IMPLANT-IN.COM — дентальная имплантация. естественно.

Блог

  • Поговорим об удалении зубов

    Поговорим об удалении зубов

    …точнее, о последствиях удаления зубов.

    В моем блоге немало записей, посвященных именно этой теме, однако, количество вопросов по ней не уменьшается. Что поделать, удаление зуба — самая частая и распространенная операция в мире.

    0_d9c07_54439835_L[1]

    Вы можете почитать несколько предыдущих статей:

    Есть также памятка с послеоперационными рекомендациями и назначениями.
    Можно скачать и использовать в работе

    Я решил разделить эту статью на две части.

    1. Одна — для врачей. Как правильно удалить любой зуб и сделать это с минимальными последствиями. Поделюсь нюансами данной работы.
    2. Вторая часть статьи — для пациентов. В ней я постараюсь объяснить все те явления послеоперационного периода, которые нередко беспокоят пациентов  и вызывают кучу вопросов. Я опубликую ее завтра или послезавтра.

    ДЛЯ ВРАЧЕЙ

    Первое правило, с которого начинается любая хирургическая операция — это качественная анестезия.
    Запомните, не бывает людей, на которых не действуют местные анестетики, бывают врачи, которые не умеют ее делать. Еще Вишневский с помощью 0.025% новокаина умел обезболивать так, что пациенту можно было резекцию челюсти делать — а многие из нас не справляются с современными высокоэффективными анестетиками.

    0_c4aa6_517e8113_-1-L[1]

     

    На качество местной анестезии не влияет ни алкоголь, ни курение, ни наркотики. Она одинаково эффективна как у наркомана, так и у совершенно здорового человека.

    Также местное обезболивание — наиболее безопасный способ анестезии. Частота осложнений при местной анестезии в разы ниже, чем при общем наркозе, но при этом всё равно сильно преувеличена. Основное осложнение местной инъекционной анестезии — это отек и гематома, а не аллергическая реакция, которой все боятся. Частота последней, при использовании современных анестетиков — один случай на стопицотмиллионов.

    В общем, не нужно валить на пациента: «На Вас не подействовала анестезия, потому что Вы не то съели, не то выпили, не так поспали и т. д.». Просто берем и повторяем анестезию, вспоминая анатомию и не забывая о дозировках анестетика (особенно, это касается анестетиков с адреналином и пожилых пациентов и детей).

    Что делать, если Вы вкололи уже 6 карпул ультракаина, а анестезия не наступает? Лучше объяснить пациенту проблему и операцию на другой день. Ну, или на вечер. Решайте сами, что важнее — желание заработать или избежать возможных осложнений?

    Далее, приступаем к удалению. Неплохо было бы ознакомиться со снимками, для начала — ведь большая часть зуба находится, как известно, вне нашего зрения и видна только на рентгенограммах.

    Пара слов о рентгеновских снимках. Нередко слышу два умозаключения:

    «на ортопантомограмме корни верхних зубов
    находятся в проекции альвеолярной бухты верхнечелюстной пазухи,
    поэтому обязательно будет перфорация и ороантральное соустье,
    свищ, гайморит, ад и погибель.:»

    0_75a52_d0a2eefc_XL[1]

    «на ортопантомограмме корень нижнего зуба мудрости находится близко
    (или пересекает) нижнечелюстной канал,
    поэтому удаление зуба мудрости приведет к повреждению нижнелуночкового нерва
    и последующему онемению половины челюсти, губы и подбородка:»

    0_ec420_93c128d7_L[1]

    Разберем подробнее:

    Во-первых, панорамный снимок — штука, сильно искажающая пространственное соотношение тканей и структур. Возьмите два листа бумаги с текстом с обеих сторон, сложите их вместе и посмотрите на просвет. Удается ли прочитать текст? Вот ортопантомограмма — примерно, то же самое. Другими словами, сказать по ортопантомограмме о соотношении верхнечелюстной пазухи и корней верхних зубов, равно как и о положении корней восьмерок и нижнечелюстного канала ДОСТОВЕРНО НЕЛЬЗЯ! Поэтому, для такой точной работы как дентальная имплантация, нам нужна компьютерная томография.

    Во-вторых, можно просто посмотреть компьютерную томографию, либо сходить в анатомический театр, препарировать труп и убедиться, что корни верхних зубов, чаще всего, не попадают в верхнечелюстную пазуху, а обходят ее по сторонам. А, если и попадают, то между ними и пазухой остается слой костной ткани, надкостницы и слизистой оболочки гайморовой пазухи, которые, при правильной методике удаления, не дадут образоваться соустью. Редкое, очень редкое исключение из этого правила — длительный периапикальный процесс, который приводит к разрушению костной перегородки между лункой зуба и дном верхнечелюстной пазухи.

    То же самое касается и нижнечелюстного нерва и восьмерок. Сделав компьютерную томографию мы убедимся, что нижнечелюстной нерв находится гораздо более язычно, нежели корень зуба. А на снимке они, нередко накладываются друг на друга создавая иллюзию пересечения.

    Так почему же эти осложнения, я имею ввиду парестезию после удаления нижних восьмерок и перфорацию дна верхнечелюстной пазухи при удалении верхних зубов, случаются? Главная, самая главная причина — излишний травматизм во время операции.

    Отсюда следует второе и, пожалуй, самое главное правило — если при удалении зубов Вы прикладываете слишком много усилий, значит, вы что-то делаете не так. Работаете неправильно. Зубы, даже в самых сложных случаях, удаляются мизинчиком, без каких-либо усилий.

    Если зуб ломается, если не удается его вытащить целиком — не нужно этого делать. С помощью бормашины можно поделить зуб на несколько частей — и удалить его по частям. Это намного проще.

    Сломался мелкий корешок где-то в глубине лунки? Промойте лунку физраствором, дистиллированной водой, раствором хлоргексидина — и у Вас будет нормальный обзор. Ни в коем случае нельзя работать вслепую.

    Несколько раз видел, как некоторые доктора, чтобы обеспечить гемостаз в лунке, промывают ее перекисью водорода. Это — прямой путь к альвеолиту и всевозможным осложениям в послеоперационном периоде. Поэтому забудьте про перекись водорода вообще — в современной хирургической стоматологии она не применяется.

    Еще забудьте про молоток и долото. У вас есть бормашина — пользуйтесь ей. Да, это не так эффектно выглядит, как при использовании молотка и долота, но зато избежите осложений и негатива со стороны пациента.0_e8c0a_36b90d0a_L[1]

    Ну ладно, удалили зуб. Что делать с лункой?

    Правило третье — никаких выскабливаний, мы с вами не аборт делаем. Кюретаж необходим только в случае наличия явной гранулемы у корня зуба, либо если вы подозреваете, что по краям лунки (как правило, в пределах слизистой оболочки) остались мелкие кусочки зуба. Всё дело в том, что оставшиеся в лунке периодонтальные волокна — важный фактор удержания в ней кровяного сгустка. Если их выскоблить «до зеркального блеска», как написано в некоторых старых учебниках, то потом будем лечить альвеолит.

    Правило четвертое — швы. В случае, если лунка зуба получилась большая, или для удаления зуба делались дополнительные разрезы — необходимо наложение швов. Идеальные материал для швов на лунки зубов — Vicryl или PGA, размером 3-0 или 4-0. Если предполагается одеть съемный протез зуба сразу после удаления, то можно использовать более тонкий шовный материал.
    Наглухо ушиваются лунки только ретинированных зубов. Если коронковая часть зуба видна хотя бы частично, герметичные швы могут привести к осложениям: инфицированию области лунки и развитию абсцесса.

    Некоторые коллеги до сих пор используют йодоформные турунды для тампонады лунки. Вопрос к ним: «Для чего?». Йодоформ из турунды растворяется и  вымывается через несколько часов, после чего сама турунда становится рассадником инфекции. Она никак не способствует заживлению костной раны, а после ее удаления\выпадения образуется т. н. «сухая лунка». Ну и пахнет она отвратительно.

