IMPLANT-IN.COM — дентальная имплантация. естественно.

Блог

  • Периимплантит. Часть I. «Причинно-следственные связи».

    Периимплантит. Часть I. «Причинно-следственные связи».

    Периимплантиты, в отличие от рассмотренных в прошлой статье отторжений, далеко не всегда приводят к потере имплантатов — при своевременном вмешательстве их можно если не вылечить полностью, то загнать в глубокую ремиссию, которая позволит сохранить результат имплантологического лечения. При этом, периимплантиты остаются наиболее частой причиной утраты имплантатов — по данным разных авторитетных источников, в десятилетнем периоде процент утраченных имплантатов увеличивается с 1 до 5% именно за счёт развития периимплантитов.

    Исходя из принципа, что решение проблемы начинается с её признания и последовательного изучения, сегодня мы решили рассказать вам о периимплантитах.

    Вы сильно удивитесь, если узнаете официального диагноза «периимплантит» не существует. В последней редакции МКБ-10 (это классификатор болезней, облегчающий взаимопонимание между докторами), такого заболевания нет. Обычно для обозначения используют коды К10.2 («Воспалительные заболевания челюстей»), К10.9 («Другие болезни челюстей»), T84.7 («Инфекция и воспалительная реакция, обусловленные другими внутренними ортопедическими протезными устройствами, имплантатами и трансплантатами») и т. д. Вообще, у каждого доктора, юриста и главного врача свои представления о том, как кодировать периимплантит. И, как бы вы его ни кодировали — вы делаете это неправильно))).

    Этот оргздравовско-юридический казус прекрасно отражает реальные представления о периимплантите, где всё еще хуже:

    Во-первых, среди докторов нет чёткого представления о том, что считать периимплантитом. Можно ли назвать периимплантитом, например, вот такое?

    Во-вторых, из-за неразберихи в терминологии и симптоматике, статистика перимплантитов — это, в общем-то, отсутствие статистики: одни Ыксперты утверждают, что признаки периимплантита развивается чуть ли не в 80% случаев имплантации, другие говорят о 10-20-50% и, как вы понимаете, такой разброс в цифрах — главный признак ненаучности методов подсчёта.

    В-третьих, нет однозначного мнения о причинах развития периимплантита. Диапазон предположений слишком уж широк: от банальной перегрузки и плохой гигиены до специфической микрофлоры и генетической патологии. Также существуют определённые сложности с диагностикой: 99% периимплантитов протекают бессимптомно и выявляются случайно, во время рентгенологического обследования совсем, назначенного по совсем другому поводу.

    В-четвертых, отсутствие представления о причинах, даёт повод всё тем же Ыкспертам фантазировать насчёт методов лечения периимплантитов. Изучая их, вы можете встретить как банальное «удаляйте имплантат, иначе вы умрёте«, так и хитрожопые методики с костной аугментацией, стоимость которой в несколько выше, чем первоначальная имплантация и протезирование.

    В-пятых, даже оставленный без внимания периимплантит далеко не всегда приводит к потере имплантата и ухудшению качества жизни пациентов. Производители имплантологических систем любят хвастаться статистикой про 95-99% выживаемость имплантатов в десятилетней перспективе, нарочно забывая упомянуть, что речь идёт именно об утрате имплантата, а не о вероятности развития периимплантита.

    Иными словами, друзья, что бы вы ни говорили о периимплантитах — вы одновременно правы и не правы. Вся известная вам информация об этом заболевании — истина и заблуждение, одновременно. Но, вместе с тем, это очень интересная тема для рассуждений.

    Итак, периимплантит.

    Терминология

    С точки зрения древнегреческого языка, приставка «пери-« означает «около» или «возле», а окончание «-ит» или «-итис» указывает на воспалительный характер заболевания. Получается, что «пери-имплант-ит» это воспаление окружающих имплантат тканей. Точка.

    Некоторые авторы отдельным заболеванием выделяют «мукозит» (воспаление слизистой оболочки вокруг имплантата), указывая, что периимплантит — это воспалительный процесс, сопровождающийся деструкцией костной ткани, т. е. характерен именно для окружающей кости.. На мой взгляд, дыма без огня не бывает, и периимплантит стоит рассматривать как исключительно целостный процесс, поскольку, в той или иной степени, он касается всех окружающих имплантат тканей.

    Что можно считать периимплантитом?

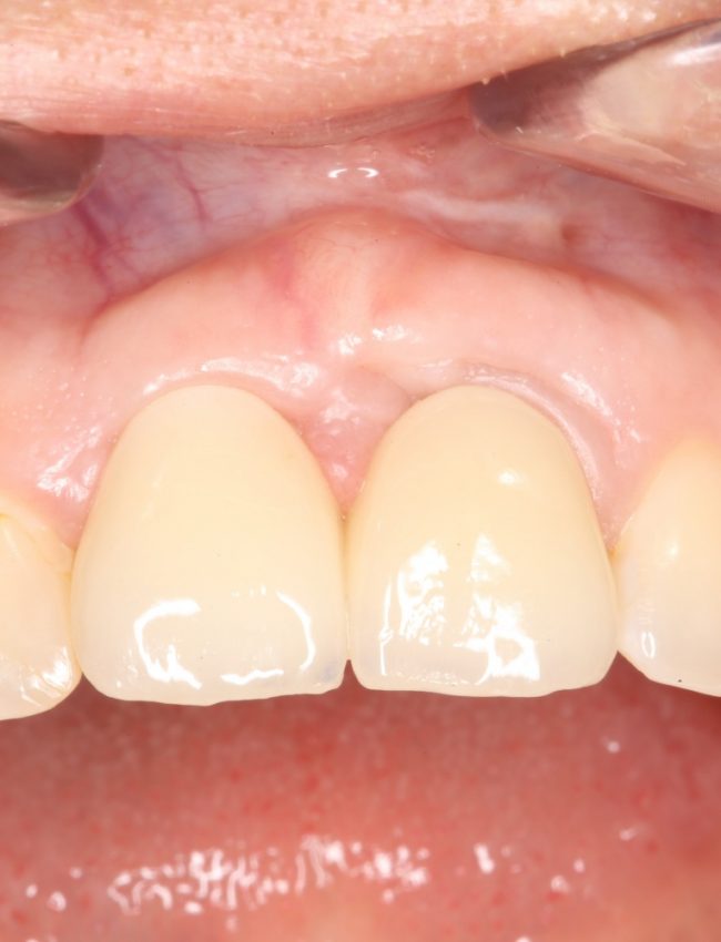
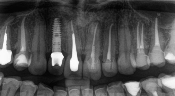
    По мнению абсолютного большинства, под периимплантитом подразумевается воспалительный процесс, сопровождающийся выраженными органическими (видимыми) изменениями окружающих имплантат тканей. Чаще всего мы говорим про периимплантит, когда видим резорбцию костной ткани вокруг имплантата:

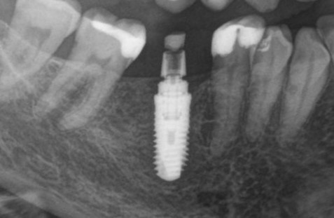
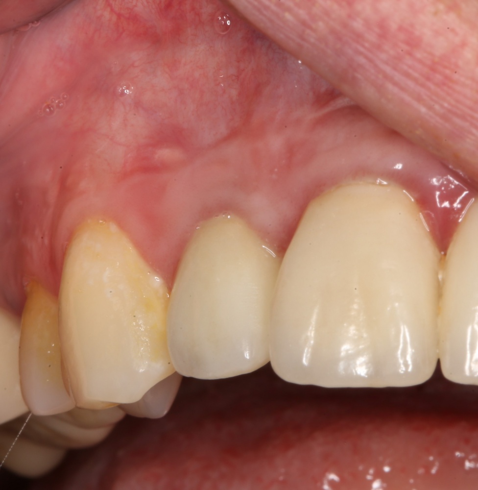
    С этого момента возникает довольно серьёзная методологическая проблема: далеко не всегда деструкция костной ткани сопровождается хоть какой-то воспалительной симптоматикой. Как, например, здесь:

    Снимок сделан примерно через 8 лет после имплантации. 65-летняя пациентка никакой воспалительной симптоматики не отмечает, говорит, что никогда ничего не болело и не воспалялось. Можно ли считать такой случай периимплантитом?

    С одной стороны, убыль костной ткани налицо, но её причиной может быть, в том числе, обычная атрофия (всё же, возраст и состояние организма…). С другой, отсутствие каких-либо признаков воспалительного процесса в анемнезе и при объективном осмотре. Назвать этот случай периимплантитом нельзя, убыль костной ткани в этом случае вызван физиологической атрофией, связанной, в т. ч., с вышеозначенными причинами.

    Другой момент, вызывающий бурную дискуссию: С какого момента убыль костной ткани можно считать периимплантитом?

    Для примера мы возьмём немедленную имплантацию:

    Никогда, почти никогда нам не удаётся сохранить конфигурацию лунки удалённого зуба в первоначальном виде — вслед за удалением неизбежно следует атрофия краевой кости, которую мы деликатно называем «перестройкой» или «ремоделированием». Это совершенно нормальный физиологический процесс, о нём я подробно написал здесь>>, рекомендую почитать.

    Так вот, из-за этой атрофии вокруг платформы имплантата остаётся фиброзный ободок, видимый на снимке:

    В таком состоянии он остаётся много лет, не вызывая какого-либо беспокойства у пациента. Однако, для некоторых докторов он является поводом начать разговор о несостоятельности имплантата — «патамушта ета периимплантит». Хотя, я повторюсь, какая-либо воспалительная симптоматика и здесь отсутствует, в принципе.

    Иными словами, далеко не каждый случай убыли костной ткани вокруг имплантата (или имплантатов) можно считать периимплантитом. Главным его признаком является выраженная воспалительная симптоматика. Если таковая отсутствует, то мы называем это атрофией (если хотите, «физиологической атрофией»), тактика работы с которой будет принципиальным образом отличаться.

    Периимплантит, в отличие от атрофии, имеет все признаки воспалительного процесса.

    Кстати, атрофия альвеолярного гребня есть в МКБ-10, её код К08.2

    Причины периимплантита

    Вот тут всё очень просто. Стефан Ренверт, ведущий мировой специалист по этой теме, уделил этиопатогенезу периодонтита всего 20 (!) страниц своей знаменитой 258-страничной книги Peri-Implantitis:

    Если посчитать только чистый текст без картинок и названий, то он уместится на 3,5 (!) страницах формата А4 14-м шрифтом с одинарным интервалом. То есть, даже такой крутой чел как С. Ренверт и его кореш Джованолли нифига не знают и не понимают, откуда периимплантит вообще берётся — после прочтения этих двадцати страниц, у меня сложилось ощущение, что авторы хотели сказать:«Идите нафиг,  мы никуя не знаем (с)». Впрочем, почитайте сами, книгу можно купить в «Азбуке Стоматолога» аж за 12 тыщ рублей))) Даю профессиональный совет: купите на эти деньги травы, дуньте как следует — Вселенная и зелёные человечки расскажут вам про периимплантит гораздо больше, чем Стефан и Жан-Луи вместе взятые.

    Я могу назвать такие источники интересными, но авторитетными не назову никогда. Приводить их цитаты в качестве доказательств какой-то точки зрения, как минимум, неправильно. На мой взгляд, при поиске ответов на такие сложные вопросы, лучше обратиться к логике и здравому смыслу.

    Для начала, рассмотрим процессы, происходящие в кости в момент операции имплантации и ближайшем послеоперационном периоде.

    Для того, чтобы установить имплантат, необходимо выполнить определённую последовательность манипуляций, называемых хирургическим протоколом. Вне зависимости от марки имплантационной системы, цель любого хирургического протокола проста — сохранение жизнеспособности окружающей имплантат костной ткани.

    Это достигается, в первую очередь, последовательным препарированием, во-вторую — точным соответствием лунки размеру имплантата. Настолько точным, что имплантат не оказывает существенного давления на окружающую костную ткань и удерживается, почти исключительно силой трения.

    В таких условиях биоинертный имплантат не распознаётся организмом и не оказывает никакого механического воздействия на окружающую его костную ткань. Последняя регенерирует точно также, как, например, при заживлении лунки удалённого зуба, имплантат обрастает костной тканью — мы называем это остеоинтеграцией.

    Однако, костная ткань — далеко не идеальный материал для прецизионного сверления. Она обладает значительной упругостью, гибкостью и податливостью и в этом плане больше похожа на твёрдый сыр, нежели на керамику или стекло. Попробуйте просверлить кусок твёрдого сыра, затем измерьте диаметр получившегося отверстия и сравните его с диаметром сверла — отверстие будет меньше.

    Кроме того, костная ткань неравномерна по своей структуре, разные её слои будут обладать разными биологическими (содержание органики и клеточных элементов) и механическими (всё та же упругость, гибкость, твёрдость…) свойствами.

    Таким образом, имплантат всегда будет больше подготовленной для него лунки. Следовательно, он будет оказывать давление на её края, причём это давление будет пропорционально торку (крутящему моменту) при его установке.

    Давление — это сила, распределённая по площади. Чем больше площадь, тем меньше давление, оказываемое силой, тем меньшую работу (с точки зрения физики) и травму (с точки зрения биологии) эта сила может выполнить. Простой пример: гораздо проще воткнуть в попу на глубину 5 см иголку, чем молоток.

    При одном и том же крутящем моменте, имплантат с меньшей площадью контакта будет больше травмировать костную ткань, нежели имплантат с большей площадью контакта. Я про это, кстати, уже писал где-то здесь>>, рекомендую почитать.

    Ну, а что такое площадь контакта имплантата с костной тканью? Она зависит от макродизайна и далеко не всегда равна площади поверхности имплантата:

    Однажды я пытался рассчитать давление, оказываемое имплантатом на костную ткань, но получив какие-то запредельные (сотни килоПаскалей) цифры решил, что ошибся и не стал ничего публиковать. Нужно просто запомнить, что давление прямо пропорционально модулю упругости костной ткани и обратно пропорционально площади контакта имплантата со стенками лунки

    и мы наблюдаем это, отслеживая крутящий момент во время установки имплантата.

    Чем выше крутящий момент при установке — тем большее давление оказывает имплантат на окружающую его костную ткань, тем больше её компрессионная травма. Причём, модуль упругости разных слоёв костной ткани будет разным — если губчатая костная ткань довольно податлива, то компактная пластинка наоборот, очень упругая. Кроме того, компактная (или кортикальная) кость плохо кровоснабжается, содержит мало клеточных элементов и не богата органикой — её регенерация намного хуже, чем у губчатой костной ткани.

    Получается, что мы передавливаем имплантатом костную ткань (создаём хроническую травму) с весьма скудными регенерационными ресурсами. Оставшаяся без питания костная ткань подвергается остеолизису, либо вообще не регенерирует — и в зависимости от интенсивности этого процесса, мы получаем либо острое воспаление, заканчивающееся «отторжением», либо хронический воспалительный процесс, который, в зависимости от локализации, приводит либо к потере имплантата в отсроченном периоде (то, что мы называем «имплантат не прижился»), либо к периимплантиту.

    Но почему имплантат, в случае хронического воспаления, не вываливается до или сразу после нагрузки? Почему даже в случае развития периимплантита, у имплантата сохраняется весьма высокая стабильность и его можно протезировать?

    Этому тоже есть объяснение. Как я уже писал выше, разные слои костной ткани по-разному воспринимают длительную компрессию и связанное с ней воспаление. Глубокий губчатый слой весьма податлив, а хорошее кровоснабжение и высокое содержание клеточных элементов способствуют быстрому восстановлению процессов остеогенеза после травмы.

    Даже в очень рыхлом губчатом слое, остеоинтеграция надёжно удерживает имплантат — это происходит за счёт формирования первичной, а затем вторичной костной мозоли по его периметру, гораздо более плотной и твёрдой, чем окружающая губчатая кость.

    Однако, получившаяся вторичная костная мозоль хуже кровоснабжается и менее богата органикой, в этом плане она очень похожа на компактную костную пластинку. Именно поэтому сильно запущенный периимплантит может распространиться на всю длину имплантата.

    Поэтому имплантат не вываливается сразу, а хорошая стабильность позволяет нормально его протезировать.  Даже после образования значительной по размеру периимплантитной «воронки», он некоторое время удерживается в губчатой кости за счёт обрастания вторичной костной мозолью — ровно до тех пор, пока процесс остеолиза не распространится и на неё.

    Что происходит дальше, известно достаточно хорошо. Образовавшаяся периимплантитная «воронка» открывает поверхность имплантата для доступа ротовой жидкости и микрофлоры.

     

    Ротовая жидкость образует упоминавшуюся С. Ренвертом «биоплёнку» из гликопротеинов на поверхности имплантата, последняя становится приютом для микроорганизмов — к изначально асептическому («чистому») остеолизу присоединяется инфекция со всеми вытекающими. Развивается инфекционно-воспалительный процесс, затрагиваемый, преимущественно, слизистую оболочку — т. н. «мукозит».

    За фото не переживайте — эту пациентку мы вылечили))))

    То есть, инфекция, какой бы она ни была, не является первопричиной периимплантита, но её присоединение существенно усугубляет процесс и добавляет разнообразия симптоматике — именно с этого момента пациент начинает чувствовать неприятный запах, дискомфорт в области установленного имплантата, периодически возникающее воспаление десны, выделения из десневого кармана и т. д. Проведённое протезирование создаёт достаточное пространство для ретенции зубного налёта и в некоторых случаях существенно осложняет гигиену в области шеек имплантатов — развитие периимплантита, уже не просто воспалительного, а инфекционно-воспалительного процесса ускоряется и усугубляется (мы же не просто так просим делать профессиональную гигиену и пользоваться ирригатором все пациентов с имплантатами).

    В общих чертах, развитие периимплантита можно выразить следующими этапами:

    Понимая эту схему, несложно сделать выводы о влиянии различных факторов на риск развития периимплантита. Пройдёмся по пунктам:

    Микроструктура поверхности никак не влияет на риск развития периимплантита. С определенной степенью допущения, она примерно одинакова для имплантатов всех производителей, хоть и может называться по-разному: от SLActive у Штрауманн до Laser-Lok у Биогоризонса. Супершероховатая поверхность, созданная для лучшего обрастания костью, оборачивается бедой в случае развития периимплантита — после контаминации микробами, её не так легко очистить. Мне неизвестна независимая статистика, которая показала бы, что «эта микроструктура лучше, чем все прочие, сопротивляется периимплантиту». Потому что такой статистики нет.

    Макродизайн имплантата, напротив, имеет все шансы быть одной из причин слишком частого развития периимплантита. При одном и том же установочном торке, площадь контакта с костью имплантатов с агрессивной резьбой будет меньше, а давление, оказываемое ими — больше. Как результат, выше компрессия, выше травма — не забывайте, за счёт чего достигается высокая степень первичной стабильности таких имплантатов, — и, соответственно, выше риски развития периимплантита. Вот почему всегда призывал крайне осторожно относиться к работе с агрессивными имплантатами и не допускать значительного крутящего момента при их установке.

    Тип имплантата, субгингивальный, субкрестальный или трансгингивальный, не имеет решающего значения. Риск развития периимплантитов, в равной степени, есть у всех имплантатов. Я не знаю независимых исследований, которые показали бы, что на Анкилозе периимплантитов меньше, чем на Ксайв и Астра Тек или наоборот.

    Диаметр и длина имплантата, — чем меньше диаметр и длина имплантата, тем меньше его площадь поверхности, тем большее давление он оказывает на окружающую костную ткань. Кроме того, тонкий имплантат на месте большого зуба довольно плохо передаёт жевательную нагрузку, под коронкой образуются значительные скопления зубного налёта, которые сложно вычищать — как результат, это приводит к воспалению слизистой оболочки и создаёт риски для развития периимплантита, в дальнейшем. Вот почему мы столько внимания уделяем правильному подбору и позиционированию имплантатов.

    Хирургический протокол по идее, должен быть «заточен» под макродизайн имплантата, но это правило соблюдается далеко не во всех имплантационных системах. Например, в большинстве корейских имплантационных систем славятся высокой степенью первичной стабильности — угадайте, за счёт чего она достигается? Кроме того, существуют особо умные доктора, которые меняют хирургический протокол «штоб лучше держался», игнорируя рекомендации всех этих создателей, разработчиков и конструкторов имплантационной системы — и действительно, кто они ваще такие?)))) Результат такого подхода, как правило, плачевный.

    Биотип костной ткани, мы определяем его по классификации S. Mish, конечно же, имеет значение, поскольку определяет распределение механических и биологических свойств костной ткани. Так, в биотипах D3 п D4, периимплантит — сравнительно редкое явление, в то время как в кости типа D1 и D2 периимплантит встречается через одного.

    Биотип и состояние слизистой оболочки — начинает играть роль после образования периимплантитной «воронки». Десна является защитным барьером между внешней средой и поверхностью имплантата, чем она тоньше, тем легче контаминируется поверхность имплантата.

    Методика имплантации, немедленная или отсроченная. На сегодняшний день нет статистики, которая показала бы, что при немедленной имплантации риск периимплантита выше, чем при отсроченной, или наоборот.

    Немедленная нагрузка формирователем десны, протезом или коронкой реализуется, как правило, при достижении значительного (от 30 Нсм и выше) крутящего момента при установке имплантата. Такой значительный торк — сам по себе большой риск, а открытое заживление еще больше усугубляет ситуацию. Да, немедленная нагрузка повышает риски развития периимплантита. Причём, существенно.

    Фармакотерапия в послеоперационном периоде, либо её отсутствие не оказывает влияния на риск возникновения периимплантита (но влияет на риск «отторжения») Вместе с тем, есть современные исследования, указывающие на подавление пусковых механизмов регенерации нестероидными противовоспалительными препаратами, и я полностью разделяю эту точку зрения.

    Тип фиксации коронки, цементная или винтовая, безусловно, имеет значение. При цементной фиксации, особенно с использованием стандартных абатментов, существует риск проталкивания цемента под десну, который приводит к воспалению слизистой и последующему периимплантиту. Для того, чтобы это произошло, необходимо пространство, куда, собственно, цемент может попасть, оно появляется при краевой атрофии (остеолизе) костной ткани вокруг имплантата, чрезмерном заглублении и т. д. Я склонен полагать, что проталкивание цемента под десну (жаргонное название «перицементит») усугубляет течение периимплантита и не является основной причиной его возникновения и развития.

    Качество протезирования стоит рассматривать с точки зрения удобства гигиены и ухода. Если протетическая конструкция создаёт проблемы с гигиеной — это, рано или поздно, приведёт к воспалению слизистой со всеми вытекающими. Поэтому мало сделать красивый зубной протез — важно сделать такой, за которым было бы просто ухаживать.

    Качество гигиены полости рта важна по той же самой причине — риска развития воспаления десны (гингивита). Риски развития периимплантита и утраты имплантата, в целом, сопоставимы с рисками развития пародонтита и потери зубов.

    Заболевания и другие проблемы со здоровьем, возникшие после имплантации и протезирования не оказывают прямого влияния на риск развития периимплантита. Интегрированный имплантат никак не распознаётся организмом, костная ткань вокруг него почти такая же, как и вокруг естественных зубов. Она также кровоснабжается, в ней идут те же самые обменные процессы, что и везде. Если вдруг возникшая болезнь повлияет на состояние костной ткани, то проблемы возникнут везде, а не только там, где стоят имплантаты.

    *   *   *

    Заканчивая обсуждение причин периимплантита, я склонен полагать, что это во многом ятрогенное (т. е., обусловленное какими-то недочётами и ошибками в лечении) заболевание. С этим можно согласиться или нет, но на 90% мы создаём все риски для развития перимплантита во время операции имплантации, а все дальнейшие лечебные манипуляции (формирование десны, протезирование и т. д.) либо усугубляют, либо наоборот, тормозят его течение. Зная это, можно разработать вполне себе рабочие рекомендации по профилактике периимплантита.

    Продолжение следует…

  • Отторжение имплантатов: причины, симптомы, лечение

    Отторжение имплантатов: причины, симптомы, лечение

    Даже сейчас, в третьем десятилетии двадцать первого века можно встретить мнение, что срок службы дентальных имплантатов ограничен десятью годами, после чего их нужно менять. Другое мнение прямо противоположно и выглядит как реклама: «Нет ничего надёжнее имплантов!». С разной степенью радикальности, все, кто пишет о стоматологии, пропагандируют либо одну, либо вторую точку зрения. Между тем, истина находится где-то посередине, и она не столь категорична.

    Уважаемые друзья, сегодня я предлагаю вам поговорить об т. н. «отторжении» имплантатов: его причинах, симптомах и последствиях. Это весьма непростая тема для всех имплантологов, но на мой взгляд, её нельзя игнорировать или замалчивать хотя бы потому, что изучение проблемы — первый шаг к её решению.

    Вы планируете установку имплантатов. Что нужно знать об «отторжении» до операции имплантации?

     1. Отторжение имплантатов — вовсе не «отторжение» в биологическом смысле.

    Прежде всего, вам следует знать, что в отношении дентальных имплантатов термин «отторжение» не совсем правильный и применимый.

    С биологической точки зрения, «отторжение» — это иммунная реакция организма по обезвреживанию и выделению из организма чужеродного объекта. Чтобы она запустилась, объект должен быть найден и помечен как «чужеродный» специально обученными белковыми молекулами, антителами. Иммунные клетки, всякие там макрофаги, лейкоциты и лимфоциты, находят чужеродный объект по прикреплённым к нему антителам и, в зависимости от его величины, либо изолируют его от организма, выстраивая по периметру защитный барьер (т. н. секвестрация), либо поглощают и уничтожают (т. н. фагоцитоз). Ключевой момент отторжения — сам чужеродный объект либо повреждается, либо убивается иммунной системой организма.

    Это и есть отторжение. Так реагирует организм на попавшую в палец занозу или коронавирус. Иногда  случается отторжение пересаженных органов и тканей, когда защитная система организма воспринимает трансплантированную почку как незаконное вторжение и на неё реагирует. Поэтому после трансплантации органов пациенты вынуждены долгое время (а иногда всю жизнь) принимать лекарства, снижающие иммунитет — это подавляет реакцию отторжения и позволяет пересаженному органу функционировать в чужом организме.

    Кстати, для справки: со значительным упрощением можно сказать, что аллергическая реакция имеет ту же природу иммунного ответа, 
    но только слегка извращённого и чересчур сильного.

    Ситуация с биоматериалами, в целом, и имплантатами, в частности, развивается по немного иному сценарию. Имплантат — штука биоинертная, т. е., незаметная для организма, — и это замечательное свойство позволяет ему интегрироваться или, если сказать правильно, спокойно обрастать живыми тканями. На биоматериалы и имплантаты не вырабатываются антитела, необходимые для обозначения их как «чужеродных» объектов, поэтому на них не может быть иммунной и, тем более , аллергической реакции.

    Расшатывание, потеря функциональности и выпадение дентальных имплантатов происходит по совсем другим причинам, о которых мы поговорим чуть позже. Однако, для простоты понимания здесь и далее мы будем использовать термин «отторжение» — и я прошу простить меня за это.

    2. Вероятность отторжения имплантатов не зависит от их цены, марки, производителя или страны производства.

    Не существует имплантатов, которые интегрировались бы в 100% случаев. Нет имплантационных систем, с которыми нельзя было бы получить хороший результат имплантологического лечения. Совершенно ошибочны рассуждения о том, что «дешевые импланты хуже приживаются», а «дорогие — намного лучше». Я много раз писал о том, что результат имплантации зависит исключительно от врача-имплантолога, его головы и рук, но никак не от марки, производителя и страны происхождения имплантационной системы. Если вы про это забыли, стоит почитать здесь>>  и здесь>>

    Между тем, некоторые маркетологи некоторых компаний продолжают считать всех идиотами, рекламируя «стопроцентную остеоинтеграцию» и «уникальные, не знающие осложнений имплантаты». Разумеется, повестись на такую рекламу могут только совершенные дебилы, у которых отсутствует понимание регенеративных процессов и принципов остеоинтеграции. И почему-то мне кажется, что вы не готовы доверить им своё здоровье.

    Между делом, меня иногда спрашивают, почему наш стоматологический центр CLINIC IN не работает с такими известными производителями имплантатов
     как Штрауманн или Нобель... Почему мы выбрали имплантационные системы компании Dentsply Sirona Implants?
     Всё просто - в маркетинговых наработках компании D.S.I. всегда было мало мракобесия, в то время как Штрауманн и, в меньшей степени, Нобель Биокер,
     в погоне за продажами, загадили мозги докторов просто гигантским количеством лжи псевдонаучного популизма. 
    Несмотря на то, что обе компании выпускают весьма достойные и во всех отношениях качественные имплантаты и имплантационные системы,
     мне просто не захотелось во всём этом участвовать. Выбор был сделан в пользу производителя, который, хотя бы, меньше врёт - как раз тот случай, 
    когда маркетинговая политика не привлекает, а отталкивает потенциальных партнёров.

    Все или почти все существующие на стоматологическом рынке дентальные имплантаты производятся по одной и той же технологии из одних и тех же биоинертных сплавов. Главное их отличие — это макродизайн и конструктивная компоновка. По этой причине, любая статистика, показывающая, что «ЭТИ имплантаты приживаются лучше, чем другие» — враньё. И уж тем более не существует достоверной и научно обоснованной статистики, которая показала бы, что недорогие имплантаты отторгаются чаще, чем дорогие. Подробнее об этом вы можете почитать, например, здесь>> или здесь>>

    3. Вероятность отторжения имплантатов почти не зависит от состояния вашего организма

    Как я уже написал ранее (а подробнее — в этой статье), вся современная имплантология основана на явлении остеоинтеграции, открытом П. И.- Браннемарком в шестидесятых годах прошлого века. Суть его проста: на биологически инертный объект отсутствует реакция иммунной системы, поэтому он обрастает живыми тканями. То есть, остеоинтеграция  — частный случай регенерации, способности организма к самовосстановлению. Это то же самое, что заживление ранки после пореза или лунки зуба после удаления.

    Скажите, насколько быстро и легко ваш организм справляется с травмами? Вам удалили зуб — как долго заживала лунка после удаления? Вы порезали палец — сколько времени прошло до момента образования рубца, были ли осложнения? Если в этих случаях с вами не случилось ничего страшного, то и с имплантацией всё будет хорошо. Ваш организм регенерирует — значит, он способен интегрировать дентальные имплантаты.

    Конечно, есть очень небольшое исключение, подходящее под слово «почти». Если у человека есть проблемы с регенерацией, то, скорее всего, имплантация ему противопоказана. Такое бывает в случае очень тяжёлых,  не совместимых с жизнью заболеваниях, потому что если организм теряет способность к самовосстановлению, он постепенно разрушается и гибнет. Человека с такими серьёзными проблемами со здоровьем, имплантация волнует в последнюю очередь, он живёт где-то недалеко от реанимации и зубы волнуют его в последнюю очередь.

    Иными словами, до тех пор, пока у вас заживают ранки на коже и лунки после удаления зубов — имплантация возможна, установленные вам имплантаты обязательно приживутся.

    Однажды в моей практике была история. Ко мне за советом обратилась пациентка, которой дважды (!) пытались поставить имплантаты, и дважды (!!!) 
    они не прижились. Её лечащий врач, между прочим, известный профессор, сказал ей,
     что "причина отторжений - состояние её организма, что у неё серьёзные проблемы со здоровьем и ей надо провериться". 
    У пациентки на фоне сказанного профессором снесло крышу, она обошла сотню врачей-специалистов,
     на одни только анализы потратила несколько сотен тысяч рублей... но, несмотря на все усилия, ничего опасного, 
    серьёзного и тяжёлого у неё не нашли. 
    Зато расследование показало, что известный профессор в первый раз закрутил корейские имплантаты во второй биотип кости с усилием больше 100 Нсм,
     а когда они вывалились, он, в те же лунки закрутил те же имплантаты, но большего диаметра. 
    С закономерным результатом. 
    К счастью, третья попытка имплантации прошла успешно просто потому, что мы следовали рекомендованному хирургическому протоколу
     и не прилагали больших усилий при установке имплантатов. А еще потому, что ни у кого из нашей команды нет звания профессора.

    Когда доктор утверждает, что «отторжение импланта произошло из-за особенностей вашего организма» — он лжёт. Повторная имплантация, как правило, успешная по причине  соблюдения всех правил и рекомендаций, очевидное тому доказательство.

    4. С юридической точки зрения, нельзя гарантировать результат хирургической операции, в т. ч. имплантации.

    Примерно также, как нельзя давать гарантии на результат аппендэктомии или аортокоронарное шунтирование. Законодательно установленных гарантийных обязательств на хирургические операции, в том числе, на операцию дентальной имплантации, нет.

    Поэтому, в случае неудачи, имплантолог или имплантологическая клиника могут отказать вам в возмещении потраченных на операцию средств или потребовать оплатить повторную операцию — и с точки зрения закона, они будут правы. К счастью, все хорошие доктора и клиники дорожат своей репутацией, и подобные отказы встречаются только в очень запущенных случаях.

    Почти все производители имплантационных систем дают пожизненную (lifetime) или, что более корректно, «бессрочную» гарантию на свою продукцию. Это значит, что на любом сроке после установки, даже через десять лет, мы можем обменять отторгшийся имплантат на новый. Поэтому многие клиники и доктора проводят повторную имплантацию бесплатно, хотя по закону не обязаны этого делать. Репутация важнее — поэтому мы заявляем о «бессрочной» гарантии на операцию имплантации:

    Обратите внимание, что речь идёт именно о хирургической операции установки имплантата, а не об имплантате как изделии. Здесь нет никаких подвохов.

    *  *  *

    Кратко резюмируя вышесказанное, я еще раз подчеркну, что:

    — отторжение импланта — это вовсе не иммунная и, тем более, не аллергическая реакция на имплантат. Его природа совершенно иная, она никак не связана с самим имплантатом.

    — в отторжении имплантата нет вины самого имплантата или имплантационной системы

    — нет статистики, которая достоверно и обоснованно показала, что какие-то имплантаты приживаются лучше или хуже, чем другие.

    — нет научных данных о том, что дешёвые имплантационные системы ведут себя хуже, чем дорогие. И наоборот.

    — состояние вашего организма не влияет на вероятность отторжения имплантата. До тех пор, пока у вас заживают ранки при порезах, восстанавливаются ссадины и проходят синяки, пока у вас работает регенерация — имплантаты остеоинтегрируются.

    — повторная имплантация, как правило, успешна — и это еще одно доказательство того, что отторжение происходит не из-за «особенностей организма», а по совершенно другим причинам.

    — с точки зрения закона, клиника или имплантолог не обязаны проводить повторную имплантацию бесплатно, но всё равно её проводят, потому что дорожат репутацией.

    Сроки и причины

    Для начала, стоит вспомнить хронологию стоматологической реабилитации с использованием имплантатов. В качестве примера возьмём самый простой случай — «классическая» отсроченная имплантация в боковом участке челюсти в условиях достаточного объёма костной ткани и слизистой оболочки:

    В среднем, восстановление зуба с помощью имплантата в случае одноэтапного протезирования занимает 3-4 месяца, а при двухэтапном протезировании, последовательном использовании временной и постоянной коронок — от 9 до 16 мес.

    К слову сказать, девять из десяти имплантатов протезируются по двухэтапной схеме — только так можно добиться как функциональности, так и соответствия эстетическим требованиям пациентов. Почему — стоит почитать здесь>>

    Потеря имплантата и, как следствие, результата лечения, может произойти на любом из этапов, в любом периоде. Поэтому изучать «отторжение» имплантатов и связанные с этим проблемы проще всего в контексте вышеизложенной хронологии.

     1. В период послеоперационной реабилитации (до двух недель с момента хирургической операции)

    В этом периоде симптомы отторжения очень похожи на то, как болят зубы: отёк после операции не проходит и даже увеличивается, боль не стихает (обезболивающие почти не помогают), на послеоперационной ране расходятся швы, нарастает подвижность имплантата, если он был установлен вместе с коронкой или формирователем десны. Если в обычных условиях вся послеоперационная симптоматика проходит, максимум, за неделю, то в этом случае болезненные ощущения не проходят даже через десять дней.

    При этом, рентгенологическая картина может быть совершенно нормальной — снимки делать бесполезно, они не покажут воспалительный процесс до тех пор, пока он не перейдёт в хронический с соответствующими морфологическими изменениями.

    Причинаизлишняя операционная травма, чаще всего — значительное превышение крутящего момента при установке имплантата и, как следствие компрессия окружающей имплантат костной ткани. Реже встречается ожог из-за недостаточной ирригации, особенно при использовании накостных хирургических шаблонов и внешнего охлаждения. Как результат, в костной ткани нарастает отёк, развивается воспалительный процесс явления по типу локального остеомиелита со всеми вытекающими — разрушением костной ткани вокруг имплантата, нарастанием его подвижности и т. д.

    Что делать пациенту?

    Нужно срочно обратиться к своему лечащему доктору. Нельзя пытаться заглушить боль или победить отёк слоновьими дозами обезболивающих и антибиотиков, ни к чему хорошему это не приведёт. Не нужно бежать и делать рентген или компьютерную томографию — они ничего не покажут. Вообще, если после имплантации через неделю вы вынуждены принимать лекарства — это повод задуматься, всё ли идёт нормально.

    Что делать доктору?

    Ни в коем случае нельзя говорить: «Потерпите! Это скоро пройдёт» или «Вы себе это придумываете, болеть не должно!». Не нужно делать рентген и втирать пациенту «Ну, видите, всё же нормально!». Нет смысла усиливать антибактериальную или противовоспалительную терапию — это бесполезно.  Не проходящая и,  тем более, нарастающая воспалительная симптоматика — это повод для ревизии послеоперационной раны. Перкуссия имплантата (при открытом заживлении) похожа на перкуссию зуба в состоянии острого периодонтита, она воспринимается резко болезненно. При этом, сам имплантат может быть более-менее стабильным.

    Определённую сложность вызывает диагностика при немедленном протезировании, типа «всё-на-четырёх». Чтобы найти проблемный имплантат, нужно снять протетическую конструкцию и обследовать каждую опору в отдельности. Я понимаю, что снимать её нежелательно, однако, это как раз та ситуация, когда промедление может свести к нулю весь результат лечения.

    Лечение. Увы, только удалением имплантата. Чем раньше вы это сделаете, тем меньше костной ткани потеряете (почему, написано здесь>>). Чем дольше имплантат будет сдавливать окружающую кость, тем больше будет интенсивность воспаления, тем выше будет уровень остеолизиса, тем больше мороки будет при переделке. Спасти такой имплантат практически невозможно. Да и не нужно этого делать — победой над острым воспалительным процессом вы добьётесь, максимум, фиброинтеграции (вследствие фиброзного перерождения кости вокруг имплантата — это следствие хронической травмы и воспаления), а фиброинтегрированный имплантат не может нормально выполнять свою функцию.

    В общем, убрать проблемный имплантат проще, дешевле, безопаснее и правильнее. Дальнейшее лечение будет выглядеть так:

    У нас в практике еще ни разу не было ситуации, чтобы повторно установленный имплантат не прижился. Что еще раз подтверждает версию о том, что ни особенности организма, ни марка имплантационной системы не являются причинами отторжения.

     2. До момента формирования десны и протезирования (до 3-4 месяцев с момента установки имплантата)

    При менее активной иммунной системе острый постоперационный воспалительный процесс незаметно переходит в хронический.

    Обычно такую ситуацию мы не называем «отторжением», а говорим о том, что имплантат «не прижился». При этом, я должен заметить, что в процентном отношении это наиболее частый период для отторжения

    Симптоматика в таких случаях, как правило, незначительная, либо отсутствует вообще. При закрытом заживлении (когда имплантат не видно из полости рта) отторжение часто является сюрпризом как для доктора, так и для пациента — «Всё же было нормально!».

    Рентгенологическое обследование также не показательно — какие-то патологические изменения мы видим крайне редко и только в очень запущенных случаях.

    Причины отторжения всё те же — воспалительные явления окружающей имплантат костной ткани, и, как следствие, нарушение регенерации и фиброзное перерождение. Однако, в силу особенностей иммунной системы организма, она реагирует на компрессию или ожог кости не столь бурно, и операционная травма перетекает в хронический воспалительный процесс, минуя острую фазу. Отсюда — отсутствие симптоматики и крайне не выраженная рентгенологическая картина.

    Что делать пациенту?

    Как правило, не прижившийся имплантат выявляется на одном из отсроченных послеоперационных осмотров или на следующем этапе лечения (например, при снятии слепков для протезирования или установке формирователей). И это очень неприятно хотя бы потому, что сроки вашего лечения сдвигаются, как минимум, на полгода. Однако, не стоит ждать и надеяться, что не прижившийся за три месяца имплантат приживётся за четыре или пять. Не нужно принимать кальцийсодержащие препараты и пытаться «укрепить» костную ткань каким-то иным способом. Повторюсь, дело не в вас и не в вашем организме, возможности повлиять на уже развившийся хронический воспалительный процесс у вас нет. Обратитесь к вашему доктору.

    Что делать доктору?

    Как понять, всё ли в порядке с имплантатом, который мы установили? Есть несколько способов: один неправильный, другой —  дорогой и пафосный, третий и четвертый —  простые и весьма надёжные.

     1. Неправильный способ: Сделать рентгеновский снимок, любой на выбор. Но, как я сказал выше, рентгенологические признаки отторжения в таких случаях крайне редки и проявляются только в самых запущенных случаях, когда и без снимка всё понятно.

     2. Дорогой и пафосный способ: Купить специальный прибор для оценки степени интеграции имплантата. Что-то вроде этого:

    Принцип его действия очень прост: он измеряет распространение звуковых волн в имплантате. Его покупка рекомендована глухим и тупым докторам с переизбытком денег, а также тем, кто пишет диссертацию о зависимости прыщей от космических лучей зависимости степени интеграции от дисперсности наноуглеродного покрытия имплантата. То есть, занимается хуетой.

    3. Простой и надёжный способ: их, на самом дела, два, они прекрасно дополняют друг друга.

    а) Аккуратно постучите по открытому имплантату или прикрученному к нему формирователю ручкой зонда. Примерно так, как вы проводите перкуссию зуба. Вы получите ясный, чёткий и относительно высокий звук, похожий на звук перкуссии здорового зуба. Так звучит нормальный интегрированный имплантат. Глухой, тупой и низкий звук перкуссии говорит о том, что имплантат не интегрировался.

    б) возьмите динамометрический ключ, поставьте в него имплантовод, зафиксируйте всё это в шахте имплантата. Попробуйте провернуть имплантат с усилием 30 Нсм (не больше!). Если имплантат не проворачивается, а пациент при такой нагрузке не испытывает никаких болезненных ощущений, то можно говорить об успешной остеоинтеграции. И наоборот, проворот имплантата под нагрузкой 20-30 Нсм, сопровождаемый подпрыгиванием пациента от боли — признак того, что имплантат не интегрировался.

    Что делать дальше?

    Ждать с мыслями «а вдруг приживётся?», как минимум, глупо. Если имплантат не интегрировался за три месяца, он не интегрируется за четыре или десять месяцев. Между тем, вы теряете время. Чем дольше хронический воспалительный процесс, тем больше костной ткани вы потеряете. Поэтому удаляйте имплантат сразу, как только заметите проблемы с интеграцией. После чего, возвращаемся к схеме дальнейшего лечения, описанной ранее:

    Важное замечание: Как правило, хроническое воспаление, сопровождающее "отторжение" имплантатов,
     приводит к существенной потере костной ткани (см. статью про атрофию). 
    Поэтому в продолжении лечения нам, скорее всего, потребуется остеопластическая операция. 
    В нашем стоматологическом центре CLINIC IN в таких случаях мы делаем её бесплатно,
     в рамках оговоренных гарантийных обязательств.

     3. После протезирования (временного или постоянного)

    А вот это  — совсем большая редкость:

    Если имплантат дошёл до протезирования, если позволил установить на себя коронку, то риски того, что он расшатается и выпадет, крайне малы. По факту, мы встречаемся с подобными ситуациями не чаще раза в год (если мы говорим именно о потере имплантата).

    Существует два варианта развития «отторжения», принципиально разных по своей природе.

    Первый вариант связан с упоминавшейся ранее фиброинтеграцией, когда в силу особенностей макродизайна имплантат довольно прочно удерживается в костной ткани и позволяет зафиксировать на него коронку. Однако в последующем, под жевательной нагрузкой появляется подвижность имплантата, что и приводит к его потере.

    Симптоматика в этом случае может быть довольно противоречивой: от «совершенно не беспокоит» до «постоянный дискомфорт». При снятии оттисков, фиксации трансфера, абатмента или коронки, пациент говорит, что «чувствует имплантат», но без болезненности. Как правило, боль появляется только на финальных стадиях, при значительной подвижности.

    Рентгенологическая картина также не однозначна: от «ничего не видно» до значительной деструкции костной ткани вокруг имплантата:

    Причины — те же, что и в предыдущем случае: хроническая компрессионная травма окружающей имплантат костной ткани избыточным торком, изредка — ожог из-за отсутствия адекватной ирригации. Но в силу особенностей макродизайна, а именно, благодаря развитым антифрикционным и/или антиротационным конструктивным элементам, имплантат не проворачивается даже при значительном (до 40 Нсм) усилии. Это затрудняет диагностику фиброинтеграции на ранних стадиях.

    Что делать пациенту?

    Чтобы самостоятельно определить причину появления подвижности протеза, опирающегося на имплантаты, нужно вспомнить физику, а именно  — физику колебаний: чем короче маятник, тем меньше период его колебаний, что выражается формулой:

    и наглядной картинкой:

    Иными словами, если проблема в фиксации коронки, то она будет болтаться больше, чем не интегрировавшийся имплантат. Причём, подвижность коронки, как правило, безболезненна. В этом случае нужно записаться к ортопеду для повторной фиксации коронки. Ходить с развинтившейся коронкой нельзя — можно поломать фиксирующий винт или повредить шахту имплантата.

