильному варианту лечения перикоронита.
Удаление зуба, спровоцировавшего перикоронит. Наиболее вероятная в твоем случае тактика лечения
Так вот,
— если зуб, спровоцировавший перикоронит — это зуб мудрости, третий моляр или восьмерка.
— если подобное состояние у тебя не впервые, и ранее ты уже прибегал к «иссечению» десневого капюшона», да еще неоднократно.
— если по данным рентгенологической диагностики причинный зуб имеет сформированную корневую систему, зуб явно уже не прорезывается или, что хуже — упирается коронковой частью в наружную косую линию, соседний зуб или куда-нибудь еще
— если врач-ортодонт после обследования говорит, что в твоем зубном ряду нет места для восьмерок, да еще настоятельно рекомендует тебе исправление прикуса
— если ты старше 20 лет
— если из-за слабо развитой мелкой моторики, выраженного рвотного рефлекса, да и просто из-за лени ты не можешь нормально ухаживать за дальними участками зубных рядов
— если на видимой части зуба уже есть кариозная полость
— если на соседнем зубе (семерке) есть кариозная полость
— если ты не хочешь возвращаться к этой проблеме через некоторое время,
К слову сказать, что иссечение десневого капюшона над зубом мудрости, что само удаление зуба мудрости занимают одно и то же время, постоперационная симптоматика, назначения и рекомендации практически идентичны, но в одном случае ты, фактически, оставляешь в зубном ряду мину замедленного действия, во втором — кардинально и бескомпромиссно, как и положено нормальному здравомыслящему человеку, решаешь проблему раз и навсегда.
Выбор за тобой.
О том, как удаляются зубы мудрости, чем удаляются, каковы условия удаления и т. д. — просто почитай на нашем сайте. Информации много, не вижу смысла повторяться.
Заключение.
Интересуясь интернет-стоматологией, ты наверняка встречал долбоёбов, предлагающих сохранять зубы мудрости в целях их последующей пересадки (аутотрансплантации) на место отсутствующих. Типа,
«Васильев мудак, что уговаривает вас удалять восьмерки. Он ретроград, ему лишь бы имплантаты ставить. Не удаляйте зубы мудрости ! Вдруг испортится шестерка — так мы вам ваш зуб мудрости на место удаленной шестерки пересадим! Вместо имплантата! Гарантия — 146%!»
Да, действительно, если Васильев в чем-то и мудак — то только в том, что уже год собирается рассказать вам об ущербности метода аутотрансплантации зубов, но до сих пор этого так и не сделал. Безусловно, за это я заслужил звание мудака.
С другой стороны, Васильев занимался аутотрансплантацией зубов тогда, когда большинство фанатов из секты свидетелей Мицухиро Цукибоши сдавали ЕГЭ и выбирали свое будущее, колеблясь между поступлением в сельхозтехникум и МГМСУ. У меня, (как и у всего мирового стоматологического сообщества) были веские причины отказаться от пересадки зубов мудрости в пользу более надежной, практичной и удобной дентальной имплантации.
Как думаете, что это были за причины? Ваши ответы — в комменты!
Спасибо, что дочитали до конца.
С уважением, Станислав Васильев, стоматолог-хирург, Клиника ИН.



























































































































и

После подобных запугиваний, а по-другому я это назвать не могу, многие действительно идут в больничку,
Обследование? Ну, в 































![1[1]](http://2026.implant-in.com/wp-content/uploads/2013/04/11-150x150.jpg)


![IMG_9117[1]](http://2026.implant-in.com/wp-content/uploads/2013/04/IMG_91171-e1454880697995-300x384.jpg)