    Обычно в лунку после удаления зуба я помещаю Neocones (Septodont). При его отсутствии можно использовать Alveogyl или «Альвостаз». Нужно ли помещать в лунку какие-нибудь остеопластические материалы? Об этом почитайте в статье о немедленной имплантации.

    Итак, зуб удален, лунка обработана — что дальше?

    Назначения. Многие доктора забывают о том, что с удалением зуба их работа не заканчивается. Мало провести операцию, важно полностью реабилитировать пациента после нее. И это, на мой взгляд, самая сложная часть практики хирурга-стоматолога.

    Полость рта изначально инфицирована. Это значит, что хотим мы или нет, в лунку удаленного зуба попадает слюна, в которой содержится большое количество микроорганизмов. Дабы не было инфицирования и осложений, необходимо назначение антибактериальный средств. Какие лекарства лучше использовать, как и в каких случаях их назначать, можно почитать здесь>>

    Вкратце, антибиотики после удаления зуба назначаются:

    • в случае острого воспалительного процесса
    • при удалении нижних зубов мудрости — почти всегда
    • при удалении ретинированных зубов, если послеоперационная рана ушивается наглухо
    • в случае излишней травматичности самой операции удаления.

    В других случаях необходимости назначения антибактериальных препаратов нет.

    Про нестероидные противовоспалительные средства можно почитать здесь>>

    А про необходимость назначения антигистаминных препаратов — здесь>>.

    Ну и, некоторые базовые и вводные принципы лекарственной терапии в амбулаторной хирургической стоматологии — здесь>>

    О рекомендациях по послеоперационному режиму, для чего они нужны и что почему мы их делаем, можно почитать в следующей серии.

    Следите за обновлениями!
    С уважением, Станислав Васильев.

  • И после этого мы еще что-то требуем от наших медицинских вузов и науки?

    И после этого мы еще что-то требуем от наших медицинских вузов и науки?

    У меня есть друг. Как и я, он врач-стоматолог.

    Помимо работы доктором, он всерьез занимается научной деятельностью. Всерьез — это значит, что проводит серьезные исследования, ищет, экспериментирует, изучает, а не пишет рефераты-диссертации на тему заболеваемости кариесом у овец Закарпатья.

    С полной ответственностью могу сказать, что его исследования имеют обширное прикладное значение и применимы в медицине. Даже я, ознакомившись с его работами, по-другому стал относиться к собственной практике и местной анестезии, в частности. Когда мне требуется научная консультация — я всегда могу обратиться к нему. И он даст развернутый и понятный ответ, а не кучу ссылок на источники, которые, ясен пень, никто не станет читать.

    Мой друг — автор и соавтор нескольких книг, изобретений и целого ряда научных статей. А еще он преподает у студентов в медицинском университете. Сложный предмет, называемый анатомией.  При этом, он слывет честным и неподкупным преподавателем, грозой студентов-халявщиков и двоечников. Не берет взятки, в общем.

    Вам интересно сколько он зарабатывает наукой и преподаванием?

    Вот его приказ о приеме на работу:

    qH-X5hUV_T8

    Обратите внимание на должностной оклад в три тысячи рублей (это полставки, полная ставка — чуть больше 6 тыс. рублей) и компенсацию на приобретение научных книг и журналов в 150 рублей. В месяц.

    Чтобы было понятно, нормальная современная книга по медицине стоит не меньше 3-4 тыс. рублей (хорошие практические издания — от 10 тыс и дороже), а интернет-подписка на какой-нибудь Journal of Surgery — 300-400 долларов в год. Про прожиточный минимум в Москве, я думаю, говорить не стоит.

    Когда мой друг защитил диссертацию и стал кандидатом медицинских наук, ему подняли зарплату:

    GPC6o1Z22Bk

    Теперь он получает, в общей сложности, на полторы тысячи рублей больше. Плюс- 1500 рублей за звание кандидата медицинских наук. И это в Москве… я представляю, какие зарплаты у преподавателей в региональных вузах.

    Возможно ли прожить на такие деньги в Москве? Ну, если только еще бутылки собирать…

    Мой друг не хочет собирать бутылки, поэтому он, параллельно с преподаванием, работает стоматологом в ведомственной клинике. Это нормальная практика для большинства вузовских сотрудников, поскольку, как вы поняли, на зарплату ассистента кафедры просто не выжить.

    Подработка стоматологом (именно, что подработка, потому что мой друг — прежде всего, ученый-исследователь) позволяла ему не только печататься, но быть в тренде современной медицинской науки, участвовать в симпозиумах и конгрессах. В общем, жить нормально. Он еще и исследования из своего кармана оплачивал.

    Но вот, руководство вуза решило, что их сотрудники должны жить на одну зарплату, которую им платит вуз. Мотивов не знаю, но моего друга попросили выбрать — либо он остается в институте и преподает/занимается наукой, либо он стоматолог/работает в поликлинике.

    Он вынужден был выбрать:

    F6EKMzfhCJU

    Сейчас усиленно изучает иностранные языки, поскольку собирается продолжить научную работу за границей, откуда ему уже поступали предложения.

    И я искренне одобряю его решение, считаю его правильным и современным. Желаю ему успехов в научной деятельности, поскольку представляю, как много это для него значит.

    Только вот как-то горько и обидно становится…

    Правительство постоянно говорит о поддержке университетов и российской науки… Вот она, поддержка — на двух бумажках выше.

    Мы постоянно ругаем медицинское образование за низкое качество… Но разве будет талантливый и перспективный ученый/преподаватель работать за такие деньги? Кто останется в вузах? Либо фанаты на грани помешательства и готовые работать бесплатно, либо те, кто не нашел себя в практической медицине и, следовательно, далек от нее.

    Мы постоянно жалуемся на взятки и поборы в вузах… Мой друг не берет взятки, но если бы брал — это была бы, однозначно, вынужденная мера, не заслуживающая осуждения. А как выжить по-другому?

    Мы переживаем, что лучшие ученые уезжают за границу… Ну а как по-другому, если в родном Отечестве у тебя нет условий ни для работы, ни для нормальной жизни? Получается, что ты — либо патриот на грани помешательства, либо ученый, для которого важна наука, неважно где.

    А однажды я вам рассказывал, как мне попался на глаза корешок квитанции с зарплатой главного врача горбольницы — больше 700 тыс. рублей/мес. В то время как зарплата рядового доктора в этой же самой больнице составляла чуть меньше 20 тыс. рублей. Уверен, что в вузах похожая ситуация.

    Так вот, уважаемые друзья, на мой взгляд, мы не имеет права требовать от наших ученых каких-то великих достижений, пока мы не можем обеспечить им нормальный уровень жизни и условия работы.

    Идеологией и патриотизмом детей не накормишь…

  • Тем временем в Китае…

    Тем временем в Китае…

    Возможно ли такое? Ответ — на картинке слева от надписи.

  • «Искусственная кость» — мифы и реальность.

    «Искусственная кость» — мифы и реальность.

    Продолжение темы про остеопластику или «наращивание костной ткани». Рекомендую ознакомиться с соответствующими статьями здесь, здесь и здесь.

    Нередко я получаю письма и вопросы следующего содержания:

    …Здравствуйте. Случилось следующее: врач поставил мне два импланта и засыпал дополнительно материал белую крошку. На 4 день швы разошлись и весь материал сыпется мне в рот… Вопрос — что делать в данной ситуации? Удалять импланты и материал? Не знаю что вообще делать, помогите советом…

    Что делать в таких случаях? Почему так происходит? Давайте попробуем разобраться.