    Если же период колебаний большой, а частота маленькая, то, скорее всего, подвижен сам имплантат. Обычно при этом пациент чувствует боль, похожую на зубную. Если с вами случилось что-то подобное — лучше записаться сразу к хирургу. Возможно, потребуется удаление имплантата.

    Что делать доктору?

    Для начала, следует разобраться, что подвижно — сам имплантат или коронка на имплантате. Это можно сделать тем же способом, что описан выше, но лучший вариант — это снятие протеза (всё равно нужно перефиксировать), фиксация на опорные имплантаты трансферов и проверка стабильности имплантатов по подвижности трансферов и прилагаемому к ним усилию (не более 30 Нсм).

    Выявленная подвижность имплантата — это повод для его удаления. И чем раньше мы его проведём — тем проще будет реимплантация.

    Второй вариант, как уже упоминал, развивается по иному сценарию. Имя ему — ПЕРИИМПЛАНТИТ:

    И о нём мы поговорим в следующей статье. Не переключайтесь!

    С уважением, Станислав Васильев.

     

  • Всё-на-четырёх, всё-на-шести, съёмное и несъёмное — имплантация и протезирование при полном отсутствии зубов

    Всё-на-четырёх, всё-на-шести, съёмное и несъёмное — имплантация и протезирование при полном отсутствии зубов

    Существует масса вариантов реабилитации пациентов с полным отсутствием зубов, как с использованием имплантатов, так и без них. Частично, мы затрагивали эту тему в данной статье, а сегодня мы предметно рассмотрим существующие методики протезирования беззубых челюстей с опорой на имплантаты, поговорим о показаниях и противопоказаниях различных планов протезирования и обсудим различия между ними.

    В отличие от других клинических ситуаций, отсутствие зубов на челюсти даёт довольно широкий простор для творчества. Мы видим множество решений, предлагаемых различными клиниками. В общих чертах, как уже упоминалось ранее, его можно разделить на съёмное и несъёмное. В свою очередь, съемное протезирование делится на два вида, замковая фиксация съемного протеза на специальных абатментах и использование для его опоры специальной балки (или балок):

    «Замковая фиксация съемного протеза» которая реализуется двумя способами: специальными шариковыми абатментами или т. н. «локаторами»:

    Мы наблюдаем пациентов с подобными конструкциями больше 10 лет. Например, у лечения, описанного на картинках выше, есть продолжение:

    Как видите, лечение в данном случае проходило отнюдь не гладко. Поэтому, каким бы привлекательным ни казалось использование двух имплантатов для фиксации уже существующих съемных протезов, это, всё же, временное решение, неизбежно сулящее проблемы в отдалённой перспективе.

    Поэтому мы используем его крайне редко, почти всегда в качестве временной опоры

    В качестве постоянного его можно использовать только в случаях:

     — когда возраст пациента от 75 лет и старше.

     — когда стаж использования съёмных протезов больше 10-15 лет

     — когда антагонистом также является съёмный протез

    Выполнение этих условий — гарантия того, что на имплантаты, замки и сам протез не будет прилагаться нагрузка, способная всё испортить. Вместе с тем, это малотравматичное решение, хоть немного улучшающее качество жизни пациентам, которым для фиксации съёмных протезов приходится использовать специальный клей, типа Corega.

    Каким бы чудесным это решение ни было, каким бы простым и дешёвым оно ни казалось, мы не рекомендуем использовать его в качестве постоянного во всех иных клинических ситуациях, таких как:

     — возраст моложе 70 лет

     — нет опыта использования полных съёмных протезов

     — антагонистами являются несъёмные протетические конструкции с опорой на естественные зубы и/или имплантаты

     — при мышечно-суставной дисфункции, особенно, сопровождающейся бруксизмом.

     — при быстрой, очень быстрой потере зубов, например, в результате прогрессирующего пародонтита.

    Во всех этих случаях лучше рассмотреть другой вариант реабилитации.

    А варианты?

    Штудируя доступную информацию в интернете, чаше всего вы встретите предложения, отличающиеся лишь количеством имплантатов. От «всё-на-шести» и «всё-на-четырёх» (самые распространённые) до крайностей, предполагающих использования от трёх до десяти имплантатов на одну челюсть. При этом, предполагается один единственный вариант протезирования — несъёмная конструкция с винтовой фиксацией. Что-то вроде этого:

    Реклама этой методики, когда за какие-то 30-50 тыс. рублей на трёх или четырёх имплантатах можно восстановить целый зубной ряд, причём, до состояния «Голливудской улыбки» — известное наебалово, уже упоминавшееся в одной из наших статей. Подобный вид протезирования имеет массу противопоказаний, он подходит для разрешения очень ограниченного количества клинических ситуаций, довольно проблематичен как для пациента, так и для врача — и это как раз то, что скрывает реклама за фразой «имеются противопоказания, проконсультируйтесь с врачом». Но халява, таки, манит….

    По факту, не всё так однозначно.

    Существует два вида постоянного протезирования при полном отсутствии зубов, съёмное и несъёмное:

    Обратите внимание, что как в первом, так и во втором варианте мы используем, в принципе, одно и то же количество имплантов, четыре, шесть или восемь. То есть,

    вид протезирования не зависит от числа опорных имплантатов,

    а выбирается, исходя из каких-то других критериев.

    Как выбирается вид протезирования?

    Для начала, обратимся к норме и представим, что все зубы на месте.

    Несмотря на то, что все люди очень разные, строение и геометрические параметры их зубочелюстной системы, в целом, схожи и измеряемы — это, собственно, называется нормой. В контексте сегодняшней темы, нас интересуют лишь некоторые из них:

    положение суставной головки, а точнее внутрисуставные соотношения  — один из главных параметров зубочелюстной системы. Следует помнить, что «правильный прикус» — это не просто ровные и красивые зубы, а такое их соотношение, при котором они равномерно и правильно нагружаются, при этом височно-нижнечелюстные суставы и жевательные мышцы находятся, соответственно, в правильном положении и тонусе. Пока все зубы на месте, последнее, во многом, определяется смыканием зубов — именно поэтому для лечения заболеваний височно-нижнечелюстных суставов или мышечно-суставных дисфункций, в первую очередь, работают с прикусом. Но когда зубов нет от слова «вообще», определение правильного положения суставной головки представляет серьёзную проблему.

    межальвеолярная высота — проще говоря, это расстояние между верхней и нижней челюстью по вертикали. Это один из ключевых критериев, определяющих вид протезирования

    окклюзионная кривая, иногда её называют сагиттальной кривой Шпее — это линия, которую можно провести через все точки контакта верхних и нижних зубов. Она имеет вид дуги с определёнными параметрами, в частности радиусом, и обеспечивает сохранение точек контактов зубов при любых движениях нижней челюсти в горизонтальной плоскости. Именно благодаря такой геометрии мы вообще можем пережёвывать пищу, в противном случае, выдвижение нижней челюсти в бок приводило бы к потере контактов между зубами и невозможности жевания как такового.

    То, что мы называем «прикусом», является ключевым элементом нормального функционирования зубочелюстной системы. Мы уже не раз говорили о том, что правильный прикус — это основа здоровья зубочелюстной системы, и что многие зубные проблемы, от множественного кариеса до пародонтита, связаны именно с патологией прикуса.

    При потере зубов на одной или обеих челюстях, определение и, тем более, восстановление данных параметров представляет довольно большую проблему:

    еще сложнее это сделать при длительном отсутствии зубов и выраженной атрофии челюстных костей:

    По сути, у нас не остаётся ориентиров «правильного прикуса», кроме как положения суставной головки нижней челюсти относительно суставного бугорка. Чтобы определить правильное соотношение челюстей при отсутствии внешних ориентиров (в виде зубов), используется т. н. «функциональная диагностика»:

    Артикулятор на фото справа позволяет перенести параметры зубочелюстной системы в удобную «виртуальную» модель. На её основе можно сделать прототип протеза и понять, всё ли мы правильно рассчитали:

    Забегая вперёд, скажем, что подобная диагностика — довольно долгий и сложный процесс. Именно на этом этапе делается гигантское количество ошибок, а отсутствие диагностики , что часто бывает в заманухе типа «всё-на-четырёх за один день, сделал и забыл» — основная причина последующих осложнений и проблем.

    Важный момент: Основная причина, с которой к нам обращаются с просьбой помочь с последствиями базальной имплантации, 
    как раз и заключается в том, что всё делают очень быстро и без вменяемой диагностики, тем самым провоцируют множество мышечно-суставных проблем.
     Увы, для пациента у которого долгое время отсутствовали зубы, либо была патология прикуса, 
    быстрых решений, типа "всё и за один-два дня", нет и быть не может.

    Поэтому протезирование при полном отсутствии зубов  — это далеко не один, два или даже три дня, как утверждает реклама… не понятно только, почему вы до сих пор ей верите.

    Благодаря правильной диагностике и примеркам, у нас есть необходимые данные для протезирования. С этого момента, мы можем планировать будущую протетическую конструкцию и подобрать для неё количество и положение имплантатов.

    Ключевой момент, от которого мы отталкиваемся в выборе метода протезирования — атрофия альвеолярного гребня и её следствие — увеличенная межальвеолярная высота. Мы уже определили её в ходе диагностики, как, собственно, и окклюзионную кривую. Последняя, напомним, обеспечивает движения нижней челюсти относительно верхней и правильную работу мышц и суставов, поэтому проигнорировать её мы никак не можем.

    Длина и форма зубов являются, в том числе, эстетическими параметрами, следовательно мы не можем сделать зубы очень длинными или очень короткими. Таким образом, у нас остаётся два способа компенсации атрофии челюсти (или челюстей): утолщение основания самого протеза или наращивание костной ткани каким-либо методом. Последний способ при полной потере зубов используется крайне редко — это очень дорого, очень сложно и весьма непредсказуемо. Поэтому для восстановления нормальной межальвеолярной высоты, позволяющей выбрать эстетически правильную форму зубов, оперируют основанием (или базисом) самого зубного протеза.

    Важный момент: та самая "керамическая десна" на несъёмном протезе - это и есть компенсация увеличенной межальвеолярной высоты, 
    она позволяет правильно подобрать зубы по форме, длине и сделать их максимально похожими на настоящие

    Чем толще и больше основание протеза, тем сложнее за ним ухаживать, тем больше проблем доставляет его использование. Если протез несъёмный, то под ним и вокруг него создаётся довольно много «слепых зон» и мест скопления зубного налёта, от которого не спасает даже ирригатор.

    Поэтому в случае сильной атрофии будет правильнее рассмотреть вариант с опорой протеза на замковую балку, зафиксированную на имплантатах. В этом случае мы не ограничены толщиной базиса, с помощью него мы можем нехирургическими методами компенсировать даже существенную атрофию челюстей:

    Наверняка, кто-то из докторов не согласился бы с этим решением, посчитав, что четырёх имплантатов достаточно для опоры несъёмного протеза. Поэтому мы еще раз подчеркнём — вопрос не в количестве имплантатов, а в самой конструкции протеза. Если пациент из-за массивного основания протеза не сможет нормально за ним ухаживать, то импланты и саму протетическую конструкцию ждёт та же участь, что и естественные зубы — утрата.

    Съёмный протез с опорой на фиксированную к имплантатам балку лишён этого недостатка. Человек может самостоятельно снять его для гигиены, в полости рта остаётся лишь удобная для очистки компактная балка, при этом сохраняются все остальные преимущества протезирования с опорой на имплантаты — надёжность, долговечность, функциональность, удобство:

    Таким образом, основными показаниями для такого протезирования будут:

     — длительное отсутствие зубов и значительная атрофия челюстных костей.

     — необходимость существенной компенсации межальвеолярного расстояния и, как следствие — изготовления протеза с массивным основанием.

     — предполагаемые затруднения с гигиеной полости рта.

    В других случаях мы можем, без существенных рисков, планировать несъёмное протезирование на имплантатах.

    Как упоминалось ранее в этой статье, фиксация несъёмного протеза на имплантаты может быть винтовой и цементной. Последняя для фиксации столь массивных зубных протезов практически не используется — в первую очередь, из-за «необслуживаемости», технической сложности и высокой стоимости компонентов:

    Поэтому при полной утрате зубов используют исключительно винтовую фиксацию протеза на имплантаты посредством специальных переходников — многофункциональных (Multi-Purpose или Multi-Unit) абатментов:

    Здесь>> вы можете почитать о них более подробно. Мы же разберём, сколько имплантатов необходимо для фиксации несъёмного протеза.

    Четыре, шесть… или, может быть, три?

    Компания Nobel Biocare по праву считается передовиком в сфере имплантологических инноваций, хотя некоторые из предлагаемых ими решений, мягко говоря, широко обсуждаются в профессиональном сообществе. Так, совсем недавно, она предложила концепцию Trefoil, позволяющую использовать всего три (!) имплантата для опоры несъёмного протеза:

    Также стоит отметить, что схема All-On-4, т. е. «всё-на-четырёх» также была предложена специалистами компании Nobel Biocare, и остальные, вроде как, получаются «повторюшками-хрюшками»:

    Конечно, это не значит, что данную концепцию нельзя реализовать с другими имплантатами — конечно можно, и мы постоянно это делаем:

    Суть в другом:

     Trefoil, как и All-On-4 разрабатывались и предлагались компанией Nobel с массой оговорок по показаниям и противопоказаниям, они являются компромиссными схемами и, следовательно, не могут быть применены ко всем подряд клиническим случаям.

    Относительная дешевизна и кажущаяся простота привели к тому, что некоторые доктора значительно расширили показания к протезированию по данным методикам — как результат, сейчас мы видим не просто большое, а гигантское количество проблем в ближайшей и отдалённой перспективах. Фактически, сейчас мы наблюдаем ту же картину, что и с базальной имплантацией, когда из специфического и крайне компромиссного метода сделали чуть ли не панацею, «применяемую» абсолютно во всех клинических случаях. С предсказуемыми, разумеется, последствиями.

    Чтобы такое не случилось с четырьмя имплантатами, установленными для опоры несъёмного протеза, следует знать, что:

     — дешевизна такой конструкции — это миф. Используемые в ней угловые многофункциональные абатменты иногда стоят дороже, чем два дополнительных имплантата.

     — для All-On-4 и особенно для Trefoil можно использовать только оригинальные компоненты имплантационных систем. Что также отражается на цене, отнюдь не положительно. Использование контрафактных, поддельных и левых запчастей — одна из основных причин осложнений, причём очень серьёзных, вроде переломов и потери имплантатов.

     — главная причина, по которой имплантаты ставят под углом — это желание избежать дорогостоящей остеопластики или синуслифтинга в боковых отделах. За это приходится платить неравномерным и очень компромиссным распределением нагрузки, в векторном разложении которой появляется неспецифическая составляющая, задающая крутящий момент. Проще говоря, то при такой постановке имплантата нагрузка на него передаётся и распределяется вовсе не так, как должна распределяться.

    именно поэтому подобные схемы протезирования рекомендованы пациентам с длительным отсутствием зубов и значительным, не менее 10-15 лет, опытом использования полных съёмных протезов. Если мы реализуем методику «всё-на-четырёх» при протезировании здорового мужика, который из-за пародонтита потерял все зубы два месяца назад, то с высокой степенью вероятности огребём массу проблем.

    с помощью этой методики невозможно компенсировать значительную атрофию кости. Почему? Потому что в этом случае массивный базис несъёмного протеза создаст сложности с гигиеной. В этом случае было бы правильнее рассмотреть съёмный протез с опорой на фиксированную на имплантатах балку, о котором мы говорили чуть ранее.

     — немедленная нагрузка, типа «зубы за один день», при реализации метода «всё-на-четырёх» — это редкость. сделать это удаётся далеко не всегда, скорее это исключение, чем правило. Все стоматологи радуются, когда такое получается, они тут же бегут выкладывать эти работы на свои странички в социальных сетях.

    Почему? Потому что сделать зубной протез с опорой на установленные имплантаты конечно можно, но вот сделать правильный и функциональный зубной протез — к сожалению, почти нереально. Поэтому, если у вас есть возможность избежать немедленного протезирования на имплантатах — лучше так и поступить. Поспешишь — людей насмешишь.

    Поэтому мы стараемся не нагружать имплантаты сразу после установки, используя в качестве опоры для протеза оставшиеся зубы:

    При наличии возможностей (а именно, остатков естественных зубов), мы используем такой подход довольно часто. Да, он получается более дорогим, нежели «всё и сразу», но зато несёт в себе гораздо меньше рисков, чем само немедленное протезирование. В частности, это касается схемы «всё-на-четырёх».

    И всё же, когда «всё-на-четырёх» — это хорошая годная методика? Признаться, мы не считаем её хорошей и годной методикой  даже в том небольшом числе клинических случаев, для решения которых она предназначена.

    Те киты, на которых держится её популярность, быстрота, дешевизна, простота, на поверку оказываются отнюдь не китами, а, максимум, пескарями.

    Поэтому единственной несъемной конструкцией, обладающей нужными нам качествами, является мостовидный протез с опорой на шесть и более имплантатов:

    Такую методику можно считать проверенной классикой, ведь она изготавливается по тем же самым принципам, что и мостовидные протезы с опорой на имплантаты.

    Единственное отличие — часто, очень часто для компенсации атрофии костной ткани (и увеличения межальвеолярной высоты) используют имитацию десны:

    Редко, очень редко, обычно при немедленной имплантации, мы можем обойтись без искусственной десны:

    Такие клинические ситуации мы относим к категории «ПОВЕЗЛО!», потому как чаще всего для создания зубов нужной формы и высоты, протезу необходим какое-то основание, компенсирующее убыль кости.

    От его толщины, опять же, будет зависеть, вид протезирования, съёмное или несъёмное. При значительной потере костной ткани и необходимости в толстом базисе, лучше рассмотреть вариант съёмного протеза с опорой на балку. Тогда пациенту будет намного проще за ним ухаживать, следовательно, мы не ухудшим качество жизни и не сократим срок службы самой конструкции.

    То же самое касается большего количества имплантатов — семь, восемь, десять, двенадцать… Увеличение количества отнюдь не улучшает эстетику, не избавит от искусственной десны и не улучшит вашу жизнь, если атрофия костной ткани зашла слишком уж далеко. Простой пример — это базальные имплантаты, которые устанавливают десятками, но пациенты всё равно остаются недовольными.

    А качество имплантации и, тем более, протезирования — это, прежде всего, довольный пациент.

     Заключение

    Неожиданно для себя, мы поняли, что невозможно рассказать обо всех нюансах протезирования в двух-трёх статьях. Упростив некоторые понятия, убрав термины, сделав огромные допущения и адаптировав текст для обычных людей, мы так и не смогли изложить и половины того, что считаем нужным. Сколько бы ни было информации о протезировании  — её всегда будет мало. И тому есть объяснение.

    С имплантатами всё очень просто — по факту, мы имеем несколько десятков имплантационных систем и несколько сотен типоразмеров. Каким бы ни был имплантат — ни его марка, ни его форма и, тем более, страна-производитель не определяют качества проведённого лечения.

    В то же время, зубной протез, эстетическая и функциональная имитация естественного зуба, индивидуален и неповторим. Как не существует на свете двух абсолютно одинаковых зубов, так никогда не будет двух одинаковых зубных протезов. Протезирование зубов — это всегда ручная работа, тонкая и деликатная, учитывающая тысячу нюансов и мелочей.

    Что бы там ни говорили, о чём бы ни писали маркетологи, никогда сканер-компьютер-фрезерный станок не заменят квалифицированного зубного техника и врача-протезиста. Ни одна, даже самая совершенная компьютерная программа, оперирующая стандартными библиотеками форм и размеров зубов, не снизит актуальность опыта, компетенции, взгляда и просто эстетического вкуса правильного доктора.

    Вдруг случилось ужасное событие — человек потерял все зубы. Если раньше оно автоматически переводило активного и молодого человека в разряд старичка, то сейчас мы научились восстанавливать целые зубные ряды с высокой степенью надёжности и повышением качества жизни. Для этого мы используем в качестве опоры для зубных протезов дентальные имплантаты.

    Что бы ни рассказывала вам реклама, протезирование зубов — это долгий, сложный и, к сожалению, очень дорогой лечебный процесс.

    Вид протезирования (съёмное или несъёмное), а также количество имплантатов (четыре, шесть или больше) подбираются, исходя из клинической картины и учитывают огромное количество факторов. Безусловно, мы принимаем к сведению и все «хотелки пациентов», но только в том случае, если они не противоречат здравому смыслу и не влияют отрицательно на качество протезирования.

    Поэтому, когда мы говорим о планировании подобного лечения, его сроках и, тем более, стоимости — нужно поступать разумно и рассматривать каждый случай индивидуально. Лучший вариант — на очной консультации врача-специалиста. Всё, что вам для этого нужно — это позвонить нам, написать в любой из мессенджеров, оставить сообщение на нашей страничке в социальной сети или просто заполнить форму на сайте, а после выбрать удобное время для встречи с доктором.

    Спасибо, что дочитали до конца.

    Как всегда, мы готовы ответить на все ваши вопросы в комментариях под этой статьёй

    С уважением, CLINIC IN

    Что еще почитать про протезирование зубов в CLINIC IN?
    Целый раздел про протезирование зубов
    Вы планируете протезирование зубов. Что нужно знать об этом еще до консультации стоматолога?
    Протезирование с опорой на имплантаты — как это делается?
    Целый раздел по имплантации зубов
    Ортопедическая платформа имплантата — конусы, шестигранники и винты
    О качестве имплантации
    Стоимость протезирования зубов в CLINIC IN
  • Методы остеопластики: аутотрансплантация крупных костных фрагментов и пересадка костных блоков.

    Методы остеопластики: аутотрансплантация крупных костных фрагментов и пересадка костных блоков.

    Вернёмся немного назад и посмотрим, что уже было написано про остеопластику:

    — Теория остеопластики: блоки, стружка, биоматериалы и остеогенез.  — полезная статья, с которой нужно начинать изучение остеопластических операций вообще.

    — Факторы успеха остеопластических операций (часть I, часть II, часть III, часть IV, часть V) — признаюсь честно, эта статья слегка устарела. Но почитать стоит.

    — Простой. Надежный. Дешевый. Способ остеопластики — статья, посвященная одному лишь методу, аутотрансплантации крупных костных фрагментов.

    — Куда уходит костный блок? — разбор полётов после использования метода, описанного в статье выше.

    — Имплантация и остеопластика: вместе или врозь? (часть I, часть II) — статья про остеопластические операции, проводимые одновременно с установкой имплантов.

     — О выборе метода наращивания костной ткани и неудачных результатах — здесь я объясняю, почему иногда при остеопластике мы получаем вовсе не то, что хотим получить.

     — Сколько нужно ждать после наращивания костной ткани? И когда можно проводить имплантацию? — три, шесть или девять месяцев? Статья о том, сколько времени занимает регенерация после остеопластической операции.

     — Методы остеопластики: остеотомия и расщепление альвеолярного гребня — предыдущая статья этого цикла, в которой очень подробно рассмотрена популярная методика наращивания костной ткани.

    Ну и вообще, следите за хэштегами «остеопластика» и «имплантация» на этом сайте — и всегда будете в теме.

    Сегодня мы продолжаем разговор про наращивание костной ткани и снова обратимся к схеме из этой статьи:

    В прошлый раз мы изучали остеотомию, метод из категории «модификаций», когда воссоздание нужного объёма альвеолярного гребня достигается путём перемещения его частей относительно друг друга непосредственно в зоне операции. Иногда при расщеплении используют биоматериалы (тот же остеографт), что переводит метод в категорию «комбинированных», однако, сути это не меняет — нужный объём достигается и без искусственной костной ткани.

    Возможности остеотомии ограничены шириной альвеолярного гребня. Чтобы сделать расщепление, у нас должно быть что-то, что можно расщепить. Например, в этом случае методика остеотомии не реализуема в принципе:

    Какие варианты по наращиванию костной ткани остаются?

    Выбор небольшой: либо направленная костная регенерация (что весьма сложно и дорого, если учесть, что мы имеем дело с первым биотипом кости), либо аутотрансплантация костный фрагментов. (что тоже сложно и травматично, но зато не так дорого).

    Относительная дешевизна реализации даже в случаях значительной потери костной ткани — это то, что делает метод пересадки костных блоков очень популярным и востребованным в наше суровое время. Аутотрансплантация прекрасно зарекомендовала себя при работе с I-II биотипами костной ткани, когда из-за атрофических процессов принимающее ложе почти не содержит способных к делению клеточных элементов. Нередко её рассматривают как метод «последнего шанса» — и, опять же, в силу высокой степени надёжности. Поэтому мнение о том, что «пересадка костных блоков устарела», как минимум, ошибочно, а утверждение о том, что «со временем пересаженный костный блок рассасывается» говорит лишь о том, что доктора так и не научились правильно её реализовывать.

    В общем, этот метод однозначно заслуживает вашего внимания.

    Преимущества

    — это, пожалуй, самый дешёвый способ остеопластики, позволяющий наращивать костную ткань в каких угодно объёмах. Потому что не требует использования биоматериалов, барьерных мембран и остеографтов.

    — позволяет с высокой степенью надёжности восстанавливать участки с I-II биотипом костной ткани. 

    — объём восстанавливаемой кости ограничен только размером пересаживаемых фрагментов. При использовании внеротовых донорских участков — ограничений по объёму, в принципе, нет. Правда, в амбулаторной стоматологии мы используем только внутриротовые донорские участки.

    — метод универсальный, с помощью него можно восстанавливать костную ткань в любом участке любой челюсти, как по высоте, так и по ширине.

     — обеспечивает достаточную первичную стабильность имплантатов, поэтому нередко применяется совместно с имплантацией.

    Недостатки

     — высокая травматичность в сравнении с другими методами остеопластики, и это, пожалуй, главный недостаток метода аутотрансплантации. Для того, чтобы кость пересадить — её нужно где-то взять, а для этого следует подобрать донорский участок, выделить костный фрагмент, подготовить его и т. д. По сути, забор аутотрансплантата может превратиться в еще одну операцию.

     — значительная техническая сложность. Надо выбрать костный аутотрансплантат нужного размера, подготовить для него ложе, неподвижно зафиксировать и т. д. — и всё это, иногда, в очень тесных условиях. Также необходимым условиям успешного результата является точная подгонка костного блока под принимающее ложе (или наоборот) для обеспечения максимального контакта. А это непросто.

     — необходимость специального оборудования. Правильно провести аутотрансплантацию, используя подручные и привычные инструменты, крайне сложно.

     — иногда возникает необходимость убирать винты и прочие фиксирующие металлоконструкции. Но не всегда. Иногда, если удаление винтов превращается чуть ли не в отдельную хирургическую операцию, их можно оставить.

    Материалы и оборудование

    Как я уже написал выше, остеопластика методом аутотрансплантации имеет низкую себестоимость, и поэтому очень нравится как докторам, так и пациентам. Но оборудование для её реализации может себе позволить далеко не каждая клиника. И это ограничивает его широкое распространение.

    Главный инструмент для работы — ультразвуковая хирургическая установка. Выпускается всеми, но лучшие делают Acteon, Mectron и NSK. В частности, мы используем NSK VarioSurg со следующими насадками:

    последние две (SG2R и SG2L) не входят в базовый набор, их нужно докупать отдельно.

    Как и любой режущий инструмент, ультразвуковые насадки быстро изнашиваются. В среднем, их хватает на 30-50 рабочих циклов. Затупившимися насадками можно не только сделать ожог кости, но и поломать пьезохирургический наконечник. Поэтому меняйте их вовремя.

    В некоторых клиниках (как правило, специализирующихся на челюстно-лицевой хирургии) для забора аутотрансплантата, подготовки ложа и т. д., используют специальные наконечники с микропилами.

    Это тоже хорошее решение, но дорогое, сложное и, на мой взгляд, для амбулаторной стоматологии не совсем оправданное.

    А вот от чего принципиально стоит отказаться, так это от использования специальных наборов с циркулярными микропилками, типа FRIOS от Dentsply Friadent, придуманный небезызвестным профессором F. Khourry:

    Лично моё мнение — хуже этого набора может быть только полное отсутствие инструментов. Нет, он прекрасен для распиливания бараньих черепушек на всяких семинарчиках и мастер-классах, но использовать его на живых пациентах сложно, неудобно и даже опасно. К тому же, он весьма дорогой, стоит чуть дешевле какого-нибудь базового ультразвукового хирургического аппарата. Если он у вас есть — сдайте его в музей неудачных изобретений.

    Для фиксации аутотранплантата потребуются винты и минипластины. Традиционно, мы используем металлоконструкции российского производителя, фирмы «Конмет»:

     

    Набор остального инструмента выглядит так:

    Это всё, что необходимо. Обратите внимание, что мы не используем долото, молоток и ряд других привычных всяким остеорегенераторам, инструментов. Они действительно не нужны.

    Этапы операции

    Как и любая хирургическая манипуляция, остеопластическая операция методом аутотрансплантации костных фрагментов состоит из ряда этапов:

    Рассмотрим каждый из них, в отдельности.

    0. Анестезия, разрез, сепарация тканей.

    Нулевой этап, предшествующий любой остеопластической операции, имеющий, однако, в рамках контекста, некоторые особенности.

    Мы стараемся избегать седации или общего наркоза, поэтому подобные операции мы всегда проводим под местной анестезией. Её более, чем достаточно. А если учесть, что, в среднем, остеопластика занимает не больше часа, то необходимость наркоза вообще ставится под сомнение. Пациенты переносят такие операции очень легко.

    Для работы на нижней челюсти мы проводим проводниковую и инфильтрационную анестезии по такому же принципу, что и для удаления зуба. Область забора блока (в основном, ретромолярная область и наружная косая линия) обезболиваются инфильтрационно. Такой анестезии, которая длится более 3-4 часов, с избытком хватает даже на самую сложную операцию.

    На верхней челюсти, вследствие анатомических особенностей, аутотрансплантация применяется не так часто. Для неё достаточно инфильтрационной анестезии, прибегать к туберальной приходится крайне редко.

    Разрез — идеален по принципу «всё через одну рану». На нижней челюсти — особенно:

    Так, мы можем провести всю операцию, от выделения и получения аутотрансплантата до его фиксации, через одну рану. Это удобно, просто и безопасно. Именно поэтому горизонтальная атрофия (по толщине) альвеолярного гребня нижней челюсти на 98% разрешается именно таким способом.

    В подбородочной области мы делаем примерно то же самое:

    В остальных участках разрез делается точно также, как и при обычной остеопластике. Иногда необходим дополнительный разрез в донорском участке для получения аутотрансплантата.

    ВАЖНЫЙ МОМЕНТ! Мы стараемся делать разрез в пределах кератинизированной десны. Даже если её совсем не осталось:

    Помните о том, что эту рану после операции нужно будет как-то зашить. Правильно и, главное, герметично зашить разрез подвижной слизистой оболочки не так уж и просто. Думайте об этом заранее.

    Сепарацию тканей и скелетирование лучше проводить постепенно. Так, на первом этапе мы «раскрываем» донорский участок:

    Таким образом, вы хоть немного уменьшите травматичность операции.

    ВАЖНЫЙ МОМЕНТ! Не допускайте пересыхания костной ткани! Иногда особо усердные ассистенты орудуют аспиратором настолько эффективно, что, буквально, высушивают открытую костную ткань. Делать этого ни в коем случае нельзя. Если вы пока не работаете в области принимающего ложа — пусть оно кровоточит и заполнится кровью. На первом этапе зоной вашего интереса является исключительно донорский участок.

    Кстати, обратите внимание, насколько эластична и растяжима подвижная слизистая оболочка — сделав небольшие послабляющие разрезы (длиной менее 1 см), я открыл просто огромную по площади рану с удобным обзором и пространством для манипуляций.

    Не надо сразу резать «много» и «с запасом». Если будет необходимо — увеличьте разрез по ходу операции. Помните, что разрез — это ваш хирургический почерк, от которого должно веять рационализмом. Разрез — это взвешенный компромисс между хорошим обзором и пространством для манипуляций и площадью (читай, травматичностью) операционной раны.

    Теперь понимаете, почему я не люблю FRIOS от профессора F. Khourry? Чтобы им работать, нужна гигантская по размеру операционная рана, никак не соответствующая моим представлениям о рациональной и малотравматичной хирургии.

     1. Подбор донорской зоны и выделение костного фрагмента

    В амбулаторной стоматологической практике мы используем исключительно внутриротовые донорские участки.

    Есть методики использования ветви нижней челюсти, венечного отростка, носовой ости (!!!), но я считаю их излишне жестокими — в таких случаях лучше выбрать какой-то другой метод наращивания костной ткани, не предполагающий подобного насилия — ту же остеотомию или НКР.

    Для выделения костного фрагмента для аутотрансплантации удобно использовать ультразвуковую хирургическую систему, о которой я писал выше. Последовательность формирования костных разрезов приведена на рисунке:

     

    Для отделения аутотрансплантата мы используем обычный прямой и широкий элеватор. Оставьте молотки и долото последователям доктора Менгеле и прочим садистам.

    Просто поверните элеватор (или, как в данном случае, остеотом) вокруг своей оси — точно также, как при удалении зуба, — и блок отделится. Не прикладывайте значительных усилий, если что-то не получается с первого раза — вернитесь к этапу выделения аутотрансплантата с помощью ультразвукового хирургического инструмента.

    Получившийся костный блок можно поместить в ёмкость с физраствором:

    Стоит понимать, что с момента выделения костного аутотрансплантата, его жизнеспособность падает. Поэтому он не должен находиться в физрастворе слишком уж долго.

    Некоторое время назад, с целью снижения инфицирования мы добавляли в физраствор антибиотик широкого спектра действия:

    Кроме того, мы обильно «перчили» порошком антибиотика костную ткань во время операции. Но потом поняли, что всё это никому не нужная бабуйня — и отказались от антибиотика в физрастворе и порошка в ране.

    Также раньше мы обрабатывали блок до фиксации на принимающем ложе:

    Сейчас этого не делаем, адаптируем, скорее, принимающее ложе, а подгонку блока осуществляем после его фиксации. Следует помнить,что чем больше вы лапаете блок руками, жмёте его щипцами, пилите пилками — тем больше он потом резорбируется.

    Поэтому адаптацию аутотрансплантата удобнее проводить после фиксации, стараясь сохранить его максимально целым. Такая подгонка получается намного более точной и простой, чем «традиционная» в руках:

    Иными словами, старайтесь не трогать аутокостный блок от слова «вообще». Лучше обратите внимание на подготовку принимающего ложа.

     2. Подготовка принимающего ложа

    А вот это очень важный этап, значение которого сложно переоценить. С того момента, как мы разобрались в том, что такое «предел роста» и как биотип костной ткани влияет на регенерацию,  у нас резко уменьшилось количество осложнений и иных проблем с остеопластикой.

    Расскажу вкратце, если вам лень читать информацию по ссылкам.

    Поскольку кортикальная кость практически не содержит делящихся клеточных элементов (остеобластов), она является, своего рода, препятствием для движения и деления клеток.

    Поэтому прежде, чем вы зафиксируете блок, слой компактной кости следует убрать. Эта процедура преследует еще одну цель — она увеличивает площадь контакта графта с принимающим ложем. Больше площадь — больше клеток попадает в графт, что очень хорошо:

    Для точного и аккуратного снятия кортикального слоя, мы используем всё ту же ультразвуковую хирургическую систему. Если её нет — можно воспользоваться твердосплавными борами и прямым наконечником. В идеале, пересаживаемый аутокостный блок должен удерживаться в созданном вами пространстве без всяких винтов.

    3. Фиксация костного фрагмента на принимающем ложе

    О винтах. Делать винты еще проще, чем имплантаты, поэтому на российском стоматологическом рынке производителей металлоконструкций не много, а очень много. Каких-то принципиальных различий между винтами разных марок я не вижу, поэтому мы используем то, что доступно и удобно — «Конмет».

    Многих смущают выступающие шляпки, но, на мой взгляд, это хорошо — винты легко находятся и очень просто извлекаются прямо через слизистую:

    Количество винтов может быть разным, в зависимости от потребности. Потребность — зафиксировать костный блок до полной неподвижности. Если это достигается одним винтом — прекрасно. Двумя — отлично:

    Но бывают случаи (с тем же III-IV биотипом кости), что для надёжной стабилизации костного блока необходимо 3, 4 или даже пять винтов. Особенно это касается операций, если вы сразу после остеопластического этапа планируете установку имплантатов:

    Будьте внимательны, следите за тем, чтобы винты не прошли через область предполагаемой лунки имплантата. Иначе испортите фрезы из имплантологического набора, а они очень недешёвые.

    4. Установка имплантата (опционально)

    Одним из явных преимуществ данного метода остеопластики является возможность одномоментной установки имплантатов, причём с высокой степенью первичной стабильности. Однако, для этого должен быть соблюдён целый ряд условий, самое главное из которых — после установки имплантатов должна оставаться достаточная площадь контакта между графтом и принимающим ложем:

    Если это условие не соблюдается — лучше повременить с установкой имплантатов.

    Лунку под имплантат мы готовим по полному протоколу с небольшим «перепрепарированием». Превышение крутящего момента может поломать или сдвинуть костный блок, что, как понимаете, никак не улучшает послеоперационный прогноз.

    Поэтому использование кортикальной развёртки и метчика (если имеется) является обязательным этапом:

    Конечно, в таких условиях невозможно провести т. н. «немедленную нагрузку» на установленный имплантат. Необходимым условием, фактором успеха остеопластической операции является герметичность послеоперационной раны, а при использовании формирователей десны и, тем более, временных коронок, добиться этого невозможно.

    Отдельная тема — это использование биоматериалов, в частности, барьерных мембран во время аутотрансплантации.

    Чаще всего, барьерные мембраны не требуются. Но иногда возникают ситуации, когда вы, по каким-то причинам. не можете плотно соединить пересаживаемый аутокостный блок с акцепторной зоной, и между ними остаётся пространство. В таких случаях, имеет смысл изолировать область операции с помощью барьерной мембраны, иначе проросшие между аутотрансплантатом и альвеолярной костью мягкие ткани просто не дадут им срастись:

    Все истории о том, что костный блок, закрытый барьерной мембраной, «меньше резорбируется», не говоря уже о рекомендациях использования ксенографтов для «снижения резорбции» — это заблуждение. Резорбция пересаженного костного блока происходит совсем по другим причинам, и ни барьерная мембрана, ни килограмм Geistlich Bio-Oss не в силах её остановить.

    Поэтому используйте биоматериалы с умом. На 99% — это лишний геморрой для вас и лишние расходы для ваших пациентов.

    5. Наложение швов на операционную рану

    Открою вам маленький секрет — если вы правильно сформировали операционную рану на этапе разрезов, то у вас не возникнет проблем с её ушиванием. Чаще всего, вам даже не потребуется рассекать периост для того, чтобы мобилизовать слизистую:

    Для наложения швов мы используем только монофиламентный нерезорбируемый шовный материал, типа Пролена, Полипропилена, Резолона и т. д. Диаметр нити — 5-0, игла может быть любой, это не принципиально.

    Я бы рекомендовал воздержаться от ушивания раны Викрилом или любым другим полифиламентным и, тем более, резорбируемым материалом. Да, с точки зрения комфорта, он лучше, не колется, его можно не снимать. Однако, все полифиламентные нити крайне не гигиеничны, а это может сказаться на результате операции.

    Мы используем два типа хирургического шва, узловой и непрерывный. Первый  — в тех случаях, когда мы имеем дело с очень небольшим объёмом кератинизированной десны и, как следствие, угрозой деформации тканей из-за натяжения нити. К тому же, узловой шов проще, а случайно разорванная нить не приводит к необходимости начинать ушивание сначала.

    Существенный минус такого типа швов — дискомфорт, который он доставляет пациентам. Все эти торчащие концы узлов раздражают слизистую оболочку и язык, жить с ними очень неудобно. Иногда с помощью Гуттаката (нагревателя для гуттаперчи, что-то вроде маленького паяльника), мы оплавляем кончики, но это спасает ситуацию лишь отчасти. Поэтому значительно чаще мы используем непрерывный шов:

    Он удобнее для пациентов, а его наложение требует меньше времени, чем узловые швы. Однако, технически он более сложный, а расхождение одной из лигатур приводит к тому, что весь шов провисает и становится негерметичным. А это уже может сказаться на результате хирургической операции.

    6. Рекомендации и назначения

    В общих чертах, рекомендации и назначения после операции остеопластики приведены здесь>>, я не вижу смысла повторяться. Более того, там есть сформированная памятка в формате PDF, её можно скачать, откорректировать и раздавать пациентам. Остановлюсь лишь на нескольких очень важных моментах.

     1. Послеоперационные осмотры назначаются индивидуально, первый — через день, а дальше — по обстоятельствам. Назначив их через неделю или две после операции (да-да, такое бывает в клиниках, где имплантолог выходит только «под пациентов», 1-2 раза в неделю), вы оставляете пациентов без присмотра со всеми вытекающими. То есть, с невероятно высоким риском осложнений.

     2. Предупреждайте пациента заранее обо всех возможных явлениях. Для послеоперационного периода характерны как отёки и гематомы, так и болезненные ощущения. Их интенсивность и продолжительность — штука сугубо индивидуальная. Большой отёк и гематомы на лице вовсе не значат, что «всё плохо», и наоборот — отсутствие какой-либо послеоперационной симптоматики отнюдь не признак «успешной операции». Подробности здесь>>

     3. Рационально подходите к антибактериальной и противовоспалительной терапии. Не надо устраивать ковровые бомбардировки Аугментином по 1000 мг 3 раза в день и Кеторолом на каждые 4 часа. Назначьте минимум, и, исходя из симптоматики, корректируйте в ходе послеоперационных осмотров — именно для этого они и предназначены.

    Каких-то специфических послеоперационных рекомендаций именно для этого метода остеопластики нет. Если вы всё сделали правильно, послеоперационные симптомы пройдут через, максимум, через неделю. Через 10-14 дней можно снять швы — и ждать интеграции костного блока и имплантатов.

    Сколько нужно ждать до установки имплантатов или формирователей десны?

    Про это тоже есть статья на моём сайте. Рекомендую почитать>>

    Мы ждём з-4 месяца, не больше. К этому времени формируется первичная костная мозоль (остеоид), в котором высоко содержание активно делящихся клеток (остеобластов), но относительно слабая минерализация за счёт небольшого количества остеоцитов. Как раз в этот период, мы получаем наилучшую для работы костную ткань — в состоянии активной регенерации, не слишком плотную и удобную для обработки:

    Многие доктора рекомендуют ждать дольше — минимум, 6-9 месяцев, объясняя это необходимостью получения «очень плотной кости». Но…. для успешного продолжения работы, нам нужна не «плотная», а «жизнеспособная» костная ткань. В конце концов, перелом какой-нибудь трубчатой кости конечностей срастается за месяц, а мы ждём регенерации плоских костей, которые намного лучше кровоснабжаются и регенерируют по полгода и более. Где тут здравый смысл?

    Продолжение лечения

    Правильно подбирая клинические ситуации, последовательно и с пониманием реализуя все этапы аутотрансплантации, мы можем получать отличные результаты с минимальными затратами и усилиями:

    Другой метод остеопластики в области одного зуба стоил бы в два раза дороже:

    Подобных клинических случаев я могу привести очень и очень много — благо, это самая частая методика остеопластики, применяемая в нашей клинике. Вы и сами можете познакомиться с ними, если обратитесь к хэштегу «остеопластика» нашего сайта.

    Не так часто, но иногда мы проводим остеопластику отдельным этапом:

    *   *   *

    В прошлый раз мы с вами обсуждали остеопластику методом остеотомии. Сегодня я рассказал вам об аутотрансплантации костных фрагментов. В следующий раз мы с вами поговорим о самом модном методе наращивания костной ткани — направленной костной регенерации, её еще называют НКР или GBR (Guided Bone Regeneration). А после, я покажу вам самые сложные, комбинированные методы остеопластики.

    Не переключайтесь и подписывайтесь на обновления! Будет интересно.

    Спасибо, что дочитали до конца.

    Я напомню, что задать вопросы или оставить комментарии можно прямо в специальной форме под этой статьёй. Я отвечу всем.

    С уважением, Станислав Васильев.

  • О работе стоматологического центра CLINIC IN до 30 апреля.

    О работе стоматологического центра CLINIC IN до 30 апреля.

    Вообще-то, уважаемые друзья, я готовил для вас большую и очень интересную статью, посвящённую остеопластике (наращиванию костной ткани). Даже приготовил соответствующие картинки:

    Но вчера на экране в очередной раз появился Президент Путин В. В., тем самым дал мне отличный повод обратиться к вам еще раз.

    Итак, нерабочая неделя совершенно предсказуемо превратилась в нерабочий месяц. В связи с этим, я хочу рассказать вам о планах и режиме работы стоматологического центра CLINIC IN  до 30 апреля.

    МЫ РАБОТАЕМ!

    В привычном графике, с 9-00 до 21-00 без перерывов и выходных.

    К тем мерам, о которых я говорил пару недель назад, я хотел бы добавить следующую важную информацию:

    Согласно распоряжениям правительства и мэра Москвы (а именно, №28-УМ от 25.03.2020 «О внесении изменений в указ Мэра Москвы» от 5.03.2020 №12-УМ),

    с 28 марта и по 30 апреля

     — мы принимаем пациентов и оказываем стоматологическую помощь в экстренных и неотложных случаях, когда отсутствие лечения и/или наблюдения может привести к ухудшению клинической ситуации, представляет угрозу для жизни и здоровья.

