Уважаемые друзья, прежде, чем мы приступим к обсуждению сегодняшней темы, я рекомендую вам прочитать несколько вводных статей:
— Факторы успеха остеопластических операций — цикл из пяти статей: Фактор I, Фактор II, Фактор III, Фактор IV, Фактор V.
— Теория остеопластики — основа основ.
ну и, конечно же, старую статью, посвященную синуслифтингу:
— Синуслифтинг: почти все секреты, нюансы и тонкости.
Кстати, эту статью я написал три с половиной года назад и, перечитав её недавно, понял, что неплохо было бы её дополнить новыми секретами, нюансами и тонкостями. В конце концов, все мы растём и развиваемся, меняются наши взгляды, отношение, растут наш опыт, квалификация и другие части тела. Ну и, только мудаки не меняют своего мнения, поэтому пора бы это мнение обновить.
Итак, наша сегодняшняя тема:
как просто и легко сделать синуслифтинг, не мучить своих пациентов и не превращать его в сложную двухчасовую операцию с неизвестным исходом?
Изначально, как и в прошлый раз, я хотел уложить всю информацию в одну статью. Однако, тема оказалась настолько объёмной, что пришлось разбить её на части. Более того, я даже не уверен, сколько частей, в итоге, получится — две, три или четыре. Таки да, я еще тот маньяк и графоман, но что поделать — синуслифтинг является самой распространенной остеопластической операцией, писать про него можно очень много.
Что это такое?
Еще раз покажу вам картинку с классификацией существующих остеопластических операций. Она наглядно отражает место синуслифтинга в современной остеопластической хирургии:

Обратите внимание, что «закрытый» синуслифтинг относится к категории модификаций и подкатегории остеотомий и, по сути, является горизонтальной остеотомией, в то время, как «открытый» синуслифтинг — это безкаркасная методика направленной костной регенерации, сопровождаемая ксенотрансплантацией (как любят говорить пациенты, «подсадкой костного материала»). Иногда при «закрытом» (или крестальном, или вертикальном) синуслифтинге также используют биоматериалы, но я настоятельно рекомендую этого не делать по ряду причин (читать тут). Обсудим эти причины чуть позже.
Другими словами, уважаемые друзья, всякая субантральная аугментация (правильное название этой операции) есть остеопластика, но не каждая остеопластика есть синуслифтинг. А это значит, что биологические процессы, происходящие во время и после операции синуслифтинга точно такие же, как и при любых других видах остеопластических вмешательств. Подробнее об этом можно почитать здесь.
Суть этого вмешательства — увеличение расстояния между вершиной альвеолярного гребня (точка А) и дном гайморовой пазухи (точка Б). И всё на этом. Никаких других целей операция синуслифтинга не преследует, её задача также типична для остеопластики — воссоздать вокруг имплантата достаточный для его долгосрочной стабильности объём костной ткани.

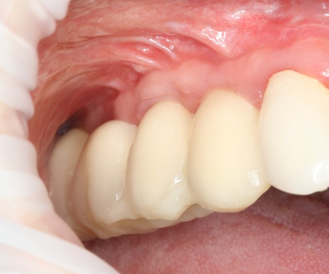
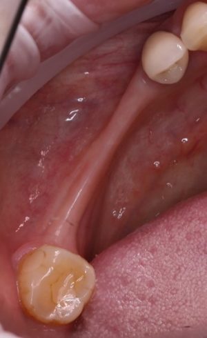
Это, кстати, значит, что в пограничных случаях (например, при расстоянии АБ=8 мм и длине имплантата 9 мм) мы можем вполне себе обойтись без синуслифтинга, поскольку попадание верхушки имплантата в просвет верхнечелюстного синуса на 1-1,5 мм не несёт в себе каких-либо рисков. Более того, если мы с вами сделаем и изучим КЛКТ пациентов с имплантатами и т . н. «закрытым» синуслифтингом, проведенным 5-6 лет назад, то увидим, что в половине случаев верхушки имплантов так или иначе выходят в просвет гайморовой пазухи:

Другими словами, не парьтесь. Риск от операции синуслифтинга, даже закрытого, выше, чем вероятность осложнений от попадания двух витков имплантата в просвет верхнечелюстной полости. Не усложняйте жизнь себе и вашим пациентам — если расстояние до дна пазухи меньше желаемой длины имплантата на 1 мм — просто ставьте имплантат. И все будут счастливы.
Другое дело, когда синуслифтинг нам действительно нужен. Далее, мы будем рассматривать именно такие ситуации.
С имплантами или без?
В 2006 году, когда я только-только начинал заниматься имплантологией, мне в голову кем-то (не очень умным, видимо) были вбиты жесткие критерии:

— если расстояние АБ 6 мм и больше — синуслифтинг проводится одновременно с имплантацией.
— если расстояние АБ меньше 6 мм — синуслифтинг делается отдельной процедурой.
Откуда это взялось, кто это вообще придумал и почему это оказалось у меня в голове — сказать сложно. Некоторое время мы действительно работали по этим правилам. Однако, времена изменились, и такой подход уже сложно назвать адекватным.
Например, мы планируем установить имплантат длиной 8 мм, т. е. дно верхнечелюстной пазухи необходимо приподнять всего на 2 мм. Значит ли это, что синуслифтинг нужно делать отдельной процедурой? Вовсе нет!
Поэтому, по мере накопления опыта, выяснилось, что не всё тут так однозначно, единственным критерием выбора, с имплантатами или без, является возможность стабилизации импланта в существующем объеме костной ткани. То есть, если после правильной подготовки лунки имплантат удерживается в 1-2 мм костной ткани, то какие могут быть препятствия для установки имплантата одновременно с синуслифтингом?
А вообще, от чего зависит стабилизация имплантата в существующем объеме костной ткани? Правильно, от двух составляющих:
— макродизайна самого имплантата
— хирургического протокола.
Впрочем, я об этом уже писал здесь>> и здесь>>, рекомендую почитать.
Вот пример. В нашей клинике мы используем три имплантационные системы компании Dentsply Sirona Implants: XiVE, Ankylos и Astratech. Они существенно различаются по макродизайну. Более того, в отличие от субгингивальных XiVE и Astratech, Ankylos — это субкрестальная система, предполагающая погружение платформы ниже уровня альвеолярного гребня.
Это значит, что использовать имплантаты Ankylos при расстоянии до дна синуса менее 2 мм будет проблематично (но возможно, см. клинический пример). Там, конечно, есть специальные заглушки и всё такое… но, к чему этот геморрой?

Импланты Astratech Osseospeed TX, имеющие расширяющуюся пришеечную часть (4,5 и 5.0 мм) также использовать в таких условиях (1-2 мм до дна) сложновато. И дело тут уже не в имплантате, а в хирургическом протоколе — чуть перекрутил кортикальной фрезой, и имплант проваливается в пазуху

Как вариант, можно сделать недопреп, но к чему все эти сложности?

Зато в таких условиях отлично стабилизируется XiVE и, внезапно, Nobel Replace, еще внезапнее — Dentium (последние два мы не используем в практике):

Поэтому, если на практике встаёт вопрос о синуслифтинге и имплантации при незначительных (менее 2 мм) расстояниях до дна верхнечелюстного синуса, возможность стабилизации является одним из факторов выбора имплантационной системы для конкретного клинического случая. Учитывайте это, планируя лечение пациента.
Теперь резюмируем это более компактно:
решение о проведении имплантации одновременно с синуслифтингом принимается, исходя из возможности стабилизации имплантата в существующем объеме костной ткани. А это, в свою очередь, зависит от макродизайна импланта и хирургического протокола при его установке.
и продолжим.
Биоматериалы, искусственная кость и костный порошок.
Сегодняшний стоматологический рынок предлагает такой ассортимент биоматериалов, что из них легко можно собрать Франкенштейна. Тем не менее, как среди стоматологов, так и среди производителей ведутся ожесточённые дебаты с поливанием друг друга говном о том, какой графт (это правильное название костнозамещающих материалов) кошернее использовать при синуслифтинге, и почему в одних случаях мы получаем вот такую костищу, а в других — только воздух и гноищу.
Давайте задумаемся, какие свойства биоматериала важны, если мы используем его при синуслифтинге?
1. Форм-фактор. Иными словами то, как выглядит графт, в какой форме он выпускается. Современные остеопластические материалы могут быть в виде крупных блоков, гранул, чипсов, порошка, суспензии, геля и т. д. Кроме того, те же гранулы упаковываются по-разному — в специальные аппликаторы или просто стеклянные флаконы. Например, тот же Bio-Oss, наиболее известный графт компании Geistlich может выглядеть и паковаться по-разному:


Почему это важно? Форм-фактор определяет удобство использования биоматериала. Например, крупный ксеноблок перед использованием нужно, как минимум, адаптировать, а иногда и размолоть в порошок, чтобы поместить на принимающее ложе. Упаковывать графт в субантральное пространство удобнее через специальный аппликатор, а не ложкой из банки. Причём, я должен заметить, мы выбираем форм-фактор в зависимости от типа остеопластической операции, даже если работаем с материалом одного производителя.
2. Физические свойства. Да, да, не ослышались. Гидрофильность, плотность, твердость, прочность на излом, температура горения — даже схожие по происхождению графты могут сильно отличаться по физическим свойствам. Именно на физике строятся свойства биологические, о которых речь пойдёт чуть позже.

Почему это важно? Разобрать физические свойства графтов проще на примере гидрофильности. Напомню, что жидкость, в целом, и кровь, в частности — главные транспортные среды нашего организма. Именно в жидкостях происходит миграция и адгезия клеток, перемещение питательных и биологически активных веществ, гормонов, факторов роста и т. д. И, если графт не обладает достаточной гидрофильностью, то клетки в него не мигрируют, он не прорастает костной тканью и остаётся существовать «сам по себе». Эффективность такого графта будет нулевая.
Плотность графта — еще одно важное физическое свойство, имеющее, однако, больше экономическое обоснование. Обычно производители фасуют биоматериалы в упаковки, указывая массу или объём:

Обращайте внимание именно на массу графта (может быть написана мелким шрифтом), ибо объём легко изменить, просто сжав материал. Естественно, чем крупнее гранулы, тем больше будет объём материала при той же массе. И, если учесть, что при синуслифтинге нам нужно заполнять большие объёмы, то экономически целесообразнее использовать крупные гранулы. Кстати, на то есть еще одна причина.
Я напомню, что графт сам по себе не превращается в костную ткань, а служит лишь «заполнителем» пустого места. Каркасом для роста кости, если хотите. В этом самом каркасе должно быть пространство для миграции клеток и, собственно, прорастания костной ткани. Если графт представляет из себя порошок высокой плотности, он тупо слёживается, впоследствии инкапсулируется и, как результат, не интегрируется в костную ткань. К слову сказать, по этой же причине нельзя утрамбовывать графт при укладке «штобы был плотнее«.