    0_e916c_86214ab8_L[1] 0_e91a2_73ac6aa0_-1-L[1] 0_e9199_b29b20a0_-1-L[1] 0_e9165_eb8f7e1f_L[1] 0_e9162_e1ae0991_-1-L[1]

    На фотографиях — пример использования ксенотрансплантата Bio-Oss в области установленных имплантов. Взято отсюда>>

    В 1858 году немецкий ученый Рудольф Вирхов (Rudolf Virchow) сформулировал один из основных биологических законов «Omnis cellula e cellula», по-русски звучащий как «клетка от клетки». То есть, уже полтора века назад ученые знали, что источником новых тканей и клеток в организме являются живые клетки. Применительно к теме имплантологии и остеопластики («наращивания костной ткани»), данный принцип можно сформулировать следующим образом:

    «Для регенерации костной ткани нужны живые клетки костной ткани».

    Это базовый принцип всей остеологии и имплантологии. Запомните его, пожалуйста.

    Что такое остеопластический материал?

    Любой, даже суперсовременный остеопластический представляет собой органический/неорганический субстрат, АБСОЛЮТНО лишенный клеток. Теоретически, можно взять морской песок, очистить и простерилизовать его — и это будет точно такой же остеопластический материал, как и любой другой (практически же, существует материал Biograin от 3iBiomet, представляющий собой не что иное, как измельченное стекло).

    Если бы в материале были клетки, то он обладал бы антигенной активностью — при его попадании в организм сразу возникала бы иммунная реакция. А так, остеопластический материал полностью лишен антигенов, и иммунная система организма просто «не видит» его.

    Как работают остеопластические материалы?

    Из написанного выше ясно, что сами по себе остеопластические материалы не способны к регенерации. Они не превращаются в костную ткань и не замещают ее. Совершенно бесполезно сыпать порошок «искусственной кости», смоченной в физрастворе, плазме или крови в место дефекта — на 95% он не превратится в полноценную костную ткань.

    Также следует знать, что, вопреки распространенному мнению, остеопластические материалы, в своем большинстве, не служат питательной средой для вновь образующейся костной ткани, не стимулируют ее рост «из ничего». Они не содержат ни факторов роста костной ткани, ни факторов дифференцировки стволовых клеток, условно находящихся в крови. Поэтому пропитка материала кровью или плазмой, чаще всего, ничего не решает.

    Кстати, большинство ошибок и осложнений при остеопластике связано с непониманием данного принципа.

    Так для чего же они нужны?

    Попробуем рассмотреть процесс регенерации костной ткани после операции остеопластики, проведенной с использованием аутогенной костной стружки.

    В качестве «наполнителя» мы взяли кусочек собственной костной ткани пациента, перемололи ее в стружку и поместили в место дефекта в надежде, что со временем она превратится в нормальную кость.

    Совокупный объем костной стружки всегда больше, чем объем костного блока, из которого она получилась. Поэтому со временем за счет частичного «рассасывания» (лизиса, по-научному, он является следствием посттравматического воспалительного процесса), пересаженная аутокостная стружка дает «усадку» — теряет объем. Это нормальный процесс, хирурги про него знают, поэтому всегда пересаживают костную ткань «с запасом» и используют специальные мембраны или пластины, чтобы свести процесс лизиса костной ткани к минимуму.

    Параллельно с лизисом, идет процесс регенерации костной ткани — живые клетки кости (остеобласты) делятся и производят межклеточное вещество костной ткани. Если процессы лизиса и регенерации уравновешены, то мы получаем идеальный результат — тот самый объем костной ткани, как и планировали.

    Однако, на практике, процессы лизиса всегда опережают регенерацию (КПД<1) — отсюда и явление усадки, которое заметно даже при использовании аутокостных блоков, хоть и в значительно меньшей степени. Поэтому необходимо нечто, что позволит удержать заданный объем.

    Как раз для этого используются остеопластические материалы. Благодаря длительному периоду лизиса (или вообще его отсутствию, как в случае с Biograin), они способны длительное время удерживать заданный объем в нужном участке альвеолярного отростка. Поэтому клетки костной ткани, находящиеся между частиц материала, имеют пространство для размножения и регенерации.

    Просто и понятно, правда?

    Из вышесказанного следует несколько особенностей использования остеопластических материалов, вне зависимости от производителя и формы выпуска:

    1. Необходимо смешивать остеопластические материалы с аутокостной стружкой, как минимум, в пропорции 50/50.
    2. Для реконструкции двух- или трехмерных дефектов альвеолярного отростка, в обязательном порядке использовать мембраны, без разницы — резорбируемые или нет. Мембрана должна быть жестко зафиксирована с помощью винтов или пинов. Также желательна опора для нее, в виде каркаса, винтов или  минипластины.
    3. Нельзя утрамбовывать остеопластический материал. Это не добавит плотности новообразованной костной ткани, но зато может создать условия для его капсулирования.
    4. Любой материал используется с излишком, чтобы компенсировать усадку. Аутокостная стружка — штука дефицитная, поэтому остеопластические материалы нам очень помогают — можно увеличить объем трансплантата в два раза.

    5. Любой остеопластический материал очень чувствителен к инфицированию. В связи с этим, качественные швы на слизистую оболочку — это наше всё. В отличие от естественных тканей организма, он лишен клеток (в т. ч. и защитных), поэтому малейшее инфицирование трансплантата приводит к потере результата.

    Неприятный вывод: при работе с остеопластическими материалами. нам всё равно нужно делать забор аутотрансплантата — либо в виде костного блока с последующим превращением в стружку, либо в виде стружки (с применением специальных скребков-харвестеров или костной ловушки).

    Напоследок хочу отметить, что существенной разницы в результате при использовании различных остеопластических материалов нет. Не следует думать, что Bio-Oss «приживется» там, где «не прижился» другой ксенотрансплантат. Не нужно надеяться и искать какие-то волшебные свойства там, где всё объяснимо простыми законами физиологии.

    Ну и, при правильном применении остеопластических материалов результат операции вполне сопоставим с пластикой аутокостными блоками (всего 2-3% осложнений). Важно только использовать их с головой и по назначению.

    Подробнее почитать про остеопластику и варианты работы с остеопластическими материалами можно в моем блоге.

    Спасибо за внимание.
    С уважением, Станислав Васильев.

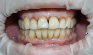
  • Имплантация: быстро, качественно, недорого. Возможно ли такое?

    Имплантация: быстро, качественно, недорого. Возможно ли такое?

    Каждый из нас по миллиону раз наступал на «рекламные грабли», но, тем не менее, продолжает верить рекламе. Даже если она противоречит логике и здравому смыслу. Даже если она отдает заманухой и дезинформацией. «Быстро, недорого, качественно» — три слова, которые отключают мозги большинству людей.

    А возможно ли вообще такое? Можно ли «быстро, качественно, недорого» провести имплантологическое лечение и протезирование?

    Давайте порассуждаем об этом.

    Сегодня я хочу показать Вам один клинический случай и рассказать про него.

    Почти начало лечения. Месяц назад удалены нижние резцы, начато ортодонтическое лечение
    Почти начало лечения. Месяц назад удалены нижние резцы, начато ортодонтическое лечение

     

    Через 2 месяца после окончательного протезирования.
    Через 2 месяца после окончательного протезирования.

    На верхней фотографии — почти начало лечения: месяц назад мы вынуждены были удалить нижние резцы, параллельно начали ортодонтическое лечение на верхней челюсти.

    На нижнем фото: контрольный осмотр пациента через 2 месяца после окончательного протезирования.

    Есть разница?

    Лечение шло следующим образом: (далее…)

  • Народная стоматология. Собираем советы.

    Народная стоматология. Собираем советы.

    — Как отбелить зубы в домашних условиях?