     — заболевший зуб, воспалившаяся десна в области восьмёрки, не говоря уже о флюсах и отёках — это не повод терпеть и ждать конца месяца. Если есть стоматологическая проблема, которая существенно ухудшает качество жизни — нужно обратиться к доктору. То есть к нам.

     — не вылеченный и отложенный «до лучших времён» кариес может привести к пульпиту и периодонтиту.

    Поэтому кариес нужно лечить своевременно. Пожалуйста, не доводите свои зубы до депульпирования («удаления нервов») и не откладывайте лечение зубов.

     — мы принимаем пациентов из других клиник, вынужденных закрыться до конца месяца. Если вам необходим послеоперационный осмотр, снятие швов, коррекция пломб, фиксация слетевших коронок и брекетов — вы можете обратиться к нам. Мы никогда и никому не откажем в приёме, поскольку понимаем, насколько ужасно остаться без помощи в такой ситуации.

     — то же самое касается всех наших друзей, уже начавших лечение в нашей клинике. Мы выполним наши обязательства перед вами в полном объёме, несмотря на сложившиеся обстоятельства. Хоть это и не просто, но мы дали слово — и мы его сдержим.

     — отдельный пункт  — это ортодонтическое лечение. Несвоевременная коррекция, подклейка или переклейка брекетов может существенно осложнить последующее исправление прикуса. Поэтому, пожалуйста, не игнорируйте приёмы ортодонта.

     — при необходимости, наши доктора могут провести удалённую консультацию. Благо, к всех есть электронные средства связи, месенджеры, скайпы и вайберы, поэтому ничто не мешает вам выйти на связь с нужным специалистом и попросить его ответить на ваши вопросы.

     — в случае возникновения вопросов или каких-то иных проблем, вы всегда можете позвонить мне по телефону +7 915 459 58 24 или написать письмо на stanislav@clinicin.ru

    Уже сейчас в Москве и Московской области есть сложности с передвижением по улицам. Поэтому я прошу вас записывать на приём заранее (телефон +7 495 222 24 20, электронная почта info@clinicin.ru или специальная форма на нашем сайте), чтобы, в случае необходимости, мы могли подтвердить ваш визит. Также, после лечения, даже при отсутствии оплаты, не забудьте забрать у администратора квитанцию, в которой будут указаны даты текущего и следующего приёмов — это является подтверждением того, что вы были у доктора, и вам предстоит дальнейшее лечение. При необходимости, мы подготовим для вас соответствующие справки.

    *  *  *

    Как я и предупреждал в предыдущей публикации, ситуация с коронавирусом — это всерьёз и надолго. Не стоит ждать того самого «светлого дня», когда всё вернётся и всё будет по-прежнему. Пандемия, обвал экономики, растущие курсы валют — это наша суровая реальность, нам нужно научиться в ней жить.

    В такие моменты у многих из нас появляется «синдром мессии» — вокруг себя я вижу бесконечные призывы что-то делать или, наоборот, не делать, обвинения в действии или бездействии, поиски правых и виноватых. Поверьте, очень сложно остаться в стороне от происходящего и не поддаться соблазну высказать собственную единственно правильную и разумную точку зрения. Непросто воздержаться и не начать предлагать свои самые верные и безошибочные планы по решению мировых проблем и спасению человечества.

    Но… я останусь в стороне и воздержусь. Пусть этим занимаются профессионалы и политики.

    Мы же в CLINIC IN остаёмся хорошими врачами-стоматологами. Вашими стоматологами. Мы сохраняем всю ту атмосферу, уют и сервис, включая отличный кофе, лучший чай и разнообразие противокоронавирусных напитков, которые так вам нравятся.

    Мы с вами, что бы ни случилось.

    Всё будет хорошо.

    С уважением, Станислав Васильев, шеф CLINIC IN.

    Чтобы вы не скучали в самоизоляции, мы приготовили для вас подборку материалов по интересным темам:
     — гигиена и профилактика
     — лечение зубов
     — зубы мудрости и их удаление
     — исправление прикуса
     — имплантация зубов
     — протезирование зубов и имплантатов
     — синуслифтинг
     — наращивание костной ткани
     — всякая смешная фигня, не имеющая прямого отношения к нашей работе.
     — сайт IMPLANT-IN.COM — больше для врачей или очень смелых пациентов
     — наши страницы ВКонтакте, Фейсбуке, Твиттере, Инстаграме и, конечно же, Живой Журнал — там, где всегда хорошие новости.

     

     

  • О коронавирусе, курсе рублябля, карантине, записи и ценах — шеф рассказал

    О коронавирусе, курсе рублябля, карантине, записи и ценах — шеф рассказал

    Уважаемые друзья!

    Я уверен, что вы также, как и я, обеспокоены происходящими событиями. Коронавирусная пандемия, вечно падающий курс рубля, даже отсутствие защитных масок в аптеках, закрывающиеся границы и карантин — еще пару месяцев назад сложно было представить себе такую картину. Високосный год начался так, как ему и положено — с целой серии не слишком приятных событий.

    В этот момент трудно оставаться уверенным в завтрашнем дне. Нереально прогнозировать развитие ситуации на неделю-месяц-полгода вперёд. В таких условиях очень сложно вообще не запаниковать — тем более, поводов для паники более, чем достаточно.

    Наш стоматологический центр CLINIC IN — очень спокойное и уютное место. Здесь никогда никто не паникует. Здесь держат слово и выполняют данные ранее обязательства, несмотря на то, что будущее всего человечества скрыто туманом неопределённости. Потому что мы любим вас и дорожим вашим доверием.

    А теперь новости.

    COVID-19.

    Мы работаем. И будем работать. Но немного по-другому:

    — каждое утро перед началом смены все наши сотрудники проходят медосмотр. В случае подозрения на ОРВИ, сотрудник отправляется на больничный.

    — мы планируем расписание таким образом, чтобы в момент не собирать в клинике больше 2-3 пациентов. Благо, у нас есть три изолированных холла, и посетителей можно распределить так, чтобы они не контактировали друг с другом.

    Это только один из холлов, где можно подождать приём, отдохнуть и выпить кофе. Обратите внимание на расстояния между креслами — коронавирус, при всём его желании, так далеко не летает.

    — раз в 60 минут вся клиника (а не только лечебные кабинеты) обрабатывается антисептиком. Если это происходит в вашем присутствии, мы просим отнестись к этому с пониманием.

    Специальный противокоронавирусный анестетик есть в каждом холле, мы рекомендуем его использовать.

    Это не виски, а специальный высокоэффективный антисептик для обработки рук. Мы используем такой в хирургии перед операциями. Вы также можете смело им пользоваться.

    — мы увеличили время приёмов, это необходимо для более тщательной обработки лечебных кабинетов. Фактически, после каждого пациента, мы проводим генеральную уборку.

    Мы ведём хирургический приём в двух разных кабинетах. Первый (на фото) — это операционная, предназначенная для сложных хирургических операций (имплантация, остеопластика и т. д.). Второй кабинет мы используем для осмотров и несложных манипуляций, типа удаления зубов мудрости. Разделив потоки пациентов, нам проще поддерживать санитарно-эпидемиологический режим на должном уровне.

    — ну и, самое главное:

    НЕ ПАНИКУЙТЕ!

    Современные стандарты антисептической обработки и стерилизации, продуманная система вентиляции и введённые нами правила исключают какой-либо перенос и распространение инфекций. Стоматологическая клиника — это последнее место, где можно что-то подхватить. Будьте в этом уверены.

    Курс рублябляблябля….

    В целом, снижение курса рубля — это неплохо. Некоторые страны даже специально ослабляют курсы своих валют для того, чтобы их экспорт был конкурентоспособным на международном рынке. В нашей стране любое колебание курса национальной валюты сравнимо с холодным душем — всё вокруг замирает, жизнь останавливается, люди начинают создавать запасы «на чёрный день» и жаловаться на несчастную жизнь, правительство и лично Путина. Это можно объяснить — к сожалению, мы обычной жизни мы прямо или косвенно пользуемся импортной продукцией, материалами или оборудованием, стоимость и амортизация которых неизбежно возрастает с ростом доллара или евро относительно рубля.

    В стоматологической практике, вроде нашей, доля импортных материалов, инструментов или оборудования очень высока. Как ни странно, где-то нам до сих пор выставляют счета в евро (по курсу ЦБ РФ+3%). Поэтому повышение курсов иностранных валют неизбежно отражается на рентабельности нашей работы, отнюдь, не лучшим образом.

    Что делать?

    Искать другие, более доступные компоненты и материалы, переходить на контрафакт, «аналоги» — и терять в качестве, чтобы сохранить рентабельность? Или, может быть, пересчитать прейскурант в сторону увеличения, компенсируя, тем самым, разницу в курсе валют? Наверное, многие главные врачи и владельцы клиник ломают голову над этим вопросом.

    Многие — это не мы. Мы держим слово и выполняем обещания. На наш взгляд, репутация котируется выше, чем курсы иностранных валют, и, если мы обещали вам, дорогие друзья, что до конца марта не будем менять прейскурант — так тому и быть. Несмотря на очевидный провал в рентабельности, у нашей клиники есть запас прочности, чтобы выполнить все данные нами обязательства.

    Поэтому

    НЕ ПАНИКУЙТЕ!

    В ближайшее время, несмотря на подкатывающий к нам мировой финансовый кризис и падение индекса NASDAQ, для вас, уважаемые друзья, ничего не поменяется.

    Однако, я не могу гарантировать вам, что апреле, мае или позже, мы не вернёмся к этому вопросу. Потому как жертвовать качеством, переходя на дешёвые материалы и компоненты, мы не можем принципиально.

    Я прошу вас не отменять и не переносить приёмы без веских причин. Мы совершенно точно сохраним все цифры в согласованных с вами планах лечения, однако, только в течение ближайшего времени. Если вдруг курс евро прыгнет до 100-120 рублей, то, к сожалению, мы будем вынуждены их пересмотреть.

    *   *   *

    В 2008 году я переехал в Москву. Тогда же (если быть точным, 12 февраля 2008 года) я впервые познакомился с частной медициной — стал стоматологом-хирургом Реутовской Стоматологической Клиники.

    Летом 2008 года в США зародился, а затем распространился по всему миру ипотечный кризис, переросший в мировой финансовый 2009-2013), который затронул и нашу страну.

    В 2014 году, на фоне известных всем событий, нас пытались сломать санкциями и изоляцией.

    И вот, на дворе год двадцатый. Я живу в Москве 12 лет, и всё это время слышу вокруг себя «кризис, кризис, кризис…».

    Это не кризис, друзья. Это суровая реальность, пора бы привыкнуть. Лучше не станет. Дешевле — тоже.

    Спасибо вам, что остаётесь с нами в столь  непростое время.

    С уважением, Станислав Васильев, шеф CLINIC IN.

    Что еще почитать про CLINIC IN?
    Рубрика «шеф сказал» — то, как всё управляется.
    Доктор или барыга? Актуальные вопросы взаимоотношений стоматологов и их пациентов.
    Вы планируете консультацию в CLINIC IN. Что нужно знать еще до приёма стоматолога?
    Конечно же, наш прейскурант.

     

     

  • Профессиональная гигиена полости рта — чисто, комфортно, безопасно. Как новые технологии меняют нашу жизнь?

    Профессиональная гигиена полости рта — чисто, комфортно, безопасно. Как новые технологии меняют нашу жизнь?

    Прогресс в технологиях, методах и способах лечения стоматологических заболеваний можно представить в виде одной очень показательной картинки

    У нас есть пациенты. Это те люди, ради которых мы работаем и живём. Благодаря их запросам и требованиям, мы растём и развиваемся как специалисты, именно для них мы приобретаем лучшие инструменты, материалы и оборудование, ради выполнения их пожеланий мы постоянно учимся, осваиваем новые технологии и методы лечения.

    У нас есть самое современное оборудование. Его главное назначение — сделать нашу работу проще, а, если быть точнее, — упростить выполнение пожеланий, требований и запросов наших пациентов. Так и происходит. Благодаря наличию компьютерных томографов, микроскопов, ультразвуковых хирургических инструментов, современных имплантатов и биоматериалов, нам проще предоставить всем друзьям квалифицированное, качественное, безопасное и комфортное стоматологическое лечение.

    Как только технология или метод становятся обычными, появляются пациент, один-два или сотня, запросы и пожелания которых требуют от нас выйти за рамки «обычного». Через некоторое время такой подход нужен уже всем — и всё то, что мы напридумывали ранее, мгновенно устаревает. Запросы пациентов растут, стоматология пытается догнать их в попытке соответствовать, но… не догонит никогда. Эта гонка, сложная, но интересная, и есть прогресс. Как понимаете, он отнюдь не облегчает нашу работу. Наоборот, с каждым годом она становится всё сложнее и сложнее, несмотря на попытки инженеров, учёных и конструкторов упростить нашу стоматологическую жизнь.

    Возникает странный парадокс, который я как доктор не могу не замечать. С одной стороны, многие процедуры, которые когда-то считались сложными, упрощаются, благодаря современных технологиям. Судите сами — такие манипуляции как удаление зубов мудрости, наращивание костной ткани и синуслифтинг при имплантации, как и сама имплантация зубов стали проще, благодаря новому оборудованию, наконечникам и всяким там ультразвукам. Но, с другой стороны, все эти виды лечения не становятся дешевле. Скорее, имеет место быть обратная тенденция — некоторые клиники повышают стоимость эндодонтического лечения, если оно проводится под микроскопом (и, по идее, должно быть проще и, соответственно, дешевле).

    Некоторое время назад, у нас появился специальный прибор для профессиональной гигиены полости рта, EMS Prophylaxis Master, а вместе с ним — технология максимально комфортной, безопасной и аккуратной профессиональной чистки зубов:

    Благодаря встроенному подогреву воды, значительно меньшим по размеру гранулам порошка, специальной конструкции наконечников, наши пациенты сразу почувствовали разницу:

    — теперь не нужно одеваться в противочумный костюм — сама процедура профессиональной гигиены получается очень чистой и аккуратной, вас после посещения доктора не нужно пылесосить, а макияж останется на месте, особенно у мужчин.

    —  более мелкий порошок не разбивает зубную эмаль и открытые участки корней зубов — а это значит, что ваши зубы после чистки не придётся полировать специальной щёткой. Сама процедура профессиональной гигиены становится проще и быстрее.

    — специальная конструкция сопла наконечника экономит порошок, выдаёт его точно и аккуратно — он не рвёт ваши десны в кровь, не повреждает пародонт, не срывает пломбы и коронки. Профессиональная чистка зубов стала более безопасной и комфортной.

    — подогрев воды делает профессиональную гигиену комфортной и безболезненной даже для очень чувствительных зубов.

    Иными словами, друзья, прогресс налицо. Не самая приятная стоматологическая процедура стала:

    — быстрее

    — комфортнее

    — безопаснее

    — чище и проще

    Неудивительно, что некоторые клиники выделили профессиональную чистку с помощью этого аппарата в отдельную позицию прейскуранта и подняли на неё цены — ведь аппарат EMS, штука недешёвая, должен окупаться. Добавьте затраты на обучение докторов, более дорогой порошок и… стоимость гигиены в соседних с нами клиниках выросла, в среднем, на 25-30%.

    Но CLINIC IN тем и хорош, что не похож на другие клиники. Мы с профессором Ferkel Von Pfennig подумали:

    — А, собственно, какого х..я? Если сама процедура стала быстрее, комфортнее, проще и безопаснее — почему она должна становиться дороже?

    В общем, мы подумали и решили, что наших пациентов профессиональная гигиена полости рта должна стать дешевле. Это не разовая акция, не скидка, а вполне конкретная позиция в нашем прейскуранте:

    Профессиональная гигиена, простые случаи — 9 500 руб

    Профессиональная гигиена, сложные случаи — 14 000 руб

    Профессиональная гигиена для самых ответственных из наших пациентов. Для тех, кто не забывает чистить зубы у стоматолога дважды в год (и дома дважды в день) — 7 500 руб

    Справедливо? Мы с профессором думаем, что да.

    Добавьте к этому тот факт, что мы не подпускаем к нашим дорогим пациентам людей со средним специальным образованием, пусть даже после окончания каких-то там гигиенических курсов. В нашей клинике с пациентами работают только доктора, люди с высшим медицинским образованием, имеющими соответствующие опыт и квалификацию. Добавьте к этому новейшее оборудование  — уверен, этому сочетанию можно доверять.

    Итак, мы перевели профессиональную гигиену полости рта на качественно новый уровень, сделав её проще, комфортнее, безопаснее и, самое главное — дешевле. Почему? Потому что мы думаем, что за гигиеной и профилактикой — будущее стоматологии. Когда-нибудь мы перестанем ставить имплантаты, потому что люди перестанут удалять зубы. Придёт время, и доктор Матлаев поставит последнюю пломбу в своей жизни, потому что у пациентов больше не будет кариеса, а наши специалисты по протезированию Давид, Иван и Кирилл сосредоточатся исключительно на косметических винирах, поскольку будет нечего протезировать. Что останется? Гигиена и профилактика, ортодонтия (как профилактический метод) и, возможно, Андрей Дашков, который с теми же профилактическими целями будет удалять восьмёрки. Не уверен, что я и профессор доживём до этого счастливого будущего, но мы активно к нему готовимся.

    Может быть, уже пора на профгигиену?

    Стопроцентно пора, если:

    — вы никогда не проходили процедуру профессиональной чистки зубов, либо делали её очень давно, больше 6-12 месяцев назад.

    — вы проходите ортодонтическое лечение с помощью капп или брекетов и не были на профессиональной гигиене больше 3-4 месяцев.

    — через несколько дней вам предстоит лечение и/или протезирование со всеми вытекающими: снятие слепков, подготовка зубов и т. д.

    — в ближайшее время вы планируете хирургическую операцию в полости рта: удаление зубов, имплантация, наращивание костной ткани или синуслифтинг

    — у вас в ближайшее время свадьба, день рождения или другое важное мероприятие, где нужно хорошо выглядеть и шикарно улыбаться.

    Напомню еще раз — для тех из вас, кто регулярно (не реже двух раз в год) проходит профгигиену в нашей клинике и следит за полостью рта, стоимость профессиональной чистки в исполнении лучших специалистов составляет всего — 7 500 рублей!

    Чем не повод записаться?

    На всякий случай, напомню, что для записи доступны телефон +7 495 222 24 20, наши страницы в социальных сетях, мессенджеры и электронная почта.

    В общем, приходите. Мы вас ждём. Очень ждём.

    Спасибо, что дочитали до конца.

    С уважением, Станислав Васильев, шеф CLINIC IN

    Что почитать про гигиену и профилактику в CLINIC IN?
    Целый раздел «Гигиена и профилактика» на нашем сайте
    Профилактические осмотры
    Стоимость процедуры профессиональной чистки зубов в CLINIC IN
    Гигиена и профилактика стоматологических заболеваний — что нужно об этом знать?

     

  • Маркетинг и маркеталово — кто на самом деле управляет миром?

    Маркетинг и маркеталово — кто на самом деле управляет миром?

    Уважаемые друзья, некоторое время я уже рассказывал вам о том, как маркетологи от имплантологии наёбывают выдают желаемое за действительное, про «немецкие» имплантаты, улучшение остеоинтеграции, углеродное покрытие и конус Морзе.

    А еще раньше, года два назад, на фоне увлечения этими вашими SMM и прочими «продвижениями», я научил вас, как выглядеть аццки крутым доктором и продвигать себя в социальных сетях, показал, для чего на самом деле нужны чОрные перчатки и маски, и почему на аватарке вы обязательно должны быть в бинокулярах. Удивительно, но статья не потеряла актуальности — наоборот, заиграла новыми красками на фоне всеобщего отупения.

    Если не читали — почитайте, вам понравится.

    Работая над пособием для менеджеров, продающих имплантаты (да-да, такое пособие скоро будет!), я не мог не погрузиться в тему маркетинга и мотивации.

    В общем, простите меня, друзья, сегодня будет не про стоматологию, не про имплантологию и вообще, не про медицину. Давайте поговорим о маркетинге и его месте в нашей жизни.

    Таки да, оставим в стороне обман и очевидное мошенничество, к которому прибегают некоторые особо одарённые маркетологи в попытках впарить нам какой-то товар или услугу. Об этом мы уже говорили где-то здесь>>, об этом мы будем говорить в «пособии по продаже имплантационных систем».

    Нет, друзья, самое дикое, самое беспощадное и бесчеловечное маркеталово не бросается в глаза вопиющей ложью. Оно, подобно вирусу, уже внедрилось в нашу ДНК и мы живём, совершенно его не замечая и не чувствуя. Прям, настоящее зло.

    Картинка Steve Cutts, взята отсюда.

    Мы не принимаем решения самостоятельно. За нас это делают маркетинг — именно он определяет, как нам жить, что есть, какую одежду носить, на какой машине ездить. Он управляет нами, посредством двух противоположных лозунгов: «Будь как все!» и «Выделись из толпы!». Оглянитесь вокруг — вы уже давно ничего не выбираете. Всё, что вас окружает — было выбрано за вас. Иногда даже против вашей воли.

    Картинка Santiago Vecino, взята отсюда

    Новые лидеры мнений, бородатые мальчики и девочки с ореховой жопой, бесконечно учат нас правильной жизни, правильной работе, правильному питанию и правильному поведению. Их собственность — ноль, их «капитализация»  — ебло и жопа, но создаваемый ими образ заставляет многих из нас въёбывать на рудниках в три смены, чтобы купить себе очередной сраный айфон, потому что без айфона ты либо «как все на твоём руднике», либо «как лох среди нормальных пацанов».

    Картинка @Marypaint, взята отсюда

    Нужен ли тебе на самом деле этот сраный айфон? — признайся честно, ты и сам не можешь ответить на этот вопрос.

    Да, быть частью маркетинга (а все существующие блогеры, инстаграмщики и прочая нечисть  — это часть маркетинга) — это модно, интересно  и прибыльно. Последнее — весьма сомнительно. Поскольку собственные фонды  супермодных блогеров-миллионников, позирующих в крутых тачках, мажущих сиськи дорогим кремом и выкладывающих фотки с Бали, приблизительно равны нулю. У них нет ничего, вообще ничего. Если завтра закроют инсту и ютуб — на хэдхантере появится много резюме «продавец-консультант, зарплата от 15 тыщ». Ну, или много новых аккаунтов на Pornhub.

    У маркетинга нет цели сделать нашу жизнь лучше. Он не стремится сделать нас умнее, красивее, добрее. Единственная его задача, цель и миссия — заставить нас купить то, что ему нужно. Эти скидки, акции, бонусы, мили — неужели вы думаете, что всё это делается для вас и вашей экономии? Современный маркетинг начисто лишён каких-либо человеколюбивых черт, хоть он иногда прикрывается маской гуманизма.

    Вы едете на своей машине куда-то очень далеко. Внезапно (!), загорелась лампочка «Пора на заправку», и вы, по ходу дела, начинаете присматривать (или искать в навигаторе) ближайшие заправки. Но… вместо того, чтобы заправиться на первой встречной, вы проезжаете мимо. Потом пропускаете еще одну. Затем, еще одну? Почему вы так поступаете? А потому что в вашем кошельке лежит карточка Газпромроснефкойла, на которой уже две тыщи бонусов, а ближайшая заправка Газпромроснефкойла — вот она, рядом, всего через 50 км! Пропускаете еще две классных заправки, с кафе и туалетом. Подъезжаете к АЗС «Газпромроснефкойл»… а она закрыта! Вообще закрыта, блять! Двери забиты досками крест-накрест, заправочные шланги демонтированы! Что теперь делать с карточкой «Газпромроснефкойл» и двумя тыщами бонусов? Засуньте её в свой… бензобак, может заработает))).

    Вы любите колбасу. Хотите купить колбасу. Идёте в любимый магазин, но по дороге вам рекламная вывеска соседнего магазина «Колбаса «под ключ» — 777 руб всего 199 рублей!», «О, как! — думаете вы, — совсем недорого!» В любимом магазине на колбасном прилавке лежит ваша любимая колбаса. Но она стоит 555 рублей. «Дорого, — рассуждаете вы, — но колбаса — она же везде колбаса. Пойду в соседний магазин, куплю колбасу за 199 рублей». Приходите. Покупаете. Дома оказывается, что это не колбаса, а говно, завёрнутое в полиэтиленовую оболочку, к тому же просроченное. И теперь у вас вместо вкусной колбасы — расстройство пищеварения.

    Картинка Алексея Кипина, взята отсюда

    Вы собрались к родственникам в Гану, подбираете рейсы. Вот удобный прямой рейс, авиакомпания Скандик, вылет днём. Вот еще один, с одной двухчасовой пересадкой в Дубае, авиакомпания Эмирэйтс, вылет утром, цена неплохая. Вас не интересует ни первый, ни второй. Потому что у вас есть карта лояльности авиакомпании «Нигга Эйр», а на ней уже 150 000 миль. И пускай «Нигга Эйр» летит в ночь, с 7-часовой пересадкой в Южном Судане, и прилетает вообще в другой город. Но у вас есть мили «Нигга Эйр» и вы готовы их либо накопить, либо потратить.

    Едкий коммент: А потом вы нелегально протаскиваете на борт кота, чтобы не скучать в дороге. 
    Бортпроводники его жарят и кормят пассажиров ничего не замечают, но вы постите фоточки в инсту о том, как круто путешествовать с котом. 
    В результате, по прилёту кота конфискуют, жарят и съедают, а 150 000 миль "Нигга Эйр" аннулирует. Что делать дальше - вы знаете. 
    Конечно, хайповать!

    Вы сидите дома и листаете инсту. Тут попадается реклама «Только один день в Москве! Мировая известность, обладатель оскаров и грэмми, вувузелист-виртуоз Лучано Спагетти! Все вопросы в директ».

    «О, блин! — думаете вы, — это то, что мне нужно! Я же сам начинающий вувузелист, нужно пойти, послушать мастера!». А тут еще выясняется, что все ваши друзья-вувузелисты тоже собираются на концерт Лучано Спагетти. В сообществе mir-vuvezelistov  все только говорят о Лучано, хотя раньше ничего про него не слышали. А тут еще запускаются хэштеги #всёотдамзавувузелу, #мыедемклучано и #вувузелырулят,  — вы с лёгкостью отдаёте за билет тыщу баксов, идёте на концерт, а тааааам….  а там выясняется, что Лучано играет на вувузеле чуть лучше, чем ваш кот. Да, тот, который щас в Гане, у родственников. Но это не точно.

    Едкий коммент: Самая ржака в том, что вы вряд ли напишите про Спагетти негативный отзыв или будете всем рассказывать о том, 
    что Лучано - дилетант в мире вувузел. Наоборот, вы будете убеждать себя и окружающих в том, что нужно обязательно сходить на этот концерт,
     что он изменил ваше отношение к вувузельной музыке, рекомендовать его знакомым вувузелистам, запостите пару фоточек в обнимку с Лучано и вувузелой в жопе.
     Твоя лояльность была куплена за твою же тыщу баксов - ведь ты не можешь признаться даже сами себе в том, что он повёлся как лошара 
    и отдал кучу денег за концерт, который мог бы сыграть даже твой кот.

    Обратите внимание — ни в одной из указанных выше ситуаций, не было обмана. Никто вас ни к чему не обязывал, никто ничего не навязывал и не заставлял что-то там покупать или делать. Вы, вроде как, сами делали выбор, принимали решения, действовали… но это — всего лишь иллюзия.

    Потому как:

    а) если бы у вас не было бонусной карты АЗС «Газпромроснефкойл»,

    б)если бы вы не думали, что колбаса везде одинаковая

    в) если бы не мили «Нигга Эйр»

    г) если бы не считали, что «нужно быть как все»

    то вы бы поступили совершенно иначе. Ваша жизнь была бы намного проще и удобнее.

    *   *  *

    Маркетинг не меняет нашу жизнь. Он стал частью нашей жизни. Он внедрился в неё настолько сильно, что мы его не замечаем.

    Мы думаем, что живём так, как хотим.

    Мы думаем, что принимаем решения самостоятельно.

    Мы думаем, что у нас есть выбор и свобода выбора.

    Мы думаем, что думаем.

    Но ничего это нет. У нас есть маркетинг. Точнее, маркеталово.

    Но об этом мы поговорим в следующий раз. Не переключайтесь!

    Спасибо, что дочитали до конца.

    С уважением, Станислав Васильев.

     

  • Шеф сказал: про 45 минут и зубы мудрости. Продолжение.

    Шеф сказал: про 45 минут и зубы мудрости. Продолжение.

    Многие из обратившихся к нам пациентов с проблемными зубами мудрости рассказывают страшные вещи. Типа, для удаления ретинированных восьмёрок требуется госпитализация в отделение ЧЛХ, операция проводится под наркозом и занимает 2-3 часа… При этом, хирурги практически «гарантируют» появление проблем в виде онемения подбородка и даже перелома челюсти. А еще советуют купить  (ибо нужен откат) какую-то там искусственную кость для заполнения лунки и «упрочнения» места удаления.

    Во многих частных клиниках отказывают в удалении восьмёрок и направляют в ЧЛХ-стационар. Тому есть объяснение. Во-первых, операция удаления ретинированного зуба мудрости стоит дешевле, чем имплантация, при этом она намного сложнее и несёт в себе больше рисков. Имплантацией заниматься выгодно и более-менее безопасно. Ретинированными восьмёрками — наоборот.

    Доктора и клиники транслируют свои опасения и страхи, включая «нам это не выгодно» пациентам — так появляются широко распространённые мифы и легенды, представляющие процедуру удаления восьмёрок чуть ли не в операцию пересадку почки в военно-полевых условиях. Конечно, это не соответствует действительности.

    Мы любим удалять зубы мудрости. Потому что умеем это делать. Благодаря приобретенным навыкам, мы проводим подобные операции быстро, с минимальным дискомфортом и риском осложнений. Маловероятно, что удаление даже самого сложного зуба мудрости в нашей клинике займёт больше 15-20 минут. Но бывает всякое.

    Поэтому мы с Андреем Дашковым придумали такую штуку:

    если удаление зуба вдруг займёт больше 45 минут — вы можете за него не платить.

    Это — не рекламная акция, не способ ускорить работу доктора и не превращение хирургического отделения клиники в конвейер.

    45 минут — это констатация факта:

    каким бы ни был ваш зуб мудрости, каким бы страшным и сложным он бы вам ни казался — мы удалим его меньше, чем за 45 минут.

    Что такое 45 минут?

    Казалось бы, всё просто и понятно. Вы сидите в кресле с открытым ртом больше 45 минут — можете не платить за операцию. Классно же?

    Тем не менее, у половины интернета знатно бомбануло в одном месте:

    Если что, то 45 минут в нашем понимании — это точка на временной шкале. Для нас есть понятие «меньше 45 минут», есть понятие «больше 45 минут».

    Первое — это то, во что мы укладываем любую операцию по удалению любого зуба мудрости.

    Например, такую:

    или такую

    или такую

    Впрочем, подробности этого лечения здесь>>

    просто почитайте.

    Мы могли бы показать вам еще +100500 разных случаев, когда нам приходится удалять зубы мудрости. В принципе, показывали неоднократно. Но суть в другом.

    Какой бы ни была ваша клиническая ситуация, какой бы сложной она вам (или вашим докторам) ни казалась —

    у нас НИКОГДА не бывает удалений, «больше 45 минут».

    Мы не исключаем, что они возможны, но это НЕНОРМАЛЬНО! И, если это происходит — пусть пациенту будет небольшая компенсация за неудобства, а именно — такую операцию, какой бы сложной она ни была, не нужно оплачивать.

    Если торопиться — можно накосячить.

    Реально можно. Еще как. Я даже больше скажу — большинство косяков в хирургии связаны именно со спешкой и невнимательностью.

    Поэтому, как правильно заметил уважаемый профессор Ferkel Von Pfennig — никто не требует от наших докторов уложиться в 45 минут. Если вдруг удаление зуба мудрости требует больше времени — ради Б-га. Просто вы не будете за это удаление платить. А мы…. а мы извинимся перед вами за то, что не оправдали ожиданий. И сделаем всё, чтобы вам помочь.

    А вообще…

    Думаю, что уважаемый професcор Ferkel Von Pfennig согласится со мной, если я скажу, что у владения стоматологической клиникой есть масса минусов, но есть один существенный плюс, который перекрывает, буквально всё.

    это возможность принимать решения, не оглядываясь на чьё-то мнение и не нуждаясь в одобрении.

    Так, мы дали серьёзные гарантии на результаты лечения (в т. ч., на хирургию и имплантацию), которых нет ни в одной клинике. Вы можете спорить, правильно это или нет. Вы можете ругаться, называть это какими угодно словами, соглашаться или не соглашаться. А мы их просто выполняем наши обязательства перед пациентами и думаем над тем, как свести количество гарантийных случаев к минимуму.

    Если мы пообещали, что если удаление восьмёрки займёт больше 45 минут, то вы можете за него не платить — да будет так. Точка.

    Завтра мы придумаем еще какой-нибудь движ, крайне приятный для наших друзей и пациентов — и, скорее всего, узнав о нём из интернета, вы тоже испытаете смешанные чувства лишь потому, что МЫ РАБОТАЕМ И ЖИВЁМ НЕ ТАК, КАК ВЫ.

    Но это не значит, что мы живём и работаем неправильно. Просто мы с вами…. разные.

    Конечно, возможность принимать решения подразумевает ответственность за эти решения (как в случае с гарантийными обязательствами). Мало пообещать — надо еще и выполнить обещание.

    Мы относимся к этому очень серьёзно — и поэтому к нам не так просто устроиться на работу.

    А что касается удаления зубов мудрости — мы реально круче всех. Смиритесь с этим, наконец)

    Например:
     — — Поговорим об удалении зубов….
     — — Удаление ретинированных зубом мудрости за 7-13 минут — возможно ли такое?
     — — Зубы мудрости. Показания к удалению
     — — Марк Порций Катон Старший, Исаак Ньютон и здравый смысл — о зубах мудрости.
     — -Время — Деньги. Мы удаляем даже самые сложные восьмёрки меньше, чем за 45 минут. Если нет — вы можете не оплачивать операцию.
    — — Зубы мудрости: удалить нельзя оставить
    — — Удаление зуба мудрости — как это делается?
    — — ЧЛХ или не ЧЛХ? Вот, в чём вопрос — обязательно ли нужна госпитализация для удаления восьмёрок?
    — — Всё про зубы мудрости в CLINIC IN
    — — Амбулаторная хирургическая операция продолжительностью менее часа.
     — — Зубы мудрости – современные подходы к решению проблемы. Кстати, это статья аж 2009 года – чтобы было понятно, сколько времени мы этим занимаемся
     — — Удаление зубов мудрости в современной клинике. Тоже статья 2009 года. С тех пор всё стало только легче, круче и проще.
     — — Про пересадку зубов мудрости. – краткая история о том, почему аутотрансплантация зубов – хуита.
     — — Зубы мудрости. Зачем удалять? Как удалять?
     — — Удаление зуба мудрости – продолжение истории.
     — — Снова про зубы мудрости. Перикоронариты и другие проблемы.
     — — Почему нужно удалять зубы мудрости и не ждать, пока они создадут проблемы?
     — — Хирургия полости рта в CLINIC IN
     — — Стоимость хирургических операций в CLINIC IN
     — — Рекомендации и назначения после удаления зуба мудрости
     — — Послеоперационный период в CLINIC IN
     — — Что происходит с пациентом после операции удаления зуба мудрости?

    А теперь представьте, сколько всего интересного ждёт вас впереди!

    Спасибо за то, что вы с нами.

    С уважением, Станислав Васильев, шеф CLINIC IN.

  • 29 февраля (суббота), 19-00, «ВВЕДЕНИЕ В ГНАТОЛОГИЮ» — семинар Ивана Алгазина для всех желающих

    29 февраля (суббота), 19-00, «ВВЕДЕНИЕ В ГНАТОЛОГИЮ» — семинар Ивана Алгазина для всех желающих

    29 февраля в нашем уютном стоматологическом центре CLINIC IN мы проведём семинар, посвящённый мышечно-суставной стоматологической патологии, заболеваниям,  проблемам жевательных мышц и височно-нижнечелюстных суставов и тому, как это можно вылечить с помощью правильного протезирования. Все семинары CLINIC IN, как обычно, бесплатные, но необходима предварительная запись. Мы приглашаем всех желающих в нём поучаствовать.

    В преддверие этого очень интересного семинара, мы попросили нашего доктора Ивана Алгазина немного рассказать о гнатологии, её месте среди стоматологических специальностей и проблемах, которые гнатология призвана решать.

     — Иван, у человека, который в первый раз слышит это слово, неизбежно возникает вопрос — а что такое «гнатология?»

    — Если обратиться к строго научному определению, то ГНАТОЛОГИЯ — это область стоматологии, изучающая морфофункциональные взаимосвязи в в зубочелюстной системе. В переводе на русский это означает раздел стоматологии, науку, изучающий то, как строение зубочелюстной системы, прикус, мышцы, суставы и всё остальное влияют на их функцию, в контексте нормы и патологии.

    «Гнатологический» подход подразумевает, что, мало сделать зубы красивыми — важно сделать их функциональными. И желательно, на очень долгое время.

     — А если еще больше упростить, то можно ли сказать, что гнатология — это наука о том, как работают наши зубы, челюсти, мышцы и суставы?

    — Да, но тогда лучше говорить не о функции, а о ФУНКЦИЯХ — ведь работа зубочелюстной системы не ограничивается жеванием. Это и дыхание, речь, мимика и социализация, в конце концов…

     — А откуда эта наука вообще появилась? Ведь, если уж говорить честно, лет десять-пятнадцать назад никто, даже некоторые стоматологи, не воспринимали «гнатологию» всерьёз. А сейчас  — это, чуть ли, не высшая математика среди стоматологических специальностей.

    — Слушай, я сейчас не вспомню, какой дядька первым об этом написал но точно знаю, что это где-то середина прошлого века — именно тогда гнатология и гнатологические принципы впервые начали применять при протезировании и реставрации зубов. Тогда считалось, что все стоматологические проблемы связаны с прикусом, отсутствием или неправильным положением зубов и так далее….

     — Прости, а сейчас разве не так считают?

    — Да, сейчас об этом говорят еще больше, но появились акценты на работу мышц, суставов, неврологию  и т. д. Современную гнатологию нельзя рассматривать как исключительно привязанную к патологии прикуса. Её интересы гораздо шире…

    — И, тем не менее, неоднозначное толкование термина «гнатология» приводит к тому, что назвать себя ГНАТОЛОГОМ может кто угодно. Но, если обратиться к номенклатуре медицинских специальностей, такой профессии нет. Откуда вообще берутся гнатологи?

    — Ну, гнатологи не появляются сами по себе, они же не на дереве вырастают… Я расскажу про собственный путь. Общаясь с коллегами, у которых я учился я понял, что все «превращаются» в гнатологов более-менее одинаково.

    Гнатологом, рано или поздно, становится любой ортопед.  Во время учёбы в медицинском вузе все мы проходим азы гнатологии в рамках курса зубного протезирования или ортодонтии (исправления прикуса), но для студентов это настолько тёмный лес, что большинство даже не пытается в это вникнуть — лишь бы побыстрее закончилась пара. Какие-то там окклюзии, мышцы, суставы…. скукотища!

    И вот студент становится доктором, затем, после интернатуры или ординатуры — стоматологом-ортопедом, начинает ставить своим пациентам зубные коронки, съемные протезы, вкладки, виниры… — и если он не учитывает в своей работе гнатологические взаимосвязи, он начинает косячить: протезы слетают, пациенты не могут ими пользоваться, керамика колется и т. д.

    «Как так? — думает доктор, — Я всё сделал правильно, по инструкции. Почему возникают проблемы?»

    Так появляются негативный опыт и невидимые, на первый взгляд, ошибки, которые нужно разбирать и анализировать. Если у стоматолога-ортопеда светлая и не забитая стереотипами голова, анализ своих (и чужих) косяков заставит его изучать гнатологию и упоминавшиеся ранее морфофункциональные взаимосвязи в зубочелюстной системе. Чем дольше работаешь — тем, неизбежно глубже будешь в это погружаться. Ты начинаешь видеть причину проблем и косяков, предсказывать их появление в тех или иных клинических ситуациях. И, конечно, учишься их не допускать. А для этого, поверь, недостаточно просто научиться «точить» зубы под коронки и виниры.

    Иными словами, путь в гнатологию тернист и нелёгок, с огромным количеством встречающегося западла. Но оно того стоит.

     — Если мы далее будем рассматривать гнатологию в контексте ортопедии (протезирования), то чем стоматолог-ортопед-гнатолог отличается от обычного стоматолога-ортопеда?

    — Поскольку гнатология, в первую очередь, наука о взаимосвязях функции и морфологии, то, в отличие от обычного ортопеда, ортопед-гнатолог сосредоточен на функции или, если хотите, кинетических и динамических характеристиках зубочелюстной системы. Для ортопеда хороший результат — это, прежде всего, красивые зубы. Для гнатолога хороший результат — это восстановление функции зубочелюстной системы в полном объёме, эстетика тут вторична, она неизбежно следует за функцией. Как говорится, некрасивый самолёт не полетит. С точки зрения гнатологии — нормально функционирующая зубочелюстная система не может быть некрасивой.

    Зная взаимосвязи между строением зубов, прикуса, суставов и мышц и их работой, гнатолог может определить причину функциональные проблемы и найти для них решение. Он может прогнозировать, каким образом мы можем влиять на функцию зубочелюстной системы, изменяя её строение (прикус и форму зубов).

    Но, как я уже отметил, любой думающий стоматолог-ортопед, способный к критическому научно-скептическому анализу, рано или поздно становится гнатологом.

     — Хорошо, с гнатологами и гнатологией мы, более-менее разобрались. А вот пациенты гнатолога — что это за пациенты?

    — Чем дольше я работаю, тем больше понимаю, что, фактически, каждый первый пациент, обратившийся за исправлением прикуса, протезированием или косметическим преображением улыбки. Если сразу после института я занимался ортопедической стоматологией не видя и не понимая всей широты и сложности взаимосвязей между формой и функцией зубочелюстной системы, то сейчас даже пациент, приходящий за протезированием или реставрацией всего лишь одного зуба, требует всестороннего анализа и изучения, потому как даже на одну коронку с опорой на имплантат или зуб, будет воздействовать множество самых разных сил и условий, прямо влияющих на её долговечность, надежность и функциональность. И это, кстати. одна из причин, почему в 98% случаев протезирования временные коронки предшествуют постоянным — на них проще, дешевле и безопаснее всё это делается.

    Обычный ортопед просто бы поставил коронку, наверное, обратив максимум внимания только на эстетику из разряды «нравится/не нравится», про остальное не сказал бы ни слова. Так многие поступали раньше, так некоторые поступают сейчас — и это одна из основных причин широкого распространения мышечно-суставных дисфункций и заболеваний челюстных суставов. Гнатологический подход, более широкий взгляд и глубокий анализ на зубочелюстную систему даже в рутинно-простых случаях протезирования позволяет избежать этих проблем.

    Другой вариант — скололась керамическая коронка. Обычный ортопед просто меняет её на новую, в 99% повторяя форму. Ортопед гнатолог не просто видит разбитую керамическую коронку, он понимает, ПОЧЕМУ так произошло — и, немного меняя форму, корректируя функцию (например, подавлением силы жевательных мышц), добивается долговечного и надёжного результата.

     — Какое обследование проходят гнатологические пациенты?

    — Пожалуй, самое главное — это интервью. Существуют целые анкеты с вопросами для таких пациентов, мне они хорошо известны и прежде, чем мы приступим, непосредственно к клиническому обследованию, на них необходимо ответить. В принципе, уже на этом этапе многое становится понятным.

    Конечно, многие, кто обращаются к доктору, жалуются, в первую очередь, на эстетику — и тут важно направить разговор в правильное «функциональное» русло, попросить пациента сосредоточиться на на внешнем виде, а на ощущениях.

    Ну, а привычные нам методы диагностики, рентгенологические, функциональные и т. д. лишь дополняют картину, подтверждая или опровергая сделанные ранее выводы.

    Как правило, те или иные гнатологические проблемы мы видим, буквально, у каждого первого пациента….

     — Не находишь, получается довольно неприятная для пациента ситуация. С одной стороны, он пришёл всего лишь поставить коронку на имплантат. С другой стороны, какой-нибудь гнатолог, вроде тебя, нашёл у него массу проблем, без решения которых мы не можем обещать, что в дальнейшем с его зубами всё будет в порядке. Остальные, вроде как «обычные ортопеды» этого не замечают и об этом не говорят. Пахнет разводом…

    — Симптоматика мышечно-суставной дисфункции не берётся из воздуха и не придумывается. Её можно продемонстрировать и разъяснить. Она объективна, легко познаётся изучением причинно-следственных связей. Другое дело, что далеко не все пациенты придают ей значение и готовы от неё избавиться. В этом случае, мы должны дать соответствующие прогнозы и предупредить пациента о необходимости обратить на это внимание. И далее — динамическое наблюдение.

    Но, как правило, пациенты, имеющие гнатологические паттерны, ищут гнатолога по разным клиникам. Им ничего объяснять и доказывать не нужно — скорее, наоборот.

     — А что это за гнатологические паттерны? Симптомокомплекс мышечно-суставных проблем? Например?

    — Самое главное — пациенты не могут понять, как и в каком положении у них смыкаются зубные ряды. Отсутствие стабильности, невозможность найти привычное положение челюсти. Из-за этого быстро устают жевательные мышцы, появляются боли, щелчки и хруст в суставах, дискомфорт, много, что еще… Обычным протезированием, даже модным сейчас «тоталом» ситуация не исправляется. Более того, небрежным и поверхностным подходом можно всё усугубить.