Например, на фотографиях выше, мы использовали Bio-Oss S 0.5g (слева), и Bio-Oss L 0.5g (справа). При одинаковой массе, крупными гранулами (справа) нам удалось заполнить больший объём. Кроме того, там осталось больше пространства для миграции клеток и роста костной ткани.
В этом же ключе следует рассмотреть удельную площадь поверхности графта, хотя это не физическое свойство. Чем она больше — тем больше клеток он может на себе адсорбировать, тем больше пространства будет для роста костной ткани, тем лучше графт интегрируется в структуру формирующейся костной мозоли.
3. Биологические свойства. К ним можно отнести скорость резорбции, биодеградацию или усадку графта в процессе интеграции.
Большинство вменяемых производителей биоматериалов делают неорганические графты, пусть и различающиеся по происхождению (аллографты, ксенографты, синтетика). Т. е., в них нет органических молекул, волокон или чего-то там еще. Тот же Bio-Oss, хоть и делается из коровы натуральной костной ткани, органики в себе не содержит и этим объясняются его устойчивость к резорбции и минимальная усадка (менее 5%).
Включение в графт коллагена некоторые производители объясняют тем, что «таким образом, достигается соответствие естественному составу натуральной кости», однако, давайте включим мозг и подумаем, что потом с этим коллагеном происходит? В принципе, даже мозг включать не надо — достаточно посмотреть на поведение коллагеновых мембран, — любая органика в графте со временем резорбируется. Это значит, что если в используемом вами биоматериале было 20% коллагена — в итоге, вы потеряете объём на эти самые 20%. Если будет 30% коллагена — тогда из объёма графта тоже можно минусовать 30%. Устойчивой к резорбции является лишь неорганический компонент графта и, следовательно, чем его больше — тем лучше.
Когда я только изучал остеопластические операции, нам говорили, что любой графт «постепенно рассасывается, замещаясь костной тканью». Фигушки! Существует масса исследований, показывающих, что биоматериал встраивается в структуру костной мозоли и остаётся почти в неизменном виде на протяжение многих лет. И это выглядит более правдоподобно, ибо неорганические частички графта ведут себя как маленькие имплантики — если бы они постепенно резорбировались, мы бы теряли регенерат в гораздо больших объёмах, нежели наблюдаем в практике.
Кстати, резорбция — это одна из причин, почему при проведении синуслифтинга в графт не рекомендуется добавлять аутокостную стружку и, тем более — использовать аутокостную стружку в качестве заполнителя субантрального пространства. Последняя, по данным ряда авторов, имеет достаточно высокую (30-70%, по данным разных авторов) потерю при резорбции, а это значит, что создать надёжный и зафиксированный объём кости при синуслифтинге, используя аутокость (в виде стружки), практически невозможно. Добавляя аутокостную стружку в графт, например в пропорции 50/50, мы рискуем потерять в результате резорбции 30% объёма. При этом, «чистый» неорганический графт при правильно проведенной операции теряет меньше 7% объёма, что в четыре раза меньше. Ну и, аутокостную стружку нужно где-то еще взять, что увеличивает сложность и травматичность хирургической операции.
Итак, выбирая биоматериал для использования при синуслифтинге, обращайте внимание на
форм-фактор (то, как он выглядит и в какой упаковке находится)
физические свойства (гидрофильность и плотность, в первую очередь),
биологические свойства (а именно - на содержание в нём органических волокон).
Всякие истории, типа «лучше приживается», «кость получается лучше», «меньше осложнений» и т. д., относятся к рекламным байкам, ибо мы с вами знаем, что успех любой хирургической операции зависит от наших рукожопости и вменяемости того, насколько мы понимаем, почему, как и что делаем. Другими словами, хирург должен помнить, что его «золотые руки» должны, как минимум, управляться золотой головой, а не рекламными брошюрами и продажными лекторами, вроде меня.
Предоперационной обследование и планирование операции
В своё время я пересчитал, что при установке имплантатов в боковой участок верхней челюсти, синуслифтинг требуется в почти в 92% случаев. Причём, это не зависит от сроков потери зубов и атрофии альвеолярного гребня, ибо размер верхнечелюстной пазухи — индивидуальный антропометрический параметр. Такой же, как цвет глаз или волос, размер стопы или расстояние от кончика носа до мочки уха. То есть, необходимость синуслифтинга мы можем определить с высокой степенью достоверности еще до того, как человек остался без зубов. Для этого просто нужно знать закономерности и характер атрофии альвеолярного гребня после удаления зуба:

Что это значит? То, что если до удаления расстояние от пика межкорневой перегородки было, допустим, 6 мм, то после удаления зуба, в лучшем случае, так всё и останется. Ждать три, четыре или двенадцать месяцев в надежде, что «нарастёт кость» бесполезно, за этот срок степень атрофии только увеличится:

Поэтому после удаления зуба мы ждём, в общей сложности, около 4-8 недель, затем приступаем к имплантологическому лечению. Хотя, иногда бывают ситуации, когда мы делаем синуслифтинг одномоментно с удалением зуба, а сам имплантат ставим попозже:


через 4 месяца:


Обязательным обследованием для планирования операции синуслифтинга является компьютерная томография (КЛКТ). В верхнечелюстной пазухе могут быть перегородки и карманы, на обычном панорамном снимке увидеть их сложно. Также КЛКТ даёт возможность измерить расстояние АБ (с этого мы с вами начинали статью):

и рассчитать примерное количество биоматериала, требующееся для заполнения субантрального пространства. И, если представить основные параметры дна верхнечелюстной пазухи как трапецию, то объем графта можно рассчитать по формуле:

Например, если нам необходимо поднять дно верхнечелюстного синуса на 10 мм в пределах одного зуба при ширине дна в 6 мм и ширине верхнечелюстной пазухи 15 мм, то для заполнения такого объёма нам потребуется, приблизительно 1050 куб мм (1,05 куб см.) графта. В пересчете на массу, Geistlich Bio-Oss L мы получим 0,33g — одной стандартной упаковки 0.5g более, чем достаточно.
Разумеется, это очень приблизительные расчёты, они не учитывают рельеф дна, объем части имплантата, выходящей в субантральное пространство. Но они, по крайней мере, дают представление о том, что не нужно заталкивать в субантральную полость три грамма материала, если речь идёт о синуслифтинге в области одного-двух зубов.
Еще КЛКТ позволяет подобрать и позиционировать имплантаты, если планируется их установка одновременно с синуслифтингом. Как это сделать правильно — читайте здесь>>.
Консультация ЛОР-врача
Признаюсь, не совсем понимаю необходимости назначения консультации ЛОР-врача всем пациентам поголовно. Скажем, если у пациента нет жалоб со стороны носовой полости, нет вазомоторного или аллергического ринита, на КЛКТ все носовые пазухи воздушные и чистые, их сообщение с носовой полостью не нарушено — каков смысл гонять пациента к ринологу?
К тому же, в отличие от распространенного мнения, синуслифтинг не предполагает внедрения в полость носа и верхнечелюстную пазуху, ибо вся работа проводится в субантральном пространстве, а сама гайморова пазуха всего лишь меняет рельеф альвеолярной бухты, причём весьма незначительно.
Другое дело, если у пациента в прошлом были частые обострения полириносинусита, есть вазомоторный ринит, а на КЛКТ мы обнаруживаем симптомы какой-то серьезной патологии: тотальное затемнение пазухи, большие по размеру полипы или кисты, инородные тела и т. д:

В этом случае, если не можем разобраться и справиться самостоятельно, лучше подключить к работе с пациентом опытного ЛОР-врача и действовать далее, исходя из его рекомендаций.
Кстати, знаете, как отличить опытного ЛОР-врача от человека с рефлектором? Опытный ЛОР-врач никогда не направит вас на подобный снимок:

если вам уже сделали компьютерную томографию. Опытный ЛОР-врач не будет тыкать в ваш нос иглой Куликовского в надежде «а вдруг что-нибудь выйдет«. Ну и наконец, опытный ЛОР-врач прекрасно представляет, что такое операция синуслифтинга, не будет вас пугать и отговаривать. Увы, но опытных ЛОР-врачей очень-очень мало… и это, отчасти, осложняет совместную работу с ними.
Другие виды обследования
За исключением вышеозначенного, синуслифтинг предполагает точно такое же предоперационное обследование, как и другие имплантологические операции. Подробнее об этом можно почитать здесь>>.
И, когда всё готово, ни у доктора, ни у пациента не осталось вопросов, мы можем приступать к хирургической операции.
Далее мы рассмотрим её очень подробно, со всеми хитростями.
Ход операции
Анестезия.
Привяжите пациента. Хорошо привязанный пациент позволяет сэкономить на анестезии.
Это была шутка. Нельзя экономить на анестезии. Тем более, что сама процедура синуслифтинга — тонкая и деликатная манипуляция, когда внезапно дёрнувшийся от боли пациент может всё испортить. Местная анестезия на верхней челюсти действует легко и быстро, качество обезболивания получается очень высоким — именно поэтому я рекомендую проводить синуслифтинг исключительно под местной анестезией:

Если вы хотите использовать седацию или внутривенное общее обезболивание при сохранении спонтанного дыхания, то должны знать следующее. Во время проведения наркоза пациент почти теряет контроль над рефлексами, реакции становятся заторможенными, а коммуникация с ним — просто никакой. Если вдруг во время операции синуслифтинга начнёт кровить слизистая оболочка гайморовой пазухи, либо из-за перфорации в неё попадёт жидкость, то пациент может либо внезапно закашлять (и вы рискуете получить перфорацию), либо кровь (вода, физраствор) могут натечь по носоглотке в дыхательные пути — и ничего хорошего из этого не получится. Тем более, что при хорошо поставленных мануальных навыках операция синуслифтинга занимает, от силы 15-25 минут — стоит ли из-за этого наркозить пациента? Думаю, нет.
И повторюсь — местная анестезия (особенно при синуслифтинге) гораздо безопаснее общего наркоза.
Разрез и скелетирование альвеолярного гребня.
Разрез, он как почерк. Это отражение вашего понимания ситуации, вашего характера, если хотите. Разрез должен быть максимально рациональным: с одной стороны, чем он меньше. тем лучше:

Однако, синуслифтинг — это та операция, которая требует очень хорошего обзора операционного поля. Поэтому, если вдруг чувствуете, что размеров разреза не хватает, не бойтесь его расширять. Ибо во время этой операции делается очень много ошибок по одной лишь причине — кто-то что-то очень-очень плохо видел.
Фактически, у нас есть несколько вариантов разрезов при синуслифтинге.
Синуслифтинг отдельным этапом
Если нет задачи ставить импланты — зачем открывать и скелетировать альвеолярный гребень? Чем больше операционная рана, тем больше потом будет проблем. Будьте рациональны:

Как видите, я перенес разрез вестибулярно, примерно в проекции предполагаемого субантрального доступа. Таким образом, я получаю тот же обзор при меньшей по площади ране. Это безопаснее. Такой доступ очень просто и легко зашивается, рана заживает быстрее и с минимальным дискомфортом. Кроме того, слизистая оболочка вершины альвеолярного гребня, где мы будем потом делать следующий разрез для установки имплантов, осталась неповрежденной, мы не оставили на ней рубцов, которые могут осложнить заживление при повторном входе для установки имплантов.
Синуслифтинг одномоментно с установкой имплантов.
Тут всё ясно и понятно. Разрез делается таким образом, чтобы удобно было поставить, в первую очередь, имплантаты, затем продляется на вестибулярную часть альвеолярного гребня для проведения синуслифтинг. Важную роль в этом играют вертикальные послабляющие разрезы и их длина:


Напомню, что подвижная слизистая оболочка может легко растянуться на 70% от своей первоначальной длины. Поэтому, моделируя вертикальный послабляющий разрез, рассеките, для начала, только кератинизированную часть десны. Обычно даже этого хватает. Далее, рассекайте подвижную слизистую оболочку по мере необходимости, пока не получите нормальный доступ к вестибулярной стенке верхней челюсти.
Синуслифтинг с одномоментным удалением зуба (и одномоментной имплантацией, если таковая потребуется).
Еще проще. Разрез начинаете от экватора соседних зубов, по такому же принципу, как и в предыдущем пункте. Если адекватный разрез для синуслифтинга мешает сделать коронка зуба или её остатки — спилите их нафиг перед началом работы. Заранее сделанные разрез и скелетирование помогут вам аккуратно удалить зуб. Далее, скелетируетесь примерно на 10 см выше проекции щечных корней и вперед, делать дырку в полость:


Важное замечание! Я видел извращенцев, которые делают для синуслифтинга т. н. тоннельные разрезы, "типа, легче зашивать, не расползутся". На самом деле, всё расползается. Во -вторых, нам приходится делать достаточно большие вертикальные разрезы, уходящие в мягкие ткани, а это - привет, отёк и гематома (в лучшем случае), инфицирование и воспаление (в худшем). Ну и, самое главное, ни один тоннельный разрез не сравнится по обзору и удобству манипуляций с обычным. А операция синуслифтинга - как раз та, где от хороших обзора и удобства сильно зависит хороший результат операции.
Итак, первое правило успешного синуслифтинга, как, в общем-то, и любой хирургической операции:
Разрез — это компромисс между размером раны и нормальным обзором операционного поля. Причём, обзор всегда в приоритете.
Создание доступа в субантральную полость.
Существует несколько способов создания доступа в субантральную полость (хотя, на самом деле, в полость верхнечелюстную, ибо субантральную нужно еще смоделировать). Некоторые (и мы, иногда тоже) используют для этого алмазные шаровидные боры:

У такого подхода есть преимущества, а именно:
— нафиг не нужен ультразвуковой пьезохирургический аппарат. В принципе, и физиодиспенсер особо не нужен.
— скорость создания доступа — наиболее быстрый способ
— удобно манипулировать наконечником
— при должном навыке — относительно безопасный.
Но есть и минусы:
— без должных навыков провалиться в гайморову пазуху не просто, а очень просто
— если апертура доступа большая, её нужно чем-то закрывать. а это дополнительные расходы на мембраны, блоки и т. д.
— при наличии на дне верхнечелюстной полости перегородок и шипов, чтобы их обойти, мы вынуждены делать несколько доступов.
— звуки и вибрации не всем пациентам нравятся.
Существуют специальные наборы для проведения синуслифтинга, включающие в себя «специальные» боры и фрезы для создания доступа. Например, такой набор DASK выпускает Dentium :

Однако, я должен заметить. что единственное преимущество у этого набора — он реально красивый. И всё на этом. Боры и фрезы, которыми предлагается создавать доступ, крайне неудобные, массивные, плохо контролируются — следовательно, высок риск ошибки. В общем, я не рекомендую вообще покупать и использовать подобный набор. Ну и, чтобы парням из Dentium не было обидно, могу отметить, что набор FriOs Sinus Set от компании Friadent тоже не подарок:

Я же в своей практике для создания доступа использую ультразвук, а именно — электрический пьезохирургический аппарат VarioSurg (NSK). Он позволяет делать очень красивый и практичный доступ любой формы:

Минусы такого подхода:
- это дорого. Еще требует одного прибора в операционной.
- это дольше, чем с использованием прямого наконечника и алмазного бора
- при отсутствии должных навыков, получается фигня.
Справедливости ради, должен заметить, что всегда и везде при отсутствии должных навыков получается фигня различной степени тяжести.
Однако, почему я выбрал именно этот способ? Плюсы:
- это более безопасно, нежели использование бормашины.
- можно сделать доступ любой формы.
Например, в виде сердечка.
- после создания доступа получается костный фрагмент, который мы можем использовать по-разному (для закрытия перфорации, костной пластики,
сварить холодец или чего-нибудь еще)
- можно создавать большие доступы и закрывать их получившимся костный фрагментом, легко обходить септы, шипы и перегородки дна верхнечелюстной полости
- сам процесс создания доступа получается более контролируемым.
Другими словами, если вы хотите научиться делать синуслифтинг быстро, легко и безопасно, этого проще будет достичь с использованием ультразвукового пьезохирургического инструмента, нежели бормашиной и алмазными борами. Ну и, если вы, как китайский пионер, любите сами себе создавать сложности, а потом их героически преодолевать — купите какой-нибудь готовый набор для проведения синуслифтинга. Например, тот же Dentium Advansed Sinus Kit.
Как создаётся доступ?
Доступ в субантральную полость — наше всё. Форма и положение его апертуры — это то, от чего будет зависеть весь дальнейший ход операции и вероятность возникновения интраоперационных проблем. И сейчас я расскажу вам о некоторых нюансах создания правильного доступа, вне зависимости от того, чем и как вы его делаете.
Одна из самых распространенных ошибок — это высокое положение апертуры. Откуда это пошло, ума не приложу. В результате, от нижнего края апертуры до дна субантральной полости остаётся с десяток миллиметров, а это снижает возможности манипуляций и контроля за этой областью:
Выход простой: Делайте нижний край апертуры доступа как можно ниже. В идеале — почти впритык ко дну гайморовой пазухи. И вы удивитесь, насколько проще станет делать синуслифтинг при таком подходе:



Даже если вы делаете операцию над лункой удалённого зуба — здесь вам особенно важно сохранять контроль над дном, ибо длительно существующий периапикальный процесс нередко ведёт к образованию спаек, и риск перфорации очень высок. А иногда бывает и такое, что дно верхнечелюстной пазухи находится ниже апикальных частей лунки. В этом случае можно смело проводить нижнюю границу прямо по лункам — ничего страшного в этом нет, а хороший обзор в таких случаях гораздо важнее.



Итак, второе правило успешного синуслифтинга:
Чем ниже находится нижний край апертуры доступа в верхнечелюстную полость, тем легче будут дальнейшие этапы операции.
Другой момент — это медиально-дистальное положение доступа.
В идеале, конечно, лучше делать апертуру прямо над областью имплантации, но это удаётся не всегда (особенно, в области вторых моляров). А если еще пациент рот плохо открывает, то обзор через доступ прямо над седьмым зубом оказывается просто ужасным. Что делать?
Выход есть. Смещайте апертуру мезиально таким образом, чтобы формируемая субантральная полость находилась на линии обзора. Примерно вот таким образом:

Чтобы сходу не провалиться в верхнечелюстную пазуху, соблюдайте некоторые правила работы с инструментом:
1. Работайте алмазными и твердосплавными борами на максимальной частоте вращения (40 000 об/мин) с приемлемым крутящим моментом (15-30 Нсм). Таким образом, наконечник и бор будут более управляемыми, с меньшими вибрациями, а вам не придётся прикладывать дополнительные усилия при препарировании костной ткани.

2. При работе упор и основная нагрузка делается по касательной(см. рисунок ниже), а не в направлении верхнечелюстного синуса. То есть, мы препарируем кость, как бы расширяя изначальный доступ, а не делая дырку на всю глубину:

3. Это же правило нужно соблюдать при работе с ультразвуковым инструментом.

Упор и направление движения инструмента — не вглубь, а по линии разреза костной ткани:

Форму апертуры все делают по-разному. Но, чаще всего. она имеет вид овала (даже при использовании ультразвука):

Между тем, практичнее делать апертуру в форме многоугольника неправильной формы (трапеции, прямоугольника и т. д.):

Во-первых, мы получаем возможность прямо подогнать апертуру под анатомические особенности верхнечелюстной полости, во-вторых, получившимся костным фрагментом можно будет легко закрыть доступ даже большого размера:

Кстати, о закрытии окна. Если при создании доступа вы сделаете пропилы немного под углом, то костный фрагмент никогда не провалится через апертуру в верхнечелюстную полость, и у вас не будет проблем с его фиксацией.

Ну и, последнее, что касается «входа» в верхнечелюстную полость. Не забывайте о рациональности и не превращайтесь в мясников. Не нужно делать двухсантиметровую дыру, если вы планируете проведение синуслифтинга только в области одного зуба.
Собственно синуслифтинг.
Кэп Очевидность напоминает, что качество проведения синуслифтинга напрямую зависит от используемых и правильно подобранных инструментов. Увы, про это приходится говорить вновь и вновь. Как, впрочем, о рекомендации комплектовать наборы самостоятельно, а не покупать готовые.
Продолжение следует…
И в этом продолжении мы с вами рассмотрим:
- собственно, синуслифтинг. Каким образом создаётся субантральное пространство?
- что делать, если произошла перфорация слизистой оболочки гайморовой пазухи?
- заполнение субантрального пространства биоматериалом.
- установку имплантатов, если таковая предполагается.
- закрытие апертуры доступа, ушивание и герметизация послеоперационной раны
- САМОЕ ГЛАВНОЕ! Вопросы реабилитации пациентов после операции синуслифтинга
- Осложнения в послеоперационном периоде и способы их лечения.
В общем, впереди еще много интересного.
Подписывайтесь на сайт http://2026.implant-in.com, добавляйтесь в друзья по социальным сетям или просто не переключайтесь!