    … нужно смешать пергидроль с выпаренной мочой молодой ослицы, добавить лимонный сок и соду по вкусу. Эту смесь нанести на зубы ровным слоем и оставить на 40 минут. А потом выплюнуть всё это вместе с зубами в мусорное ведро.

    — Что делать, если заболел зуб?

    …. нужно засунуть в дырку зуба кусочек чеснока, смоченного в водочном настое земляных червяков. А опухшую щеку обильно намазать отработанным машинным маслом. После чего необходимо дождаться развития флегмоны челюстно-лицевой области и рожистого воспаления кожи лица — и затем позвонить в скорую.

    — Как лечить стоматит в домашних условиях?

    … заговором против стоматита: «Путин-Путин, стоматит-стоматит, уходи!», дважды повторяемому с частотой раз в 2 минуты в течение 2-х суток.

     — Как сделать зубы более ровными?

    — а вот так:

    0_660a6_228387e2_XL[1]

    Друзья, сегодня я попрошу вас поделиться рецептами «народной стоматологии». Расскажите об известных вам способах «домашнего» решения зубных проблем, от реально действующих до самых маразматичных. Ссылки на первоисточники приветствуются.

    А потом мы с вами проведем краткий анализ по попробуем понять, что работает, а что — нет. А, может быть, что-то не просто не работает, но еще и крайне вредно для здоровья?

    Спасибо!

  • Свободная тема за август-сентябрь. Стоматологи отвечают на вопросы

    Свободная тема за август-сентябрь. Стоматологи отвечают на вопросы

    Итак, друзья, свободная тема объявляется открытой.

    Правила простые: Вы можете задавать вопросы по любой стоматологической специальности или теме. Например «чем отличаются безметалловые коронки от керамических коронок на оксид-циркониевом каркасе?» или «когда в первый раз вести ребенка к стоматологу?».

    А стоматологи-специалисты, которых немало среди моих друзей, на эти вопросы отвечают.

    В общем, это прекрасный шанс не только услышать множество мнений по интересующему вопросу, но и найти, наконец, компетентного специалиста по решению собственных зубных проблем.

    Я отвечаю лишь в случае, если вопрос адресован непосредственно мне, либо если он долгое время (больше двух дней) остается без ответа.

    А еще вопросы можно задавать в моем блоге supradent.ru — там тоже есть свободная тема.

  • График работы на сентябрь. Плюс маленькая заметка.

    График работы на сентябрь. Плюс маленькая заметка.

    Перечитываю свои записи, сделанные на весеннем симпозиуме Osteology Foundation в Монако:

    monaco

    Вообще, конгрессы — это очень полезная штука. Есть возможность услышать множество мнений и поучаствовать в дискуссиях:

    monaco1

    Так вот, друзья, на глаза попалась одна цитата, которую я даже обвел и выделил:

    «Кость не может быть хорошей или плохой. Кость есть кость»

    Это сказал Жан Лиде (Jan Lidhe) в своей лекции по остеопластике. И я с ним полностью согласен.

    Действительно, друзья, что значит «плохая костная ткань», «рыхлая» или «мягкая»? Состояние кости — индивидуальная особенность каждого человека, и это не повод отказывать в остеопластике или имплантации. С любым типом костной ткани можно работать, в любом клиническом случае можно получить приемлемый результат. Другое дело, что в каждой ситуации нужен индивидуальный подход, тщательное планирование и минимальная травматичность оперативного вмешательства. Достижимо ли это?

    Вполне.

    Кстати, о графике работы на сентябрь.

    • «Канадская Стоматология» — вторник, четверг, суббота с 9-00 до 20-00
    • «Немецкий имплантологический центр» — среда, пятница с 9-00 до 21-00

    Огромная просьба — записываться заранее, через администраторов клиник. Телефоны и координаты здесь>>

    Исключение — неотложные состояния (острая боль, воспаление и т. д.). Можно звонить сразу мне, постараюсь принять в ближайшее время.

    С 27 по 30 сентября я буду в командировке — на этот раз в славный город Киев. Следовательно, на работе меня не будет.

     

  • Как избежать осложнений при стоматологическом лечении? Руководство для пациентов

    Как избежать осложнений при стоматологическом лечении? Руководство для пациентов

    Как избежать осложнений при лечении у стоматолога? Пожалуй, этот вопрос волнует пациентов больше всего. Интернеты, буквально, набиты всевозможной чернухой о походах к стоматологу, а некоторые доктора, будто специально, рассказывают ужасы об областях, в которых они совершенно не разбираются.

    Скажем, планирует пациент остеопластику (т. н. «наращивание костной ткани»). Перед этим пошел к стоматологу-терапевту, провести профессиональную гигиену полости рта. Поделился с доктором планами на предстоящие операции. И та, вместо того, чтобы ободрить и помочь настроиться, начинает: «Ой, а Вы знаете….»

    Для пациента любая хирургическая операция — это стресс. Он нуждается в поддержке и психологической помощи. А, в результате получает кучу негатива, что никак не способствует предоперационному настрою.

     _MG_0371 _MG_0394 IMG_2661

    Между тем, эта остеопластика, хоть и считается одной из самых сложных имплантологических операций, для пациента очень даже комфортна и совершенно безопасна. С современными методами, инструментами и материалами, риски осложнений при подобных операциях удается удерживать на уровне 1-2%, что, согласитесь, очень круто (для сравнения, осложнения при лечении кариеса составляют немногим более 10%).

    Другими словами, чем меньше человек знает, тем больше он боится. И тем больше пугает остальных. Мы не боимся бабайки под кроватью, потому что точно знаем, что это — всего лишь детская страшилка.

    То было лирическое отступление. А теперь, собственно:

    РУКОВОДСТВО ДЛЯ ПАЦИЕНТОВ:
    Как избежать осложнений при стоматологическом лечении?

    Всего три пункта:

    1. Лечитесь вовремя. То есть, не нужно ждать, «пока заболит и опухнет». Любые болезни намного сложнее лечатся в острой стадии, а дискомфорт и риск осложнений вырастают до заоблачных вершин. Чем больше болезнь запущена — тем сложнее (и дороже) ее вылечить.
      С той же остеопластикой — чаще всего ее проводят из-за выраженной атрофии костной ткани, которая вызвана длительным отсутствуем зубов. Если бы пациенту вовремя (в идеале — сразу) поставили импланты и провели протезирование — остеопластики удалось бы избежать. А, если вовремя заняться лечением зубов — возможно, был бы шанс избежать их удаления и последующей имплантации.
    2. Не экономьте на квалификации и опыте врача. Ищите компетентного специалиста, применительно к Вашему случаю.
      Шансы получить осложнения всегда выше в недорогой сетевой клинике, чем в серьезном и дорогом лечебном учреждении. Опять же, нужно знать, что стоимость лечения у того или иного специалиста во многом определяется его востребованностью, опытом работы и квалификацией. А не аппетитами руководства, материалами пломб и кофемашиной в холле.
    3. Выполняйте все рекомендации и назначения врача. Помните, что результат лечения — это, в том числе, и ваша заслуга.

    Обычно, как до лечения, так и после него, пациент получает массу «добрых» советов от близких и знакомых. Иногда — от врачей (как в лирическом отступлении), причем советы может раздавать гинеколог или проктолог, исходя из принципа «метр выше, метр ниже — какая разница?». Иногда на помощь приходят интернеты, иногда — собственные медицинские знания и опыт.

    Так вот, друзья. Никто лучше вашего доктора не знает, что как подготовиться к лечению, и что делать после него. Поэтому, если советы друзей и близких выходят за пределы рекомендаций врача, нужно, как минимум, их согласовывать. Так будет спокойнее и вам, и вашему доктору.

    *  *  *

    Вот, три простых правила, которые помогут избежать осложнений при стоматологическом лечении. И, чем больше людей их знают — тем меньше проблем, меньше жалоб и негатива будет в стоматологии. Если не сложно, пожалуйста, сделайте репост.