     — Но ведь некоторые с этим живут, живут долго и счастливо? Более того, в какой-то клинике какой-то доктор сказал пациенту, что «с этим ничего не сделать, привыкайте». В чём выгода? Что получит пациент, если он займётся гнатологическим лечением? Ведь это долго и очень недёшево…

    — Как правило, пациентов не нужно мотивировать — они уже прошли несколько докторов и клиник, попробовали разные методы протезирования и т. д. Но это не решило их проблем, а нередко, возникают и новые,  и не улучшило качество жизни — и вот тогда они целенаправленно ищут специалиста-гнатолога, готовы лечиться долго и дорого — лишь бы был результат….

    Отдельная тема — это быстрое разрушение и бесконечные поломки протетических конструкций, начиная со сколов виниров  и, заканчивая переломами мостовидных протезов. Пациент сначала терпит переделки, потом ругается с доктором, потом начинает задавать вопросы «Почему?» и…. находит гнатолога.

     — 29 февраля, в нашей уютной клинике мы с тобой решили провести семинар посвящённый гнатологии — довольно сложной теме, отчасти непонятной даже некоторым из наших коллег, не говоря уже об обычных людях. Скажи, пожалуйста, кому ты рекомендуешь посетить этот семинар?

    — Учитывая, что мы устраиваем что-то вроде «дня открытых дверей» для пациентов, я рекомендую всем, кто слышал о нас и знает нашу клинику, абсолютно всем-всем-всем найти пару часов и заглянуть к нам в гости. Гнатология гнатологией, но посмотреть, как происходит работа, что называется, изнутри, как проводится диагностика и обследование, как и какие результаты вообще достижимы — вот это нужно обязательно. Мы не всегда можем показать это на конкретно вашем примере, в рамках обычной консультации, но семинары, которые мы регулярно проводим, дают такую возможность. Поэтому я приглашаю абсолютно всех.

    Но если у вас есть, например, постоянные головные боли, те симптомы, которые я описал выше, проблемы с протезированием, неудобное жевание, сколы реставраций, проблемы с имплантатами — вот тогда придти нужно обязательно, возможно, вы найдёте ответы на свои вопросы.

     — О чём ты вообще будешь рассказывать на своей лекции?

    — Я сделал свою лекцию очень простой и визуально удобной, убрав из неё медицинские термины, чтобы меня мог понять человек, никак не связанный с медициной. Мы будем рассматривать всего один, но очень показательный клинический случай, одну интересную историю пациента с момента обращения к нам и до результата. Что, почему и для чего мы что-то делали, как планировали и зачем вообще всё это было нужно — все смогут наглядно увидеть работу гнатолога и получить разъяснения. Кроме того, в интересной интерактивной форме мы проведём самодиагностику нашего мышечно-суставного аппарата, попробуем на ощупь различные аппаратные методы исследований. Уверен, будет интересно, весело и здорово.

     — Как обычно, в общем…

    — Да, как обычно.

     — Спасибо, Иван, за интересное интервью.

    — До встречи!

    Беседовал Станислав Васильев, шеф CLINIC IN.

    А я напомню еще раз, что лекция Ивана Алгазина «Введение в гнатологию» состоится в нашей уютной стоматологической клинике

    29 февраля в 19-00

    Сделайте отметку в своём расписании. Участие, как обычно, бесплатное. Но необходима предварительная запись. Записаться можно по телефону, электронной почте или через страницы в социальных сетях.

    До встречи!

    Что еще почитать о протезировании зубов и исправлении прикуса в CLINIC IN?
    Вы планируете консультацию в CLINIC IN. Как получить от неё максимум?
    Диагностика и обследование в CLINIC IN
    Вы планируете исправление прикуса. Что нужно знать об этом еще до консультации ортодонта?
    Вы планируете протезирование зубов. Что нужно знать об этом еще до консультации стоматолога?
    Протезирование имплантатов. Как это делается?
    О качестве имплантации — шеф рассказал
  • Время-Деньги! Мы удаляем самые сложные зубы мудрости меньше, чем за 45 минут. Или вы просто не платите за эту операцию

    Время-Деньги! Мы удаляем самые сложные зубы мудрости меньше, чем за 45 минут. Или вы просто не платите за эту операцию

    Мы делаем не просто много, а очень много подобных операций. Люди приезжают из других городов, даже из других стран, чтобы избавиться от надоевших восьмёрок именно в нашей клинике, но мы не понимаем, почему такую простую операцию нельзя сделать у себя в городе.

    На вопрос, почему нужно было приезжать к нам, пациенты отвечают, что боятся делать это где-либо еще.

    В одной клинике им предлагают сделать всё сразу и под наркозом (что, мягко говоря, очень дорого и очень небезопасно).

    В другой — чуть ли не гарантировали травму нерва со всеми вытекающими. Причём, предполагается, что от этого должно «перекосить лицо» — чистой воды некомпетентность и враньё.

    В третьей — требуют купить биоматериалы, для лунок — пустая трата денег и просто опасная процедура.

     

    В четвертом лечебном учреждении пообещали удалить зуб мудрости за 3-4 часа, доводя эту пустячную операцию по сложности и продолжительности до аортокоронарного шунтирования.

    Почему вы хотите удалять зубы мудрости у нас? Потому что мы ничего этого не делаем!

    Анестезия.

    Для удаления даже самых сложных зубов мудрости достаточно местной анестезии.

    Во-первых, она безопасна настолько, насколько можно представить, и подходит абсолютно всем. Правильно проведённая местная анестезия — это, как минимум, несколько часов стойкого обезболивания, достаточные для того, чтобы не только зубы мудрости удалить, но и ринопластику с маммопластикой в подарок сделать.

    Во-вторых, у местной анестезии есть один существенный плюс. На наш взгляд, самый важный — это сохранение вербального и невербального контакта с пациентом. Местная анестезия и сохранение всех когнитивных функций, как минимум, исключают отношение к пациенту как к куску мяса — мы вас чувствуем, переживаем вместе с вами и стремимся причинить как можно меньше дискомфорта. Ряд исследователей изучали травматичность и частоту осложнений, сравнивая операции под местным и общим обезболиванием, и результаты исследований оказались далеко не в пользу последних. И этому есть объяснение. Отсутствие реакций со стороны пациента под седацией «развязывает руки» хирургу, между ним и пациентом теряется прямая и обратная связи — из-за этого травматичность операции резко возрастает.

    Для местной анестезии при удалении зубов мудрости мы используем привычные всем стоматологам анестетики. В основном, на основе Артикаина — как самые эффективные и безопасные.

    Повреждение нерва — возможно ли это?

    Сразу скажу, что под общим наркозом — это возможно, еще как. По причине всё той же возрастающей травматичности.

    Правильная технология удаления зубов мудрости не предполагает приближения к нервному стволу ближе, чем на 5 мм. Правильно сформированный доступ, открытие и фрагментация зуба исключают доступ режущим и пилящим инструментам к верхушке корня зуба мудрости, рядом с которой нерв, обычно проходит. А в процессе удаления нельзя прилагать значительные физические усилия, нельзя пользоваться молотком и долотом (к сожалению, кое-где такое до сих пор встречается). И тогда всё будет в порядке с нервом.

    Редко-редко и у некоторых пациентов парестезия после удаления зуба всё равно возникает. Она может быть связана с травмой нервного ствола во время анестезии или отёком, сдавливающим нерв в области операции. Через какое-то время чувствительность  восстанавливается. Еще ни разу не было такого, чтобы она не восстановилась. Нужно только время. Какое? Увы, у всех процесс восстановления чувствительности занимает разное время. Кому-то требуется пара дней, а кому-то — пару месяцев. Но парестезия проходит всегда-  это факт.

    Зачем нужно помещать в лунку восьмёрки искусственную кость?

    Назначение этой процедуры одно — вытрясти с вас побольше денег, а то у доктора автокредит и ипотека. Никакой полезной роли даже самые дорогие биоматериалы, помещённые в лунки зубов мудрости, не играют, их применение какой-то смысловой нагрузки не несёт. Но бывает хуже -нередко они нагнаиваются и осложняют течение послеоперационного периода, приводя к весьма печальным последствиям. Иными словами, нельзя использовать «искусственную кость» при удалении зуба мудрости. Даже если очень хочется.

    Максимум, что используем мы  — это коллагеновые губки, пропитанные противовоспалительными составами. Они помогают остановить луночковое кровотечение и минимизировать воспалительную симптоматику (в первую очередь, болевую) сразу после удаления. И стоят они…. почти ничего не стоят.

    Можно ли удалить зуб за 3-4 часа?

    За это время можно удалить 12-16 самых сложных зубов мудрости, успеть попить чай и даже немного подремать. Признаемся, мы с Андреем Дашковым, просто не понимаем, ЧТО нужно делать, чтобы так растянуть пустячную и очень простую хирургическую операцию. И от того, что не понимаем, делаем это намного быстрее. В нашей клинике удаление даже самого сложного зуба мудрости занимает, от силы, 20 минут.

    Привычка делать такие операции быстро — это не пижонство, не фаллометрия и не социалистическое соревнование по микрорайону Хамовники. Причина — наш опыт и знания о причинах постоперационного воспалительного процесса.

    Операцию по удалению зуба, даже самого простого, организм воспринимает как травму. У травмы, как у любого чрезмерно стрессового воздействия провоцирующего воспалительный процесс, есть два параметра: сила воздействия  и продолжительность.

    Силу воздействия можно отождествить с травматичностью — чем больше рана, чем глубже мы в ней ковыряемся, чем больше усилий прикладываем — тем выше травматичность.

    Чем дольше мы травмируем область операции, тем больше с ней будет проблем в послеоперационном периоде — необязательно учить патофизиологию, чтобы это понимать.

    Если мы сопоставим травматичность и время в графике, то получим интересную зависимость:

    Как сделать так, чтобы после удаления даже самого сложного зуба риски осложнений были бы минимальными, а пациент сохранил социализацию и привычное для него качество жизни? Очень просто.

    Уменьшив время и силу воздействия (травматичность). Если с последним всё сложно, как как зуб мудрости может находиться х..й знает, где, то на первое, на продолжительность операции, мы можем повлиять.

    Для этого нам нужны:

    — компетентная команда из врача и ассистентаесть!

    — необходимые средства диагностикиесть!

    — лучшие на свете инструменты и оборудование, регулярно обновляемое и заменяемоеесть!

    — шикарная анестезияесть!

    — все необходимые материалыесть!

    — удобные и понятные программы послеоперационной реабилитацииесть!

    — комфортная, удобная и очень уютная клиника, где все тебе радыесть!

    А всё, что необходимо вам, дорогие друзья, это:

    — максимум, 60 минут свободного времени. Его будет достаточно как для консультации, необходимого обследования (компьютерная томография или панорамный снимок), так и для удаления зуба, выдачи послеоперационных рекомендаций и препаратов, назначения на послеоперационные осмотры и т. д.

    — 24 000 рублей, максимум. Да, удаление даже самого-самого сложного мудрости от которого все отказались, в нашей клинике стоит 24 000 рублей, не считая снимков. Но это прям самый топ, по факту две трети операций удаления восьмёрок стоят сильно дешевле.

    — через день-два — 15 минут времени на послеоперационный осмотр. Такие приёмы, кстати, всегда бесплатные.

    — неплохо бы почитать наши публикации, посвящённые зубам мудрости и их удалению:

    — — Зубы мудрости: удалить нельзя оставить
    — — Удаление зуба мудрости — как это делается?
    — — ЧЛХ или не ЧЛХ? Вот, в чём вопрос — обязательно ли нужна госпитализация для удаления восьмёрок?
    — — Всё про зубы мудрости в CLINIC IN
    — — Амбулаторная хирургическая операция продолжительностью менее часа.
     — — Зубы мудрости – современные подходы к решению проблемы. Кстати, это статья аж 2009 года – чтобы было понятно, сколько времени мы этим занимаемся
     — — Удаление зубов мудрости в современной клинике. Тоже статья 2009 года. С тех пор всё стало только легче, круче и проще.
     — — Про пересадку зубов мудрости. – краткая история о том, почему аутотрансплантация зубов – хуита.
     — — Зубы мудрости. Зачем удалять? Как удалять?
     — — Удаление зуба мудрости – продолжение истории.
     — — Снова про зубы мудрости. Перикоронариты и другие проблемы.
     — — Почему нужно удалять зубы мудрости и не ждать, пока они создадут проблемы?
     — — Хирургия полости рта в CLINIC IN
     — — Стоимость хирургических операций в CLINIC IN
     — — Рекомендации и назначения после удаления зуба мудрости
     — — Послеоперационный период в CLINIC IN
     — — Что происходит с пациентом после операции удаления зуба мудрости?

    А теперь — самое главное. Мы знаем, каково это — сидеть в кресле стоматолога с открытым ртом по часу и дольше. Особенно в хирургии. Поэтому, совместно с Андреем Дашковым и профессором Ferkel Von Pfennig мы решили ввести новое правило:

    если удаление зуба мудрости в нашей клинике займёт больше 45 минут — вы можете за него не платить.

    Засекается чистое время манипуляции — от разреза до наложения шва.  Этап проведения и действия анестезии к нему не относится, равно как и заполнение необходимой документации, выдача послеоперационных рекомендаций, квитанций  и т. д. Во всех кабинетах есть часы, чтобы это время отслеживать.

    Конечно, мы никуда не спешим, и, тем более, не превращаем спешку в панику. Скорость в нашем случае объясняется не халтурой, а слаженной работой и поставленным алгоритмом действий. Всё просто.

    Приходите и убедитесь в этом сами.

    С уважением, хирургический коллектив CLINIC IN.

  • Про курс RegenerationDay и то, как он таким получился.

    Про курс RegenerationDay и то, как он таким получился.

    В 2015 году меня пригласили в компанию «Симко» и предложили поучаствовать в промо-семинаре о биоматериалах Geistlich Biomaterials. Тогда у меня уже был небольшой опыт проведения семинаров по имплантации (XiveDay), и я считал, что читать лекции, вести «авторский учебный курс» и чего-то там рассказывать на всяких конгрессах и симпозиумах — это пипец, как круто и офигенно. В те времена, я считал, что вся эта обучательная бабуйня — неотъемлемый атрибут работы «успешного врача» и «крутого имплантолога». И поэтому я согласился.

    Но, что рассказывать на семинаре про биоматериалы? Если с имплантатами всё более-менее понятно — вот макродизайн, вот конструктив, вот хирургический протокол, все они взаимосвязаны, — то с биоматериалами выработать вменяемую и адекватную программу лекции, не состоящую сплошь из рекламных слоганов, оказалось не таким уж простым делом.

    Сначала мы думали, что надо приводить как можно больше сравнений. Желательно, в тех сферах, где компания Geistlich действительно лидирует. Больше производственного опыта, больше всего публикаций на Пабмеде, первый ксенографт, первая резорбируемая мембрана, первая коллагеновая матрица, наибольшая удельная площадь поверхности…. Это факты, вы можете их проверить. Но как они влияют на вашу практику и качество вашей работы? Никак.

    Многие доктора не понимают, как биоматериалы работают — и это гигантская тарелка лапши, которую можно вешать на уши. Можно приводить любую статистику, утверждать любую хрень про то, что «с использованием наших биоматериалов кость образуется лучше и быстрее», а «наши мембраны настолько крутые, что их можно вообще не использовать». Чем более сложной для понимания является тема — тем больше там предрассудков, мифов и откровенной лжи. И можно было бы построить лекцию в этом ключе: «Чем вы пользовались раньше? Биоплантографтом? Вот поэтому у вас ничего и не получалось! Берите наш ксенографт — и всё у вас получится!» Это враньё и попытка «впарить» вам наш биоматериал.

    Можно было сделать по-другому. А давайте я научу вас делать НКР! Направленную костную регенерацию, для которой много биоматериалов. Убедить вас в том, что она работает всегда и везде (но только с нашими графтами и мембранами) — это очень просто, достаточно показать вам пару-тройку хороших работ. Если вы не можете их повторить — то это вы рукожопы, а наши биоматериалы идеальны! Такие семинары я называю просто: «Посмотрите, я могу нассать на стену выше всех!»

        

    И, в конце концов, мы можем раздать вам по промо-упаковке нашей продукции, но с обязательным требованием написать хороший отзыв и рассказать об этом в социальных сетях. Так мы, за минимальный бюджет, получим гигантское количество хороших отзывов — а вы ведь ориентируетесь на отзывы, когда выбираете материалы для своей работы?

    Если бы мы вместе с Geistlich и Симко поступили так, как поступают большинство компаний, у нас получился бы ничем не примечательный, ординарный и откровенно скучный семинар. Через месяц он бы надоел всем, проект бы закрыли, а освободившиеся деньги потратили бы на привоз очередного зарубежного гастролёра, резчика по бараньим черепушкам.

    Сегодняшний RegenerationDay  — отнюдь не тот семинар, что планировался пять лет назад. Он стал сложнее, глубже и, если хотите, стал более фундаментальным. Теперь он идёт дольше — если раньше я укладывался в 2,5 часа, то сейчас не хватает и четырёх. Раньше было два лектора, мы с Натальей, теперь к нам присоединилась Антонина. Раньше в Москве мы едва умещались в учебный класс «Симко», теперь проводим RD в просторной аудитории-театре «Эфир».

    Мы поменяли главную вопрос семинара с «КАК?» на «ПОЧЕМУ?».  Если вы знаете, ПОЧЕМУ ЭТО НУЖНО, то найдёте способ, КАК ЭТО СДЕЛАТЬ.

    Вместо рассказов о крутости биоматериалов Geistlich, я расскажу вам о том, каким образом регенерирует костная ткань и откуда берётся атрофия.

    Вместо историй об успешной практике, я расскажу вам о том, почему бывают успешные и неудачные операции. И покажу разницу между случайностью и закономерностью на примере этих неудач или успехов.

    Вместо сравнения и смешивания с говном всего, что не называется «Geistlich», я расскажу вам о наиболее общих и понятных свойствах биоматериалов и том, как эти свойства влияют на их использование. И покажу, как знания этих свойств облегчают работу.

    Вместо одного метода остеопластики, я покажу вам, как он выбирается и докажу, что наибольшее количество ошибок в регенеративной хирургии — это неправильно выбранная методика  проведения операции.

    Иными словами, это далеко не промо-семинар, хотя таковым заявлен.

    *  *  *

    Прошло пять лет, и моё представление об «успешном докторе» и сопровождающих его свистелках-перделках сильно изменилось.

    Я считаю, что собственный «авторский курс» нафиг не нужен. Более, того, у меня есть небезосновательное подозрение, что доктора с головой уходят в обучалки тогда, когда у них не всё в порядке с врачебной практикой — тупо нет пациентов. Кто не умеет — тот учит, как говорится.

    Я уверен, что если у семинара, конгресса или мастер-класса есть спонсор — то он должен быть бесплатным. И наоборот, если твой «авторский курс» — это средство заработка, то нужно избавиться от всех спонсоров и их рекламы.

    Я не читаю лекции и не провожу семинары за деньги. Потому что хочу сохранить независимость суждений и трезвость взглядов. А еще потому, что возвращаю долг — меня когда-то тоже учили бесплатно.

    И вот, по этим принципам существует и живёт RegenerationDay. Я хочу выразить огромную благодарность организаторам, ГК «Симко» и Geistlich Biomaterials за то, что они не вмешиваются в тематику и содержание лекций и поддерживают эти принципы.

    Уважаемые друзья! С огромным удовольствием я приглашаю вас на RegenerationDay.

    Ближайший семинар мы проведём 14 февраля, в Москве. Подробности и заявки на участие  — по этой ссылке.

    16 февраля, в ближайшее воскресенье, RegenerationDay впервые пройдёт во Владикавказе (Северная Осетия).

    20 марта — снова Москва.

    27 марта — Красноярск

    11 апреля — Нижний Новгород

    25 апреля — Уфа (под боооольшим вопросом)

    Ну, пока хватит))).

    Приходите, будет интересно!

  • Протезирование с опорой на имплантаты. Как это делается?

    Протезирование с опорой на имплантаты. Как это делается?

    Беглый обзор стоматологического контента в интернете выявил крайне несправедливое распределение полезной информации о восстановлении зубов с помощью имплантатов. Многие пишут об имплантации, имплантатах, различных хирургических методиках восстановления десны и костной ткани, но вот информации о протезировании имплантатов, изготовлении коронок, этапах протезирования, крайне мало. Мы решили исправить эту несправедливость. Поэтому сегодня мы расскажем вам о том, как что происходит с имплантатами с момента интеграции и как проходят этапы их протезирования.

    Важное замечание! Задача этой статьи - показать все аспекты протезирования как этапа стоматологической реабилитацией с использованием дентальных имплантатов.
     Ежу понятно, что это невозможно сделать в рамках одного клинического случая и одной имплантационной системы. 
    Поэтому для создания публикации мы взяли самые важные и показательные этапы из разных клинических случаев с разными имплантационными системами.
     Пожалуйста, отнеситесь к этому с пониманием.

    Самое главное…

    что нужно знать об имплантации и протезировании

    —  ИМПЛАНТАТЫ БЕЗ КОРОНОК НИКОМУ НЕ НУЖНЫ.

    Цель имплантации — создание долговечной, максимально физиологичной и надёжной опоры для зубного протеза. Для того, чтобы добиться этой цели, необходимо выполнить два пункта:

    1. Иметь представление о будущем протезировании и его план.

    2. Исходя из плана протезирования, расставить имплантаты нужного размера в нужное положение (имплантологическое правило #2).

    Задачи по первому пункту выполняет врач-ортопед: подбирает оптимальную для вас схему протезирования с учётом ряда физиологических параметров и, конечно, ваших пожеланий. В хороших клиниках и при наличии слаженной и компетентной команды стоматологов, ортопеда не волнует сама возможность установки имплантатов, наличие/отсутствие объёмов костной ткани и т. д., поскольку всё это можно воссоздать, используя различные методики наращивания кости и десны.  Что уже является задачей имплантолога.

    В общих чертах и в зависимости от клинической ситуации, вам могут предложить следующие схемы протезирования:

    На основе плана протезирования формируется схема имплантации, определяются размеры имплантатов и места для их установки. Для этого нужна хорошая и ясная коммуникация между ортопедом и имплантологом, плюс соблюдение правил позиционирования (см. Рекомендации по имплантации, часть V). В нашей клинике ортопеды также помогают подобрать подходящую к вашему клиническому случаю имплантационную систему , поскольку правильно подобранный макродизайн имплантата может существенно облегчить и удешевить протезирование. Именно по этой причине мы установили фиксированную стоимость на установку любых имплантатов.

    Самый простой (но не самый дешевый) способ не ошибиться при позиционировании — это использовать хирургические шаблоны:

    Они также изготавливаются врачом-ортопедом и, по сути, повторяют будущую протетическую конструкцию.

    Хирургические шаблоны бывают накостные и надесневые. Первые, более точные, чаще используют для «обхода» каких-то анатомических препятствий — верхнечелюстных пазух, нервных стволов и т. д. Вторые просто ориентируют имплантат по оси с известной погрешностью, что позволяет проводить остеопластику, удаление зубов и т. д., одновременно с имплантацией.

    Таким образом, уважаемые друзья, при планировании и проведении имплантации

    врач-ортопед — самый главный и самый необходимый доктор.

    Имплантологическое лечение, стоматологическая реабилитация с использованием дентальных имплантатов, начинается с консультации ортопеда. А не имплантолога, как многие думают.

    Проще всего представить этот этап подготовки к имплантации, сравнив его со строительством дома.

    Представьте, что у вас есть участок земли и много-много лишних денег. Вы хотите построить дом. С чего вы начнёте?

    Наверное, для начала, вы пригласите геодезиста и какого-нибудь инженера-геолога-топографа. Они разметят ваш участок, определят характер грунта, уровень грунтовых вод и выдадут вам заключение, можно ли на нём вообще что-то построить. А, если можно — то какого размера? По сути, это та диагностика и обследование, которую мы проводим в самом начале любого лечения.

    Затем, вы пригласите архитектора, который, пользуясь полученными от геодезистов и геологов данными, спроектирует ваш будущий дом. Планируя этажность, количество спален и санузлов, он будет отталкиваться, в том числе, от ваших пожеланий, образа жизни и т. д. И, если вы имеете дело с хорошим архитектором, он никогда не предоставит вам безальтернативный проект — у вас всегда будет выбор и возможность внести коррективы. Именно так планируется протезирование.

    На следующем этапе проект будущего дома передаётся инженеру, задача которого — рассчитать и сконструировать фундамент. Он может быть совершенно разным, но обязательно — надёжным и технологически связанным с проектом вашего дома. Если вы планируете строить деревянный дачный домик — ему будет достаточно простого свайного или ленточного фундамента, если же в планах строительство небоскрёба — то и опора вашего скромного трамп-тауэра должна быть соответствующей. В нашем случае — это этап планирования имплантации.

    Мы не знаем ни одного человека, который, сначала залив фундамент, звал бы архитектора и требовал, чтобы тот построил на этом фундаменте дом его мечты. Не знаем ни одной строительной организации, которая приступила бы к постройке дома без проекта и необходимых геодезических и геологических изысканий. Но, увы, в имплантологии и протезировании такой подход встречается очень часто, и нарушение последовательности принятия решений — одна из основных причин ошибок, осложнений и последующего разочарования пациентов.

    Когда все планы составлены, решения согласованы, у вас не остаётся никаких вопросов — можно приступать к установке имплантатов.

    Этап имплантации

    Имплантация зубов — это одна из главных специализаций  нашего стоматологического центра CLINIC IN. Ежегодно мы устанавливает около тысячи имплантатов в самых разных клинических ситуациях, от простых до невероятно сложных, включающих, например, наращивание костной ткани. Наши доктора являются менторами компании Dentsply Sirona Implants, они обучают других докторов работе с имплантатами и помогают им решить возникающие в практике проблемы.

    Неудивительно, что мы много пишем об имплантации, имплантатах и имплантационных системах. Еще больше их на сайте www.2026.implant-in.com, который, в большей степени, предназначен для докторов. Иными словами, у вас всегда есть, что почитать, поэтому данный этап мы пропустим.

    Пожалуй, единственное участие ортопеда на этом этапе заключается в т. н. «немедленном протезировании» — ситуациях, когда пациента просто нельзя оставить без зуба даже на день. Такое регулярно встречается при т. н. «немедленной имплантации» в эстетически значимой зоне — мы удаляем зуб, устанавливаем имплантат и сразу фиксируем к нему временную коронку.

     

    Если не сильно погружаться в нюансы, то для реализации подобного плана лечения нужно выполнить ряд условий:

    — имплантат правильного размера и в правильном положении

    — достаточная, не менее 15 Нсм, первичная стабильность. Если во временную протетическую конструкцию объединяются несколько имплантатов, то момент силы может быть снижен до 10 Нсм.

    — наличие необходимых компонентов для временного протезирования:

    — достаточные и легко прогнозируемые объемы окружающих имплантат мягких тканей.

    — свободное время у врача-ортопеда.

    Решение о временном протезировании только что установленного имплантата принимается только после того, как имплантат установлен.

    Вообще, немедленная имплантация и, тем более, протезирование — это уравнение с большим количеством переменных, которое не так уж просто решить. Поэтому мы еще вернёмся к этой теме. Пока же, вам просто нужно знать, что такая методика существует, и мы её активно используем:

    Методы протезирования с опорой дентальные имплантаты.

    К сожалению, временное протезирование только что установленных имплантатов возможно далеко не всегда.

    Гораздо чаще мы выбираем более длительный и консервативный план лечения, не предполагающий быстрого восстановления отсутствующих зубов. Поэтому после имплантации необходимо подождать 3-4 месяца (срок, необходимый для интеграции имплантатов), сформировать десну — и можно отправляться к ортопеду.

    Прежде, чем разберём то, что происходит дальше, мы предлагаем познакомиться с видами протетических конструкций, опирающихся на имплантат.

    Существует несколько типов и вариантов постоянного протезирования с опорой на имплантаты. В ряде случаев, ему предшествует т. н. «временное протезирование.

    Временное протезирование

    Является очень важным этапом и необходимо, примерно, 95 пациентам из 100. И вот, почему:

    — к сожалению, мы не можем себе представить, как ведёт себя имплантат под нагрузкой. В состоянии «покоя» мы не видим никаких проблем, снимки отличные, но как только он начнёт «работать», из-за нагрузки вокруг него начнётся перестройка тканей, меняется гемодинамика и т.д. Структурные изменения тканей, окружающих имплантат, может быть как положительными (когда всё хорошо) и отрицательной (когда жевательная нагрузка вызывает быструю убыль кости и изменение формы десны). А бывает и то, что имплантат под нагрузкой просто расшатывается и выпадает — как правило, это отсутствие остеоинтеграции из-за врачебных ошибок. Временные коронки — это отличный способ проверить, как «работает» имплантат.

    — со временем, у нас вырабатывается привычка не пользоваться той стороной челюсти, где не хватает зубов. Компенсация идёт, в том числе, на уровне рефлексов, которые не так просто победить. Поэтому только что установленные коронки на имплантатах могут быть крайне неудобными, а их использование — непривычным до дрожи. В отличие от керамических, временные композитные коронки можно легко и быстро корректировать, подбирая наиболее комфортную форму жевательной поверхности. К тому же, они медленно и по аналогии с естественными зубами стираются. Потому их выход на «полноценную функцию» происходит быстрее, а привыкнуть к ним намного проще.

    — из-за особенностей зубочелюстной системы и отсутствия привычки нормально жевать, коронки на имплантатах могут ломаться или слетать с абатментов. Иногда под действием нагрузки они развинчиваются и начинают болтаться. Так вот, ремонтировать и корректировать временные композитные коронки намного проще, быстрее и дешевле, чем керамические постоянные.

    — за редким исключением, контур десны после использования формирователей не соответствует естественному. С точки зрения геометрии — это просто плоскость с круглыми углублениями, открывающими ортопедические платформы, межзубные сосочки отсутствуют, в принципе. Кроме того, контур десны может меняться, и исправить форму под изменившуюся десну гораздо проще на композитной временной коронке, но не на керамической постоянной.

    — иногда лечение растягивается, включает в себя ортодонтические этапы, подготовку естественных зубов, изменение высоты прикуса и т. д. Если каждый раз и на каждом этапе делать керамические коронки — получается разнообразие форм и цвета, не говоря уже о необходимости постоянной «подгонки» жевательных поверхностей, контактов и т. д. В таких случаях мы сначала полностью восстанавливаем прикус, функцию и форму зубного ряда на временных коронках, и только после того, как у нас всё «заработало» как надо — меняем временные коронки на постоянные керамические.

    Ранее временные коронки делали примерно также, как и пломбы — вручную, наслаиванием композитного материала на абатмент или гипсовую культю зуба, по типу того, как пломбируют или реставрируют зубы. Всё бы ничего, но прочность, долговечность и внешний вид таких коронок оставляли желать лучшего.

    Современные временные коронки изготавливаются по тем же самым принципам, что и постоянные —  их фрезеруют из цельного композитного блока (или заготовки) на специальном станке с цифровым управлением. В качестве «чертежа» используется трёхмерная виртуальная модель зуба. Затем идёт их доводка, вклейка абатмента (если его не было заранее) — и они передаются в клинику для установки пациенту. Подробнее о лабораторных этапах изготовления зубных протезов мы поговорим в следующей статье.

    Постоянное протезирование.

    Оно может быть съёмным и несъемным.

    К съемным конструкциям относят различные варианты тотальных (на совсем беззубую челюсть) протезов, которые могут опираться как на импланты, посредством специальных замков, так и на зафиксированную к имплантатам балку.

    В первом варианте используются специальные замки, очень похожие на одёжные кнопки, или специальные телескопические абатменты.

    По факту, такой метод протезирования не самый надёжный и удобный, однако, его плюсом является простота реализации и низкая стоимость. Поэтому иногда мы используем его в качестве временной меры для стабилизации уже существующих съёмных протезов.

    Основной метод постоянного съёмного протезирования с использованием имплантатов — это использование для опоры протеза специальной замковой балки (или балок), прочно зафиксированной на имплантатах.

    Плюсы такой методики — это очень удобно, очень долговечно и очень надёжно. Кроме того, за счёт высоты базиса можно компенсировать любую утрату высоты альвеолярного гребня — то, чего иногда невозможно добиться, используя популярные методы типа «всё-на четырёх» или «всё-на-шести».

    Протез можно снимать, его легко чистить, гигиену полости рта поддерживать очень просто — этим и объясняется популярность данной методики у пациентов в возрасте.

    Но есть и минусы. Это, всё-таки съёмный протез. Не всем это нравится, даже чисто психологически. А еще некоторые виды балочных замков требуют наличия ключа, а он, как известно, периодически теряется.

    На этом варианты съемного протезирования с использованием дентальных имплантатов заканчиваются. И мы переходим к наиболее распространённым несъёмным протетическим конструкциям.

    Принципиально, коронка (или коронки) могут фиксироваться к имплантату двумя способами.

    Цемент

    Первый, популярный лет десять назад и почти не используемый в современной стоматологии, предполагает использование специального переходника-абатмента.

    Абатмент фиксируется к имплантату посредством винта, а к нему, с помощью цемента, приклеивается коронка.

    Это и есть т. н. «цементная фиксация».

    Разнообразие абатментов для цементной фиксации в некоторых системах просто зашкаливает. Встречаются стандартные (прямые и угловые), приливаемые (индивидуальные), цельные и составные оксид-циркониевые абатменты для цементной фиксации.

    В зависимости от поставленной задачи, доктор и/или зубной техник выбирают тот вид абатментов, который лучше всего подходит для решения конкретной клинической задачи.

    Цементная фиксация, в определённый пределах, позволяет компенсировать неправильное положение имплантата. Например, если его ось и, соответственно, шахта, выходят на переднюю поверхность у «видимых» зубов:

    Важное замечание. В старинных книгах по имплантологии отмечался приоритет цементной фиксации перед винтовой. 
    Причину предпочтения цементной фиксации авторы видели в том, что винты и точность изготовления компонентов 
    не позволяли полностью исключить микроподвижность коронки относительно абатмента. Но времена изменились. 
    И сейчас фиксация коронки с помощью винта является первостепенной по частоте применения и важности методикой,
     в то время как цементная фиксация является компромиссом.

    При всей эстетичности (отсутствие шахты в коронке), у цементной фиксации много минусов, которые сводят на нет все её плюсы:

    — невозможность разборки и обслуживания восстановленного зуба. Если вдруг возникнет какая-то проблема, то зафиксированную на цемент коронку можно снять, только полностью её разрушив.

    — в основном, цементная фиксация осуществляется на индивидуальных абатментах, которые нужно изготовить отдельно и которые стоят примерно столько же, сколько и сама коронка.

    — всегда существует опасность проталкивания излишков цемента под десну. Это может спровоцировать воспаление, убыль костной ткани и потерю имплантата.

    По этим причинам, мы в CLINIC IN крайне редко используем цементную фиксацию, отдавая предпочтение винтовой. К счастью, у наших имплантологов светлые головы и хорошие руки — поэтому таких проблем как криво установленные имплантаты, у нас в клинике нет.

    99% современных коронок на имплантаты фиксируются винтами.

    Винт

    Для винтовой фиксации коронок также используются специальные абатменты-переходники. Они бывают трех типов.

    Первый — это т. н. многоцелевые абатменты (MP, Multi-Purpose, Multi-Unit и т. д.), на жаргоне ортопедов — «мультики». Их основная задача — это перевод ортопедического интерфейса в наддесневое положение, а назначение — фиксация протетических конструкций, опирающихся на несколько имплантатов.

    В некоторых имплантационных системах многоцелевые абатменты позволяют довольно существенно менять угол наклона ортопедической платформы.

    Это свойство используется в таких схемах протезирования как «всё-на-четырёх». На наш взгляд, методика «всё-на-четырёх» является компромиссной, в её реализации огромное количество нюансов и масса противопоказаний. Мы вынесем её на обсуждение в будущих статьях.

    Второй тип абатментов — не что иное, как заготовка под коронку. Он, фактически, «вклеен» в цилиндр из диоксида циркония, керамики или другого материала уже в заводских условиях, отделить его от каркаса будущей коронки невозможно.

    Для изготовления коронки, эта заготовка обрабатывается на специальном фрезерном станке — и по цифровой модели создаётся  каркас будущей коронки.

    Третий тип абатментов  представляют из себя простое титановое основание, обратную часть ортопедического интерфейса, к которому можно приклеить всё, что угодно — отдельные коронки или большой керамический протез из шести единиц.

    Из-за удобства, относительно невысокой стоимости и универсальности, мы используем их весьма часто.

    Другими словами, уважаемые друзья, протезирование с опорой на имплантаты существенно отличается от протезирования с опорой на естественные зубы. В первую очередь, необходимостью использования специальных компонентов, подбираемых индивидуально для каждого случая.

    Этапы протезирования.

    В какой-то момент, обычно через 3-4 месяца после операции имплантации, мы проверяем интеграцию имплантатов, делаем контрольные снимки и создаём первичный десневой контур с помощью специальных компонентов, называемых формирователями.

    И, если всё в порядке, через неделю-две, пациент направляется к врачу-ортопеду для изготовления зубных протезов.

    На этом этапе главная задача для доктора — перенести точное положение имплантата пациента на модель. Это делается с помощью т. н. «трансферов». Трансфер фиксируется на имплантат вместо формирователя десны. Затем, с помощью силиконовой массы делают оттиск, и трансфер остаётся внутри него.

    Привычные всем оттиски иногда заменяют 3Д-сканированием полости рта, а вместо трансферов используют специальные скан-головки.

    Сути это не меняет — точное положение имплантата передаётся зубному технику посредством оттиска или трехмерной виртуальной модели. Все остальные этапы изготовления ваших новых зубов проходят не в клинике, а в зуботехнической лаборатории.

    О них мы поговорим в следующей статье. Впереди — самое интересное, и это повод подписаться на наш сайт и страницы в социальных сетях.

    С уважением, CLINIC IN.

    Что еще почитать про протезирование в CLINIC IN?
    Раздел «Протезирование зубов» на сайте CLINIC IN
    Раздел «Имплантация зубов» на сайте CLINIC IN
    Вы планируете консультацию в CLINIC IN. Что нужно знать еще до приёма стоматолога?
    Консультация имплантолога
    Вы планируете протезирование зубов. Что нужно знать об этом еще до консультации стоматолога?
    Ортопедическая платформа имплантата: конусы, шестигранники и винты
  • О качестве имплантации.

    О качестве имплантации.

    Пока мы с нашими ортопедами работаем над статьёй о протезировании имплантатов, я хочу обсудить с вами очень интересную тему. Уважаемые друзья, сегодня мы поговорим о качестве имплантологического лечения.

    Что такое «качественное лечение»?

    Попробуйте самостоятельно ответить на этот вопрос. Попросите ответить на него своих друзей — и вы удивитесь, что, при всей осязаемости и понятности термина «качество», ваши мнения о «качественном лечении» будут разными. Иногда прямо противоположными.

    Дать объективный и конкретный ответ на этот вопрос не так легко, как может показаться на первый взгляд. Потому что у каждого из нас есть своё представление о «качестве» и «качественной стоматологии».

    … с точки зрения рекламщика

    Недавно в фейсбуках я наткнулся на публикацию очередного smm-гения на тему «как распознать качественную стоматологию»? В рекламной заметке какой-то сетевухи, он перечисляет основные признаки «качественной стоматологии»: типа, всё чисто, новейшее оборудование, работают импортными и дорогими материалами, в общении вежливы и приветливы, на стенах висят сертификаты о квалификации и т.  д.

    Значит ли это, что в клинике, где всё это есть — стопроцентно «качественная стоматология»? Нет. Это значит, что в клинике чисто, есть импортные и дорогие материалы, а все сотрудники прошли обучение этикету, и у них есть деньги на тусовки. Заявленные признаки о качестве говорят чуть менее, чем никак.

    Можно придумать много таких признаков. Интерпретировать их можно также широко, как и сам термин «качество». Конечно, есть общепринятые и, вроде как, утверждённые стандарты качества, типа ISO или JCI, однако, они говорят только о том, что у клиники есть бабло и незанятые сотрудники клиника прошла проверку и соответствует этим самым стандартам. Ни ISO, ни JCI никак не гарантируют качественного лечения именно в вашем случае.

    То же самое можно сказать и про все существующие рейтинги, вроде «ТОР-100 стоматологий России». Неужели на свете еще остались дурачки, которые им верят?

    … с точки зрения доктора.

    Много раз мы писали о том, что имплантология сама по себе не является самостоятельным видом стоматологической реабилитации. Имплантаты сами по себе никому не нужны. Их назначение — это создание опоры для протезирования, и с этой точки зрения у нас, вроде как, появляется более-менее объективный критерий оценки качества имплантологического лечения — можно ли на эти имплантаты зафиксировать зубной протез?

    Возможность протезирования имплантатов зависит от многих факторов — их размера, позиционирования в челюстной кости и объёма окружающих тканей и т. д. Если более конкретно — то от пространственного положения ортопедической платформы имплантата.

    Однако, при должной степени изворотливости, ортопед может протезировать совершенно любой имплантат. Особенно, если у него ипотека и автокредит. Не нужно далеко ходить за примерами:

    В этом случае имплантат находился в позиции, никак не предназначенной для нормального протезирования:

    Иными словами, даже такой объективный критерий как возможность протезирования отпадает. Потому что приведённый выше клинический случай вряд ли можно назвать «качественным лечением».

    Покажу другую картинку, более сложную для оценки и анализа качества проведённого лечения.

    История такова. Пациент обратился в «элитную» стоматологическую клинику, где ему поставили «элитные» имплантаты Astra Tech и сделали «элитные» коронки из «элитного» диоксида циркония на «элитных» индивидуальных абатментах. И, разумеется, всё это — по новейшей V.I.P.-технологии с соответствующим ценником.

    Через полчаса после фиксации коронок, пациент почувствовал дискомфорт, о чём сообщил врачу-ортопеду. Врач-ортопед сказал, что нужно привыкнуть — и отправил пациента домой.

    Дискомфорт не прошёл. Со временем, добавились другие проблемы — под коронками забивалась пища, из-за затруднённой гигиены периодически воспалялась десна.

    Пациент снова обратился к доктору. Тот сделал снимок и сказал — всё норм, привыкайте. И отправил пациента домой.

    Но дискомфорт не проходит, привыкнуть не получается. Пациент из лояльного превращается во «вредного», приходит к врачу ортопеду уже с претензией. На которую доктор реагирует соответствующим заявлением: «Я сделал всё, что мог, я старался, лучше в вашем случае не сделаешь. А все ваши проблемы от того, что имплантолог — мудак, и имплантаты стоят криво.» Прав ортопед? Ну, по-видимому, прав. Действительно, если бы это сделали в нашей клинике — имплантолог получил бы песды и оплатил бы дальнейшее лечение пациента.

    Пациент идёт к имплантологу. Типа, вы накосячили, из-за вас у ортопеда коронки не получаются. На что имплантолог говорит: «У вас имплантаты прижились? Прижились. Ортопед взял вас в работу? Взял. Стало быть, протезировать имплантаты можно? Можно. Ну, тогда какие ко мне претензии? Я всё сделал правильно!». И, вроде как, с доктором спорить неудобно, особенно, если он — профессор.

    Пациент возвращается к ортопеду за переделкой. Тот переводит стрелки на имплантолога. Имплантолог говорит, что это ортопед-рукожоп, и вообще — вам же сказали привыкать! Но привыкнуть не получается.

    Остаётся пациент у разбитого корыта. Все доктора всё сделали правильно, сделали всё, что могли, но… полноценно пользоваться зубами, за которые пациент заплатил по V.I.P-тарифу, он не может. Ему неприятно. Ему больно. Но его никто не слышит. Потому что у докторов своё представление о «качестве лечения»: имплантолог «качественно» поставил имплантаты (они прижились). Ортопед «качественно» запротезировал (сделал всё, что смог). Только вот пациент почему-то недоволен.

    «Наверное,  — думают доктора, — Он потребительский экстремист! А ведь хороший был человек….!»

    И вот, представьте себе, что таких пациентов много. Очень много. Сотни, если не тысячи пациентов ходят по стоматологическим клиникам с жалобами на дискомфорт и прочие неудобства. Их обследуют, им делают снимки, им говорят: «у вас всё хорошо, привыкайте». Они возвращаются к ортопедам за переделкой, ортопеды посылают их имплантологам, имплантологи ругают ортопедов и посылают пациентов нафиг — и это замкнутый круг, из которого не так легко выбраться.

    И всё потому, что у докторов и пациентов  разное представление о качестве лечения.

    … с точки зрения пациента.

    Попрошу вас еще раз посмотреть на снимок:

    Ортопантомограмма сделана через полтора-два года после завершения лечения. То есть, ситуация стабильная. На ортопантомограмме видны имплантаты, коронки на имплантатах и чуть-чуть мягкие ткани — на первый взгляд, всё хорошо. С точки зрения клинического анализа, кто-то может посчитать проведённое лечение качественным. Вот и вы сейчас удивляетесь — типа, что не так?

    Но на этом снимке вы не видите дискомфорт, не видите зубной налёт и остатки пищи, скопившиеся под коронками. Вы не видите постоянную ноющую боль из-за воспаленной десны. Вы не видите головные боли, из-за неправильно восстановленной окклюзии. Вы не видите трудности с гигиеной. Самое главное — вы не видите качества жизни пациента, который вынужден с этим жить.

    Вы можете возразить, что это самое качество жизни — отнюдь не абсолютный параметр, у каждого человека своё представление о качестве жизни.

    Я соглашусь, но перефразирую

    — представления о качестве жизни индивидуальны и неповторимы для каждого из нас.

    Их невозможно ни измерить, ни уровнять.

    Но его можно улучшить. Каким бы оно ни было — его можно улучшить. Для этого нужна правильная стоматология. И имплантация с протезированием, в частности.

    «Качественная имплантация и протезирование» — это такой вид лечения, после которого повышается качество вашей жизни. Поскольку жизнь — вообще очень индивидуальная штука, то и повышение её качества, равно как и методы повышения будут уникальными и неповторимыми для каждого из вас.

    Качественная стоматология — отнюдь не конвейер из человеческих ртов, это не склады имплантатов, не цифровые библиотеки готовых зубов стандартной формы и цвета. Это не рутина и не банальщина. Это то, что делается только для вас.

    Ни фотографии, ни снимки, ни мнения докторов не могут показать, качественно ли вам провели стоматологическое лечение. Сделать это можете только вы. Если ваша жизнь стала проще, легче и комфортнее — вам провели качественную имплантацию и протезирование. И наоборот.

    Пожалуй, это единственный признак и единственный критерий оценки качества.

    И он совсем не похож на ISO.

    … с точки зрения CLINIC IN.

    В нашей клинике есть очень небольшое количество пациентов, с лечением которых мы едва справляемся. У нас также бывают проблемы — и я, в отличие от многих клиник, говорю вам об этом честно и открыто. Потому как решение проблемы начинается с признания того, что она есть. Если мы о ней знаем, то мы её решим. А, если не знаем — то догоним, спросим и решим.

    В нашей клинике также бывают отторжения имплантатов, неудачные остеопластические операции и поломки протезов. Но такие случаи настолько редкие, поэтому без всякой бюрократии и сопротивления разрешаются в рамках наших гарантийных обязательств. Потому что договорённости, гарантии и обязательства для нас — не пустой звук.

    Мы знаем, из-за чего вы переживаете и чего вы боитесь — и сводим все ваши беспокойства к минимуму. Если вы расскажете нам, как вы живёте — мы вместе придумаем, как сделать вашу жизнь еще лучше. Причём, с минимальными усилиями и рисками.

    Мы думаем так, как думаете вы — и поэтому у нас в клинике нет бахил, телевизоров, аквариумов, стендов с дорогущими зубными щётками и пастами, нет навязчивых администраторов, стремящихся всё это впарить. У нас нет «менеджеров по продажам стоматологических услуг», нет колл-центра, который задолбал бы вас звонками, нет рекламы, нет акций, скидок и прочих заманух.

    У наших докторов нет финансовых планов, а при подозрении в «разводе на бабки» стоматолог вылетает из клиники быстрее, чем успеет сказать слово «Развоооо…..».

    У нас есть представление о качественной стоматологии. К счастью, оно совпадает с вашим.

    Спасибо Вам за то, что вы с нами.

    С уважением, Станислав Васильев, шеф CLINIC IN.

    Что еще почитать про лечение в CLINIC IN?
    Раздел ПАЦИЕНТАМ, целиком и полностью.
    Вы планируете лечение в CLINIC IN. Что нужно знать об этом еще до консультации стоматолога?
    Гарантии и обязательства — это то, к чему мы относимся очень серьёзно
    Вы планируете имплантацию зубов. Что нужно знать об этом еще до консультации имплантолога?
    Консультация имплантолога
    Вы планируете протезирование зубов. Что нужно знать об этом еще до консультации протезиста?
    Доктор или барыга? Актуальные вопросы взаимоотношений врачей и пациентов.
    Как нас разводят зубные врачи. Статья для Экспресс-газеты без цензуры.
    Жадность губит всё. Жадность — это плохо
  • Ортопедическая платформа имплантата: конусы, шестигранники и винты.

    Ортопедическая платформа имплантата: конусы, шестигранники и винты.

    Каждый стоматолог-инстаблогер считает очень важным рассказать людям, что такое имплантат (это в двадцать первом веке, когда имплантаты ставят на каждом углу). Продвинутые  стоматологи-инстаблогеры дополнительно рассказывают о том, чем «премиум»-имплантаты отличаются от «эконом»-имплантатов (при этом объективной разницы назвать не могут, всё упирается в метафизические «качество-надёжность-приживаемость»). Самые великие стоматологи-инстаблогеры поступают еще круче — на спижженой откуда-то картинке, они показывают строение имплантата-абатмента-коронки, попутно отвечая на вопросы ботов о том, «сколько это стоит?» и  «как записаться на приём?». Отвечают стоматологи-инстаблогеры, разумеется, только в директ.

    Я не умею пользоваться инстаграмом. О чём бы я ни рассказывал, даже о самой малозначительной теме — у меня всё время получается несколько листов писанины двенадцатым кеглем с одиночным интервалом. Если краткость — это сестра таланта, а мы с ней точно не родственники.

    Сегодня я расскажу вам даже не об имплантате, а об одной из его частей — ортопедической платформе. Или, если хотите, ортопедическом интерфейсе.

    И, поскольку это самое важное, что есть в импланте, кратким рассказ точно не получится.

    Самая важная часть дентального имплантата

    Если не брать версию инстаблогеров, то имплантат

    это всего лишь универсальная опора для зубного протеза.

    Он имеет ценность лишь тогда, когда к нему есть возможность что-то зафиксировать — коронку, абатмент, замок от съёмного протеза и  т. д.

    Не учитывая общие факторы в виде правильного позиционирования, правильного подбора имплантата по размеру и т. д., возможность фиксации на имплантате чего либо зависит от его ортопедической платформы, той площадки, на которую, собственно, опирается протез (вот вам Xive S вам в качестве примера):

    Несмотря на всё разнообразие имплантатов и видов ортопедических интерфейсов (о видах речь пойдёт далее), они устроены примерно одинаково.

    Платформой, собственно, является поверхность (одна или несколько) на которую опирается абатмент. Она может быть плоской,  иметь вид боковой поверхности усечённого конуса, цилиндра и т. д.

    Ниже (или выше) этой плоскости находится антиротационный элемент, который не даёт абатменту прокручиваться по оси. Чаще всего его делают в виде шестигранника, но бывают и трёх-, четырёх-, восьми- и двенадцатигранные антивращательные втулки. У некоторых имплантационных систем (Ankylos С/Х, Zimmer Spline) он имеет более сложное строение, изредка (как, например, у Bicon и ряда одноэтапных имплантатов с интегрированным абатментом) он может, в принципе. отсутствовать.

    Ну и, последний компонент ортопедического интерфейса — это шахта фиксирующего винта. Как подсказывает Кэп Очевидность, её назначение — удерживать винт, который фиксирует абатмент на имплантате. Этот винт закручивается в имплантат с чётко рассчитанным усилием, обозначенным в инструкции к имплантационной системе.

    В некоторых имплантационных системах (у того же Bicon или одноэтапных имплантатов) винт отсутствует. Фиксация абатмента/коронки осуществляется прецизионной посадкой на конус с очень маленьким углом раствора (конус Морзе), либо простой цементной фиксацией коронки на интегрированный абатмент.

    Совокупно, платформа, антиротационная втулка и шахта винта образуют ортопедический интерфейс, с которым работает врач-ортопед при протезировании имплантатов. От пространственного положения ортопедического интерфейса, размера и понимания доктором его конструктивных особенностей, во многом, будет зависеть успех протетического этапа стоматологической лечения и, как следствие, качество жизни пациента.

    По положению платформы в пространстве, все существующие имплантаты мы делим на три группы: субгингивальные, трансгингивальные и субкрестальные.

    Разные типы имплантатов имеют разные возможности, показания и противопоказания, обладают разной степенью универсальности и удобства работы. Поэтому в нашем стоматологическом центре CLINIC IN мы используем все три вида имплантов и предлагаем их нашим пациентам по одной цене — до 61 тыс рублей, максимум. Такой подход позволяет, с одной стороны, охватить максимальный диапазон клинических ситуаций и протетических решений, с другой стороны — у докторов есть возможность выбирать для лечения пациента наиболее подходящие для него, а не для его кошелька, имплантаты.

    Подробнее почитать о наших имплантатах и имплантации в CLINIC IN можно здесь>>.

    Проектирование ортопедической платформы — это самый сложный и ответственный этап конструирования и создания имплантационной системы. Макродизайн имплантатов и супраструктур, фактически, создаётся вокруг платформы, и только потом придумываются инструменты, фрезы, упаковка и т. д.

    Ортопедическая платформа — это то, что отличает имплантационную систему от других, главный признак её уникальности. Имплантаты разного дизайна, но с одинаковыми по конструктиву платформами, вполне могут считаться клонами и, как правило, имеют общее происхождение вне зависимости от места производства. Оригинальной является та имплантационная система, которой принадлежит патент на дизайн платформы, всё остальное можно назвать репликами, копиями и даже подделками (в зависимости от юридических аспектов передачи патентного права).

    Так, ортопедические платформы большинства корейских имплантационных систем одинаковы, и это значит что кто-то у кого-то что-то спиздил что они имеют общего предка). А сколько гуляет реплик и копий известной израильской системы AlphaBio — представить сложно. Одну из них, типа «немецкую», я упоминал в этой статье.

    Две концепции ортопедических интерфейсов.

    Существует две концепции ортопедических интерфейсов, различаемых по механизму передачи жевательной нагрузки с абатмента на имплантат.

    Первая концепция, эволюционно более древняя, предполагает передачу нагрузки на имплантат посредством фиксирующего винта. Это было связано с тем, что в стародавние времена точность металлообработки не позволяла создать прецизионные контактные поверхности имплантат-абатмент — и, я должен признаться, на конгрессах нас до сих пор пугают слайдами с микроподвижностью и раскручиванием абатментов на старинных имплантатах. Некоторым современным имплантационным системам эта концепция передалась по наследству, и первым признаком этого является необходимость закручивать фиксирующий винт с весьма большим усилием — 30-40 Нсм (и это прямо прописано в инструкции, например, к имплантационной системе Straumann и Nobel Biocare):

    Вторая концепция, более современная, предполагает прецизионное прилегание контактных поверхностей имплантат/абатмент и передачу жевательной нагрузки через эти поверхности. В этом случае винт является не более, чем удерживающим абатмент компонентом. Первый и главный признак второй концепции — небольшие усилия при закручивании винтов, в пределах 14-24 Нсм. Простой пример — Xive или Ankylos, обе системы от Dentsply Sirona Implants:

     

    У каждой из этих двух концепций есть свои плюсы и минусы, преимущества и недостатки, поэтому однозначно сказать, что «первое хорошо, а второе — плохо» я не могу.

    Несомненным плюсом первого варианта является простота и удобство работы. Приемлемая, но не высокая точность гарантирует, что с посадкой даже большой протетической конструкции справятся любой доктор и любой зубной техник с любым опытом работы. С другой стороны, некоторые из таких имплантационных систем требуют специальных винтов и их замены на всех этапах, а также большое количество контрафактных запчастей — ведь их можно изготовить на любом фрезерном станке в любом подвале.

    Второй вариант в работе несколько сложнее, а найти для таких интерфейсов абатменты-реплики-копии достойного качества не так уж и просто. При этом, оригинальные протетические супраструктуры стоят, обычно, как крыло самолёта — за точность приходится платить. Но наградой за это является более равномерное распределение жевательной нагрузки и, как следствие минимум проблем в процессе эксплуатации имплантатов даже в экстремальных условиях.

    Имплантационные системы совершенствуются, постоянно растёт точность и уменьшаются допуски при производстве протетических компонентов. Уже сейчас очень сложно провести чёткую грань между концепциями передачи и распределения нагрузки и, как я думаю, со временем она окончательно исчезнет.

    Три типа протетических платформ.

    Многообразие имплантационных систем отнюдь не предполагает разнообразия типов ортопедических интерфейсов.

    Подавляющее большинство имплантатов имеют плоскую или коническую протетическую платформу, антиротационный элемент может находиться над или под ней. Проще всего показать варианты на примере систем Nobel Biocare, безусловного лидера по ассортименту выпускаемых имплантов:

    Обычно маркетологи, в зависимости от поставленной перед ними задачи, делят платформы на «очень хорошие» и «полное говно». Я бы рекомендовал от такого деления воздержаться. У каждого из представленных типов платформ есть свои плюсы и минусы — именно поэтому компания Nobel Biocare не сводит все свои системы к одному интерфейсу, а продолжает производить даже устаревший, на первый взгляд Brannemark (плоская платформа с внешним шестигранником).

    Знание преимуществ и недостатков различных видов платформ даёт доктору гигантские возможности для планирования и реализации имплантологического лечения. Мы совершенно осознанно выбрали для своей практики имплантаты с разными платформами, создали для них единый прайс — и теперь просто подбираем нужный имплантат под конкретную клиническую ситуацию. Например, зачем разорять пациента покупкой MP-абатментов на субгингивальные имплантаты, если мы можем использовать Xive TG в случаях, когда это требуется?

    Подробнее об имплантационной системе Xive, подбору имплантатов для конкретного клинического случая, вы можете почитать в цикле статей «Рекомендации по установке имплантатов. Для всех». Рекомендую начать с первой части — и далее:

    Часть II — критерии выбора имплантационной системы для хирургической практики. Что на самом деле важно, если речь идёт о покупке имплантационной системы? И на что можно забить?

    Часть III — микро- и макродизайн имплантационной системы. Вообще, чем имплантаты разных марок отличаются между собой?

    Часть IV — хирургический протокол — формальность или правило? Нужно ли его соблюдать? И что будет, если не соблюдать?

    Часть V — самая важная. Ибо про позиционирование имплантатов. Напомню, что наибольшее количество косяков и ошибок имплантации — это ошибки подбора и позиционирования имплантата.

    Часть VI. Установка имплантата Astra Tech. С учётом предыдущих, это довольно примитивная статья, посвященная мануалу установки имплантата системы Astra Tech Osseospeed TX. Полезная штука для тех, кто считает, что круче Astra Tech  ничего нет, ибо прекрасно разочаровывает.

    Переключение платформ.

    Одним из полезнейших приёмов, позволяющим улучшить нашу работу, является т. н. «переключение платформ». Или PlatformSwitch, если писать по-индийски.

    Вопреки распространённому мнению, под под «переключением платформ» подразумевается изменение площади контакта поверхностей имплантата и абатмента:

    что может потребоваться при субкрестальной установке субгингивального имплантата, при работе в тесных условиях, при не очень хорошем состоянии (или просто тонкой) слизистой оболочке и т. д. Конкретные показания для реализации Platform Switch определят врач-ортопед на этапах планирования имплантации — и это также является фактором, влияющим на выбор имплантационной системы для пациента.

    Реализовать этот приём можно только на плоских платформах. Но не во всех имплантационных системах. И не на всех имплантатах.

    Обычно производители документируют эту возможность в соответствующих инструкциях.

    Если же имплантаты разного диаметра имеют единую по размеру ортопедическую платформу, то переключение платформ невозможно, в принципе. Равно как не переключаются платформы у имплантатов с коническим типом протетического интерфейса.

    Единая протетическая платформа у всех имплантатов.

    Некоторые из имплантационных систем предлагают ортопедическую платформу одного размера для имплантатов всех диаметров. Классика жанра — Ankylos С/X:

    Удобство работы с такой системой очевидно — вам не нужно подбирать абатмент под каждый из размеров имплантатов. Кроме того, создаётся иллюзия, что имплантологическое правило #2 в таких системах не работает. Но физику, а точнее сопромат никто не отменял — и передача жевательной нагрузки на столь малую площадь контакта, вызывает вопросы, как минимум, у меня:

    Поэтому я бы не стал рассматривать единую ортопедическую платформу как важное конкурентное преимущество. Это всего лишь конструктивный нюанс, имеющий как преимущества, так и недостатки.

    Конус Морзе и коническая платформа.

    В статье «Не дай натянуть себя на конус» я рассказал, что по мнению большинства маркетологов, любая коническая платформа представляет собой конус Морзе. Но это не так.

    Если переходить по ссылке вам лень, я очень кратко расскажу, что это за геометрическая фигура и почему она так нравится всем ортопедам.

    Итак, конус — это фигура вращения. Он образуется вращением прямоугольного треугольника вокруг большего из его катетов, который является его осью. Если говорить более точно, то мы имеем дело с прямым круговым конусом (его основание — круг).

    С точки зрения геометрии, у него есть несколько интересующих нас характеристик.

    Уклон конуса измеряется в градусах между его осевым перпендикуляром и любой боковой поверхностью. Иногда уклон путают с углом раствора конуса или просто углом конуса, образованным между поверхностями при его вершине. Для прямого кругового конуса, угол раствора — это два уклона.

    В литературе и описании протетических интерфейсов можно встретить как характеристику уклона, так и угол раствора конической ортопедической платформы. Важно их не путать.

    Например, для имплантационной системы Astra Tech (Dentsply Sirona Implants), уклон конической платформы равен одиннадцати, а её раствор — 22 градусам.

    Еще одна важная характеристика конуса как геометрической фигуры — это его конусность, отношение высоты к диаметру. Конусность равна тангенсу уклона и обычно записывается в виде отношения. Так, для всё той же конической платформы Astra Tech конусность составит tg(22)=0,40  или 1:2,5.

    У большинства конических платформ параметры схожи — угол раствора колеблется от 22 до 26 градусов, а конусность — от 1:2,5 до 1:2. Очевидно, что эти цифры появились неспроста и были рассчитаны инженерами, учёными и врачами. Исключений из этого диапазона не так уж и много. В частности, угол раствора платформы имплантатов Ankylos равен 11 градусам,  а её конусность — 1:5.

    В 1864 году Стивен Морзе предложил свой вариант конического крепления, названный позже его именем. Параметры конуса Морзе, широко используемого в промышленности, таковы: конусность от 1:19 до 1:20, что соответствует углу раствора от 2,8 до 3 градусов и уклону конуса от 1,4 до 1,5 градусов. Такой тип соединения, в буквальном смысле, центрирует и «заклинивает» вращающийся инструмент, что широко применяется различных инструментах, токарных станках, всяких там шпинделях и т. д.:

    А вот в имплантационных системах конус Морзе встречается нечасто. Лично мне известна лишь одна имплантационная система с платформой, параметры которой соответствуют конусу Морзе. И это Bicon:

    Наверняка, есть еще системы с похожими характеристиками, и я буду рад, если вы мне их назовёте. Интересно посмотреть.

    Почему конические платформы так нравятся ортопедам? И почему НАСТОЯЩИЙ конус Морзе — большая редкость в проектировании имплантационных систем?

    Причина в точности. Представьте ситуацию, когда вам необходимо зафиксировать протез сразу на несколько имплантатов. Чтобы «крепления» точно совпали — расстояние между осями имплантатов и абатментов должны идеально совпадать, а любая, даже самая минимальная погрешность не даст вам прикрутить протез к имплантатам.

    В конической платформе абатменты самоцентрируются — и это позволит без проблем зафиксировать протез, изготовленный даже со значительными допусками:

    И наоборот, фиксация такого протеза на имплантаты с плоской платформой или платформой «а-ля конус Морзе» будет представлять сложности — потеря точности в несколько микрометров не позволит вам правильно установить абатменты.

    Поэтому нередко для обширных протезов используют многоцелевые абатменты, MP или MultiUnit, — помимо удобного наддесневого снятия оттисков, они немного компенсируют неточности, что облегчает фиксацию больших протезов.

    Заключение

    Чем дольше я работаю имплантологом и изучаю имплантационные системы системы, тем больше понимаю, что все «войны платформ», все «рейтинги приживаемости» и прочие «премиумы-экономы» имплантатов — это исключительно маркетинг, цель которого, в принципе, известна каждому.

    Не существует «плохих» или «хороших» имплантатов. Есть имплантаты, которые больше или меньше подходят для решения конкретной клинической задачи.

    Не существует «премиальных» или «бюджетных» имплантационных систем. Потому что стоимость имплантологического лечения, в конечном счёте, будет зависеть от хирурга имплантолога, клиники, где он работает, их аппетитов, опыта, жизненной позиции и мировоззрения. К тому же, нет достоверных данных, которые показали, что «премиальные имплантаты» приживаются лучше, чем «бюджетные». Или наоборот.

    Не существует «качественных» или «некачественных» имплантатов. Есть имплантаты, с которыми вы умеете или не умеете работать. Есть системы, которые вы знаете и которые не знаете. Лично я не знаю ни одной конкретно НЕКАЧЕСТВЕННОЙ имплантационной системы, равно как и объективных критериев оценки качества.

    Не существует идеальной ортопедической платформы, которая бы устраивала всех докторов во всех клинических ситуациях. Возможность выбора платформы для решения клинических задач — один из важнейших факторов подбора имплантационных систем для имплантологической практики доктора или клиники.

    Не существует «проблемных» имплантатов. Существуют некомпетентные доктора.

    Я, мы, стоматологический центр CLINIC IN взяли на себя очень сложную и, возможно, неблагодарную миссию. Мы помогаем вам принимать правильные решения. Всё, что вам для этого нужно — это понятные,доступные и легко проверяемые данные, немного логики, личного опыта и здравый смысл. Мы не навязываем вам «единственно верный вариант», не предлагаем вам «самое лучшее по лучшей цене» и никогда не говорим, что «у вас нет выбора». Мы лишь снабжаем вас важной и полезной, на наш взгляд, информацией, которые вы можете использовать для того, чтобы улучшить свою жизнь и здоровье. Мы подробно ответим на ваши вопросы, если таковые возникнут. И, что бы вы ни решили — это ваш выбор, и мы будем его уважать.

    Именно поэтому каждый месяц в нашей клинике мы проводим научно-популярные семинары о стоматологии, во время которые не только можно узнать массу интересного о предстоящем вам лечении, но и пообщаться в неформальной обстановке с врачом-специалистом.

    Так, 26 января в 19-00 мы приглашаем всех желающих и интересующихся на лекцию Кирилла Киселёва-Тростянского, посвящённую протезированию на имплантатах. Бэк-вокал будет за Андеем Дашковым, он расскажет о том, как качество протезирования может повлиять на жизнеспособность и срок службы имплантатов. Подробности о мероприятии находятся тут>>, записаться можно по электронной почте, телефону или через страницу мероприятия в социальных сетях. Приходите, будет очень интересно!

    Спасибо, что дочитали до конца. Буду рад ответить на любые вопросы.

    С уважением, Станислав Васильев.

    Что еще почитать об имплантатах, имплантации и протезировании зубов?
    Не дай натянуть себя на конус! — статья о том, как нас дурят маркетологи
    Как нас дурят зубные врачи? —  здесь упоминаются имплантаты за 7 500 «под ключ» и то, откуда берётся такая цена.
    Стоматолог или барыга? — почему одни и те же стоматологические услуги стоят в разных клиниках по-разному, и как вообще формируется цена на имплантацию?
    Вы планируете имплантацию зубов. Что нужно знать еще до консультации имплантолога?
    Что нужно знать о протезировании зубов еще до консультации стоматолога?
    Консультация имплантолога
    Имплантаты и биоматериалы, с которыми мы работаем
    Методы и технологии современного имплантологического лечения
    Процесс лечения. Как проходит операция имплантации?
    В имплантации всё имеет значение. Мелочей нет.
    XiveBox: ответы на ваши вопросы — статья для докторов по следам XiveDAY
    Рекомендации по установке имплантатов. Для всех:
    Часть I — о том, от чего зависит качество имплантологического лечения. Особенно рекомендована пациентам. И тем, кто думает, что немецкие имплантаты лучше корейских. И наоборот.
    Часть II — критерии выбора имплантационной системы для хирургической практики. Что на самом деле важно, если речь идёт о покупке имплантационной системы? И на что можно забить?
    Часть III — микро- и макродизайн имплантационной системы. Вообще, чем имплантаты разных марок отличаются между собой?
    Часть IV — хирургический протокол — формальность или правило? Нужно ли его соблюдать? И что будет, если не соблюдать?
    Часть V — самая важная. Ибо про позиционирование имплантатов. Напомню, что наибольшее количество косяков и ошибок имплантации — это ошибки подбора и позиционирования имплантата.
    Часть VI. Установка имплантата Astra Tech. С учётом предыдущих, это довольно примитивная статья, посвященная мануалу установки имплантата системы Astra Tech Osseospeed TX. Полезная штука для тех, кто считает, что круче Astra Tech  ничего нет, ибо прекрасно разочаровывает.
    Часть VII. Установка имплантата Xive. Не подробно и понятно, а очень подробно и понятно.
    И еще много чего по хэштегу «имплантология» на сайте 2026.implant-in.com

     

  • 26 января, 19-00, CLINIC IN. «Протезирование на имплантатах — следующий ход» — семинар Кирилла Киселёва-Тростянского

    26 января, 19-00, CLINIC IN. «Протезирование на имплантатах — следующий ход» — семинар Кирилла Киселёва-Тростянского

    Привет! Меня зовут Кирилл Киселёв-Тростянский, я врач-стоматолог, специалист по протезированию зубов стоматологического центра CLINIC IN.

    Сфера моих профессиональных интересов очень широка, охватывает как тотальную эстетическую реставрацию зубов, так и съёмное протезирование, в том числе, с опорой на имплантаты.

    О имплантах я хотел бы поговорить отдельно.

    Интернет, сайты различных клиник и социальные сети полны информации об имплантатах, имплантации и имплантационных системах. Я уверен, что не только у меня создаётся впечатление, что все имплантологи — бездельники, поэтому много времени проводят в фейсбуках и вконтактах, что имплантация — штука хоть и сложная, но самодостаточная,  и что с установкой имплантата лечение, по крайней мере, самая тяжёлая его часть, заканчивается.

    Это не так.

    Странно, но информации о том, что делать с уже установленными имплантатами, крайне мало. Статьи, посвящённые протезированию на имплантатах, как правило, носят исключительно рекламный характер и продвигают какой-то один вид протетической конструкции, наиболее выгодный для рекламируемой клиники. Я не нашёл ни вменяемого обзора ортопедических платформ и компонентов для протезирования, ни достаточной информации по выбору протетической конструкции при полной потере зубов, ни много чего еще, что, на мой взгляд, является важным при планировании имплантации и протезирования на имплантатах.

    Я решил исправить ситуацию.

    Уважаемые друзья, позвольте вас пригласить на мой семинар

    «Протезирование на имплантатах — следующий ход»

    который состоится

    26 января (воскресенье) в 19-00

    в нашем уютном стоматологическом центре CLINIC IN.

    В комфортной и дружеской атмосфере, за чашкой кофе, чая или чего покрепче, я расскажу и покажу, что можно сделать с имплантатом после того, как он интегрировался:

    Вместе мы подробно разберём следующие темы:

    — как планируется имплантация, с точки зрения ортопеда? Как выбираются имплантаты и схема их расположения, в зависимости от планируемой протетической конструкции?

    — что такое «ортопедическая платформа имплантата»? И как её выбор влияет на результаты протезирования?

    — абатменты, замки, цементная и винтовая фиксация — выбор, показания и противопоказания.

    — «немедленная нагрузка» и временное протезирование — когда и почему это нужно?

    — этапность изготовления коронки на имплантат — от слепка до фиксации

    — «всё-на-четырёх», «всё-на-шести» и условно-съемные протезы на имплантатах — как мы выбираем схему протезирования?

    — профилактические осмотры и уход за протезами на имплантатах.

    А еще я пригласил наших друзей из зуботехнических лабораторий — как раз тех специалистов, кто, в прямом смысле слова, делает ваши зубы. Уверен, у них есть для вас масса интересной информации.

    Приходите. Будет интересно.

    Как поучаствовать?

    Напомню, что участие во всех семинарах и мероприятиях CLINIC IN — бесплатное. Для этого вовсе не обязательно быть нашим пациентом. Достаточно быть заинтересованным.

    Однако, в третьем холле нашей клиники всего двадцать посадочных мест, поэтому необходима предварительная запись.

    Забронировать столик можно по телефону +7 495 222 24 20, электронной почте info@clinicin.ru, через наши страницы в социальных сетях, мессенджеры или прямо в комментариях под этой записью.

    Акцентирую ваше внимание на том, что этот семинар, адресован обычным людям, не связанным со стоматологией. Для врачей есть xiveday — специализированный (и тоже бесплатный) семинар об имплантации и протезировании на имплантах.

    С удовольствием отвечу на все ваши вопросы.

    До встречи!

    С уважением, Кирилл Киселёв-Тростянский, стоматолог CLINIC IN.

    Что еще почитать о протезировании на имплантатах?
    Вы планируете лечение в CLINIC IN. Что нужно знать об этом еще до консультации стоматолога?
    Вы планируете имплантацию зубов. Что нужно знать об этом еще до консультации имплантолога?
    Консультация имплантолога
    Стоимость имплантации зубов в CLINIC IN
    Вы планируете протезирование зубов. Что нужно знать об этом еще до встречи с доктором?
    Стоимость протезирования в CLINIC IN

     

  • Хорошие новости ЯНВАРЯ

    Хорошие новости ЯНВАРЯ

    Так, ни на одном из сайтов стоматологических клиник вы никогда не узнаете, что именно сегодня Земля проходит перигелий, т. е. именно сегодня Солнце находится максимально близко к нам, всего в 147 098 291 километрах. Если прямо сейчас отправиться к Солнцу с постоянной скоростью в 110 км/ч (максимальной, разрешенной на дорогах Российской Федерации), то на путешествие до ближайшей звезды нам потребуется всего… 153 года.

    А вот вам еще немного цифр.

    Именно третьего января, но в 1431 году, бургундский герцог продал за 10 000 франков Жанну Д`Арк англичанам, которые позже сожгли её на костре. Один франк тех времён содержал 3.89 г золота, и эта информация даёт возможность рассчитать, сколько бы стоила Дева Орлеанская сегодня. Итак, 10 000 франков — это 38.9 кг золота или 1251 тройская унция, которая сейчас стоит 1 527 долларов США (94 521 рубль). Получается, что собственная Жанна Д`Арк обошлась бы вам сегодня в почти в 1,9 млн долларов США или в 118,2 млн рублей. Для сравнения, террорист Усама Бен Ладен, замоченный в сортире американским спецназом в 2011 году, обошёлся в 25 млн долларов (чуть больше, чем полтора миллиарда рублей). Вот живите теперь с этим.

    И пока ваш мозг избавляется от этой интересной, но совершенно бесполезной информации, мы расскажем вам о том, что случится с нашей клиникой в январе.

    График работы.

    Начиная с 5 января, мы работаем в штатном режиме — с 9-00 до 21-00 без перерывов и выходных.

    С 14 по 22 января в отпуск отправляется Кирилл Киселёв-Тростянский. Он даже выбрал подходящее транспортное средство:

    и мы очень надеемся, что далеко он на нём не уедет.

    Остальные сотрудники более благоразумны, поэтому работают, согласно установленному графику и никуда не собираются.

    Прейскурант.

    31 декабря, включив, как обычно, телевизор в 23-55, мы снова увидели знакомое лицо. И услышали знакомые слова.

    Это значит, со страной всё хорошо. У нас нет поводов волноваться. И, следовательно, нам не нужно что-то делать с нашим прейскурантом.

    Он остаётся прежним. Для всех. Для каждого. Ура! С Новым Годом!

    Мероприятия и семинары.

    В январе всех нас ждёт очень крутой, интересный и полезный семинар от Кирилла Киселёва-Тростянского:

    и действительно, мы много-много раз говорили об имплантатах и имплантации, интернет и социальные сети забиты статьями на тему «Что такое имплант?». При этом, крайне мало информации о протезировании с опорой на имплантаты, а ведь это очень интересный и сложный процесс. В конце концов, вы же хотите знать, почему коронка на свой зуб стоит 30 тыс рублей, а на имплантат — почти в два раза дороже? И чем винтовая фиксация коронки отличается от цементной? И что такое «всё-на-четырёх» или «всё-на-шести», которыми пестрит реклама каждой второй клиники?

    26 января, в 19-00 мы приглашаем всех интересующихся протезированием на имплантатах в наш уютный стоматологический центр CLINIC IN. Анонс мероприятия и статья, посвящённая протезированию имплантатов, появятся на нашем сайте в течение недели — есть повод подписаться на новости, если вы еще этого не сделали.

    Участие в наших семинарах бесплатное, но необходима предварительная запись — по телефону, электронной почте, через мессенджер или нашу страницу в социальных сетях. Приходите, будет очень интересно.

    Турнир по минигольфу

    В декабре победителем нашего турнира стал Авагян А:

    С чем мы его и поздравляем. Стоит отметить, что Авагян А. обошёл многих очень крутых гольфистов, которые пытались, но так и не смогли закатить в лунку больше 11 мячей подряд.

    А для всех наших друзей напоминаем, что каждый месяц мы дарим по 10 000 рублей за лучшую серию из паттов. Приходите, тренируйтесь и выигрывайте!

    Вакансии

    Клиника ИН растёт и развивается, постепенно отвоёвывая у Остоженки новые территории. Поэтому мы вновь открываем медицинские вакансии:

    — Ассистент стоматолога

    — Стоматолог-терапевт

    — Хирург-имплантолог

    Подробнее о вакансиях, о том, как правильно написать резюме и попасть на собеседование — смотрите в нашем Штабе.

    Спроси доктора!

    Завершает хорошие новости января наша традиционная рубрика «Спроси доктора!». Прямо на нашем сайте, в комментариях под этой статьёй, вы можете задать любой вопрос любому из наших сотрудников и получить компетентный и развёрнутый ответ. Так, недавно мы получили вопрос от Юлии из Москвы:

    — Уважаемый доктор, мне предстоит исправление прикуса. В одной клинике мне предлагают брекеты, в другой считают, что всё можно исправить с помощью капп Инвизилайн. Подскажите, что мне выбрать?

    Мы попросили ответить на этот вопрос нашего ортодонта, Анну Сотникову:

     — Уважаемая Юлия, спасибо Вам за вопрос. 

    Чаще всего такая рекомендация зависит от того, какую аппаратуру (каппы или брекеты) предпочитает сам доктор и с чем ему комфортнее работать. Существуют даже целые клиники, которые работают исключительно на каппах, и, соответственно, там вообще не будут предлагать лечение на брекетах. 

    Механика перемещения зубов брекетами и каппами существенно различается. В следствие этого, исправление прикуса с помощью брекетов всегда будет более быстрым и предсказуемым. А если клинический случай очень сложный и вам предстоит сильно перемещать зубы — выбирать каппы не стоит. Скорее всего, они не помогут.

    Но это не значит, что каппы плохи и ни на что не годятся. У них есть свои преимущества:

     — эстетика

     — простота гигиенического ухода

     — упрощение процедуры фиксации и коррекции для пациента.

    При этом, каппы требуют жёсткой дисциплины, их нужно носить 22 часа в сутки и своевременно менять. Если просто носить каппу в кармане и забывать надевать — лечение может затянуться на очень долгое-долгое-долгое время.

    Я рекомендую вам почитать эту статью, она поможет вам разобраться в особенностях различных ортодонтических аппаратов и принципах их работы. Уверена, она вам понравится.

    Ну и, самое главное  — выбирайте доктора, доверяйте ему и выполняйте его рекомендации!

    С уважением, Анна Сотникова.

    А о чём вы хотели бы спросить наших докторов?

    Подписывайтесь на наш сайт и страницы в социальных сетях — январь, как и весь 2020 год, обещает быть очень интересным.

    С Новым Годом, друзья!

    С уважением, CLINIC IN.

  • Не дай натянуть себя на конус!

    Не дай натянуть себя на конус!

    Уважаемые друзья, сегодняшняя публикация — не про имплантаты и даже не про платформы имплантатов. Я хочу поговорить с вами о правде. О достоверной и не очень достоверной информации.

    И действительно, все мы, доктора и пациенты, нередко определяем качество получаемой информации лишь по статусу источника. Крупная компания, известный бренд или какой-то авторитетный человек со всеми необходимыми свистелками-перделками с 50-летним опытом и наградой «лучший стоматолог 1918 года» в нашем понимании не может ошибаться, его слова нельзя подвергать сомнению, ибо каждое его слово отливается в граните (с).

    Ну а, если это слово еще сопровождается малопонятными графиками, статистическими диаграммами, кучей ссылок и т. д., — то любой сомневающийся или предлагающий иную точку зрения, автоматически становится мракобесом и еретиком, которого нужно, как минимум, публично выпороть и, как максимум, также публично сжечь.

    Меня по этому поводу, как минимум, несколько раз сжигали…

    А ведь есть здравый смысл. Нередко он вступает в противоречие с навязываемыми нам общепринятыми догмами, «результатами исследований» и рекламными слоганами, цель которых —  отнюдь не сделать нас умнее и лучше. Наоборот, всё чаще задача всех этих изысканий, красивых презентаций и классных рекламных статей — заставить нас покупать. И побольше, побольше.

    Итак, коллеги, вот к вам в клинику приходит очередной менеджер по продажам с очередной уникальной и не имеющих аналогов имплантационной системой, предлагает её приобрести на суперэксклюзивных толькосегоднядействующих условиях. Что нужно знать об этом суперпродажном менеджере и его эксклюзивном суперпредложении?

    — скорее всего, этот менеджер не имеет даже элементарного медицинского образования. А если имеет — то, сразу после медицинского института (в лучшем случае) или после медицинского колледжа (в обычном) он ушёл в продажи и больше никогда не видел настоящих живых пациентов. Иными словами, как доктор он — ноль.

    — менеджер по продажам разбирается в предлагаемой им имплантационной системе чуть менее, чем никак. Точнее, на уровне каталога, пары-тройки сопроводительных рекомендаций и одного треннинга от старшего менеджера по продажам.

    — задача менеджера по продажам — уломать вас купить имплантационную систему любым законным (и не очень) способом: просьбами, мольбой, шантажом, угрозой изнасилования, угрозой подачи заявления об изнасиловании и т. д. Сделать вашу практику лучше, а вас умнее и круче — отнюдь не входит в спектр его задач. Поэтому вряд ли он предоставить вам объективную и достоверную информацию о том, что вам предлагает.

    — кстати, об информации. Я ни разу не видел, чтобы менеджер по продажам принёс информацию с какими-то откровенно плохими клиническими случаями, проблемами или осложнениями. Никто ни разу не показывал никаких рейтингов, графиков и статистики, где предлагаемая имплантационная система была бы не на первом месте. Он не будет вам рассказывать о проблемах, недочётах и минусах имплантационной системы. Наоборот, словами, картинками, презентацией, буклетами и обещаниями он создаст в вас иллюзию, что в мире нет имплантационной системы лучше, чем эта — и, между прочим, весьма странно, что вы до сих пор про неё не слышали. Очень странно.

    — он будет продавать вам не импланты, а  сопровождающий их статус, принадлежность к определённой «элитной» группе. Этому учат всех продажников. «НАШИ ИМПЛАНТАТЫ ИСПОЛЬЗУЮТ САМЫЕ КРУТЫЕ ДОКТОРА ВО ВСЕЛЕННОЙ!» «ЭТИ ИМПЛАНТАТЫ СТОЯТ У В. В. ПУТИНА ВМЕСТО КЛЫКОВ!» Ну, или проще, типа «Купи наши импланты — и Давидян оставит автограф на твоей жопе, камрады Загребян и Фон Уразбахтенг тут же зафрендят тебя в одноклассниках. Добро пожаловать в семью, брат!» Еще бонусом — «после покупки этой имплантационной системы вам будут давать все тёлки, включая Веронику Холц и Микаэля Шварцхинтерна. А Илья Фридман лично покатает на своём мацацыкле. И, кстати, вот вам подарочная карта Пятёрочки на пять тыщ рублей»

    — суперэксклюзивное толькосегодняшнее предложение, скидка в 99% отнюдь не означает, что дистрибьютор работает в убыток, лишь бы получить вас в покупатели. Скорее всего, та бабуйня, которую вы собираетесь купить, на самом деле стоит не тыщу рублей, а десять.  И в эту стоимость, кстати, входит бонус менеджера, который к вам пришёл. И представительские расходы гендиректора на проституток.

    Собственно, к чему я всё это рассказываю?

    На то есть две причины.

    Уважаемые доктора, менеджер, который к вам пришёл, преследует одну цель — впарить вам имплантационную систему. Иной задачи у него нет. Вчера он продавал тампаксы для собак, сегодня он будет впаривать вам имплантаты, не слишком понимая разницу между этими товарами. Иными словами, 146 менеджеров из 100 не обладают достаточной компетенцией, чтобы ДЕЙСТВИТЕЛЬНО объяснить плюсы и, главное -минусы имплантационной системы, и не научат вас тому, как их обходить.

    А, если вы не имплантолог, то вам следует знать, что зачастую у докторов нет иных источников об используемой имплантационной системе, кроме как бред, принесённый менеджером по продажам. Последний навешал лапши вашему доктору, и доктор, в свою очередь, вешает лапшу вам. Ровно из той же кастрюли, что ему занесли, когда он покупал импланты.

    Не, ну конечно есть еще всякие курсы, семинары и мастер-классы, результаты которых вы можете видеть в туалетах коридорах клиники в виде иконостаса из сертификатов и дипломов. Что это значит и сколько это стоит — мы поговорим в следующий раз.

    Ниже я приведу несколько примеров каноничного наебалова, которые мы, доктора периодически слышим от менеджеров по продажам, видим в рекламе имплантационных систем, сопровождающей литературе или лекциях менторов.

    Поэтому, уважаемые пациенты, если вы встречаете что-то подобное на консультации по имплантации, и ваш доктор свято в это верит — бегите от него, как можно дальше. Это неправильный доктор.

    Важный дисклеймер! Для написания этой статьи, я использовал только информацию, находящуюся в публичном доступе. В случае, если информации не хватало, я писал письма в компании с просьбой ответить на ряд уточняющих вопросов. В публикации приведены исключительно факты, которые вы, при желании, можете проверить. От себя я добавил лишь немного матерщины, потому как без мата это ни писать, ни читать невозможно.

    Если приведённую ниже информацию вы посчитали недостоверной, при её опровержении я также прошу вас оперировать исключительно фактами.

    Корейско-израильско-немецкие имплантаты.

    Вас сложно убедить в том, что бразильские, пакистанские, китайские или австралийские имплантаты, на самом деле, вполне себе нормальные и пригодные для работы, поэтому их обзывают «немецкими» или «швейцарскими», чтобы сыграть на ваших стереотипах и заставить их купить.

    Классика жанра — имплантационная система IMPRO. «Сделано в Германии», ёпта.

    Что ж, давайте поищем в интернете информацию о производителе. Обычно при запросе продукции, в первых рядах поисковой выдачи вылазит нужный нам сайт.

    Вот, например, Nobel Biocare:

    Вот Straumann:

    Вот Thommen:

    Это легко объяснить — больше всего релевантного контента должно быть на сайте производящей компании.

    С IMPRO ситуация иная. Сайт производителя не так уж просто найти.

    Обратите внимание, что в качестве производителя кое-где упоминается «известная компания» Helmut Knigel:

    и, в принципе, вы можете заценить их Facebook-страничку.  Правда, Гельмут Книгель становится Клингелем и выпускает почему-то одежду.

    Ой, у там же на аватарке написано «medical metal»? И название такое, совсем немецкое. Ищем дальше?

    В поисковике Yahoo мы находим компанию Klingel GmbH, с сайтом www.klingel-med.de, которая, вроде как, имеет отношение к медицине и имплантатам.

    И действительно, Клингель ГмбХ производит дентальные имплантаты, медицинский инструмент и прочие штуки-дрюки для здравоохранения. Как написано на сайте, имплантаты они делают уже 30 лет, но на IMPRO они чот ваще никак не похожи.  Что ж, напишем немцам вполне конкретное письмо:

    С момента отправки письма прошло три дня, ответа до сих пор нет.

    Хорошо, что есть поисковик Yahoo, где я нашёл, наконец, сайт производителя имплантационной системы IMPRO. Даже два сайта:

    И, что особенно интересно, с двумя разными имплантационными системами.

    Первая, разумеется, «German Quality», подозрительно похожа на известные израильские имплантаты. Типоразмеры, платформа и т.д., всё сходится.

    Что ж, посмотрим контакты.

    Информации о месте производства нет. Есть контактное лицо (какой-то доктор с явно не немецкой фамилией) и два телефона, один из которых израильский:

    Давайте попробуем позвонить или написать доктору Бадарне и попросить ответить на пару вопросов:

    В общем, получил я вот такой ответ:

    ==== Стас, мы очень клиентоориентированная компания, поэтому иди нахуй.====

    Шучу. Прошла неделя с моего запроса. Ответа до сих пор нет.

    Кстати, обратите внимание, как сайт свёрстан. Прям чувствуется рука высокооплачиваемого немецкого веб-дизайнера.  И я вообще не удивлён, что у НЕМЕЦКОГО ПРОИЗВОДИТЕЛЯ ИМПЛАНТАТОВ нет сайта на немецком языке, поскольку моя удивлялка к тому времени совсем сломалась….

    Хорошо, внимательно изучим другую имплантационную систему IMPRO. Сайт у неё посимпатичнее и посовременнее, там даже есть раздел на немецком языке:

    на котором, правда, нет ни слова на немецком. Странно, правда?

    Посмотрим на whois (информацию по домену) этого самого сайта. Для этого воспользуемся соответствующим сервисом, например от REG.RU:

    Ну, в общем, Вы понимаете, откуда ноги растут? И как IMPRO стали «немецкими» имплантатами? Очевидно, что без вмешательства татарских русских хакеров здесь не обошлось…

    На сайте www.improimplant.com вы найдёте массу полезной информации: новости за 2015 год, «клинические случаи» (2 шт) за 2016 год и много-много-много Under Constraction.

    Но, нам не привыкать — все же немцы так делают! К счастью, тут есть адрес

    и это позволяет нам посмотреть, так сказать, с высоты птичьего полёта, где мануфактурят эти имплантаты:

    Должно быть, это очень крутая и богатая контора, раз может устроить производство в центре Штутгарта, да еще в здании торгового центра…

    Собственно, хрен с ним. Нам же не шашечки, нам ехать нужно… давайте посмотрим на сами имплантаты:

    Похожи, правда? До такой степени, что их можно перепутать без вреда для здоровья.