    Спасибо!

    С уважением, Станислав Васильев.

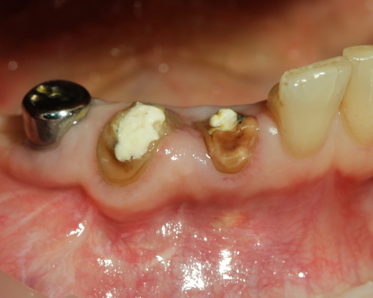
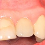
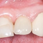
  • «Мне говорили, что это невозможно…» ©

    «Мне говорили, что это невозможно…» ©

    … так сказала пациентка, когда мы делали ей правую фотографию. На протяжение всего лечения, как до операции (которую я вам покажу ниже), так и после оной, ее врачи были настроены крайне скептически. Никто не верил, что в данном случае немедленная имплантация возможна и,что с ее помощью, достижим приемлемый результат.

    Оказывается, достижим: справа фотография «до», а слева — «после».

     A09A0114  A09A1333

    Сегодня я вернусь к теме немедленной имплантации, т. е. установки импланта в лунку только что удаленного зуба. И в контексте описанной работы, я хотел бы поговорить о пределах возможностей данного метода.

    Думаю, что данная статья будет полезна не только докторам, но и пациентам. Однако, должен предупредить о том, что некоторые картинки под катом могут показаться кому-то неприятными. Что ж поделать, это хирургия…

    Начну краткого рассказа об эволюции моих представлений о немедленной имплантации.

    Первоначально, на заре своей имплантологической карьеры, я относился к данной методике крайне скептически. Как я думал, работа в изначально инфицированной лунке зуба не оправдана с точки зрения рисков отторжения импланта и других осложнений. Свою роль сыграл негативный настрой старших коллег, которые, с «высоты своего опыта» не рекомендовали заниматься подобной ерундой. С их точки зрения, оптимальной тактикой было удаление зуба, перерыв на несколько месяцев — и только после этого операция имплантации.

    Весной 2009 года к нам обратилась пациентка с жалобами на сломанный передний зуб. А поскольку оставлять ее без зуба не очень хотелось, мы совместно приняли решение об удалении зуба и установке импланта прямо в лунку удаленного зуба, благо условия были подходящими. Операция прошла успешно, при этом удалось не только сократить сроки лечения, но и сохранить столь важные для эстетики объемы мягких тканей и кости.

    Мы до сих пор наблюдаем эту пациентку (приходит раз в полгода на профилактические осмотры) и можем заверить, что ситуация стабильная и совершенно не изменилась за четыре года, что опровергает поговорку о том, что «первый блин комом».

    Всего за 2009 год было проведено чуть больше двух десятков операций немедленной имплантации (при общем объеме в 200 операций в год). Однако, уже тогда я заметил следующие преимущества данной методики:

    1. Высокая надежность. Ни в одном случае не было осложнений.
    2. Отсутствие атрофии костной ткани и слизистой оболочки. То есть, немедленная имплантация позволяла избегать столь частых при отсроченных методиках остео- и мукопластики.
    3. Существенное сокращение времени лечения — с полугода до полутора-двух месяцев.

    И было бы глупо эти преимущества не использовать.

    В 2010 году мы применили методику немедленной имплантации на многокорневых зубах (до этого работали, исключительно, с однокорневыми зубами: резцами, клыками, иногда — премолярами). Сначала были сомнения в возможности качественной стабилизации имплантов в больших лунках и герметичного закрытия операционной раны. Однако, как показала практика, при применении данной методики, а лунка зуба с имплантом нормально заживает и эпителизируется вторичным натяжением.

    Всего за 2010 год мы провели около сотни операций немедленной имплантации, что составило почти треть от общего объема имплантологической работы. Осложнений и потерь имплантов — ноль.

    В 2011 году доля имплантов, установленных сразу в лунку удаленного зуба, составило около 37,5%. Осложнений не было, хотя пару раз мы были вынуждены ограничиться только удалением зуба — оставшийся после него объем костной ткани не позволял надежно зафиксировать имплантат в лунке зуба.

    В этом же году  мы перестали обращать внимание на наличие периапикальных (прикорневых) воспалительных гранулем и кист. Провели несколько операций цистэктомии в сочетании с удалением зуба и имплантацией, причем, в одном из случаев размер корневой кисты составлял около 10 мм в диаметре. Во всех случаях операции прошли успешно.

    С 2011 года операции немедленной имплантации были, фактически, поставлены на поток. Ввиду очевидных преимуществ, методика стала основным трендом нашей имплантологической работы.

    В 2012 году мы впервые провели операцию немедленной имплантации в сочетании с одномоментным синуслифтингом. Рассказ про это есть в блоге, но, если кратко: пациенту не только удалили зуб и установили имплантат, но и сделали операцию синуслифтинга. Результат работы нас впечатлил, что, в принципе, развязало руки и позволило проводить операции немедленной имплантации в более сложных условиях.

    К концу 2012 года подобный подход (удаление зуба+синуслифтинг+имплантация) стал настолько обычным, что количество операций немедленной имплантации увеличилось до 43% от общего количества имплантологических вмешательств. Это произошло, как раз, за счет снятых ограничений.

    В 2013 году мы провели операцию немедленной имплантации в сочетании с одномоментной остеопластикой и синуслифтингом. Скоро в одном из журналов выйдет статья по этому поводу, поэтому деталей пока раскрывать не буду. В общих чертах: при удалении зуба выявился лизис вестибулярной стенки лунки, поэтому, помимо синуслифтинга, костным блоком была восстановлена эта самая стенка и установлен имплант с формирователем десны. Операция прошла успешно и, в первом полугодии 2013 года, мы провели еще несколько подобных операций.

    В марте 2013 года обратилась пациентка с острой болью. Мы планировали с ней операцию немедленной имплантации, но внезапно зуб, который мы планировали удалять, заболел. После серьезного обсуждения всех возможных риском, совместно с пациенткой мы приняли решение об удалении зуба и установке импланта в лунку. При этом, я не был до конца уверен в успехе операции. Несмотря  на то, что послеоперационный период был непростым (пациентку беспокоили боли и отек), всё прошло хорошо — обострение воспалительного процесса не оказало никакого влияния на результат имплантологического лечения.

    По результатам первого полугодия 2013 года доля операций немедленной имплантации составила почти 50% от общего объема имплантологической работы.

    Причем, за 4 года работы не было ни одного осложнения, ни одного отторжения имплантов. Я связываю это с несколькими факторами:

    • более тщательное обследование и планирование лечения
    • достаточные объемы костной ткани и слизистой оболочки, отсутствие атрофии, сопровождающей процесс заживления лунки
    • иммунологический статус тканей в области операции. В этом, определенно, что-то есть, но что именно — пока объяснить не могу.

    Итого, мы смогли существенно сузить противопоказания к немедленной имплантации:

    В 2009 году они были следующими:

    1. Многокорневой зуб
    2. Недостаточный объем костной ткани, способный обеспечить качественную стабилизацию импланта
    3. Выраженные новообразования, сопровождающие хроническое воспаление (свищевые ходы, гранулемы, кисты и т. д.)
    4. Острый воспалительный процесс
    5. Недостаточный объем слизистой оболочки, способный обеспечить герметичное закрытие операционной  раны

    Сейчас я бы составил следующий список противопоказаний для немедленной имплантации:

    1. Недостаточный объем костной ткани, способный УДЕРЖАТЬ имплантат в костной ткани. Качественная первичная стабильность не является обязательной.
    2. Выраженный острый воспалительный процесс с тенденцией к распространению. Другими словами, наличие отека и распространение воспаления на окружающие зуб мягкие и твердые ткани — противопоказание к немедленной имплантации. В то время как обострение хронического периодонтита без распространения воспалительного процесса (скажем, просто заболел разрушенный зуб), не является проблемой.
    3. Существенный дефицит слизистой оболочки в случае хронического пародонтита. Является противопоказанием при необходимости достижения высокоэстетичного результата.