    Для интереса, напишем в компанию точно такое же письмо. Хотя нет, не напишем. Ведь электронной почты на сайте нет. Формы для обратной связи нет. Наверное, мне проще позвонить владельцу домена на Покровку?

    Должен вам сказать честно — я ничего не имею против имплантационной системы IMPRO. Это хорошие имплантаты и хорошая имплантационная система. Но что мешает им оставаться неплохими корейскими или израильскими имплантатами? Зачем нужно врать, придумывать всякие «Сделано в Германии», подрывая доверие к производителю? Фиг знает.

    К слову сказать, вот это тоже было сделано в Германии:

    и некоторые по этому фильму историю нашей страны изучают…

    Пользуясь случаем, я поздравляю всех адептов и фанатов «немецкой» имплантационной системы IMPRO с тем, что они, только что поучаствовали в съёмках чего-то очень извращенского. С немецким качеством и по разумной цене.

    Такие разные биоматериалы…

    Каждый год на российский стоматологический рынок приходит несколько компаний со своими «инновационными» графтами, мембранами и т. д. Почти каждая компания-производитель имплантационных систем считает важным выпускать линейку биоматериалов под собственным брендом. И действительно, если у тебя есть раскрученная торговая марка — гораздо проще и эффективнее использовать для продвижения её, а не придумывать новую. Я подчеркну — это нормально.

    Часто компания-производитель имплантационных систем, не имеет ни необходимой базы, ни необходимых специалистов, чтобы производить биоматериалы самостоятельно. Поэтому,  они поручают это тому, кто в них разбирается. В итоге, один и тот же биоматериал может продаваться под разными брендами и даже по разной цене.

    Если мы изучим парадигму «производство-дистрибуция», то обнаружим два варианта её устройства.

    Вариант 1. Один на всех.

    Крупный производитель биоматериалов, например Collagen Matrix Inc (Окленд, США) фигачит продукцию для Dentsply Sirona, 3i Biomet, Zimmer, Biohorizons и для стоматологических подразделений корпорации Danaher (Nobel Biocare/Alpha Bio), правда, в последнем случае — исключительно для американского рынка. В таком случае мы имеем совершенно одинаковые материалы под разными брендами.

    Вариант 2. Все на одного.

    Биоматериалы заказываются у местного производителя, который в каждом регионе свой. Так, как я уже отметил выше, барьерные мембраны для азиатского рынка компании Straumann и Botiss производятся корейскими MegaGen и Nibec, в то время как для американцев и европейцев их делает Collagen Matrix и Mebios (Германия). Причём вменяемой информации по последней конторе мне найти не удалось — я предполагаю, что её кто-то поглотил.

    Все эти схемы называются глобальным разделением и специализацией труда и, на мой взгляд, играют исключительно позитивную роль.

    Судите сами — зачем что-то делать самому, если есть эксперт, который специализируется на этом и, стопудово, сделает это лучше, чем ты?

    Другое дело, что теперь вы будете по-другому смотреть как на стоимость, так и на сравнительные характеристики биоматериалов, выпускаемых под разными брендами. И не позволите себя обмануть.

    Мукоинтеграция — один шаг до настоящих киборгов.

    В общепринятом понимании термин «мукоинтеграция» подразумевает «встраивание какого-то биоматериала (имплантата, графта и т. д.) в слизистую оболочку в такой степени, что их невозможно разделить.» Простая аналогия с остеоинтеграцией, врастанием имплантата в костную ткань, ну, или наоборот, костной ткани в имплантат.

    На сегодняшний день, мукоинтеграция — одна из основных медицинских проблем, решение которой качественно изменит наш подход к хирургии, кибермедицине, биологии и т. д. Неудивительно, что над ней работает множество учёных-исследователей, а тому, кто создаст первый мукоинтегрируемый материал, сразу вручат Нобелевскую Премию.

    Судите сами — мы сможем создавать и встраивать в мягкие ткани датчики, сенсоры и прочие полезные приборы для управления искусственными конечностями, нам не нужно будет носить шапочки для считывания энцефалограмм, чтобы управлять компьютером силой мысли, мы забудем, что такое замена батареек в кардиостимуляторах и т. д. Короче, мукоинтеграция сулит нам кучу ништяков и поэтому остаётся Священным Граалем современной медицинской науки.

    Но, с другой стороны, нахуя париться?

    Запатентуйте слово «Священный Грааль» Мукоинтеграция — и отныне вы и только вы можете назвать «мукоинтеграцией» всё, что пожелаете, а остальные пусть сосут и завидуют. Более того, теперь вы и только вы определяете, что является мукоинтеграцией, а что не является. А если какой-нибудь сумрачный гений в секретной лаборатории ФСБ когда-нибудь изобретет Новичок мукоинтегрируемую поверхность, то вы смело можете требовать отката бабла за использование запатентованного термина. Отличное решение, правда?

    Недавно так поступила одна малоизвестная компания, один из лидеров мирового имплантологического рынка. Никому не скажу, но это Nobel Biocare. Детали регистрации торговой марки MUCOINTEGRATION можно посмотреть здесь>>

    На самом деле то, что они называют «мукоинтеграцией», в лучшем случае, является «мукоадгезией», т. е. прилипанием слизистой оболочки к поверхности имплантата. Без взаимного двойного структурного проникновения. В принципе, в исследованиях на эту тему как раз об этом и говорится:

    Но, блин, «мукоадгезия» звучит не круто. А «мукоинтеграция» — круто. И вы ведётесь на слово «мукоинтеграция».

     

    Как аналогию разницы, можно привести отличия между сваркой и склейкой металлических деталей:

    В одном случае, материалы проникают друг в друга, во втором — нет.

    Nobel Biocare — один из главных новаторов современной имплантологии. Она выпускает отличные имплантаты, является пионером во многих областях (All-On-4, кстати, их детище), но, блять, очень похоже, что их маркетологи слегка заигрались и решили, не побоюсь этого слова, блестяще наебать весь мир.

    И мы бы это удалось, если бы не один очень дотошный доктор, который читает не только социальные сети и рекламные проспекты. Никому не скажу, но это я. Запатентую-ка я словам «телепортация» и «бессмертие», так, на всякий случай.

    Cуперкрутая поверхность SLA и прочие нанотехнологии.

    Если вы вдруг окажетесь у доктора, работающего с имплантатами Straumann, проведите эксперимент. В тот момент, когда он будет рассказывать вам про суперкрутую наноповерхность SLActive, попросите его расшифровать эту аббревиатуру. Уверен на 146%, он не сможет этого сделать и сошлётся на то, что она не расшифровывается, ибо торговая марка. А еще ржака состоит в том, что нигде, буквально нигде в русской литературе расшифровки не приводится. Даже на сайте Штраумана.

    На самом деле, SLActive = SLA плюс/минус статистическая погрешность. Тому, кто сомневается, я рекомендую покурить вот этот бамбук, но предупреждаю — это кошерный диссер на английском с кучей матана (очевидно, поэтому штраумянам он недоступен, бгг). Хотя, на сайте Штраумана различия приводятся:

    27 и 28 — это номера ссылок на научные работы:

     — 27 Kopf BS, Ruch S, Berner S, Spencer ND, Maniura-Weber K. 2015. The role of nanostructures and hydrophilicity in osseointegration: In-vitro protein-adsorption and blood-interaction studies. J Biomed Mater Res Part A2015:103A:2661–2672.

     — 28 Wennerberg A, Jimbo R, Stübinger S, Obrecht M, Dard M, Berner S. Nanostructures and hydrophilicity influence osseointegration – A biomechanical study in the rabbit tibia. Clin. Oral Impl. Res. 25, 2014, 1041–1050doi: 10.1111/clr.12213

    Мягко говоря, мы наблюдаем притянутые за уши результаты откровенно ангажированных и слабых работ. Проверить или повторить эти исследования невозможно.

    И вот я не пойму — с каких это пор поверхность SLA стала гидрофобной? Во всех, абсолютно во всех статьях, посвящённых сравнению штрауманновских SLA и SLActive первая почему-то вдруг считается гидрофобной, а последняя — гидрофильной?

    Ну и, расшифровывается SLA как Sandblasted Large grit Аcid-etched. В переводе с языка Дарвина и Шекспира, это означает отпескоструенную поверхность с крупной зернистостью, дополнительно протравленную кислотой. В переводе с научно-русского на язык среднестатистического фаната Штраумана это звучит как: «Пиздишь у таджиков пескоструй, хуячишь им по поверхности, пока на ней не будет крупной зернистости. Затем призываешь Чужого, он хуячит кислотой. И норм — SLA-поверхность готова!»

    Так, между прочим, можно сделать не только имплантаты с SLA-поверхностью, которых, кстати, чуть более, чем дофига.

    Можно сделать автомобиль с SLA-кузовом (будет быстрее интегрироваться в столбы и деревья), SLA-ложки и SLA-вилки (еда становится полезнее и лучше усваивается), SLA-ножи и SLA-топоры (могут разрубить и разрезать всё, что угодно, даже другой SLA-нож или SLA-топор). Каноничный пример — SLA-велосипед:

    который, как утверждает наука, на 98,7% лучше интегрируется в дерево, чем другие велосипеды.

    И вот здесь начинается самое интересное.

    Вы ведь ничего не понимаете в остеоинтеграции и не разбираетесь её биологических и физиологических принципах. Вам некогда это изучить, вам нужно «крутить импланты». Тем самым, вы позволяете компании Straumann безбожно пиздеть относительно «волшебных свойств» из имплантатов с поверхностью SLActive.

    Их сайт, та информация, которую они выдают — это нихуёвое такое наебалово отличный тест на IQ — если вы им верите, то срочно выкиньте свой диплом и пиздуйте в медицинский университет доучивать патфиз, гисту и патан. Ну и, философию с научной методологией тоже не помешает повторить.

    И вот, почему.

    Первая же ссылка на исследование:

    Lang NP, Salvi GE, Huynh-Ba G, Ivanovski S, Donos N, Bosshardt DD. Early osseointegration to hydrophilic and hydrophobic implant surfaces in humans. Clin Oral Implants Res. 2011 Apr;22(4):349-56. doi: 10.1111/j.1600-0501.2011.02172

    разоблачает всё это штраумановское SLAктивное наебалово:

    В переводе с языка Хемингуэя и Дональда нашего Трампа, выводы (CONCLUSION) звучат так: «Хотя заживление показало сходные характеристики с резорбтивными и аппозиционными событиями в костях для поверхностей SLActive и SLA между 7 и 42 днями, степень остеоинтеграции через 2 и 4 недели была выше для SLActive по сравнению с поверхностью SLA.» То есть, речь идёт не об «ускорении остеоинтеграции», а о её степени, которую авторы оценивают косвенно, через площадь контакта имплантата с новообразованной костью.

    Сейчас вы наблюдали классический пример превращения зелёного в тёплое, т. е. о подмене категорий, часто используемых в маркетинге. Если продолжить детальный разбор всех публикаций по SLActive, мы увидим схожую картину. Но то займёт много текста и много времени, поэтому предлагаю вам провести этот анализ самостоятельно.

    Во-первых, мы с вами знаем, что SLActive — это то же самое, что и SLA, просто запатентованное название (как «Мукоинтеграция»). Это поверхности со схожими свойствами. То есть, если они и отличаются в плане скорости остеоинтеграции, либо чего-то там еще — то только в пределах статистической погрешности, но никак не в два раза.

    Во-вторых, остеоинтеграция — это частный случай регенерации как физиологического процесса. Её скорость и эффективность (дебильный термин, но не суть) зависят исключительно от свойств костной ткани, и ни от чего больше.

    В-третьих, мы с вами знаем… нет, мы надеемся, что все имплантаты биоинертны. То есть, никак не влияют на организм и его физиологические процессы. Потому как, если влияют — то биоинертностью назвать это уже нельзя. И вот, теперь представьте, что появляется какой-то персонаж, который утверждает, что поверхность его имплантатов УСКОРЯЕТ остеоинтеграцию. Воу-воу, полегче! Получается, что твои имплантаты НЕбионертны? И ты, персонаж, совершенно не ссышь использовать их на живых людях?

    Ну, да ладно. Хрен с ней, с SLA-поверхностью. Чо там еще на сайте пишут?

    Да, периимплантиты — это, канешн, очень серьёзно. Говорят, что у Штраумана очень маленький член очень маленькое число случаев периимплантита, согласно одному (!) исследованию. Но в поиске мгновенно находится статья, где Астра Тек поимел Штрауманн в плане потери маргинальной кости (MBL):

    Один-один, чё))).

    Ну и ваще, периимплантиты со Штрауманами — никак не редкость:

     

     

     

    Ну и вообще, пока вы будете думать, что возникновение и развитие периимплантита зависят от марки имплантационной системы — у вас будут бесконечные периимплантиты и отторжения. Мы обязательно обсудим это в будущих статьях. А пока посмотрим, что еще интересного есть на сайте Straumann.

    О! Выживаемость имплантатов в 5- и 10-летнем периоде — от 95.1 до 98.8%. Крутяк!

    Ога, крутяк, если не знать, что пишут другие производители имплантационных систем.

    Вот Нобель:

    Вот Xive:

    То есть, ничего прям такого удивительного и крутого. Обычная тема.

    Однако, я еще раз повторюсь — до тех пор, пока вы будете думать, что выживаемость имплантатов зависит от марки имплантационной системы — они будут у вас отторгаться. Поэтому, справедливости ради, нужно отметить, что обманывают все.

    В общем, как ни крути, с какой стороны не подойди — нас с вами бесконечно пытаются наебать. На сайте любой компании, производящей имплантаты, вы всегда найдёте кучу сомнительной и откровенно лживой информации. И Штрауманн, в этом плане, даже не входит в первую десятку победителей.

    Так, в нашем конкурсе мракобесия изо всех сил пытается победить одна российская компания, резидент Сколково (уже маячок), предлагающая инновационное углеродное нанопокрытие (второй маячок) для дентальных имплантатов. Называются эти имплантаты, кстати, NCT, сама контора находится в Челябинске (третий маячок).

    Признаться, друзья, я мечтаю, когда смогу полноценно работать российскими инструментами, российскими стоматологическими материалами и с российскими имплантатами. Любой, кто со мной знаком, подтвердит, что из двух равнозначных вещей я выберу ту, которая произведена в нашей стране. Информации про имплантаты NCT крайне мало, но то, что мы знаем — вызывает больше неприятия, чем желания работать с этим производителем. А жаль, ведь мы вполне могли бы стать «базовой клиникой»

    Итак, что нам известно про уникальные, не имеющие аналогов инновационные имплантаты NCT с композитным нанопокрытием?

    сайт с кучей орфографических, пунктуационных и стилистических ошибок.

    — в 2011 году — испытание на животных, в 2013 году — испытание на людях, в 2015 году получен патент, в 2019 году — регистрационное удостоверение Минздрава, подтверждающее «безопасность» изделия. Долгосрочные клинические исследования и отдалённые результаты? Это для лохов, у нас в Челябинске никто так не делает!

    обладают остеокондуктивными, остеоиндуктивными (ой, блять!) свойствами, ускоряют остеоинтеграцию (блять-блять), не вызывают резорбцию.

    судя по совместимой ортопедии и бесконечным отсылкам к кореянцам, производятся они не в России.

    Хотя, в частной переписке пиздят утверждают, что их делают в Санкт-Петербурге:

    Ну, Ортос — это не так далеко. Это ж Питер. Можно позвонить, написать или просто заслать туда нужных людей. Как вы думаете, какой ответ получил я от Ортоса?)))

    — в клиническом случае доктора Кипарисова, на самом деле используется корейский имплантат IMPRO (блять, откуда он там?). Правда, я сначала подумал, что это Дентиум. Об этом легко догадаться, сравнив тень кипарисовского имплантата с формой NCT из каталога.

    Йобаный стыд — и это на официальном сайте компании! Еще раз, для невнимательных:

    В принципе, это подтверждается в переписке:

    Блять. Не слишком ли много Хабиева на одну статью?

    в июле 2019 года российский производитель имплантатов ООО «НСТ Технология» в рамках выставки Иннопром-2019 наебала партнёров получила заказы на 5 млн рублей. Я прям хочу посмотреть, кто на это повёлся.

    не знают, что такое конус Морзе, и чем он отличается от других конусов:

    Как видите, я связался с компанией-производителем имплантатов НСТ и попросил ответить на ряд вопросов. Потом, после получения информации от Ортос по поводу места производства, я пытался написать им еще раз. Но уже безответно. Похоже, я у НСТ в чёрном, как их углеродное нанопокрытие, списке.

    Поэтому думаю сходить на курс от доктора Кипарисова, который состоится в технопарке «Сколково» 18 января. Кто со мной?

    Кстати, о конусе Морзе.

    Конус Морзе. И не только Морзе.

    О, это отдельная, очень интересная тема. Каждый, кто устанавливает имплантаты с конической платформой, уверен, что конус в этих имплантатах — не что иное, как «конус Морзе», со всеми вытекающими свойствами. Этот конус везде — от Нобеля до Байкона, от Альфа-Био до Астра-Тек.

    И прежде, чем начинать трындеть мне про то, что «конус лучше шестигранника», обратимся к геометрии и разберёмся в том, что такое конус и каковы его основные характеристики.

    Как подсказывает Кэп Очевидность, конус — это геометрическая фигура вращения. Интересующая нас и наиболее универсальная характеристика конуса — т. н. «конусность«, соотношение высоты и диаметра основания.

    Конус Морзе или разновидность т. н. «инструментального конуса» имеет конусность от 1:19 до 1:20, что соответствует углу конуса от 2 до 3 градусов и уклону не более полутора градусов. Чтобы вам было проще представить — при диаметре конуса в 1 см его высота должна быть 20 см.

    В этом случае конус Морзе в полной мере реализует все свои свойства: заклинивание, типа «холодная сварка», высокая точность центрирования и надежность фиксации.

    А теперь, внимание, назовите мне имплантаты с конической платформой соответствующей конусности (1:19), углом и уклоном. Лично мне на ум приходит только Bicon. Вы наверняка сможете назвать еще пару имплантационных систем.

    Ни ваша любимая Astra Tec, ни Nobel Conical Connection, ни все эти ваши Ankylos, Dentium, INNO и т. д. не соответствуют параметрам конуса Морзе (последние, как известно, имеют угол конуса в 11 градусов).

    Но зато, каждый второй менеджер по продажам имплантатов с конической платформой регулярно втирает доверчивым докторам про чудодейственные свойства конуса Морзе, а они, в свою очередь, вешают своим пациентам лапшу на уши.

    Но теперь вы знаете что вас просто пытались натянуть. И даже не на конус Морзе.

    Справедливости ради нужно отметить, что указанный тип конуса не лишен недостатков, поэтому существует масса типоразмеров инструментальных конусов, широко используемых в технике.

    Мы обязательно поговорим о платформах имплантатов, их плюсах и минусах, если останусь в живых после публикации этой статьи.

     Заключение.

    Это одна из самых сложных и противоречивых статей, из тех, что я когда-либо писал. Намного сложнее, чем статья про пациентов и стоматологов-барыг. И даже про стоматологов-обманщиков рассказать было проще. После этой статьи, возможно, мне и моему сайту придёт кабздец.

    Мне пришлось перекопать довольно большой пласт литературы и перегуглить половину интернета. Я писал письма и звонил производителям, чтобы получить ответы на интересующие меня вопросы. При этом, у меня всё равно остаются сомнения:

     — блять, ну не может же быть всё НАСТОЛЬКО плохо? Неужели вправду, все лгут?

    Еще раз подчеркну, я не имею ничего личного к упоминаемым компаниям и сайтам. И поэтому, если у них будет возможность опровергнуть написанное, предоставив факты, факты и только факты — я с удовольствием напишу опровержение. И расскажу больше о каждом, кто откликнулся.

    Уже пару недель меня не покидает одна мысль.

    Одна из причин появления и широкого распространения всех описанных выше мракобесий — крайне низкий уровень нашего образования и грамотности.

    Мы привыкли верить свистелкам-перделкам, авторитетам и «специалистам» со звучными, желательно итальянскими фамилиями, привыкли верить статистике и исследованиям, если они показывают то, что мы хотим увидеть.

    Мы доверчивы и наивны, поэтому воспринимаем всю информацию с официального сайта как истину в последней инстанции. Мы слышим только то, что хотим слышать, выдаём желаемое за действительное.

    И искренне хотим, чтобы компании-производители, все эти менеджеры по продажам, все эти проплаченные лекторы и рекламные конгрессы (за которые еще надо платить) реально помогали нашей практике, делали нас лучше, а нашу работу эффективнее и безопаснее.

    Вместо изучения книг, чтения периодики, анализа и критической оценки получаемой информации, мы задаём дебильные вопросы в дебильных социальных сетях, просим советы и наивно думаем, что миллионы людей не могут ошибаться.

    Могут. История не раз это показала.

    В общем, не дайте натянуть себя на конус. Будьте умнее.

    Спасибо, что дочитали до конца.

    Теперь мне пиздец.

    С уважением, Станислав Васильев.

  • 14 декабря, 19-00, CLINIC IN: «Об имплантатах и имплантационных системах»

    14 декабря, 19-00, CLINIC IN: «Об имплантатах и имплантационных системах»

    Уже много лет я читаю лекции для докторов и провожу семинары по имплантации и хирургии полости рта. Мы обсуждали много разных тем — от удаления зубов и немедленной имплантации до остеопластических операций и формирования десны,  — в этом плане, у нас всегда есть, что рассказать и что показать.

    И так, давным давно у нас появилась мечта — сделать такой же подробный семинар по имплантации, но для обычных людей. Для тех, кто не имеет никакого отношения к стоматологии и хирургии.

    Ведь существует огромный массив важной информации, который невозможно уложить в рамки обычной консультации имплантолога. Саму же имплантологию, как и хирургию полости рта (вспомните удаление зубов мудрости) окружает густой туман из мифов, легенд, предрассудков и откровенной лжи, через который сложно разглядеть истину. Существует огромное количество имплантационных систем и методов имплантологического лечения, постоянно появляются «новые технологии», из каждого утюга слышна реклама о «двух имплантах по цене трёх, еще и снимок бесплатно».

    С другой стороны, если бы вы знали имплантологию настолько, насколько знаю её я — это сильно бы облегчило вам жизнь, сохранило бы нервы, деньги и здоровье. Не зря уже много лет я веду блог и сайт IMPLANT-IN.COM, предназначенные для всех желающих разобраться в хирургии полости рта и имплантации зубов. И, как вы успели уже заметить, контент сайта нашей клиники кардинально отличается от всего увиденного вами ранее, и всё благодаря нашей вере в то, что знания — это сила.

    Но как сделать так, чтобы после лекции по имплантации, все обычные люди спокойно пережили увиденное, и после них не пришлось бы отмывать третий холл от рвотных масс? Ведь хирургия, в целом, и имплантология, в частности — это то еще «эстетическое» зрелище: кровища, разрезы, швы и кости, торчащие в разные стороны, гнилые зубы и прочая расчленёнка. Если вы не Чикатило и не упоротый вхлам фанат ранних фильмов Тарантино,то такой кровожадный семинар вызовет у вас, как минимум, бессонницу и стойкие нарушения психики.

    В конце концов, мы, доктора, более пяти лет тренируем нервы, спокойствие и выдержку прежде, чем сделать первый в своей жизни разрез по живому человеку.

    Однажды я сел и проанализировал наши разговоры с пациентами на консультациях и с удивлением заметил, что почти 90% вопросов, которые задают — не о боли, не о крови и не о расчленёнке. И даже не о подробностях какой-то хирургической методики — как раз это меньше всего хочется слышать обычному человеку.

    Основная масса вопросов — чисто технические, об имплантах и имплантационных системах. Например:

    — чем «премиальные» имплантаты отличаются от «бюджетных»? Почему вообще имплантаты так отличаются по цене?

    — чем швейцарские импланты отличаются от немецких, а немецкие от израильских?

    — что лучше выбрать — конус или шестигранник?

    — можно ли имплантат подменить, поставить не тот, за который заплатили? И к чему это приведёт?

    — есть ли у импланта ключи и что значит «имплант под ключ»?

    — как вообще клиники выбирают импланты? Почему в CLINIC IN нет бюджетных имплантатов?

    — какие коронки можно поставить на имплант?

    — а какими вообще бывают импланты? Почему их делают из титана, а не из более эстетической керамики или диоксида циркония?

    ну, и так далее.

    И вот, как раз по этой теме мы решили сделать семинар для пациентов.

    Не об имплантации, но об имплантах и имплантационных системах.

    Уважаемые друзья, для меня большая честь пригласить вас

    14 декабря (это в субботу) в 19-00

    в наш уютный стоматологический центр CLINIC IN на мой семинар, посвящённый дизайну, конструктиву и особенностям различных имплантационных систем. Уверен, вам будет интересно, а полученная информация даст вам возможность ориентироваться в разнообразии существующих имплантатов не хуже вашего доктора. По крайней мере, надурить или развести вас после этого будет очень-очень сложно.

    Участие в нашем мероприятии, как обычно, бесплатное.

    Но количество мест ограничено, поэтому необходима предварительная запись.

    Важный комментарий профессора Ferkel Von Pfennig: присоединяюсь к словам шефа, и еще раз подчеркну - это семинар для обычных людей,
     для наших и пока не наших пациентов. Для стоматологов существуют RegenerationDay и XiveDay, тоже бесплатные, но профессиональные мероприятия. 
    14 декабря я буду лично стоять на фейсконтроле и проверять наличие клейма об окончании стоматфакультета на жопе стоматологического образования
     у всех входящих. А после - подкладывать всем пришедшим стоматологам слабительное в чай. Нет, не так. Чай в слабительное.

    Записаться можно любым удобным способом — через нашу страницу в социальных сетях, в любом из мессенджеров, по электронной почте или просто позвонив по телефону +7 495 222 24 20 и назвав пароль — «#какнамвсемповезлочтоестьвы».

    Приходите! Будет очень интересно!

    С уважением, Станислав Васильев, имплантолог.

    Что еще почитать об имплантах и имплантационных системах в CLINIC IN?
    Вы планируете имплантацию зубов. Что нужно знать еще до консультации имплантолога?
    Консультация имплантолога
    Имплантаты и биоматериалы, с которыми мы работаем
    Методы и технологии современного имплантологического лечения
    Процесс лечения. Как проходит операция имплантации?
    В имплантации всё имеет значение. Мелочей нет.
    XiveBox: ответы на ваши вопросы — статья для докторов по следам XiveDAY
    Рекомендации по установке имплантатов. Для всех:
    Часть I — о том, от чего зависит качество имплантологического лечения. Особенно рекомендована пациентам. И тем, кто думает, что немецкие имплантаты лучше корейских. И наоборот.
    Часть II — критерии выбора имплантационной системы для хирургической практики. Что на самом деле важно, если речь идёт о покупке имплантационной системы? И на что можно забить?
    Часть III — микро- и макродизайн имплантационной системы. Вообще, чем имплантаты разных марок отличаются между собой?
    Часть IV — хирургический протокол — формальность или правило? Нужно ли его соблюдать? И что будет, если не соблюдать?
    Часть V — самая важная. Ибо про позиционирование имплантатов. Напомню, что наибольшее количество косяков и ошибок имплантации — это ошибки подбора и позиционирования имплантата.
    Часть VI. Установка имплантата Astra Tech. С учётом предыдущих, это довольно примитивная статья, посвященная мануалу установки имплантата системы Astra Tech Osseospeed TX. Полезная штука для тех, кто считает, что круче Astra Tech  ничего нет, ибо прекрасно разочаровывает.
    Часть VII. Установка имплантата Xive. Не подробно и понятно, а очень подробно и понятно.
    И еще много чего по хэштегу «имплантология» на сайте 2026.implant-in.com
  • Хорошие новости ДЕКАБРЯ

    Хорошие новости ДЕКАБРЯ

    Уважаемые друзья, согласно традиции, начиная рубрику «Хорошие новости…» мы рассказываем вам о наиболее значимых событиях текущего дня. Но так получилось, что сегодня у нас большой праздник — Международный День борьбы за отмену рабства, и по этому поводу мы отпустили всех сотрудников, кто готовил для вас историческую справку. Некоторым даже паспорта вернули. Поэтому не будет вам никаких хроник.

    Зато у нас есть много хороших новостей. И мы спешим ими поделиться.

    График работы

    Несмотря на отмену рабства и крепостного права,  наш стоматологический центр продолжает работать и ждёт вас каждый день, с 9-00 до 21-00, без перерывов и выходных. Правда, кое-кого пришлось выпустить за хорошее поведение — так с 22 декабря условно-досрочно уходят в отпуск Иван Алгазин и Мария Ярадайкина.

    Кроме того, 16 декабря шеф читает лекцию для докторов RegenerationDay, следовательно будет принимать пациентов не будет.

    Другие сотрудники, работают в штатном режиме.

    Однако, стоит напомнить, что в связи с всеобщим желанием «сделать зубы к Новому Году», периодически могут возникать сложности с поиском свободного времени для лечения. Поэтому, уважаемые друзья, у нас есть убедительная просьба:

     — пожалуйста, планируйте приёмы и записывайтесь на лечение заранее!

    и обязательно приходите, постарайтесь не опаздывать. Мы делаем всё возможное, чтобы не нарушать ваш график и ритм жизни, и просим вас оказать некоторое содействие в этом нелёгком деле. Дисциплина — наше всё.

    Наверное, вам интересно узнать, что мы делаем в новогодние праздники? Так вот, уважаемые друзья, в новогодние праздники мы работаем.

    Год мы заканчиваем 30 декабря, а вступаем в новый двадцатый 5 января. Следовательно, в нашей работе будет небольшой перерывчик с 31.12 по 4.01. Но даже в это время в клинике всегда будет находиться дежурный специалист, который поможет вам в решении острых зубных проблем. И он будет трезвым.

    Подарки

    Декабрь — месяц подарков и корпоративов. Мы уже приготовили небольшие подарочки для всех наших друзей, а со дня на день в третьем холле появится настоящая живая и очень красивая ёлка. С игрушками и мандаринами. Хотя, специальные и очень полезные для здоровья зубов мандарины уже появились. Можно пробовать.

    И всё это — еще один повод заглянуть в CLINIC IN на профилактический осмотр. И заодно — на профессиональную гигиену полости рта.

    Мероприятия и семинары

    Помимо подарков и просто хороших новостей, в декабре вас ждёт много полезной информации.

    7 декабря наш шеф, Станислав Васильев, прочитает в С.-Петербурге лекцию по остеопластике (наращиванию костной ткани) в рамках семинара RegenerationDay. Подать заявку на участие можно здесь>>

    Напомним, это бесплатное мероприятие для стоматологов-хирургов и имплантологов, спонсируемое наикрутейшей швейцарской компанией Geistlich Biomaterials. И, кстати, такой же семинар состоится 16 декабря в Москве. Записаться на него можно здесь>>

    А 14 декабря будет еще интереснее. К семи часам вечера мы приглашаем всех интересующихся имплантацией к нам в гости на семинар, посвященный не имплантации, но имплантатам.

    Предметом разговора будет конструктив и дизайн различных имплантационных систем, мы расскажем вам, в чём  разница между имплантатами различных производителей, и почему «премиум-» и «бюджет-импланты» — это всего лишь рекламная бабуйня, не имеющая ничего общего с реальностью. Мероприятие ориентировано, в первую очередь, на обычных людей, участие в нём бесплатное, а спонсора нет. Поэтому рассказ об имплантах будет честным, не предвзятым и объективным. Подробности здесь>>

    Турнир по минигольфу.

    В первый раз за полтора года у нас нет единственного победителя ежемесячного турнира по минигольфу. Точнее, победителя два.

    И, по правилам гольфа, мы назначаем дополнительный раунд. Так сказать, ноябрьский финал Лиги минигольфчемпионов. Мы приглашаем Эльвиру и Демидова к нам в гости в любое время (можно в рамках планового приёма, можно просто приехать внепланово).

    Декабрьский турнир уже стартовал. Приходите, тренируйтесь, играйте и выигрывайте! Желаем всем хорошей игры!

    Вакансии

    Сразу оговоримся — мы никого не уволили. И не планируем увольнять. Более того, мы очень гордимся тем, что стоматологический центр CLINIC IN сохранил весь персонал с момента открытия и, с того момента, только приглашает докторов. Это значит, что мы растём, развиваемся и вообще — двигаемся в нужном направлении.

    Работать у нас сложно, но очень интересно и полезно. Поэтому мы рекомендуем периодически заглядывать в раздел «Вакансии» нашего сайта и, если вы считаете, что справитесь — срочно присылайте нам своё резюме. Можно с интимными фотографиями картинками.

    Спроси доктора!

    Заканчиваются Хорошие Новости традиционным разделом «Спроси доктора!» Напомним, что в комментариях к этой записи можно задавать любые вопросы любому из наших докторов — и рассчитывать на развёрнутый и компетентный ответ.

    Например, недавно мы получили вопрос от Максима из Воронежа, который спрашивает:

    «Уважаемый CLINIC IN, почему у вас не было чёрной пятницы?»

    Очень хороший вопрос. На самом деле, мы против расизма и за толерантность в разумных пределах. Поэтому доверили ответить на этот вопрос потомку немецких рабовладельцев из Того, известному борцу против апартеида и расовой сегрегации, другу Мартина Лютера Кинга и крёстному отцу Нельсона Манделы профессору Ferkel Von Pfennig:

    «Как это не было?! Всю клинику в чёрную пятницу заполонили студенты Университета дружбы народов им. Патриса Лумумбы. Всех напоили чёрным кофе и накормили тёмным шоколадом. Вот моё селфи с камеры видеонаблюдения, расположенной в третьем холле:

    Так что с чёрной пятницей у нас всё норм.»

    А о чём вы хотели бы спросить профессора?

    Спасибо, что вы с нами!!!

    С уважением, CLINIC IN.

  • Наращивание костной ткани перед имплантацией — что нужно знать об этом пациентам? Часть IV.

    Наращивание костной ткани перед имплантацией — что нужно знать об этом пациентам? Часть IV.

    Уважаемые друзья, я предлагаю вам продолжить обсуждение интересной и очень важной темы и поговорить о наращивании костной ткани перед операцией имплантации. Напомню, что в прошлый раз я уже писал о:

    — почему вообще необходимо наращивать костную ткань перед имплантацией? И что для этого нужно?

    — какие методы наращивания костной ткани существуют? И в чём между ними разница?

    — почему мы иногда используем биоматериалы (искусственную кость и мембраны) для наращивания костной ткани? Какими они бывают и можно ли без них обойтись?

    А сегодня мы подробно, шаг за шагом, рассмотрим совершенно ординарную операцию наращивания костной ткани, и я расскажу вам, когда мы можем сочетать её с установкой имплантата, а когда — нет.

    Ахтунг! Важный дисклеймер. Задача данной статьи — не выпендриться перед вами, мол «смотрите все, как мы умеем!». Её цель прямо противоположная — максимально просто, без кровищи и прочей расчленёнки, показать наиболее важные моменты и акцентировать внимание на нюансах операции остеопластики как метода на хирургическом этапе стоматологической реабилитации. Разумеется, сделать это в рамках одной клинической ситуации невозможно, поэтому иллюстрациями к сегодняшней публикации  служат фотографии и картинки, собранные из разных клинических случаев. Примеры решения конкретных клинических задач вы можете найти на сайте http://2026.implant-in.com в статьях с хэштегом «остеопластика» — их там достаточно много.

    *  *  *

    Итак, у нас с вами есть некоторая клиническая задача. Выглядит она следующим образом:

    От автора. Как видите, я специально стараюсь свести всё к моделям и рисункам, чтобы не пугать вас кровищей и прочей расчленёнкой. 
    Если по каким-то причинам вы чувствуете зов крови, а ваша девичья фамилия Чикатило - добро пожаловать в мир кровожадных стоматологов. 
    А так... эту статью можно смотреть даже детям. Хорошим и умным детям.

    Если мы, руководствуясь имплантологическим правилом #2, хотим правильно провести имплантологическое лечение, в этом клиническом контексте необходима операция остеопластики.

    Чтобы правильно выбрать метод, нам необходимы данные, которые мы получаем, изучая анамнез, проводя объективный осмотр и анализируя компьютерную томографию:

    Каждый из вышеперечисленных пунктов, безусловно, влияет как на выбор метода остеопластики, так и на решение о проведении операции вообще. Например:

     — пожелания пациента — кто-то готов мириться с керамической десной, а для кого-то это является проблемой. Соответственно, в некоторых случаях (именно в некоторых, а не во всех!) мы можем отказаться от операции остеопластики в пользу компромиссного протезирования.

    Кроме того, актуальным является финансовый вопрос — разные методики остеопластики имеют разную стоимость, и, в современных стоматологических реалиях, мы не можем это не учитывать. Так, цена операции остеопластики в нашем стоматологическом центре не зависит от методики и составляет от 0 до 45 тыс. рублей, однако разные варианты её исполнения требуют разного количества биоматериалов, от «нифига» (аутотрансплантация костных фрагментов) до «дофига» (какая-нибудь остеотомия или НКР), поэтому конечная стоимость наращивания кости может варьироваться в широких пределах. В традициях наших докторов — обращаться с финансами пациента максимально рационально, поэтому мы всегда стараемся свести использование биоматериалов к минимуму.

     — состояние здоровья и возраст, возможные хронические заболевания, образ жизни, привычки и т. д., в первую очередь влияют на регенеративные способности организма, во вторую — на его реактивные возможности (читайте, на течение послеоперационного воспаления). Не думает об этом лишь тот, кто оперирует свиные головы, бараньи челюсти и фантомные модели. Мы же, работая с живыми людьми, обязательно должны брать во внимание множество мелких и, на первый взгляд, ничего не значащих факторов. Так, при прочих равных условиях, метод остеопластики, рекомендации в послеоперационном периоде и сроки реабилитации у пациентов в 30 и 75 лет будут существенно отличаться. Хотя бы тем, что в 75 лет, возможно, мы, ради снижения рисков, постараемся не рисковать и, возможно, откажемся от остеопластической операции в пользу компромиссной имплантации.

    состояние и биотип слизистой оболочки, а проще говоря — её целостность и толщина, являются ключевыми моментами, обеспечивающими герметичность послеоперационной раны, а она, в свою очередь, является важным фактором успеха остеопластических операций (см. Фактор III).

    удобство хирургического доступа, в том числе степень открывания рта важны хотя бы потому, что разные методики наращивания костной ткани требуют разных разрезов и пространства для манипуляций. Так, пациенты иногда сталкиваются с отказом в остеопластике при атрофии костной ткани в области верхних седьмых зубов — а это связано именно с очень неудобным хирургическим доступом к этому участку зубного ряда.

    Ну, а роль биотипа костной ткани и формы атрофического дефекта при планировании операции остеопластики мы с вами обсудили в прошлый раз. Подробности здесь>>

    Анестезия

    В амбулаторной хирургической стоматологии, коей мы тут занимаемся, любое вмешательство начинается с анестезии. Точнее, с местной анестезии, наиболее безопасного вида обезболивания.

    С ответственностью можем утверждать, что 99,999% хирургических манипуляций в полости рта, в том числе и операции наращивания костной ткани, можно и нужно делать под местной анестезией. На это есть ряд причин.

    Во-первых, это безопасно. Если покурить статистику летальных случаев в стоматологии (обратившишь, например, к Гуглу), то 98% из них связаны с бесконтрольным использованием седации и общего наркоза. Да, это, конечно, прикольно — сел-уснул-проснулся-полный рот зубов, — но на деле из тысяч клиник, предлагающих подобные услуги, лишь единицы имеют всё необходимое (оборудование и подготовленный персонал), чтобы спасти вас, если вдруг что-то пойдёт не так.

    Во-вторых, это удобно. Проводя операцию под местной анестезией, ты ловишь реакцию пациента и стараешься сделать так, чтобы причинить наименьший дискомфорт. Отсутствие вербальной или невербальной реакции со стороны пациента «развязывает руки» хирургу, и даёт повод воплотить в проводимой операции все его садистские пристрастия. Как результат — операция, априори, получается гораздо более травматичной, чем могла бы быть на самом деле.

    В-третьих, это дёшево. Нередко, стоимость анестезиологического пособия получается дороже, чем сама хирургическая операция. Как, например, в случае с удалением зубов мудрости.

    А вообще, анестезия в стоматологии — это хороший повод для отдельного разговора. Все мы боимся боли. Это нормально. Проблему боли можно надёжно и безопасно решить с помощью местной анестезии. Или, наоборот, можно спекулировать на ней, «разводя» на дорогостоящую седацию даже в случаях, когда она не нужна, и создавать при этом совершенно не оправданные риски для жизни и здоровья пациента.

    В общем, поговорим мы еще об обезболивании. В какой-нибудь ближайшей статье.

    Разрез

    Разрез в хирургии — это как почерк в каллиграфии. Одно движение скальпеля — и сразу становятся понятными опыт и квалификация доктора.

    Разрез должен быть предельно рациональным. С одной стороны, мы должны получить достаточный обзор и пространство для манипуляций, с другой — свести к минимуму травму и повреждение окружающих тканей.

    Уже на этапе разреза следует думать о том, как рана будет зашиваться. Всё, что легко стягивается — также легко растягивается, поэтому, в идеале, нужно проводить все разрезы в пределах кератинизированной десны, поскольку её толщина, упругость и прочность, впоследствии обеспечат достаточную герметичность послеоперационной раны.

    Причём, два миллиметра прикреплённого участка слизистой  — это не проблема, ведь можно сделать точный разрез, отступив по миллиметру от переходной складки

    Редко, очень редко мы делаем разрез по подвижной слизистой оболочке, обычно с щёчной стороны. Это актуально при операции горизонтальной остеотомии:

    или при синуслифтинге если мы проводим его отдельной операцией.

    Такие же правила устанавливаются при скелетировании и сепарации тканей (открытия поверхности кости) — до уровня достижения приемлемых обзора и пространства для манипуляций, но без излишеств.

    Подготовка графта

    Под термином «графт» (от англ. graft — «трансплантат») мы подразумеваем всё то, что будет «наращивать» атрофический дефект. И в качестве графта мы можем использовать как собственную костную ткань (в виде аутокостных крупных фрагментов, стружки), так и различные биоматериалы.

    О биоматериалах подробно написано в предыдущей части данной статьи. Можно почитать здесь>>

    Что же касается собственной костной ткани, то существует ряд серьёзных проблем, ограничивающих её применение:

    — аутокость нужно где-то взять. Это неизбежно увеличивает травматичность операции остеопластики.

    — довольно сложно получить большой объём аутокостной ткани из внутриротовых источников.

    — аутокостная стружка, вследствие своих биологических свойств, может потерять до 70% объёма. Именно поэтому её почти никогда не применяют без «искусственной кости».

    Если мы говорим об использовании собственной костной ткани для наращивания, то обычно подразумеваем крупные костные фрагменты. Простыми словами — костные блоки.

    Для начала, их нужно где-то взять.

    Технически, мы можем использовать абсолютно любую область челюстных костей в качестве донорской, однако руководствуемся принципами наименьших рисков и медицинской целесообразности.

    Один из основных принципов щадящей и рациональной хирургии — «одна операция — одна рана», — требует забирать костный блок для пересадки в непосредственной близости от атрофического дефекта.

    Кроме того, мы обязательно учитываем то, что разные донорские участки заживают по-разному, с разной степенью дискомфорта. Как раз по этой причине мы практически не используем подбородочную область для забора «собственной кости», хотя с точки зрения оперативной техники это намного удобнее. НО у всех живых людей к подбородку прикрепляются мышцы, поэтому в послеоперационном периоде при разговоре, мимике всё это очень болит.

    И поэтому наиболее популярной и комфортной областью забора аутокостного фрагмента является угол нижней челюсти, ретромолярная («зазубная») область и наружная косая линия (на картинке эта зона обозначена зеленым цветом), хотя они являются довольно сложными в плане доступа.

    Зато у пациента всё отлично заживает. И почти ничего не болит.

    После выделения костный фрагмент аккуратно отламывается и помещается в банку с физиологическим раствором, где находится до момента фиксации. Раньше мы проводили какую-то подгонку блоков до фиксации, сейчас так не делаем — и результаты стали намного лучше.

    Подготовка принимающего ложа

    Правильная подготовка принимающего ложа — пожалуй, один из главных наших секретов. Благодаря ей, мы свели к минимуму отторжение любых графтов, существенно снизили уровень их резорбции и почти полностью отказались от смешивания графта с аутокостной стружкой. Ну и, осложнений стало намного меньше — не более 1-2% от общего числа остеопластических операций.

    Если мы обратимся к статье «Теория Остеопластики» и примем за тезис то, что рост, миграция клеток, васкуляризация графта идут ТОЛЬКО со стороны принимающего ложа,

    становится очевидным, что кортикальная (компактная) пластинка кости будет являться препятствием для всего этого.

    Для улучшения условий, есть очень простое решение — снести кортикальную пластинку нафиг, чтобы облегчить клеткам и сосудам доступ в графт.

    Вторая причина, по которой необходима подобная процедура — это увеличение площади контакта графта с поверхностью кости.

    Чем она больше — тем больше клеток будет попадать в графт, тем более предсказуемой будет его интеграция.

    Фиксация графта

    Для фиксации графта мы используем различные металлоконструкции, наиболее частыми из которых являются винты. Изредка используются сетки, пластины и прочие приспособления:

    Принципиально важный нюанс — это ПОЛНАЯ неподвижность графта относительно атрофического дефекта. Поэтому количество винтов и варианты фиксации могут меняться, в зависимости от клинической ситуации. Подробно об этом можно почитать в статье, посвящённой факторам успеха остеопластических операций (фактор IV) где-то здесь>>

    Если с костными блоками и пластинами всё понятно, то с графтом типа «порошок искусственной кости» могут быть сложности. Для его надёжной фиксации используют специальные сетки или барьерные мембраны, закреплённые к костной ткани пинами (маленькими гвоздиками) или винтами.

    При этом, барьерная мембрана должна не просто «покрывать графт», а прижимать его к области дефекта, т. е., должна быть натянутой на пины.

    В противном случае, использование пинов или винтов теряет смысл.

    Необходимость использования биоматериалов

    Про биоматериалы, используемые для наращивания костной ткани, есть отдельная статья. Рекомендую почитать здесь>>

    В целом, вы должны знать, что использование биоматериалов для наращивания костной ткани — это всегда компромисс, цель которого — снизить травматичность и сложность хирургического вмешательства.

    Второе, не менее, важное — это то, что технически возможно провести операцию остеопластики любой сложности, вообще не используя искусственную костную ткань и барьерные мембраны.

    В нашей клинике мы стараемся свести применение биоматериалов для наращивания костной ткани к минимуму. Как раз по этим причинам. Ну, еще потому, что они пипец, какие недешёвые.

    Использование костнозамещающих материалов и барьерных мембран требует соблюдения целого ряда правил. Так, костнозамещающие материалы нельзя утрамбовывать, а барьерная мембрана, если используется как каркас, должна быть натянута и плотно прижимать графт к костной ткани. В противном случае её смысл как каркаса для остеопластики теряется.

    И наоборот, если мы изолируем барьерной мембраной костный блок, сетку, тентовые винты, пластины и т. д., в её фиксации нет необходимости.

    Можно ли сразу во время остеопластики поставить имплантаты?

    По этому поводу на моём личном сайте есть две статьи, где описываются примеры установки имплантатов одновременно с операцией наращивания костной ткани. Рекомендую почитать тут>> и здесь>>.

    В общих чертах, чтобы однозначно решить вопрос о совмещении остеопластики и имплантации, нам необходимо выяснить:

    — есть ли у нас возможность стабилизировать имплантаты нужного размера в нужном положении в существующем объёме костной ткани?

    — если предположить, что сосуды и клетки попадают в графт только со стороны костной ткани, не перекрывают ли им доступ установленные имплантаты?

    — как в дальнейшем будет ремоделироваться костная ткань? Достаточным ли будет её объём в области имплантатов после ремоделирования?

    Если ответы будут «да-нет-да», то мы спокойно можем сочетать имплантацию с наращиванием костной ткани. И, признаться, мы делаем это довольно часто.

    Во всех других случаях лучше выделить операцию остеопластики в отдельный хирургический этап.

    Наложение швов

    Если мы сделали всё правильно на этапе разреза, то с наложением герметичных швов у нас проблем не будет. «Герметичных» — это ключевое слово, поскольку именно это условие необходимо для получения хорошего результата остеопластической операции. Про это, кстати, есть отдельная статья. Можно почитать здесь>>

    Для наложения швов после операции остеопластики мы используем ТОЛЬКО нерезорбируемый монофиламентный шовный материал,

    при этом сам тип шва может меняться, в зависимости от клинической ситуации.

    Послеоперационная реабилитация

    Как говорят умные доктора, хирургия — это всего 10% мануала, остальное — реабилитация.

    Поэтому реабилитации, рекомендациям и назначениям в послеоперационном периоде мы уделяем максимум внимания.

    Но… это тема следующей части.

    Не переключайтесь!

    Спасибо, что дочитали до конца.

    С уважением, Станислав Васильев.

    Что еще почитать про наращивание костной ткани и имплантацию в CLINIC IN?
    Имплантация зубов в CLINIC IN и её стоимость
    Хирургия полости рта в CLINIC IN и прейскурант на хирургические операции
    Вы планируете лечение в CLINIC IN. Что нужно знать еще до консультации стоматолога?
    Вы планируете имплантацию зубов. Что нужно знать об этом еще до консультации имплантолога?
    Консультация имплантолога
    Методы и технологии современного имплантологического лечения
    Имплантаты и биоматериалы, с которыми мы работаем
    Простой синуслифтинг. Большая статья — Часть I, Часть II, Часть III, Часть IV
    Атрофия костной ткани челюстей — откуда берётся и как исправляется?
    Сколько нужно ждать после операции наращивания костной ткани? И когда можно ставить импланты?
    О выборе метода наращивания костной ткани и неудачных результатах.
    Куда уходит костный блок?
    Простой. Надёжный. Дешёвый. Способ остеопластики
    Теория остеопластики: блоки, стружка, биоматериалы и остеогенез
    Остеопластические операции: факторы успеха. Фактор I, Фактор II, Фактор III, Фактор IV, Фактор V
    Не усложняйте! Остеопластика — это не так уж и страшно!
    Еще много полезных статей с хэштегом «остеопластика» и «имплантация» на сайте www.clinicin.ru. Ну и, конечно — WWW.IMPLANT-IN.COM!
  • Современная медицинская наука — все ли средства хороши?

    Современная медицинская наука — все ли средства хороши?

    Важный дисклеймер! Данная статья содержит много речевых оборотов, которые могут оскорбить религиозные чувства некоторых граждан, вызвать активное неприятие, тошноту, потерю аппетита, задержку стула и импотенцию. Настоятельно прошу убрать от экрана всех. Вообще всех, кто до сих пор верит научным публикациям и считает, что научные звания, регалии, членства в академиях и прочие свистелки-перделки — это прям заебись, как круто.

    Уважаемые друзья, прежде, чем кинуть в кое-кого тухлым помидором, я признаюсь вам в соучастии в преступлении, дабы у вас была возможность сделать то же самое со мной. Такова уж традиция моих повествований. Расскажу вам интересную и очень поучительную историю из своей жизни.

    Как все вы знаете, примерно в 1999 году, будучи на третьем курсе университета, я решил стать хирургом. Как и большинство студентов, я тогда считал, что хирург — это, прежде всего, золотые руки, поэтому много внимания уделял вышиванию винограда мануальным навыкам. С этой целью, я не вылазил из морга, собственноручно изрезал и зашил тыщу куриц, даже собственную ногу не пожалел — ибо на ком, как не на себе, изучать заживление послеоперационной раны? Но, не суть.

    С целью стать прям совсем заебательским хирургом, я вступил в Студенческое Научное Общество (СНО) кафедры хирургии родного университета, где в то время несколько молодых докторов защищали свои кандидатские диссертации. На их счастье, по программе распила бабла и отмывания честно нажитых откатов поддержки медицинской науки, кафедре перепал эндоскопический лазерный доплерограф — сложный такой прибор, которым можно измерить кровоснабжение различных отделов ЖКТ и, соответственно, углублено диагностировать всякие гастриты-дуодениты. Этот шайтан-машин выдавал данные через прилагающийся к нему компьютер — а я напомню, что в 1999 году большинство докторов компьютер видело только на картинках, а самой популярной операционной системой была MS-DOS, а игрой — ручной тетрис. А тут еще инструкция ко всему этому в файле TXT и на английском языке — что вообще жопа, с точки зрения понимания.

    Но ведь нужно что-то делать. Прибор не зря же купили, потратив на него сумму, эквивалентную стоимости полностью укомплектованного автомобиля скорой помощи. И вот, от завкафедрой приходит указание — использовать данный доплерограф для написания научных работ. А как, если к нему инструкцию никто прочитать не может? Хрен его знает.

    И вот, однажды приходит ко мне доктор-аспирант кафедры. Готовится к выступлению на конференции как раз по теме эндоскопической лазерной доплерографии. Помоги, говорит, с прибором разобраться, ты ж у нас продвинутый в плане компутеров. Не вопрос, говорю, давай попробуем. В общем, пробовали мы, пробовали — и ничего у нас не получилось. Ноль целых, ноль десятых.

    — Чо делать будем? — спрашиваю я доктора-аспиранта, — нет данных, значит нет научной работы.

    — Слушай, Стас, — говорит он мне, — а ты на компутере рисовать умеешь?

    — Канешн, умею, — отвечаю я.

    — О! Тогда давай в пайнтбраше какие-нибудь графики нарисуем. Типа, один в норме, один с гастритом — один хер, никто этот доплерограф в глаза не видел.

    В общем, мы так и поступили. Нарисовали несколько графиков, один нормальный, второй кривой — вот смотрите, исследования показывают, разница очевидна. Цифры какие-то приписали…. Доктор-аспирант успешно выступил на конференции, потом защитил диссертацию, даже немного преподавал на кафедре.

    И, в общем, мы с доктором-аспирантом, конечно, мошенники и подлецы, но все остальные… В президиуме конференции сидели профессора, академики, заслуженные хирурги, а наша статья с поддельными графиками вышла в рецензируемом журнале ВАК, причём по традиции «главным» в списке автором идёт уважаемый заведующий кафедрой — и всем было насрать. Никто, блин, совершенно никто не заметил нашего подлога. О чём это говорит? Об уровне науки.

    Но хер с ним, то были девяностые, мы выживали, как могли. Хотя я, периодически, испытываю чувство стыда за то, что творил — и это вынуждает меня сейчас вести относительно честный образ жизни.

    И вот теперь, когда я вам признался в очередном своём грехе, вы можете смело кинуть в меня, то есть, в экран с этой статьёй тухлый помидор. Для вашего негодования и презрения оставлю строчку:

    *   *   *   *   *   *   *   *   *   *   *   *

    Понегодовали? Помидор тухлый кинули? Позвольте мне продолжить.

    И для начала, я покажу вам две картинки. Точнее, две ортопантомограммы:

    Скажите, можно ли утверждать, что они принадлежат одному и тому же человеку?

    На мой взгляд, можно. Хотя, я взял эти снимки из двух разных источников.

    Источник #1. Это моя статья, посвящённая удалению ретинированных и сверхкомплектных зубов от 8 февраля 2014 года. Находится она здесь, рекомендую ознакомиться>>. Кратко: в данной статье подробно рассматривается вопрос удаления сверхкомплектных зубов

    у 32-летней (!) пациентки. Специально акцентирую внимание на возрасте — и скоро вы поймёте, почему. Вот они, удалённые сверхкомплектные зубы:

    В общем, это всё очень интересно, та же статья есть на моём сайте — и тоже от 8 февраля 2014 года. Почитайте.

    Источник #2 — и отсюда я взял ортопантомограмму #2, — это научная работа Армине Рафиковны Восканян, кандидата медицинских наук, ассистента кафедры детской стоматологии, ортодонтии и челюстно-лицевой хирургии, опубликованная в журнале «Курский научно-практический вестник «Человек и его здоровье» #2 в 2015 году:

    а именно — вот из этого места:

    Кому интересно — можно скачать и почитать эту статью здесь>>

    Обратите внимание, как помолодела моя пациентка. Было больше 30 лет, а через год стало 15! И никого, совершенно никого, блин, не смутило, что подобный снимок никак не может соответствовать пациентке в возрасте 15 лет — обратите внимание на состояние зубов мудрости, количество пломб их стираемость и т. д. На достоверность и откровенно спижженый снимок положили хер все — кафедра, Кубанский Медицинский Университет, редакция журнала «Курский Вестник «Человек и его здоровье», который, кстати, входит в перечень рецензируемых ВАК:

    То есть, публикации в нём засчитываются при написании диссертаций, кандидатских и докторских. И, по идее, должны проверяться на научную ценность и достоверность.

    Друзья, у меня нет ничего личного к доктору Восканян, которая, судя по всему, продолжает работать на кафедре и, возможно, чему-то обучает будущих стоматологов:

     

    Видимо, подлог, фальсификация и откровенное невежество входят в современный образовательный стандарт по детской стоматологии и ортодонтии….

    Но, блин, объясните мне, обычному доктору без свистелок-перделок, объясните мне, пожалуйста, — как такой откровенный фейк пропускает кафедра детской стоматологии, ортодонтии и ЧЛХ КубГМУ, которой, наверняка, руководят находящиеся на серьёзной должности, имеющие научные степени и очень уважаемые в медицинской среде люди? Эти люди, я уверен, являются членами экспертных комиссий, которые разбирают жалобы пациентов и дрючат докторов за неправильно заполненную и, возможно, сфальсифицированную медицинскую документацию.

    Объясните мне, как такая статья, где, блин, даже самому тупому студенту-второкурснику, очевиден подлог и обман, попадает в рецензируемый журнал ВАК, публикуется без возражений и засчитывается при написании кандидатской диссертации?

    Вот неужели всем им настолько насрать на свою репутацию?

    Неужели доктор Восканян надеялась, что «всё прокатит», и её подлог останется незамеченным?

    Што, блять, вообще происходит с нашей наукой?

    Между тем, этот случай не единичен — и не зря ж я рассказал вам историю из собственной жизни, доплерограф и картинки из пайнтбраш. Я еще могу стопицот таких примеров привести — благо, могу себе позволить говорить прям от души.

    Современная российская (и не только российская) медицинская наука из двигателя прогресса давно превратилась в погоню за свистелками-перделками званиями и степенями, легко конвертируемыми в деньги, должности и повышающими чувство собственной важности.

    Публикации делаются ради публикаций, звания зарабатываются ради самих званий, люди вступают в ассоциации, союзы и академии, ибо «ЧЛЕН….» — это отличная строчка, когда тебе нужно что-нибудь впарить доверчивым пациентам или коллегам. Всем наплевать на саму науку, всем нужно только то, что она даёт — красивые записи в резюме и золотые буквы в визитных карточках.

    Можно ли верить современной науке, пусть даже в лице кафедру детской стоматологии, ортодонтии и ЧЛХ КубГМУ? Можно ли верить печатным публикациям, пусть даже в рецензируемом ВАК журнале, где главный редактор — профессор, доктор наук и заслуженный врач РФ?

    Делайте выводы, уважаемые друзья.

    Спасибо. что дочитали до конца.

    С уважением, Станислав Васильев.

    Ps. Меня часто спрашивают, почему я не занимаюсь серьёзной наукой, почему в своих лекциях и докладах никогда не ссылаюсь на научные публикации и почему стараюсь держаться подальше от стоматологических тусовок, конференций, сообществ и т. д. Теперь догадываетесь, почему?)))

     

     

  • Вы планируете исправление прикуса — что нужно знать об этом еще до консультации ортодонта?

    Вы планируете исправление прикуса — что нужно знать об этом еще до консультации ортодонта?

    Ортодонтия — одна из самых сложных стоматологических специальностей. Однозначного понимания важности исправления прикуса в разрезе комплексной стоматологической реабилитации нет даже среди докторов — что уж говорить о единстве подходов, методов и мнений? Ортодонтия — это загадка, особенно для старшего поколения стоматологов, ведь еще тридцать-сорок лет назад о влиянии прикуса на состояние и здоровье зубочелюстной системы никто не думал.

    А уж сколько мифов и заблуждений об ортодонтическом лечении гуляет среди пациентов! Тут и сроки по пять лет, и кариес под брекетами, и то, что «исправлять что-то в 25 лет уже поздно», и много что еще…

    Анна Сотникова, врач-ортодонт CLINIC IN, специалист по исправлению прикуса и просто хороший человек, как и вся наша команда, считает, что чем больше вы знаете об ортодонтии — тем лучше для всех.

    Поэтому решила рассказать вам, дорогие друзья, что нужно знать об исправлении прикуса еще до того, как вы пришли к ней на консультацию.

    Итак, первое, что вам нужно знать о прикусе:

    правильный прикус — это основа здоровья зубочелюстной системы.

    Невозможно провести полноценную стоматологическую реабилитацию без коррекции прикуса каким-либо способом. Кроме того, состояние прикуса, характер смыкания зубов, распределение нагрузки и т. д., учитывается даже при лечении кариеса, имплантации, в пародонтологии, не говоря уже о протезировании. Состояние прикуса — это та ваша особенность, которая учитывается доктором при подборе схемы индивидуальной гигиены полости рта и других профилактических мероприятий. Игнорирование этого факта приводит к огромному количеству проблем и врачебных ошибок, печально сказывающихся на результатах лечения.

    Второе, что нужно знать о прикусе:

    красивая улыбка далеко не всегда означает правильный прикус. И наоборот.

    Когда мы, врачи, говорим о «правильном прикусе», то, как правило, подразумеваем такое положение зубов, при котором они равномерно и правильно распределяют жевательную нагрузку. Иными словами, при исправлении прикуса мы, в первую очередь, ориентируемся на функцию. Эстетика, по сути — это побочный продукт функциональной коррекции.

    Как говорят авиаторы: «Некрасивый самолёт не летает». У нас, ортодонтов, то же самое — полноценный с точки зрения функции прикус не может не быть красивым.

    Третье, не менее важное:

    какой бы ни была методика изменения прикуса, в её основе лежат одни и те же, простые и понятные физиологические механизмы.

    А это значит, что все существующие методы ортодонтии имеют более-менее схожую эффективность и сроки лечения. Разумеется, при условии правильного подбора в определённой клинической ситуации. Но об этом мы расскажем вам чуть позже.

    И, наконец, четвёртое:

    прикус — штука динамическая, меняется с возрастом.

    На него влияет, буквально всё: пломбы, коронки, отсутствие зубов, зубы мудрости, вредные привычки и т. д. Да, что уж говорить — даже при идеальном состоянии зубов, их стираемость со временем приведёт к переменам. В связи с этим, ключевой момент ортодонтии — сделать возрастные изменения прикуса настолько незначительными, чтобы они не приводили к каким-либо осложнениям или ухудшению качества жизни.

    А для этого нужно знать закономерности развития той или иной стоматологической патологии и её взаимосвязь с состоянием прикуса.

    Когда уже можно заниматься прикусом? И когда уже поздно?

    — Еще не рано? — такой вопрос нередко задают родители, приводящие детишек на первый профилактический осмотр к стоматологу.

    — А разве не поздно? — об этом спрашивают гораздо чаще, причём как в двадцать, так и в шестьдесят лет.

    Так вот, в первый раз проконсультироваться у ортодонта лучше, когда вашему ребёнку исполнится 5-6 лет. То есть в момент смены молочных зубов на постоянные. Приходить к доктору раньше большого смысла нет, так как даже в случае уже имеющейся патологии (например, вследствие вредных привычек, соски или сосания пальца) проводить лечение, практически не реально, и оно будет малоэффективным.

    А вот в 5-6 лет с малышом уже можно договориться о том, что необходимо носить каппу или пластинку, правильно поддерживать гигиену полости рта и т. д. Не говоря же о возможности правильной диагностики — и оттиски, и рентгеновские снимки в этом возрасте делать намного проще.

    Кстати, о рентгенодиагностике. С момента прорезывания постоянных зубов, ребёнку рекомендуется проводить ортопантомографию раз в год. Очень просим вас не отказываться от панорамных снимков в столь раннем возрасте, поскольку лучевая нагрузка на нормальных томографах, вроде нашего, меньше, чем за два часа полёта на самолёте, а вот диагностическая ценность невероятно высока. Многие не знают, что в последнее время у детей всё чаще и чаще встречается адентия, отсутствие зачатка постоянного зуба (или постоянных зубов) — и в этом случае принципиально важно сохранить молочных зуб здоровым и полноценным как можно дольше.

    Правда, бывает и обратная ситуация — это сверхкомплектные «лишние» зубы. Иногда они мешают расти нормальным зубам, и их тоже нужно выявлять на ранних стадиях.

    Кроме того, неплохо бы наблюдаться у ортодонта в течение всего периода формирования постоянного прикуса, а для этого нужно хотя бы раз в год совмещать ортодонтический приём с профилактическим. Ведь, как вы понимаете, чем раньше проблема выявится — тем легче её разрешить.

    А что же со взрослыми? Что делать тем, кто уже прошёл период формирования прикуса, когда зубы уже не растут, а скорее наоборот — иногда теряются?

    На самом деле, взрослые от 25 лет и старше — основная категория ортодонтических пациентов. Обращаться за исправлением прикуса можно в любом возрасте, если на то есть показания.

    И вот тут, опять же, следует напомнить о том, что прикус — штука динамическая, т. е. постоянно меняющаяся во времени, подверженная влиянию огромного количества факторов и условий (пункт четвертый в нашем списке важностей).

    Так, если вы удалили зуб и не протезировали его вовремя, то контактировавшие с ним зубы будут смещаться, что может привести к весьма серьёзным последствиям не только для прикуса, но и для работы всей зубочелюстной системы.

    Безусловно, у нас есть возможность всё исправить:

    Но до таких ситуаций лучше не доводить.

    Также стоит знать, что чуть ли не главной причиной таких заболеваний и проблем как пародонтит, рецессии десны, клиновидные дефекты, не говоря уже о мышечно-суставных дисфункциях и заболеваниях височно-нижнечелюстных суставов является перегрузка зубов или неправильное распределение нагрузки на зубной ряд. И вылечить их, ничего не делая с прикусом, можно лишь симптоматически, т. е. ненадёжно и ненадолго.

    А если мы говорим об эстетическом протезировании, то любые косметические реставрации, будь то виниры или керамические коронки, весьма чувствительны к нагрузке, и в условиях патологического прикуса служат крайне недолго.

    Всё это делает ортодонтию весьма востребованной среди взрослых пациентов. Тем более, что исправление прикуса современными методиками возможно (и показано) в любом возрасте. Как например:

    Какое обследование необходимо перед исправлением прикуса?

    Конечно, всё начинается с консультации. Консультация врача-ортодонта в нашей клинике бесплатная, в среднем, она занимает 40-60 минут.

    Для точной постановки диагноза и, соответственно, выбора метода лечения, доктору могут потребоваться:

    — фотографии зубов в определённых проекциях. Их делают во время консультации — и это ничего не стоит.

    — телерентгенограмма в прямой или боковой проекции. В нашей клинике её стоимость составляет от 1 100 до 2 200 рублей, включая необходимые расчёты. Подробнее об этом — здесь>>

    — диагностические модели. Изготавливаются в лаборатории или прямо в клинике по простым альгинатным оттискам. Стоимость изготовления таких моделей — около 3 500 рублей.

    изредка требуются компьютерная томография (как правило, при планировании комплексной стоматологической реабилитации, также проводится прямо в нашей клинике), аксиография (в случае суставных проблем), функциональная диагностика и т. д.

     

    Всё это необходимо для того, чтобы поставить диагноз и определиться, какой из методов исправления прикуса будет наиболее приемлемым в данной клинической ситуации.

    Важно замечание! Нередко мы наблюдаем такую картину — врач, едва заглянув пациенту в рот, записывает его на лечение: удаление премоляров, наклейку брекетов и т. д., без необходимой в таких случаях диагностики. Нет полноценного обследования, нет правильного диагноза — откуда же взяться правильной тактике лечения?

    Чем можно исправить прикус?

    В арсенале современного ортодонта есть несколько инструментов для исправления прикуса, которые можно разделить на две большие группы: съемные и несъёмные ортодонтические аппараты.

    Съемные — это всевозможные пластинки, каппы, трейнеры и т. д. В основном, их используют в детском возрасте.

    К несъемным ортодонтическим аппаратам относятся не только всем известные брекеты, но и специальные конструкции, например, для расширения челюстей, опорные ортодонтические миниимплантаты и т. д.

    Подробнее о показаниях/противопоказаниях, плюсах/минусах и особенностях различных способов исправления прикуса мы поговорим с вами в следующий раз. А пока, вам нужно знать, что при условии правильной диагностики, планирования, выбора ортодонтического аппарата (в зависимости от клинической ситуации и ряда других факторов)

    все методы ортодонтического лечения имеют одинаковую эффективность.

    Хотя бы потому, что работают по одним и тем же физиологическим принципам.

    Как вообще исправляется прикус?

    Многие полагают, что зубочелюстная система похожа на пластилин с воткнутыми в него карандашами. Если такой карандаши потянуть в сторону, то они сдвинется — и так, по мнению многих, передвигаются зубы с помощью брекетов.

    Но, на самом деле, происходит всё это немного иначе.

    В костной ткани есть три типа клеток, остеобласты, остеоциты и остеокласты. Если говорить упрощённо, то остеобласты и остеоциты формируют костную ткань, а остеокласты, наоборот, её разрушают.

    Если приложить к зубу небольшое, но постоянное усилие в каком-то направлении, перегрузка стенки лунки зубом стимулирует остеокласты, и они активно разрушают костную ткань в этом месте. Там же, где край лунки оказывается «недонагруженной», наоборот, нарастает кость.

     

    На активном этапе ортодонтического лечения, мы даже можем увидеть это на рентгеновских снимках.

    Таким образом, регулируя усилие и направление, теоретически, мы можем переместить любой зуб в любое место. Если стоит такая задача.

    Но как создать нужное усилие и задать правильное направление? Вот, дорогие друзья, для этого и нужны брекеты (или другие ортодонтические аппараты).

    Каждый брекет — это миниатюрная направляющая, двигающаяся относительно дуги с памятью формы.

    С помощью брекета задается направление — и именно поэтому важно правильно и точно их наклеивать. Отклонение брекета от нужной оси хотя бы на пол-градуса приводит к нежелательному развороту зуба, появлению промежутков и т. д.

    Дуга, по которой скользят брекеты, изготавливается из специального сплава с памятью формы и обладает феноменальной упругостью. Именно она создаёт прикладываемое к брекету усилие, заставляющее зубы перемещаться. Конечно, на разных этапах лечения требуется разное усилие — и поэтому ортодонт периодически меняет дуги, подбирая их, в зависимости от необходимой нагрузки.

    Усилие, создаваемое дугой на брекет и зуб, крайне мало — упёршись языком в нижние резцы, мы создаём на них нагрузку во десятки раз больше. Однако, оно постоянное, действует 24 часа и 7 дней в неделю — и, таким образом, мы получаем уверенное движение зубов в нужном направлении. Всё, что остаётся — это регулярно корректировать направление: переклеивать и стопорить брекеты, создавать пространство для перемещения пришлифовыванием, накладками, «помогать» дуге с помощью эластичных тяг и т. д.

    В результате всех этих действий, за 12-24 месяца мы можем исправить большинство проблем с прикусом. Быстрее этого сделать нельзя — ведь для этого потребуются большие усилия, которые могут привести к непредсказуемым, но обязательно печальным последствиям для зубов.

    Слишком долгое лечение, по 3-4 года и более — это, в первую очередь, признак неправильной диагностики и планирования и, как следствие — неправильного выбора метода лечения.

    Сколько стоит исправление прикуса?

    Нам очень часто задают этот вопрос. В народе гуляет мнение, что это не просто дорого, а очень дорого.

    Но это не так.

    Пожалуй, стоит начать с того, что консультация ортодонта в нашей клинике — бесплатная (см. выше).

    После правильной диагностики мы, совместно с пациентом, выбираем способ лечения.

    Стоит помнить, что, помимо «хотелок» у каждого из ортодонтических аппаратов есть свои показания и противопоказания, и доктор, предлагая вам тот или иной вариант коррекции прикуса, отталкивается, прежде всего, от них и здравого смысла. Другими словами, бывают ситуации, когда вы очень хотите исправить свой прикус с помощью капп, но в вашей клинической ситуации сделать это либо сложно, либо невозможно (доктор объяснит, почему) — поэтому вам предложат брекеты. И наоборот.

    Если нет никаких особенностей организма, у вас идеальная гигиена полости рта (недавно прошли профессиональную гигиену), и вам не требуется санация, удаление восьмёрок и т. д., можно записаться на установку брекетов. Обычно их устанавливают сначала зубной ряд одной челюсти, затем — другой, примерно с разницей в месяц. Изредка наклеивают всё и сразу.

    Поэтому на первом этапе ваши затраты составят:

    стоимость брекет-системы + стоимость установки

    В зависимости от сложности клинической ситуации и выбора брекет-системы, который, отчасти, остаётся за вами, вы потратите от 42 до 70 тыс. рублей.

    Затем, через месяц проводят ту же процедуру, но на зубах другой челюсти. С тем же прайсом. Итого, мы получаем 84-140 тыс. рублей за фиксацию брекетов на зубные ряды обеих челюстей.

    После наклейки, вам, ориентировочно раз в 1-2 месяца, потребуется коррекция — смена дуги (усилия) и корректировка положения брекетов (направления). Стоимость такого приёма, в зависимости от объёма коррекции, составляет от 6 до 20 тыс. рублей* (опять же, всё зависит от набора процедур, входящих в коррекцию)

    Во время ортодонтического лечения крайне важно поддерживать идеальную гигиену полости рта. Пациенту с брекетами гигиеническая чистка необходима, как минимум, раз в три месяца, в отличие от обычных людей (раз в полгода). Чтобы не обременять наших пациентов расходами, специально для таких случаев мы сделали профессиональную гигиену доступной — в нашей клинике она обходится всего в 8 000 рублей*. Подробности здесь>>

    Комментарий шефа. Должен заметить, что профессиональной гигиенов в нашем центре CLINIC  IN занимаются
     настоящие стоматологи-терапевты с высшим образованием, а не студенты или гигиенисты после трёхмесячных курсов. 
    Это позволяет гарантировать высокое качество и безопасность процедуры.

    В процессе исправления прикуса нам могут потребоваться дополнительные кнопки, стопоры для дуги, эластические тяги, миниимплантаты и т. д. Всё это оплачивается, согласно действующему прейскуранту.

    Завершается ортодонтическое лечение снятием брекет-системы, гигиенической чисткой и наклейкой ретейнера, в некоторых случаях изготавливается специальная ретенционная каппа. Всё это обходится, ориентировочно, в 24-30 тыс. рублей.

    В последующие годы мы будем с вами видеться только на профилактических осмотрах — это позволит сохранить ваши зубы красивыми и здоровыми.

    Если мы сопоставим наши расходы на исправление прикуса со сроком лечения,

    стоимость фиксации + стоимость коррекций * срок лечения (в среднем, 18 месяцев) + снятие-гигиена-ретейнер

    то получим следующие цифры —  от 216 до 530 тыс рублей, если мы говорим о вестибулярных брекетах. С лингвальными системами всё получается несколько сложнее, соответственно, и прайс там выше.

    Важный момент — эта сумма не оплачивается одномоментно, а растягивается на весь период лечения, то есть на 18 месяцев. Поэтому, хоть и кажется большой, но за такой промежуток времени получается не слишком обременительной.

    Как видите, исправление прикуса — вполне доступная процедура для всех, кому это необходимо. Особенно, если учесть, что ортодонтия кардинально меняет качество жизни и избавляет от огромного количества зубных проблем, является профилактикой пародонтита и кариеса.

    Человек с брекетами, даже если это немолодой мужчина с восьмидесятым уровнем брутальности, уже не выглядит комично, в отличие от такого же, но с кривыми зубами. Наоборот, улыбка в брекетах — это показатель того, что человек разбирается в зубных проблемах, заботится о своём здоровье, он ответственный (при ортодонтии это важно), пунктуальный (еще важнее) и готов терпеть некоторые неудобства ради достижения идеального результата. Такой человек достоин уважения.

    Спасибо, что дочитали до конца.

    С уважением, Аня Сотникова, врач-ортодонт. И немного — редакция CLINIC IN.

    Что еще почитать об исправлении прикуса в CLINIC IN?
    Вы планируете консультацию в CLINIC IN. Что нужно знать еще до приёма доктора?
    Гигиена и профилактика стоматологических заболеваний — что нужно об этом знать?
    Incognito — брекеты, которых не видно
    Причинно-следственные связи. Статья о том, почему прикус — основа всего.
    Ортодонтия — незнакомая и непонятная. Статья аж 2010 года, но почти не потеряла актуальности
    Удаление зубов мудрости — важная часть подготовки к ортодонтическому лечению. Доктор Дашков плохого не посоветует.
  • Атрофия костной ткани челюстей — откуда берётся и как исправляется?

    Атрофия костной ткани челюстей — откуда берётся и как исправляется?

    Уважаемые друзья, сегодняшняя тема для разговора, по сути, должна быть прологом ко всем нашим публикациям, посвящённым наращиванию костной ткани перед имплантацией. Мы уже писали о синуслифтинге, направленной костной регенерации, костных блоках и остеотомии, мы говорили, когда и почему это нужно делать, но оставили за рамками публикаций, пожалуй, самый интересный и вопрос:

    почему вообще возникает атрофия костной ткани?

    Что такое атрофия? Каковы её причины? Почему у кого-то она развивается стремительно, буквально месяц-два:

    а кто-то ходит без зубов годами — и при этом не происходит убыли костной ткани?

    Можно ли прогнозировать степень атрофии костной ткани еще до удаления зубов и существует ли её профилактика?

    Ответы на эти вопросы важны хотя бы потому, что без понимания биологических механизмов атрофии, невозможно определить необходимость проведения той же превентивной аугментации лунку удалённого зуба, невозможно ПРАВИЛЬНО выбрать метод наращивания костной ткани для конкретного клинического случая и, самое главное — невозможно дать внятный и долгосрочный прогноз по результату остеопластики.

    Скажу даже больше — во многом, почти все неудачные исходы наращивания костной ткани объясняются, в том числе, непониманием процессов, происходящих в челюстной кости после удаления зуба. Вот почему эти знания важны.

    Итак,

    Атрофия  — это…

    Согласно медицинским учебникам, под атрофией подразумевают прижизненное уменьшение объёма клеток, тканей и органов, сопровождаемое снижением или прекращением их функций. Применительно к стоматологии и имплантологии, мы можем можем определить атрофию как изменение линейных размеров и объема альвеолярного гребня после удаления зуба или зубов.

    Атрофия бывает обратимой и необратимой.

    Обратимая атрофия вызывается, как правило, прекращением функционирования органа или ткани. Так, если долго не пользоваться рукой (например, после перелома), то мышцы руки атрофируются.

    Однако, по возвращению функции, они быстро приходят в норму.

    Необратимая атрофия имеет целый ряд причин, среди которых дисфункция — лишь одна из них. Так, атрофия сердечной мышцы сопровождается её склерозом, замещением собственно мышечных волокон соединительной тканью. Как результат — хроническая сердечная недостаточность, для которой пока существует только симптоматическое лечение.

    Вопрос об обратимости атрофии мозга у некоторых людей остаётся дискуссионным.

    Атрофию альвеолярного гребня после удаления зуба в большинстве доступных мне книг относят к дисфункциональной, т. е., связанной с прекращением функции. Казалось бы, очень простой механизм — «нет зубов, нет нагрузки на костную ткань — превед, атрофия!»

    Но, на деле, не всё так однозначно.

    Во-первых, дисфункциональная атрофия, как правило, обратима (см. пример с мышцами).

    Во-вторых, — и этот вопрос волнует меня в первую очередь, — почему у разных людей скорость и уровень потери объёма костной ткани разный?

    Почему у некоторых пациентов после удаления зуба уже через несколько недель возникает атрофический песдетс, а другие живут без зубов много лет, сохраняя чуть ли не первоначальные объёмы костной ткани? Откуда такая несправедливость?

    И вот, чтобы разобраться в этом вопросе, нам необходимо вспомнить, что такое костная ткань вообще.

    Костная ткань — это…

    Частично мы затрагивали эту тему, обсуждая «Теорию остеопластики». Сейчас поговорим об этом более подробно.

    Первое, что нужно знать о костной ткани:

    ОНА ЖИВАЯ!

    Да, обменные процессы в ней идут крайне медленно, а после гибели она, в отличие от мягких тканей, практически не меняет объёма и основных свойств — и это та причина, по которой многие люди, в т. ч. и стоматологи-имплантологи, воспринимают её слишком механистически, как обычный неживой материал для пиления и сверления. Такой отношение приводит к «столярно-слесарному подходу» к имплантации, который можно сформулировать одной фразой: «чем крепче вкрутил — тем лучше держится». Впрочем, об этом я тоже писал. Про торки, и почему усилия >30 Нсм — это плохо, можно почитать здесь>>.

    Второе, не менее важное — это то, что текущее состояние костной ткани является результатом биологического равновесия между процессами остеолизиса и остеогенеза. Иными словами, клетки кости делятся и умирают, коллагеновые волокна деградируют и образуются вновь, кальций приходит в костную ткань и уходит из неё — и всё это происходит постоянно и непрерывно.

    Третья вещь, что вы должны знать о костной ткани — так это то, что основной её компонент как по объёму, так и по массе, межклеточное вещество (остеоматрикс) участвует в регенерации исключительно опосредованно. Поэтому для «наращивания костной ткани» совершенно бесполезно пить кальций — и про это мы тоже уже писали. Как и про то, что источником «костеобразования» являются только живые клетки костной ткани, остеобласты и остеоциты. Между этими клетками есть принципиальная разница:

    То есть, двигаются и размножаются только остеобласты. Остеоцит — это не способная к делению клетка, основная задача которой — продуцировать остеоматрикс, формируя вокруг себя структурную единицу костной ткани, остеон (картинка честно спижжена из какого-то учебника):

    Следовательно, чем «плотнее» костная ткань, чем она тверже и прочнее — тем меньше в ней остеобластов, делящихся клеток, и тем больше в ней остеоцитов, клеток неделящихся. И, чем «плотнее» и «тверже» костная ткань, тем хуже она будет регенерировать, т. е. восстанавливаться после повреждения.

    Четвертое — это то, что костная ткань неравномерна по структуре. У неё есть плотный кортикальный слой, называемый «компактной пластинкой» и рыхлая внутренняя часть, называемая «губчатой костью».

    И, в зависимости от соотношения компактной пластинки и губчатой кости, альвеолярную кость принято делить на биотипы. О них мы говорили много-много раз, например здесь>>, здесь>> и тут>>:

    Так вот, друзья, исходя из того, что мы знаем об остеогенезе и клетках костной ткани, регенерация костной ткани разных биотипов будет различаться. Зная это, мы можем адекватно выбирать метод наращивания костной ткани — и всегда добиваться хорошего результата лечения.

    И, наконец, пятое, что нужно знать о челюстной костной ткани.

    Её убыль — прямое следствие нарушения биологического равновесия, обмена веществ, остеогенеза и остеолизиса и т. д.

    Каким образом происходит нарушение?

    Опять же, я про это писал. Рекомендую почитать>>.

    Любую хирургическую операцию, в том числе удаление зуба, организм воспринимает как травму и реагирует на неё соответствующей реакцией, воспалением.

    Воспаление — это сложный патофизиологический процесс, состоящий из нескольких плавно перетекающих одна-в-другую стадий:

    В ходе воспаления выделяется ряд биологически активных веществ (БАВ) запускающих фагоцитоз, в котором участвуют остеокласты и прочие макрофаги. Они уничтожают всё то, что считают повреждённым (а всё повреждённое маркируется заранее специальными соединениями, антителами).

    Так, запускается процесс остеолизиса — остеокласты жрут костную ткань, она уменьшается в объёме. И было бы всё очень печально, если бы остеокласты не дохли от своего обжорства — погибая, они выделяют целый ряд медиаторов, т. н. Белков Костного Морфогенеза (БКМ) или, на иностранщине, BMP (Bone Morphogenetic Proteins), которые активируют размножение и дифференцировку фибробластов и остеобластов. Иными словами, запускают остеогенез, рост новой кости:

    И вот тут надо сделать пару важных замечаний:

     — основные БАВ, запускающие фагоцитоз (белки цитокинового ряда и т. д.) выделяются во время альтеративной стадии воспаления, которая известна своей бурной симптоматикой. Да, друзья, отёк, боль, повышение температуры травмированного участка — всё это происходит в фазу альтерации.

     — да, мы все боимся выраженной постоперационной (читай, «воспалительной») симптоматики и многое делаем для того, чтобы она была как можно мягче. Но интересный факт — слабо выраженная стадия альтерации не даст нужного количества БАВ для запуска остеокластов, а они, в свою очередь — для регенерации костной ткани. Таким образом, между симптоматикой постоперационного воспалительного процесса и последующей регенерацией существует прямая положительная связь: чем более выражена альтеративная стадия воспаления, тем больше выделится управляющих остеогенезом факторов.

    Фактически, посттравматический воспалительный процесс выводит наше уравнение «остеолизис-остеогенез» из состояния равновесия — из-за повышенной активности жрущих кость клеток, остеолизис перевешивает:

    К счастью, этот процесс длится недолго. Постепенно, все процессы вновь уравновешиваются, скорость и степень остеолизиса почти сравнивается со степенью и скоростью остеогенеза.

    И процесс атрофии замедляется. Если привязать его ко времени и нарисовать график, то получим следующее:

    Проще говоря, наибольшая потеря объемов костной ткани происходит в первые 4-8 недель после удаления зуба. Затем, процесс замедляется — и, взяв промежуток времени от 18 до 24 месяцев после удаления, мы с удивлением отметим, что линейные размеры кости практически не меняются:

    Но, вернёмся к биотипам костной ткани.

    Если существует зависимость между биотипом альвеолярной кости и её регенеративными возможностями (остеогенезом), то, очевидно, есть взаимосвязь между биотипом и скоростью атрофии кости. И вы это неоднократно наблюдали — скажем, если мы видим очень сильно атрофированный альвеолярный гребень, то, как правило, он D1-D2 биотипа, а если форма и объем челюстной кости после потери зубов практически не уменьшаются на протяжение длительного времени, то на 146% D3-D4.

    И это легко объяснить, зная, что костная ткань D3-D4 биотипа лучше кровоснабжается, в ней больше остеобластов, а обменные процессы в ней идут интенсивнее. Значительная и требующая остеопластики атрофия такого альвеолярного гребня возникает редко и, как правило, только в случаях очень-очень-очень травматичного удаления зубов, либо на фоне хронического воспалительного процесса, когда остеокласты и прочие макрофаги активны в течение очень-очень-очень большого промежутка времени.

    А что на практике?

    Знание принципов и закономерностей атрофического процесса, с одной стороны, рвёт шаблон и наше представление об остеопластике, но с другой — предоставляет весьма достоверный прогностический инструмент. С помощью него можно не только предсказать динамику изменения объёмов костной ткани после удаления и имплантации, но и внятно объяснить, в разных клинических условиях работают разные методы наращивания костной ткани.

    Что мы знаем о пациенте?

    Биотип костной ткани — это то, что мы можем определить по компьютерной томограмме еще до удаления зуба.

    Как это использовать?

    Зная взаимосвязь между биотипом и атрофией, можно более-менее достоверно определять показания, к примеру, для превентивной консервации лунки, в том числе, при немедленной имплантации.

    И, по идее, такой внятный анализ и прогноз атрофии применительно к конкретному клиническому случаю должны заменить устоявшийся в современной имплантологии принцип «Все так делают!» или «Нас так учили!».

    Кроме того, мы можем предсказывать степень атрофии и определять, потребуется ли наращивание костной ткани при отсроченной имплантации даже до того, как зубы удалены.

    и, если потребуется, то каким методом это лучше сделать?

    Или, например, мы можем объяснить, почему в одних случаях пересаженный костный блок уходит, а в других — нет?

    Заключение

    Ключевыми причинами атрофических изменений в костной  ткани являются потеря функции (нагрузки) из-за удаления зубов и, как следствие, перестройка микрососудистого русла, нарушение обмена веществ и т. д.

    При этом, «движущая сила» атрофии — это макрофагальная (в т. ч. остеокластическая активность), управляемая рядом биологически активных веществ, образующихся, в основном, в ходе воспалительного процесса.

    В то же время, остеокласты и прочие макрофаги выделяют вещества, управляющие регенерацией, которые в простонародье называются Белками Костного Морфогенеза (БКМ). Последние активируют размножение и дифференцировку остеобластов и фибробластов — и костная ткань начинает расти.

    Уменьшение объёма и линейных размеров костной ткани, в т. ч. после имплантации и остеопластики, будет продолжаться до тех пор, пока процессы остеолизиса и остеогенеза снова не придут в состояние биологического равновесия.

    Быстрая потеря регенерата после наращивания кости, периимплантит или резкая убыль костной ткани вокруг имплантатов, может и должна быть рассмотрена как частный случай атрофического процесса, подчиняющегося тем же самым закономерностям, что и вообще. Иными словами, имеет место быть хроническое воспаление со всеми вытекающими.

    А еще можно сделать ряд прикладных выводов.

    История о том, что «чем больше ждёшь, тем меньше кости останется», мягко говоря, не совсем правдива. Если пациент пришёл через год после удаления зуба с определённым объёмом костной ткани, то не имеет смысла его торопить и пугать атрофией. Всё, что должно было уменьшиться — уже уменьшилось. Не суетитесь. Спокойно делайте остеопластику и проводите имплантацию.

    Немедленная имплантация практически не влияет на скорость и степень атрофии. Именно поэтому в некоторых ситуациях (между прочим, далеко не во всех) при немедленной имплантации нам необходима аугментация лунки с использованием биоматериалов.

    Рекомендации о необходимости ждать по полгода с момента удаления зуба до имплантации не имеют под собой оснований. В ожидании более 4-6 месяцев от операции остеопластики до операции имплантации больше вреда, чем пользы. Почему? Читайте здесь>>

    *  *  *

    Завершая эту, иногда сложную для понимания статью, я хотел бы сделать небольшую ремарку.

    Мы живём в мире готовых решений. Нам не надо готовить борщ (есть Яндекс.Еда), не надо чинить, обслуживать и даже заправлять автомобиль (есть Яндекс.Драйв), не нужно помнить Дни Рождения друзей (есть Фейсбук), не нужно уметь ориентироваться (есть Яндекс.Навигатор). Нам не надо читать книжки, чтобы самостоятельно найти ответы на свои вопросы (есть куча пабликов, где можно задать любой вопрос и получить тысячу ответов). Нам не надо знакомиться с девушками/юношами (есть PornHub).

    Да, что уж говорить — вы пользуетесь Т9 в переписке, выбирая слова, которые предлагает вам компьютер! И вам совершенно не нужно знать, как это всё работает.