    Других противопоказаний нет.

    Отчасти, рост доли операций немедленной имплантации я связываю именно с сокращением списка противопоказаний. При этом, не могу не отметить растущую сознательность пациентов, которые уже на этапе удаления задумываются о протезировании зубов и делают выбор в пользу имплантологического лечения.

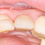
    Рассмотрим один из клинических примеров.

    Пациентка, чуть старше 30-ти лет. Ранее были установлены импланты (44 зуб на левой фотографии), но, когда пришло время готовиться к протезированию, и врач-стоматолог-терапевт попытался вылечить 43, 42 зубы (клык и резец, соответственно), выяснилось, что лечению эти зубы не подлежат.

    Более того, при обработке каналов зубов произошла перфорация стенки резца, выход через перфорацию медикаментов для обработки каналов с последующим ожогом тканей, окружающих зуб. Иначе говоря, пациентка обратилась в состоянии острой боли и активного воспалительного процесса.

     A09A0114 A09A0116

    Совместно принимаем решение о проведении операции немедленной имплантации.

    Делаем разрез по зубодесневой борозде. На фотографии видно как точку перфорации (в поднадкостничное вестибулярное пространство, так и наличие в нем распада некротизированных тканей вперемежку с материалом для обработки каналов:

    A09A0118

    Аккуратно промываем рану физраствором, удаляем все ее содержимое. На левой фотографии хорошо заметна как сама перфорация корня и вестибулярной стенки костной ткани, так и ожог надкостницы, вызванный медикаментами для обработки каналов.

     A09A0119 A09A0121

    После этого аккуратно удаляем зубы.

    На фотографиях ниже видно, как выглядят лунки зубов после удаления: тонкие, почти прозрачные вестибулярные стенки при сохраненной высоте альвеолярного гребня.

     A09A0123 A09A0124

    Во всех учебниках по хирургической стоматологии указана необходимость кюретажа лунки после удаления зуба. Не знаю, откуда это взялось, но есть наблюдения, что излишне активный кюретаж приводит к утрате из лунки кровяного сгустка и последующему развитию альвеолита. Оставшиеся на стенках лунки периодонтальные волокна являются фактором, удерживающим кровяной сгусток в послеоперационной ране. Поэтому стараться «выскоблить» лунку до зеркального блеска не нужно. В тех местах, где имплантат контактирует с костной тканью, последняя обрабатывается фрезами и, естественным образом, лишается периодонтальных волокон. Ну а там, где между имплантом и стенками альвеолы есть пространство, оставшиеся на кости волокна удерживают кровяной сгусток. который является субстратом для регенерации костной ткани, при этом никак не мешают остеоинтеграции.

    Готовим лунки под импланты Friadent Xive. В область резца установлен имплантат диаметром 3,0 мм, в область клыка — 3,4 мм. Обратите внимание на позиционирование имплантов в лунках — смещение язычно и небольшая девергенция. Подобное положение связано с анатомическими особенностями данной области.

     A09A0126 A09A0127

    Подобным позиционированием и подбором имплантов удалось добиться качественной стабилизации. Мы удаляем имплантодержатели, еще раз проверяем их положение и (особенно!) глубину погружения в лунки.

    Чрезмерное погружение импланта в лунку зуба может привести не только к сложностям при протезировании, но и серьезному осложению — рецессии десны как в области имплантов, так и у соседних зубов.С этой точки зрения, «лучше недокрутить, чем перекрутить».

     A09A0130 A09A0132

    Вопрос о необходимости заполнения пустого пространства между поверхностью импланта и стенкой альвеолы (на фотографиях выше) остается дискуссионным. С одной стороны, любые искусственные материалы, вопреки рекламе, никак не способствуют интеграции имплантов. С другой стороны,  забор аутокостной стружки требует либо дополнительной раны, либо расширения области операции.

    В случаях, подобных этому, я стараюсь ничем не заполнять лунку с установленным имплантом. Формирующийся кровяной сгусток сам по себе является прекрасным субстратом для регенерации костной ткани. Но для того, чтобы он удержался в лунке, не нужно проводить ее кюретаж после удаления зуба.

    На импланты устанавливаются формирователи десны, а на слизистую накладываются швы. Для операций имплантации я использую, исключительно, нерезорбируемый шовный материал. В данном случае — Prolene 6-0.

      A09A0135 A09A0137

    Послеоперационный режим и рекомендации не отличаются от таковых при отсроченной имплантации. Комплексная антибактериальная противовоспалительная терапия в сочетании с адекватной гигиеной полости рта — это более, чем достаточно.

    Хотя, есть маленький секрет. Очень желательно назначение витаминотерапии. В первую очередь, витамина С и Д3 в больших количествах. Данные препараты ускоряют процесс заживления послеоперационной раны и интеграции имплантов.

    Вид послеоперационной раны через 2 дня после вмешательства:

    A09A0161

    Импланты стабильны, безболезненны при перкуссии. Слизистая оболочка нормальной окраски. Уже на этом сроке можно сказать, что риск осложнений позади, дальнейший послеоперационный период будет комфортным и легким.

    Несмотря на это, доктор, занимавшийся протезированием (я его не знаю, пациентка нашла его сама), его коллега-хирург и все остальные отнеслись к проделанной работе весьма скептически. «Ничего не получится! Зря Вы это сделали!» — уверяли они пациентку все два месяца до момента протезирования.

    Несмотря на такой скепсис, через два месяца область имплантов выглядит так:

     A09A1334 A09A1337

    И врач-стоматолог-ортопед может приступить к изготовлению временных коронок на импланты. Что он и сделал:

    A09A1340

    Напомню, это временные коронки. Следовательно , их внешний вид не является окончательным.

    Ну, а моя работа с данной пациенткой подошла к концу. Мне остается лишь наблюдать ее на профилактических осмотрах и давать рекомендации относительно ухода. Пожелаем ей удачного окончательного протезирования.

    Заключение

    Вспоминая себя некоторое время назад, хочу заметить, что безосновательный скепсис и критика — это первый признак отсутствия опыта. Как я уже отмечал выше, мое первое мнение о немедленной имплантации было весьма и весьма негативным. Но, чем больше опыта я получал, тем шире раздвигались границы возможностей данной методики. И сейчас я считаю, что это, определенно, та самая «золотая середина», при которой достижим наилучший результат имплантологического лечения с наименьшими усилиями.

    Когда-то я тоже думал, что это невозможно.

    И я очень рад, что тогда ошибался.

    The end.

    С удовольствием отвечу на все вопросы в комментариях.

    Спасибо за внимание. 

    С уважением, Станислав Васильев.

     

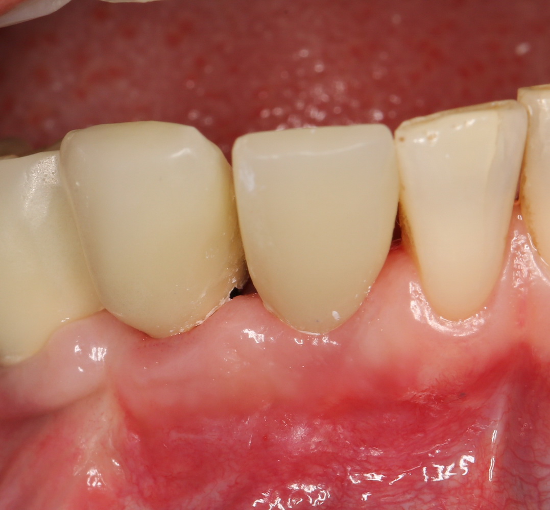
  • Одна из частых причин неудачного исхода в дентальной имплантологии —

    Одна из частых причин неудачного исхода в дентальной имплантологии —

     — перегрев костной ткани и последующий ее некроз. 