    В медицине, в целом, в стоматологии, в частности  — это устойчивый тренд. Все мы ждём, что появится какой-то волшебный метод остеопластики, который будет работать всегда и везде, без осложнений и т. д. И нам всё время пытаются внушить, что вот он, этот метод, он существует. Ты просто повтори его так, как это делает лектор или преподаватель — и всё. А если у тебя возникли проблемы — то лишь от того, что ты неправильно его повторил.

    Вместо этой статьи я мог бы показать вам какой-нибудь красивый клинический случай с фотографиями «было-стало» и минимумом текста.

    Возможно, кто-то из вас восхитился, кого-то стошнило бы от вида расчленёнки — но какую пользу вам принесла бы подобная публикация? Ну знали бы вы, что мы в CLINIC IN умеем делать остеопластические операции с красивым результатом — так все это и так знают!

    Нет, друзья, иногда я вынужден рассказывать о малопонятных и скучных, на первый взгляд, вещах, которые, однако, важны для понимания принципов наращивания костной ткани, представления о том, что происходит с вами после хирургической операции и откуда берутся осложнения, необходимы для правильного планирования и прогнозирования стоматологической реабилитации с использованием дентальных имплантатов. Очень надеюсь, что я на верном пути.

    Ведь, чем больше вы знаете — тем лучше для всех.

    CLINIC IN вам в этом поможет.

    Спасибо, что дочитали до конца.

    С уважением, Станислав Васильев, имплантолог CLINIC IN.

    Что еще почитать об имплантации и наращивании костной ткани в CLINIC IN?
    Имплантация зубов в CLINIC IN
    Стоимость имплантации зубов в CLINIC IN
    Хирургия полости рта и хирургическая стоматология в CLINIC IN
    Стоимость хирургических операций, в т. ч. наращивания костной ткани в CLINIC IN
    Наращивание костной ткани перед имплантацией — что нужно знать об этом пациентам? Часть I, Часть II, Часть III
    Теория остеопластики:блоки, стружка, биоматериалы и остеогенез
    Рекомендации по установке имплантатов. Для всех. Часть I, Часть II, Часть III, Часть IV, Часть V, Часть VI, Часть VII
    Что происходит с пациентом после хирургической операции?
    Куда уходит костный блок?
    Сколько нужно ждать после наращивания костной ткани? И когда можно проводить имплантацию?
    О выборе метода наращивания костной ткани и неудачных результатах
    Вы планируете имплантацию зубов. Что нужно знать об этом еще до консультации имплантолога?
    Консультация имплантолога
    … и много-много всего по тегам «остеопластика» и «имплантация» на сайтах clinicin.ru и
  • IN Golf We Trust — Кубок Капитанов в Links National Golf Club

    IN Golf We Trust — Кубок Капитанов в Links National Golf Club

    Что общего между гольфом и стоматологией? По факту — ничего. Вообще ничего, до тех пор, пока тебе не попали клюшкой по зубам.

    Между тем, гольф — это не просто вид спорта, пусть и олимпийский.

    Это целая культура, стиль, образ жизни, мировоззрение и особое отношение к окружающему.

    И вот здесь удивительно много общего между философией нашего стоматологического центра CLINIC IN и тем, что мы подразумеваем под ёмким словом «гольф-этикет».

    *  *  *

    Гольф: весьма сложная игра, требующая постоянных тренировок и обучения. Даже для хороших гольфистов брать уроки у гольф-профессионалов — в порядке вещей.

    CLINIC IN: наши сотрудники, несмотря на свою высокую квалификацию, постоянно учатся. Для того, чтобы предложить своим пациентам всё самое лучшее, что есть в современной стоматологии.

    *  *  *

    Гольф: нужен специальный спортивный инвентарь, который иногда стоит немаленьких денег. Но даже самые крутые клюшки для гольфа не сделают тебя суперпрофессионалом — учиться играть всё равно придётся.

    CLINIC IN: самое крутое и современное стоматологическое оборудование помогает нам справляться даже с самыми сложными клиническими случаями. Однако, оно не подменяет знаний, опыта и квалификации, столь необходимых для нормальной стоматологической практики.

    *  *  *

    Гольф: репутация гольфиста — это больше, чем просто уважение к себе, клубу и окружающим. Во время турнира редко присутствует арбитр или рефери, поэтому во многом, гольф — это игра на честность — гольфисты сами ищут свои мячи, сами ведут счёт, помогают делать это своим партнёрам по флайту. С гольфическими жуликами никто не будет играть в одной команде, им закрыт доступ в приличные клубы и на приличные турниры.

    CLINIC IN: репутация нашей клиники — это сумма репутаций каждого из наших сотрудников. Это самое дорогое и ценное, что у нас есть. У всех наших специалистов безупречная биография, проверенные опыт и знания, подтверждённая компетенция. Каждый из них прошёл довольно жёсткий отбор, выдержал серьёзное испытание и, если он работает у нас — значит, ему можно доверять. Случайных людей у нас нет и быть не может.

    *  *  *

    Гольф: не бывает «неважных» ударов, даже короткий самый короткий патт отнюдь не является простым.

    CLINIC IN: каждый человек уникален, а потому требует особого отношения и индивидуального подхода. Наша работа — не конвейер и не рутина, к каждой стоматологической манипуляции мы подходим с чувством, с толком, с расстановкой: правильное планирование плюс безупречное исполнение.

    *  *  *

    Гольф: определённые правила поведения во время игры позволяют всем чувствовать себя комфортно и сохранять поле в идеальном состоянии.

    CLINIC IN: мы работаем по правилам, благодаря которым достигаем отличных результатов с максимальными показателями комфорта и безопасности для наших пациентов. И конечно, несмотря на имплантологическую специализацию, мы ставим в приоритет сохранение ваших зубов.

    *  *  *

    Пожалуй, я могу назвать еще много общего между тем, как мы работаем и тем, что вы подразумеваете под гольф-мировоззрением. Один лишь факт:

     — большинство наших сотрудников играют в гольф

    и уж точно все, начиная с шефа и, заканчивая всеми помощниками, знают правила гольфа и гольф-этикет.

    Про наш ежемесячный турнир про минигольфу известно уже всем>>

    И про скидки, привязанные к гандикапу, подтверждённому АГР.

    Поэтому участие в организации и спонсирование гольф-турнира было для нас лишь вопросом времени.

    И вот, мои друзья, позвольте вам представить

    Кубок Капитанов Links National Golf:

    в котором наш стоматологический центр CLINIC IN принимает самое активное участие. И специально для вас мы приготовили призы в особо близких нам номинациях:

    Longest Putt

    Место действиядевятая лунка, грин.

    Задача — закатить самый длинный патт в истории гольфа. Желательно, прямо с ти-бокса. Желательно, паттером Kramski.

    Приз — сертификат длиной в 20 тысяч рублей, который можно использовать для полной или частичной оплаты лечения в стоматологическом центре CLINIC IN.

    Hole In One

    Место действия — пока держится в секрете. Но это точно в клубе Links National Golf.

    Задача — попасть в лунку прямо с ти-бокса, одним ударом.

    Приз, — и вот такого еще никогда не было, — сертификат на пожизненное бесплатное лечение в нашем стоматологическом центре. Всё, что вы пожелаете сделать со своими зубами, от профилактической чистки до сложной имплантации и эстетического протезирования, можно реализовать, не затратив на это ни копейки. Просто попадите мячом в лунку с расстояния в 150-200 метров — для вас ведь это пустяк, верно?

    Должен заметить, что приз получает тот, кто сделает hole-in-one первым. Второй — в пролёте.

    Найди мячик с логотипом CLINIC IN

    На гольф-поле Links National Golf Club уже валяется некоторое количество мячей с нашим логотипом.

    Если вы нашли такой мяч — срочно несите к нам в клинику, и вы гарантированно получите скидку 15% на любые виды стоматологических услуг.

    Другими словами, турнир обещает быть очень интересным. И, как говорят Капитаны:

    ТАК В LINKS ВЫ ЕЩЕ НЕ ИГРАЛИ!

    от себя добавлю:

    И ТАКИХ ПРИЗОВ ЕЩЕ НЕ ВИДЕЛИ))))

    Хорошей игры всем!

    С уважением, Станислав Васильев, шеф CLINIC IN.

  • Хорошие новости ОКТЯБРЯ

    Хорошие новости ОКТЯБРЯ

    Так, ни на одном из стоматологических сайтов вы никогда не узнаете, что именно сегодня, второго октября отмечается Международный День Ненасилия, в странах СНГ — День Профтехобразования, а в Финляндии — День Сельди. Как обычно, мы в CLINIC IN предлагаем объединить все эти праздники в один, назвав его

    День Ненасилия над Профтехобразованной Сельдью.

    И охват будет больше, и экономно отметить получится.

    А теперь о серьёзном, а именно — о хороших новостях в CLINIC IN.

    О графике работы

    Как и всегда, мы ждём всех в гости с 9-00 до 21-00. Без перерывов и выходных. Адрес тот же. Записаться на приём можно, позвонив по телефону +7 495 222 24 20, написав нам письмо, сообщение в любой из социальных сетей или заполнив специальную форму на нашем сайте.

    Правда, Станислав Матлаев уехал в отпуск до 5 октября:

    но обещал вернуться. Если вы планируете лечение у Станислава, имейте это ввиду и записывайтесь заранее.

    Остальные доктора на месте, с удовольствием примут вас и ваших друзей в удобное для вас время.

    О ценах

    Обычно дважды в год мы проводим коррекцию прейскуранта, приводя его в соответствие с макроэкономической обстановкой, курсом валют, соотношением спроса и предложения, ценовой политикой наших партнёров и т. д.

    И, поскольку с марта (последней коррекции) до сегодняшнего дня в экономическом плане ничего не поменялось, а Путин всё еще Президент, мы приняли решение ничего не менять. Иными словами,

    цены на лечение и имплантацию в CLINIC IN не меняются.

    Несмотря на то, что некоторые из наших партнёров цены на свои услуги и продукцию подняли.

    Разумеется, все индивидуальные скидки, предоставленные нашим друзьям действуют.

    Комментарий шефа. Помнится, когда-то доктор Андрей Дашков подошёл ко мне с просьбой сделать красивый жест и немного снизить цены для его друзей.

    И вот, в какой-то момент друзей у Дашкова стало слишком уж много, и я подумываю о том, не вернуть ли всё как было. Поэтому всем, кто еще не записался к Андрею в друзья и не побывал у него на консультации или удалении восьмёрок или имплантации — рекомендую срочно это сделать. Условия для этого сейчас более, чем благоприятные.

    Об исправлении прикуса

    Мы в CLINIC IN свято верим, что профилактика — это лучшее лечение, а знания — это сила. Поэтому раз в месяц мы проводим научно-популярный семинар посвящённый какой-то стоматологической теме, куда приглашаем всех желающих и интересующихся.

    А еще мы не могли не заметить, что с увеличением объема информации, её качество резко падает, а достоверность начинает вызывать сомнения. И нигде это не проявляется так, как в ортодонтии — про исправление прикуса, с брекетами и без, гуляет огромное количество сплетен, мифов и легенд.

    Поэтому мы попросили нашего ортодонта Анну Сотникову, выдающегося, между прочим, специалиста и просто хорошего человека, рассказать всем желающим об исправлении прикуса, опровергнуть или подтвердить ортодонтические сказки, гуляющие как среди обычных людей, так и среди докторов.

    Итак,

    26 октября, в 19-00 мы приглашаем всех интересующихся исправлением прикуса на семинар, который проведёт для вас один из лучших ортодонтов Москвы. Подробный анонс будет чуть позже, но уже сейчас можно записываться по телефону +7 495 222 24 20, электронной почте info@clinicin.ru, через сайт или страницы в социальных сетях.

    О гольфе

    Продолжается наш ежемесячный турнир по минигольфу, но сентябрь прошёл весьма скучно. То ли устали все, то ли забыли, что каждый месяц мы дарим 10 000 рублей — а для этого всего лишь нужно забить как можно больше мячей подряд и, при этом, быть пациентом нашей клиники, т. е. иметь оформленную амбулаторную карту и договор.

    Поэтому в сентябре победителем нашего соревнования по минигольфу IN Golf We Trust стал Никита С., который, кстати, просто заглянул к нам в клинику на консультацию. Он получит 10 000 рублей на счёт, которые сможет потратить по своему усмотрению. Например, на процедуру профессиональной гигиены полости рта.

    Правила турнира можно почитать здесь>>

    Но это еще не всё.

    Впервые, наш стоматологический центр принял участие в организации очень крутого турнира по гольфу «Кубок Капитанов»

     

    который пройдёт в гольфклубе Links National Golf Club

    4 октября 2019 года

    И, чтобы турнир был как можно более интересным, мы приготовили несколько крутых номинаций.

    Longest Putt

    Девятая лунка, пар 5.

    Задача — попасть в лунку мячом с самой большой дистанции. Например, прямо от края грина?

    Самый меткий гольфист получит сертификат длиной в 20 000 рублей, который можно будет использовать для полной или частичной оплаты лечения в нашем стоматологическом центре.

    Существует +100500 вариантов, как можно его потратить, ибо в нашей клинике работают доктора с докторским гандикапом  — 3.0, а диапазон предлагаемых нами стоматологических услуг гораздо шире, чем самый широкий фейрвей в Завидово PGA.

    Hole-In-One

    Лунка, на которой будет разыгрываться данная номинация, пока остаётся в секрете.

    Задача — попасть одним ударом с ти-бокса в лунку.

    И, поскольку это, практически нереально, и является лишь вопросом везения, мы приготовили суперприз — сертификат на пожизненное бесплатное лечение в нашей клинике:

    То есть, чтобы привести свои зубки в порядок и поддерживать его на протяжении всей жизни, вообще не тратя на это денег, вам достаточно всего лишь закатить мячик в лунку с расстояния, примерно, 150-200 метров. Ерунда, в общем:

    Да, стоит добавить, что сертификат получит тот, кто сделает hole-in-one первым на пока еще секретной лунке. Второй — в пролёте.

    О Северной Корее

    Недавно профессор Ferkel Von Pfennig вернулся из учебной поездки в Северную Корею, где перенимал передовой опыт управления клиникой, государством и миром. В благодарность за хорошую учёбу, наши корейские друзья снабдили профессора учебными пособиями, фотоальбомами, почтовыми марками и даже бутылкой элитного северокорейского алкоголя. Теперь в нашем стоматологическом центре вы можете ознакомиться с экспозицией, посвящённой этой удивительной стране.

    Экспозиция работает ежедневно, с 9-00 до 21-00. Вход свободный.

    Спроси доктора!

    Завершает подборку ежемесячных новостей традиционный раздел: «Спроси доктора!». Напомним, в комментариях к этой статье вы можете задать любой вопрос любому из наших докторов. И, соответственно, рассчитывать на компетентный и развёрнутый ответ.

    Например, недавно нам написала Евгения:

    Уважаемый доктор, я планирую установить брекеты, и врач-ортодонт направил меня на удаление зубов мудрости. Я была на консультации у нескольких специалистов в нашем городе, все говорят, что зубы мудрости удалять нужно только в стационаре, под общим наркозом. А я боюсь наркоза. Скажите, можно ли проходить ортодонтию без удаления зубов мудрости?

    Отвечает стоматолог-ортодонт Анна Сотникова:

    «Уважаемая Евгения, спасибо за ваш вопрос. Всё зависит от того, в каком положении и на какой стадии прорезывания находятся зубы мудрости. Нередко, именно они являются причиной нарушения прикуса, поскольку «сталкивают» зубы вперёд — и да, в таких случаях их нужно удалять, желательно до ортодонтического лечения. До даже полностью прорезавшиеся и сформированные зубы мудрости могут быть проблемой при исправлении прикуса и, если ваш ортодонт рекомендует их удалить — лучше это сделать. В противном случае, возможно либо затягивание ортодонтического лечения, либо последующий рецидив — перемещение зубов после исправления прикуса на свои исходные позиции.

    Что же касается сложности и необходимости стационара с наркозом для удаления зубов мудрости, то по этому поводу есть отличная статья нашего доктора Андрея Дашкова, посвящённая этой теме. Очень рекомендую почитать.»

    Отвечает стоматолог-хирург Андрей Дашков:

    «Уважаемая Евгения, от обратившихся к нам пациентов мы часто слышим, что их направляют в стационар ЧЛХ для удаления зубов мудрости под общим наркозом. Но, к счастью, они приходят в нашу клинику, где удаление даже очень сложных восьмёрок занимает, от силы, 20 минут, проводится под местной анестезией в очень комфортных условиях, без осложнений и каких-либо проблем. Поэтому позвольте пригласить вас к нам — и вы убедитесь на собственном опыте, насколько это простая, быстрая и безболезненная процедура. О том, как мы это делаем, можно почитать в моих статьях на этом сайте. Спасибо вам за вопрос!»

    А о чём вы хотите спросить доктора? Спрашивайте прямо в комментариях к этой статье.

    Желаем вам хорошего октября!

    С уважением, CLINIC IN.

  • Нормальный зуб же! Зачем его лечить? О диагностике, самодиагностике и профилактических осмотрах

    Нормальный зуб же! Зачем его лечить? О диагностике, самодиагностике и профилактических осмотрах

    Уважаемые друзья, давеча в нашем уютном стоматологическом центре CLINIC IN прошёл семинар Марии Ярадайкиной, посвящённый диагностике, лечению и профилактике скрытого кариеса. Самого коварного из всех кариесов, между прочим.

    Спасибо всем, кто нашёл время и пришёл послушать умных людей. Уверен, небольшая лекция отлично мотивировала всех более внимательно относиться к гигиене полости рта и, в очередной раз напомнила, что посещение стоматолога 1-2 раза в год — это тоже часть профилактики стоматологических заболеваний. Впрочем, об этом мы уже неоднократно рассказывали. Например, здесь>>  и тут>>.

    Лично для меня лекция Марии стало отличным поводом в очередной раз задуматься о диагностике и самодиагностике стоматологических заболеваний. Об их единстве и противоречиях. И я очень хочу поделиться с вами своими размышлениями.

    Не секрет, что мы живём во времена информационного бума, когда получение знаний и сведений по любой теме не является такой уж проблемой. Набрав в поисковой строке вашего браузера фразу «диагностика и лечение кариеса», вы получите объём информации намного больший, чем, к примеру, получали студенты, изучая стоматологию лет тридцать назад.

    При должном желании, можно научиться распознавать симптомы кариеса, даже научиться его лечить — и, с одной стороны, это прекрасно, — ведь знания никогда не бывают лишними, а понимание причин и осложнений кариозного процесса мотивирует вас на более тщательный уход за собственными зубами.

    С другой стороны, иногда это создаёт иллюзию всезнания, всемогущества и всеопытности, квинтэссенцией которых является фраза:

    «Доктор, я лучше вас знаю, что и как мне лечить, я про это в интернете прочитал(а)».

    ну, или что-то в этом роде.

    Однако, судите сами. Казалось бы, благодаря интернету и современным цифровым технологиям, информация стала гораздо более доступной, а обучение и накопление знаний должны, вроде как, упроститься и ускориться. Но, по факту, мы наблюдаем иную картину — пяти лет для изучения стоматологии явно недостаточно, и доктора вынуждены учиться всю жизнь, ежегодно тратя огромные средства на последипломное образование. Зачем вообще это нужно, если вы научились лечить зубы за 15 минут, после прочтения статьи в Википедии?

    То, насколько мы упрощаем и «всё знаем», когда речь идёт о стоматологии, наглядно демонстрируют наши обывательские привычки.

    Так, направляясь к стоматологу, мы, как правило, идём уже с готовым диагнозом и планом лечения:

    — Иду к стоматологу поставить пломбу

    — Иду к стоматологу поставить имплантат

    — Иду к стоматологу наклеить брекеты

     — Иду к стоматологу поставить коронку

    А нужен ли имплантат, можно обойтись только лишь пломбой, исправляется ли прикус брекетами — это даже не второй вопрос. Естественно, когда после правильно проведённой диагностики выясняется, что перед имплантацией нужно нарастить костную ткань, вместо пломбы лучше поставить коронку, а брекеты являются лишь плана по исправлению прикуса, — возникает диссонанс, непонимание и ощущение того, что «тебя разводят».

    Кстати, обратите внимание, что с врачами других специальностей мы ведём себя иначе. Например, при болях в животе никто не приходит к хирургу и не говорит:

     — Я пришёл удалить аппендикс

    или

    — Доктор, сделайте мне холецистэктомию

    или

     — Нейрохирург, поставьте мне новый мозг

    Наоборот, мы идём к доктору с вопросом: «Что со мной?», просим провести обследование, поставить диагноз и назначить лечение. Желательно, нехирургическое. Никто, совершенно никто не начинает спорить с хирургом: «Перитонит? Да вы меня разводите! У меня флегмонозный аппендицит, максимум!». Дебильное сравнение, но, всё же, очень показательное.

    С одной стороны, знать больше о собственном здоровье и уметь проводить элементарную самодиагностику — это замечательно. Это прекрасно.

    С другой, отсутствие специальных методик «углубленной» диагностики типа рентгенографии или КЛКТ, неумение интерпретировать симптомы и связывать их с объективными данными — причина большинства «самодиагностических» заблуждений. «У меня всё в порядке, мне никуда не надо.» Что-то вроде этого:

    Поэтому, дорогие друзья, первая причина обращения к стоматологу — это диагностика. Правильная диагностика. Современная диагностика.

    Судите сами, каждые 10-15 тысяч пробега вы гоните машину в автосервис на ТО. Понимая, что если не приедете вовремя и что-то сломается — в лучшем случае, слетаете с гарантии, в худшем — оказываетесь в безлюдном месте на автомобиле с отвалившимися колёсами и севшим аккумулятором.

    Почему мы не воспитали такого же отношения к себе любимым? Гарантия — может быть, фиг с ней, за два года с открытия клиники мы по гарантии переделали, буквально 2-3 работы, включая хирургические.

    Но, согласитесь, пипец, как неприятно, когда в Таиланде, за два дня до свадьбы вашего лучшего друга, у вас вдруг слетает мостовидный протез с передних зубов, который стоял там 20 лет и, вроде как, не беспокоил, его тут же хватает морская черепаха и уносится с ним вдаль, в сторону Австралии. И фсё, песдетс свадьбе, папайя портится, трансвеститы расходятся. Да, согласен, сценарий бредовый — но почему-то самые бредовые сценарии чаще всего воплощаются в жизни.

    Записаться. Обследоваться. Спокойно жить дальше.

    Уважаемые друзья, мы специально сделали профилактические осмотры бесплатными для наших пациентов, а еще в два раза снизили стоимость рентгенодиагностики (компьютерной томографии и ортопантомографии), которые могут потребоваться для детальной оценки клинической ситуации во время планового профилактического осмотра.

    Причём, это не разовая акция. Это устоявшееся правило, распространяющееся на всех наших пациентов. А наши пациенты — это не только те, кто уже побывал в нашей уютной клинике. Наши пациенты, наши друзья — это все, кого когда-то мы лечили, будь то в «Немецком Имплантологическом Центре»,  «Канадской Стоматологии» или где-то еще. Мы всем рады и всех ждём в гости.

    Поэтому, дабы не гнаться потом за уплывающей вдаль черепахой, найдите время, хотя бы полчасика, загляните на профилактический осмотр. Особенно, если вы не были у стоматолога, больше, чем несколько лет. Особенно, если вас ничего не беспокоит.

    Максимум, на что, возможно, придётся потратиться — это на диагностические снимки по специальному прейскуранту. И, возможно, на гигиену полости рта, если она потребуется.

    Всё.

    Если вы лечились в нашем стоматологическом центре, и результат вашего лечения соответствует принятым у нас заветам Нового Солнца Чучхе, а именно:

    РАЗ И НАВСЕГДА!

    то можно спокойно жить дальше, не забывая ежедневно чистить зубы утром и вечером.

    А если во время профилактического осмотра, после проведённой диагностики, вдруг найдутся какие-то зубные проблемы, то вам следует почитать это:

    Гигиена и профилактика стоматологических заболеваний — что нужно об этом знать?
    Вы планируете консультацию в CLINIC IN
    Профилактические осмотры и наблюдение в CLINIC IN
    Стоимость лечения и стоимость профессиональной гигиены в нашем стоматологическом центре
    Профилактические осмотры в деньгах и графиках
    Японские учёные разработали новейшую зубную пасту…
    Снова про зубные щётки
    Боль — худший из мотиваторов
    Доктор, какую зубную пасту мне выбрать?
    Профилактическая медицина
    Гигиена полости рта — мой взгляд на этот вопрос
    Почему выпадают пломбы?
    Опухоли, родинки и новообразования. Что нужно знать о них?
    Почему стоматолог рассверлил мой зуб?
    Кальций и его роль в организме.
    Причинно-следственные связи
    Почему нужно удалять зубы мудрости и не ждать, когда они создадут проблемы?
    Отдалённые результаты имплантации и профилактические осмотры

    Желаю всем крепкого здоровья!

    С уважением, Станислав Васильев, шеф стоматологического центра CLINIC IN.

  • ДенталЭкспо, 24 сентября, 11-00, стенд SIMKO «СОХРАНЕНИЕ И ФОРМИРОВАНИЕ ДЕСНЕВОГО КОНТУРА: возможные решения»

    ДенталЭкспо, 24 сентября, 11-00, стенд SIMKO «СОХРАНЕНИЕ И ФОРМИРОВАНИЕ ДЕСНЕВОГО КОНТУРА: возможные решения»

    Уважаемые друзья, я много раз рассказывал вам про имплантацию и имплантаты. В частности, на этом сайте есть целый цикл статей, посвящённый рекомендациям по установке имплантатов:

    Часть I — о том, от чего зависит качество имплантологического лечения. Особенно рекомендована пациентам. И тем, кто думает, что немецкие имплантаты лучше корейских. И наоборот.

    Часть II — критерии выбора имплантационной системы для хирургической практики. Что на самом деле важно, если речь идёт о покупке имплантационной системы? И на что можно забить?

    Часть III — микро- и макродизайн имплантационной системы. Вообще, чем имплантаты разных марок отличаются между собой?

    Часть IV — хирургический протокол — формальность или правило? Нужно ли его соблюдать? И что будет, если не соблюдать?

    Часть V — самая важная. Ибо про позиционирование имплантатов. Напомню, что наибольшее количество косяков и ошибок имплантации — это ошибки подбора и позиционирования имплантата.

    Часть VI. Установка имплантата Astra Tech. С учётом предыдущих, это довольно примитивная статья, посвященная мануалу установки имплантата системы Astra Tech Osseospeed TX. Полезная штука для тех, кто считает, что круче Astra Tech  ничего нет, ибо прекрасно разочаровывает.

    Часть VII. Установка имплантата Xive. Без комментариев)).

    При всём разнообразии информации, посвящённой имплантатам и имплантологическому лечению, вопрос формирования и сохранения десневого контура освещён довольно скудно. Причём, не только с имплантационной системой Xive, но и вообще.

    В 2016-2017 годах, используя различные компоненты для формирования десны из имплантационной системы Xive, мы провели любопытное исследование, которое показало всю противоречивость современных подходов к мукогингивопластике, особенно при немедленной имплантации. Поэтому поводу, я даже делал доклад на русском преконгрессе в Ницце, но из-за дефицита времени его сильно порезали и он получился очень унылым (хотя, на общем фоне унылости никто этого не заметил).

    И действительно, полтора года работы и полторы сотни пациентов затолкать в какие-то 20 минут — этого явно недостаточно, если мы хотим хотя бы вскользь прокатиться по обсуждаемой теме.

    Поэтому какое-то время назад я даже думал о том, чтобы пригласить всех интересующихся к нам в клинику, показать и рассказать о том, правильно отформировать десневой контур при имплантации, при этом, не кромсая пациента на лоскуты.

    И вот, у меня появилась такая возможность.

    Компания «Симко» оказала мне большую честь и предложила выступить на их стенде в рамках выставки ДенталЭкспо.

    Первоначально, я хотел рассказать вам про Geistlich Biomaterials и будущее биоматериалов, но потом подумал: «Какого хрена?». В конце концов, про Bio-Oss, Bio-Gide и Mucograft вы можете узнать на RegenerationDay, про черты будущего я уже писал, а про формирование десны и формирователи — нет.

    Поэтому, пока есть возможность и пока меня отовсюду не выгнали, я расскажу вам про

    ФОРМИРОВАНИЕ И СОХРАНЕНИЕ ДЕСНЕВОГО КОНТУРА: стандартные и расширенные решения на примере имплантационной системы Xive

    А точнее, я покажу вам, как сделать такое:

       

    без геморроя и лишнего травматизма.

    Или о том, как при немедленной имплантации можно обойтись без ССТ или СДТ:

        

    Итак, уважаемые друзья,

    я жду всех интересующихся на стенде группы компаний «СИМКО» (Павильон 2 Зал 8 стенд В7)

    24 сентября в 11-00.

    Приходите, будет очень интересно.

    С уважением, Станислав Васильев.

  • Дело нижегородских сосудистых хирургов — посадить нельзя отпустить

    Дело нижегородских сосудистых хирургов — посадить нельзя отпустить

    Уважаемые друзья и коллеги, вы наверняка уже в курсе громкого дела, которое шьют нижегородским сосудистым хирургам. По этому поводу уже вторую неделю бурлит медицинский интернет и не только, почитать подробности можно, к примеру, здесь>> или тут>>. Да и вообще, все социальные сети забиты этой историей, а на известном сайте change.org существует петиция «Руки прочь от докторов!!!!», под которой подписались уже много тысяч человек.

    Вкратце, история такая. В больницу обратился пациент, которому потребовалась операция по стентированию (расширению) сосудов ног. Она проводится с помощью т. н. «стента» — это такой трубчатый металлический (и не только) каркас с памятью формы, его устанавливают в просвет сосуда, где он, расширяясь, увеличивает его просвет — так восстанавливают кровоснабжение и возвращают к жизни части тела и органы, в т. ч. сердце.

    В общем, ничего волшебного или уникального в этой операции нет — ежегодно их делают тысячами не только за границей, но и в нашей стране. Скажу даже больше — подобные хирургические вмешательства входят в программу госгарантий и оплачиваются по ОМС, что еще раз говорит о заурядности таких операций.

    Так вот, в нижегородской больнице, куда пациент обратился за помощью, стентов в наличии не оказалось. Типа, нету — и всё на этом. Поэтому хирурги, Максим Кудыкин и Андрей Васягин, предложили пациенту купить нужный для операции биоматериал в какой-то коммерческой конторе. Что он и сделал. Для этого, если верить пациенту, потребовался кредит, который он выплачивает до сих пор.

    Хирурги провели операцию. Установили купленный пациентом в какой-то коммерческой конторе стент.

    Информация о последующих событиях, как минимум, противоречива. Одни СМИ пишут, что «хирурги провели уникальную операцию и спасли пациенту нижние конечности, а он, тварь неблагодарная, написал на них заяву». Другие СМИ, наоборот, рассказывают о том, что «операция прошла с осложнениями, и ногу (ноги?) пациенту всё же пришлось ампутировать. Правильно сделал, что написал». Но не суть. Хирургов, проводивших операцию, обвинили в мошенничестве, завели уголовное дело и посадили в СИЗО.

    И теперь вся медицинская общественность крайне озабочена и взволнована, все сочувствующие пишут петиции, поручительства, социальные сети полны комментариев и публикаций, типа «Сажают лучших!», «Они ни в чём не виноваты!», «Тридцать седьмой возвращается!» и т. д.

    Подчеркну еще раз, уголовное дело заведено по статье 159 УК РФ «Мошенничество», именно по ней доктора отправились в СИЗО — это важно. Иными словами, речь идёт об обмане и злоупотреблении доверием с целью наживы, а не о врачебной ошибке.

    Друзья, я хочу рассказать вам две истории. Из моей прошлой жизни. И, я надеюсь, вы поймёте, почему это происшествие не оставило меня равнодушным.

    История #1.

    В 1999 году я учился на третьем курсе Башкирского Государственного Медицинского Университета в Уфе, снимал квартиру вместе со своим одноклассником где-то в районе Зелёной Рощи. Однажды вечером, прямо перед ужином, Спартак (так звали моего одноклассника) вдруг побледнел, схватился за живот и упал на пол, корчась от боли. Через минуту его вырвало тёмной кровью. Я вызвал скорую, Спартаку поставили диагноз «прободная язва желудка» и срочно госпитализировали в одну из городских больниц. Я поехал вместе с ним, подготовил его к операции, дождался перевода в реанимацию и т. д. Ушёл домой только под утро. На следующий день, после учёбы, я поехал его проведать и поговорить  с лечащим доктором.

    Врач сказал, что дела плохи, моему однокласснику требуются кое-какие лекарства, которых в больнице, разумеется, нет. И кровь. Много крови. С кровью проблем не было — мои однокурсники, будущие стоматологи, с готовностью откликнулись, — и мы дружно пошли сдавать кровь для Спартака.

    А вот с лекарствами…. доктор дал мне направление в аптеку, где нужно было купить необходимые медикаменты. Одним из лекарств значился Цефазолин который пришлось купить, внимание, по 50 рублей(!!!) за флакон (напомню, что стипендия отличника тогда была где-то в районе 200-250 рублей).

    Для лечения Спартака требовалось 20 флаконов Цефазолина, а это 1000 рублей, — нереальные для меня тогдашнего деньги, ибо мы и так жили, периодически голодая. Несмотря на собственное бедственное положение, я отдал всё, что у меня было — лишь бы с однокурсником всё было в порядке. К счастью, он поправился, правда, год учёбы пропустил.

    Уже потом, став доктором, я узнал, что Цефазолин — один из самых дешёвых антибиотиков на рынке. Даже сейчас, через 20 лет после этой истории, его стоимость в интернет-аптеках редко превышает 30 рублей за флакон… Если бы эта история произошла сегодня, то флакон Цефазолина, купленный по направлению от доктора, обошёлся бы мне в 411 рублей, а 20 флаконов — в 8220 рублей. Неплохо так, согласны?

    История #2.

    Прошло время, я закончил медицинский университет и стал доктором, стоматологом и челюстно-лицевым хирургом городской больницы.

    Первый год работы моя зарплата составляла 1680 рублей (при прожиточном минимуме в 2690 рублей на тот момент). Правда, через несколько лет она выросла и вплоть до моего отъезда в Москву в 2008 году она составляла, в среднем 6-7 тыщ рублей в месяц, при работе на две ставки и с дежурствами. Иногда, когда я замещал заведующего отделением, она вырастала до 10 тысяч рублей в месяц — и я очень радовался таким ОГРОМНЫМ деньгам.

    Для того, чтобы доктора не умерли с голоду, в больнице, разумеется, неофициально, существовали всякие дикие схемы вытаскивания денег из пациентов. Брать взятки или просто деньги «за оказание услуг мимо кассы» было боязно и уголовно наказуемо, ибо начальство и прокуратура, а «коммерческих» и «страховых» пациентов в государственной клинике было мало и доставались они, сами понимаете, кому.

    Поэтому практика сотрудничества с определёнными фирмами, занимавшимися продажей биоматериалов, лекарств и т. д. считалась относительно честным, простым и безопасным способом дополнительного заработка. Происходило это следующим образом.

    Например, случилась беда и вы, не дай Б-г, сломали челюсть.

    Вам требуется операция остеосинтеза. Для этого нужна титановая пластина и титановые винты, которыми вам скрепят отломки челюсти.

    Я, доктор на двойной ставке с зарплатой в 6 тыщ рублей (а на дворе, допустим, 2007 год с прожиточным минимумом 4 тыщи рублей) с серым от усталости лицом и красными от недосыпа глазами , говорю, что вам поможет только остеосинтез, а для него необходимы титановые пластины и винты, которых, разумеется, в нашей больнице нет. Но ничего страшного, вот вам направление в фирму, съездите и купите. Да, штука дорогая, но без пластин нельзя, иначе плохо всё будет-с…

    И вот, вы едете в контору, покупаете пластину для остеосинтеза и винты за 6 000 рублей (в ценах 2007 года). При том, что сейчас, в 2019 году она стоит, максимум, две тысячи рублей, а тогда стоила, примерно, в два раза дешевле.

    Для сравнения, если бы эта история произошла сейчас, то минипластина для остеосинтеза по моему направлению обошлась бы вам в 41 185 рублей.

    Причём, вы не можете купить её без направления, в другой фирме, нигде, даже в интернете, вы не найдёте её реальной стоимости. Догадываетесь, почему?

    С заплаченных вами за минипластину и винты шести тысяч, я получил бы три. Два пациента с переломами челюсти — и, в принципе, вот она, моя месячная зарплата.

    Справедливо ли это по отношению к пациентам? Вспоминая первую историю, я могу дать однозначный ответ — это ужасно несправедливо. Это песдетс, дорогая редакция.

    Мне очень стыдно за этот период моей жизни, но именно эти откаты «с продаж» не давали мне и многим моим коллегам скатиться совсем уж в нищету. Фактически, мы делали то, за что сейчас в СИЗО сидят Кудыкин и Васягин. Но для меня тогдашнего, для таких же докторов, каким был я когда-то — это просто вопрос выживания. Ибо прокормить семью на то, что платили тогда в больничках, было невозможно — я, будучи доктором, даже получал пособие как малоимущий.

    Поэтому, даже если больничный склад был под завязку забит всякими стентами и титановыми пластинами, даже если у больничных лекарств выходил срок годности, нам было проще и выгоднее списать и выкинуть это всё на помойку, чем использовать в вашем лечении. Иначе нам всем пришлось бы жить на одну зарплату — те самые 6-7 тысяч рублей в месяц.

    *   *   *

    Мне одинаково тяжело вспоминать обе эти истории. Еще тяжелее вам их рассказывать.

    Первую — потому что я тогда остался совсем без средств и некоторое время, фактически, бомжевал из-за какого-то врача-хапуги. Это было крайне тяжёлое время.

    Вторую — потому что сам был врачом-хапугой и, возможно, также оставил кого-то без последних денег. А, возможно кто-то, чтобы оплатить копеечные минипластины и вылечить свой перелом, продал обручальное кольцо, взял кредит, который потом долго отдавал, но не отдал — и за это злые коллекторы под дверь ему насрали. Этому нет никакого оправдания.

    Увы, но мир отнюдь не чёрно-белый, в нём нет абсолютного зла и абсолютного добра. Иногда герои совершают плохие поступки, а злодеи — хорошие. Иногда то, что кажется катастрофой, на деле приводит к позитивным изменениям, и наоборот, хорошие события приводят к плохим последствиям. Наша жизнь устроена слишком сложно, чтобы делать однозначные выводы о тех или иных событиях, историях и происшествиях.

    Я не осуждаю своих коллег, возможно, выдающихся сосудистых хирургов Васягина и Кудыкина. Уверен, они хорошие люди и прекрасные специалисты.

    Но и оправдать их, сказать, что они не виноваты, я тоже не могу. Мошенничество есть мошенничество, обманывать, особенно с целью наживы, в принципе, нехорошо.

    Однако, я призываю всех прежде, чем вы начнёте что-то там кричать про свободу, репрессии и 37-й год, прежде, чем начнёте перепосты с хэштегами #ямыкудыкинвасягин — вспомнить о тысячах пациентов, которые продают квартиры, берут кредиты под грабительские проценты, распродают имущество лишь для того, чтобы купить какой-то там стент, эндопротез или сердечный клапан, которые, на самом деле, стоят копейки.

    Я прошу вас подумать о докторах, работающих на две ставки с двадцатью дежурствами под постоянным прессингом со стороны начальства и угрозами со стороны пациентов, за 30-40 тысяч рублей в месяц. Тех, кто самоотверженно спасает ваши жизни и здоровье, совершенно забывая о своём. Тех, кого вы периодически пытаетесь сделать обслугой и виноватыми во всех своих проблемах. Типа, курил-бухал, а теперь доктор виноват, что у меня инфаркт — напишу-ка я на него в прокуратуру.

     

    Я вот одного не пойму — почему мы, доктора и пациенты, должны быть по разные стороны баррикад? Почему все конфликты — это разборки между докторами и пациентами? Ведь существующая в российском здравоохранении ситуация, прямым следствием которой является история с Кудыкиным и Васягиным, одинаково вредит всем и, в основном, именно она является поводом для взаимных обвинений, недопонимания, конфликтов и разборок.

    Давайте уже сделаем шаг навстречу друг другу. Давайте перейдём на одну сторону баррикады, ведь у нас с вами общие интересы — и глядишь, нам будет проще бороться за свои права.

    Почему мы до сих пор этого не сделали?

    Спасибо, что дочитали до конца.

    С уважением, Станислав Васильев

  • 21 сентября, 19-00. Семинар «Скрытый кариес» от Марии Ярадайкиной. Welcome!

    21 сентября, 19-00. Семинар «Скрытый кариес» от Марии Ярадайкиной. Welcome!

    Не ленись чистить зубы, приходи на осмотр раз в полгода  — и будет счастье!

    Я начну с вопроса:

     — Как часто при посещении стоматолога вы недоумеваете, откуда он нашел у вас кариес?

    Вы же все чистите, у вас ничего не болит. И зуб-то цел, без «дырки». И доктор придумывает всякие там кариесы — не развод ли это?

    В этом и кроется проблема скрытых полостей. Мы не замечаем их, нас ничего не беспокоит до момента скола стенки зуба («О! Зуб развалился сам по себе!») или появления болезненных ощущений. Например, как на этом фрагменте компьютерной томограммы:

    Всё, что беспокоит пациента в данном случае — это «застревание пищи» и редкий дискомфорт в области седьмого зуба. Внешне, зуб совершенно целый. Но проведённая диагностика выявила отнюдь не радужную картину — не факт, что семёрку удастся сохранить. И такие ситуации — наглядная демонстрация того, почему нужно вовремя удалять зубы мудрости.

    Но наша тема на ближайшую субботу, 21 сентября — это кариес. Скрытый кариес.

    Коварный скрытый кариес.

    Прилагательное «скрытый»  все объясняет. Как объясняет Википедия — «присущий кому-либо, чему-либо, но внешне не заметный или ещё не проявившийся». Отличное определение для столь коварного кариозного процесса. Для меня, как для стоматолога, в первую очередь стоит задача его правильной диагностики. На этом этапе мне очень помогает дентальная фотография:

    Отчасти, назначение которой — еще и показать пациенту наиболее проблемные места. Согласитесь, лучше один раз увидеть, чем сто раз послушать стоматолога!

    Второй, но от этого не менее важный метод диагностики скрытого кариеса — различные виды рентгенографии.

    Скрытый кариес никак не проявляет себя до тех пор, пока не дойдет либо до пульпарной камеры, либо кариозная полость не достигнет больших размеров и прилежащая к ней стенка зуба сломается. Поэтому его диагностика «по ощущениям пациента» на ранних стадиях затруднена. Скрытая кариозная полость в зубе может достигнуть весьма значительных размеров прежде, чем человек начнёт что-то чувствовать — и да, бывает такое, что в этот момент с зубом уже ничего сделать нельзя, — только удалить и заменить на имплантат.

    Почему так происходит, что зуб снаружи остается целым, а внутри развивается кариес?

    Все связано со строением зуба и его тканей.

    Эмаль (наружный слой зуба) самый плотный, в нем больше всего минеральных компонентов. Еще эмаль постоянно омывается ротовой жидкостью, которая насыщает ее гидроксифторапатитом, основным структурным веществом, обеспечивающим прочность зуба. И всё было бы нормально, кабы не плохая гигиена, да скученность зубов, да труднодоступные участки, самоочистка и реминерализация ротовой жидкостью которых затруднена. Как правило, это промежутки между зубами (см. фото выше), нависающие края плохо установленных пломб, коронок и т. д.

    Скопление зубного налёта с бактериями, вырабатывающими кислоту (прямо, как в рекламе известной зубной пасты) приводит к «растворению» небольшого участка эмали, по-научному — к деминерализации. В этом участке количество гидроксиапатита и, следовательно, прочность и резистентность (защитные свойства) зубной эмали снижаются. И бактерии, проникая через неё, начинают разрушать менее прочный и плотный дентин продуктами своей жизнедеятельности. В общих чертах, таково наиболее распространённое представление о причинах возникновения кариеса, и у нас нет оснований ему не доверять.

    Но, если на жевательной поверхности, видимых участках зуба, мы сразу обращаем внимание на появление тёмного пятна, начальной стадии кариозного процесса, то в труднодоступных местах проблема может существовать очень долго. И мы замечаем её лишь тогда, когда она превращается в катастрофу.

    В этом-то и коварство скрытого кариеса. И это главная причина, почему необходимо посещать стоматолога, как минимум, 1-2 раза в год — без него и должной диагностики вы никогда не распознаете скрытый кариес на ранних стадиях.

    И от того, насколько оперативно мы это сделаем, будет зависеть, в том числе, и сохранение зуба.

    И вот

    21 сентября (в субботу) в 19-00

    я приглашаю всех интересующихся в наш уютный стоматологический центр CLINIC IN на мой семинар, посвящённый диагностике, лечению и профилактике скрытого кариеса:

    Участие, как обычно, бесплатное, но необходима предварительная запись, которую можно сделать по телефону, электронной почте или на наших страницах в социальных сетях.

    Приходите, будет очень интересно.

    С уважением, Мария Ярадайкина.

    Что еще почитать про лечение и реставрацию зубов с CLINIC IN?
    Вы планируете лечение в CLINIC IN? Что нужно знать об этом еще до консультации стоматолога?
    Гигиена и профилактика в CLINIC IN
    Стоимость лечения и реставрации зубов в CLINIC IN
    Диагностика и обследование
    Почему стоматолог рассверлил мой зуб?
    Почему выпадают пломбы?
    Гигиена и профилактика стоматологических заболеваний. Что нужно об этом знать?
    Зачем удалять зубы, если их можно спасти?
    Не многовато ли хирургии в вашей жизни?