    Чтобы этого избежать, поступают следующим образом:

    1. Для подготовки лунки под имплантат используют специальный прибор — физиодиспенсер. Он позволяет, буквально, вырезать костную ткань на низких оборотах (менее 800 об/мин), при этом охлаждать ее с помощью физиологического раствора. Причем, с очень высокой точностью.
    2. Физиодиспенсером работают очень аккуратно, без давления и раскачиваний. В идеальном варианте, подготовленная под имплантат лунка должна кровоточить — это признак того, что ткани вокруг импланта остались жизнеспособными. Мертвая ткань, как известно, не кровит.
    3. Используют фрезы последовательно увеличивающегося диаметра.

    Скажем, нам нужно установить имплантат диаметром 4,5 мм. Если использовать сразу большую фрезу — это приведет к неизбежному перегреву и повреждению костной ткани. В результате имплантат не приживется — к мертвой кости, как известно, ничего не прирастает, а сама она не способна к регенерации. Поэтому, в случае с имплантами Friadent Xive, мы начинаем подготовку лунки с пилотной фрезы диаметром 1.5 мм, затем расширяем ее до диаметра 3,0 мм, далее — 3,4 мм, следующая фреза — 3,8 мм, и только потом — 4,5 мм. Плюс, специальная фреза для кортикальной костной ткани.

    Другими словами, чтобы подготовить лунку под имплантат, нужно несколько фрез разного диаметра (на фото выше)

    Именно так достигается малотравматичная работа с костной тканью, способствующая ее скорейшей регенерации.

    4. Своевременно заменяют фрезы, предназначенные для работы с костной тканью.

    Несмотря на то, что они изготавливаются из высокопрочной стали или титанового сплава, при работе с костью они постепенно тупятся. Этот процесс усугубляется периодической химической обработкой и стерилизацией (нагрев/охлаждение).

    Вот пример:

    верхняя фреза - примерно, 40 рабочих циклов. нижняя фреза - новая.
    верхняя фреза — примерно, 40 рабочих циклов. нижняя фреза — новая.

    Или вот:

    верхняя фреза - новая. нижняя - примерно, 30 рабочих циклов.
    верхняя фреза — новая. нижняя — примерно, 30 рабочих циклов. На фото не очень заметно, но всё же…

    Или вот:

    50 рабочих циклов, Astratech
    50 рабочих циклов, Astratech

     

    новая фреза, Astratech
    новая фреза, Astratech

    Что будет, если использовать тупую фрезу? То же самое, что и при использовании тупой бритвы: мало того, что качество бритья резко снизится, так еще и вырастет вероятность порезов (читай, брака в работе). Поэтому лезвия в бритвенном станке периодически меняют — и это не маркетинговая уловка компании Gilette)). А что такое костная ткань в сравнении с кератином волос?

    Вот поэтому все производители рекомендуют менять фрезы через 30-50 рабочих циклов. Так и поступают во всех хороших клиниках — ибо рисковать качеством работы из-за неисправных или некачественных инструментов никто не хочет.

    Стоимость замены фрез, как и амортизация оборудования, обычно включается в стоимость операции. Именно поэтому качественная дентальная имплантация, учитывая все нюансы и необходимости, не может стоить ниже определенной суммы — тогда она становится просто нерентабельной.

    Такие дела, друзья. Когда вы видите рекламу про имплантацию за 11 тыс. рублей, пожалуйста, отнеситесь к ней критично: даже с самой недорогой имплантационной системой она не может стоить так дешево. Разве что, доктор работает в минус, доплачивая за фрезы и инструменты из своего кармана.

    А еще у меня есть к вам маленькая просьба. Пожалуйста посоветуйте недорогой микроскоп (в пределах 20 тыс. рублей) с возможностью подключения  цифровой камеры Canon. Мне хотелось бы научиться делать нормальные микрофотографии, а макрообъектив, как видно выше, не очень хорошо с этим справляется.

    Спасибо!

  • График работы на август +маленькое объявление

    График работы на август +маленькое объявление

    Итак, месяц безделья прошел, возвращаемся к нормальной жизни.

     

    Мой график работы на август:

    Вторник, Четверг, Суббота, с 9-00 до 20-00 — клиника «Канадская Стоматология»

    Среда, Пятница,  с 9-00 до 21-00 — клиника «Немецкий Имплантологический Центр».

    Координаты клиник, где я работаю, указаны в разделе «Контакты».

    ОГРОМНАЯ ПРОСЬБА планировать прием заранее, поскольку от создаваемой, часто «мнимой срочностью», толкучки не хорошо ни Вам, ни мне. А я хотел бы каждому пациенту уделить максимум времени, а не по 10-15 минут в перерывах.

    Исключение составляют действительно экстренные случаи — острая боль, отек, воспаление, проблемы в послеоперационном периоде. Тут уж нужна срочность…

    Объявление: В сентябре, с высокой вероятностью, слегка (на 10%) увеличится стоимость несложных хирургических операций (удаление зубов, ретенционных кист и т. д.). На имплантологические операции (синуслифтинг, остеопластика, дентальная имплантация и др.) цены не изменятся.

    Поэтому, если Вам требуется удаление зубов мудрости или еще какие-то плановые хирургические операции — самое время сделать это в августе.

    До встречи!

  • Опыт применения коллагеновой матрицы Mucograft в клинической практике.

    Опыт применения коллагеновой матрицы Mucograft в клинической практике.

    7 июня в конгресс-холле отеля Lotte прошла небольшая закрытая конференция по программе клинических исследований Mucograft, организованная компанией Geistlich и ее российским партнером, группой компаний «Симко».

    На ней были обобщены результаты работы с материалом Mucograft, которую   в течение года проводили мои коллеги и я. Каждый из докторов, участвовавших в программе, выступил с докладом, на котором поделился своими клиническими случаями и наблюдениями и опытом использования коллагеновой матрицы Mucograft.

    Следует отметить высокий уровень как самих докладов, так и присутствовавшей публики. Для меня было огромной честью оказаться за одним столом с известнейшими наикрутейшими имплантологами России и коллегами из Швейцарии. Выражаю им огромную признательность за внимание ко мне и моему докладу, который чуть было не сорвался из-за технического сбоя.

    Презентацию к моему докладу можно скачать и посмотреть здесь>>

    А сегодня я расскажу вам о своем опыте использования коллагеновой матрицы Mucograft на примере одного клинического случая (он был включен в презентацию) и длительном наблюдении результата лечения. Данная статья предназначена, прежде всего, для врачей, поэтому я заранее приношу извинения за некоторые не очень приятные картинки.

    Но, чтобы и вы могли оценить возможности материала Mucograft (и правильной хирургии), я покажу Вам две картинки:

     _MG_5278  _MG_0684

    Слева — ситуация до лечения. Справа — картинка через полтора года после протезирования.

    А теперь я подробнее расскажу об этой работе.

    К нам в клинику обратилась пациентка, возраст чуть более 70 лет. Несколько месяцев назад ей поставили два импланта Astratech в область отсутствующих премоляров верхней челюсти, при этом не был учтен существующий объем мягких и твердых тканей. Около месяца назад на импланты установили формирователи десны:

     _MG_5278 _MG_5280

    Сложившаяся ситуация с объемом окружающий тканей не устроила ни ортопеда, ни пациентку: у нее высокая линия улыбки, поэтому премоляры и десна над ними попадают в эстетически значимую область. Ну и что, что больше 70 лет — женщина в любом возрасте хочет иметь красивую улыбку, верно?

    А без соответствующего объема десны, коронки на имплантах выглядели бы, мягко говоря, неестественно. Представьте сами — нормальные полноразмерные коронки, изготовленные в соответствии с размером и формой оставшихся зубов, и тонкая-тонкая десна над ними. Помимо эстетики, у пациентки непременно были бы проблемы с гигиеной, поскольку между коронками и тонкой десной постоянно скапливался бы зубной налет и остатки пищи. Со временем это привело бы к периимплантиту. Поэтому перед нами была поставлена задача — воссоздать утраченный объем мягких тканей, не удаляя импланты. Чем мы, собственно, и занялись.

    Сразу оговорюсь, что это был второй опыт использования материала Mucograft, а сама операция проведена в 2011 году летом. То есть, с момента операции прошло почти 2 года и, как вы понимаете, за это время мы стали умнее и опытнее. Сейчас этот результат кажется мне не самым лучшим, но в тот момент, когда мы приступали к работе, другой альтернативы не видели.

    Итак, всё началось с анестезии. Затем был проведен послойный разрез слизистой оболочки и надкостницы, из которых сформированы два отдельных лоскута.

    _MG_5282

    Формирователи десны временно удалены. Обратите внимание, что разрез слизистой оболочки и надкостницы делается на разных уровнях. Это сделано для удобства последующего наложения швов.

    В поднадкостничное пространство помещается материал Geistlich BiOss. Его задача — воссоздать объем костной ткани. Затем укладывается FRP-мембрана (изготовленная из тромбоцитарной массы, на надкостницу накладываются швы Vicryl 6-0. Достаточно, буквально, 2-3 лигатур, чтобы удержать надкостницу на месте.

    ВАЖНО, чтобы линия швов не находилась над остеопластическим материалом. В противном случае мы можем получить свищевые ходы и неудачный исход операции.

    Затем, поверх надкостницы и надкостничных швов, укладывается коллагеновая матрица Geistlich Mucograft:

    _MG_5285

    После чего она фиксируется узловыми швами к надкостнице и краям слизистой раны. В данном случае — Gore-Tex 6-0.

    ВАЖНО для фиксации мембраны использовать  нерезорбируемый шовный материал — Prolene, Gore-Tex, Resolone и др. Применение резорбируемого шовного материала, особенно  плетеного (типа Vicryl) может привести к образованию лигатурных свищей. На результат работы это, практически, не влияет, но всё равно очень неприятно.

    Итак, фиксация матрицы:

    _MG_5288

    Операция закончена.

    Пациентке назначается комплексная антибактериальная противовоспалительная терапия, витаминотерапия (обязательно), рекомендуется тщательная гигиена полости рта.

    ВАЖНО, при данных операциях велико желание назначить какие-нибудь кератопластические мази, типа «Солкосерил» или «Метрогил-Дента». Так вот, делать этого не нужно. Опыт (и не только мой) показывает, что качество заживления послеоперационной раны без мазей лучше, нежели с ними. Собственно, сами полоскания, особенно антисептическими растворами, особенно Хлоргексидином — также назначать осторожно, без фанатизма.

    Послеоперационный период сопровождается небольшими отеками и болезненностью. Через 2 дня послеоперационная рана выглядит следующим образом:

    _MG_5375

    Через неделю:

    _MG_5439

    Через три недели мы приступаем к повторной установке формирователей десны. К этому времени область операции выглядит следующим образом:

     _MG_5617  _MG_5618

    На первый взгляд, нам удалось восстановить как и объем тканей, так и область прикрепленной десны (хорошо видно на левом фото).

    Установка формирователей десны. Разрез делается, по возможности, небно, чтобы еще больше увеличить вестибулярный объем десны. Мы должны понимать, что она еще немного атрофируется:

     _MG_5619  _MG_5621

    Послеоперационный период — без особенностей. Антибактериальная терапия не назначается, обезболивающие препараты — по мере необходимости.

    ВАЖНО при открытом ведении ран с целью ускорения эпителизации имеет смысл назначать  витамин С в больших дозировках — до 1 г  в сутки. Если рассматривать Аскорутин (50 мг витамина С+50 мг витамина Р), то назначается, примерно 10 таблеток в сутки, поскольку рутин несколько снижает потребность организма в витамине С и способствует его усвоению.

    Через две недели после установки формирователей десны картина следующая:

     _MG_5747  _MG_5748

    Сравните это с первыми фотографиями. На мой взгляд, изменения очень заметны.

    Некоторое время ждем полной эпителизации раны. Через месяц после установки формирователей десны (и почти два месяца после начала лечения):

     _MG_6640  _MG_6638

    Да, у пациентки есть некоторые проблемы с гигиеной. Нужно обязательно обращать на это внимание.

    ВАЖНО убедить пациента в том, что импланты коронки на них требуют такого же полноценного ухода, как и свои собственные зубы.

    Далее работу с пациенткой продолжает врач-ортопед. Нам остается лишь наблюдать.

    На импланты премоляров устанавливаются металлокерамические коронки на индивидуальных абатментах. Фотография сразу после протезирования:

    _MG_7243 _MG_7244

    Окружающая десна еще не адаптирована к коронкам, и, на первый взгляд, существует несколько проблем:

    1. Недостаточно выраженные межзубные сосочки
    2. Рецессия десны в области медиального корня шестерки — на тот момент мы просто не умели надежно их закрывать.
    3. Не было полной уверенности, что созданный объем тканей сохранится какое-то время. Поэтому решено продолжить динамическое наблюдение.

    *  *  *

    Через 10 месяцев после проведенной операции мы пригласили пациентку на профилактический осмотр. Картинка следующая:

     Через 1,5 года после протезирование. Восстановлены не только зубы, но и весь объем окружающих мягких тканей _MG_7474

    Как видите, конфигурация десны несколько изменилась. Пришеечная часть слизистой оболочки адаптировалась к коронкам, появились подобия межзубных сосочков. Объем окружающих тканей не уменьшился.

    Мы можем говорить об успешно проведенном лечении.

    Однако, наблюдение не прекращается. Недавно, почти через два года с момента начала лечения, мы вновь пригласили пациентку на профилактический осмотр. На мой взгляд, ситуация улучшилась:

     _MG_0684 _MG_0685

    Пациентка довольна проведенным лечением. Мы тоже. Фактически, остеопластика и пластика мягких тканей были проведены после имплантации, при  этом удалось существенно изменить и удержать объем окружающих имплантаты мягких тканей, не прибегая к реимплантации.

    Сравните еще раз:

    В БЛОГ

    Слева направо:

    • до лечения
    • через 5 недель после начала лечения, на этапе установки формирователей десны
    • через 8 недель после начала лечения, сразу после протезирования
    • почти через два года после начала лечения, профилактический осмотр.

    Такие дела.

    Если будут вопросы или комментарии — пишите, всегда рад обсудить.

    Спасибо за внимание.

    С уважением, Станислав Васильев.

  • Свободная тема. Вопросы-ответы за май-июнь.

    Свободная тема. Вопросы-ответы за май-июнь.

    Дорогие друзья!

    Прежде, чем мы приступим к вопросам-ответам, позвольте показать вам один из слайдов доклада, над которой я сейчас работаю:

    В БЛОГ

    На фотографиях, одна из пациенток, случай которой я уже показывал в своем блоге. Речь шла о восстановлении объемов утраченных тканей уже после установки имплантов.

    Подробно по картинкам:

    1. Исходная ситуация. Пациентке были установлены два имплантата Astratech без учета объема и эстетики десны. Ей это не понравилось, поэтому решили всерьез озаботиться состоянием окружающих импланты мягких тканей.
    2. Озаботились. Проведена пластика мягких тканей с использованием материалa Mucograft. Фотографии через месяц после операции. После повторной установки формирователей десны.
    3. Фотографии сразу после протезирования. Видно, что десна еще не адаптировалась к коронкам.
    4. Фотографии через 2 года после протезирования. Состояние десны намного лучше.

    Собственно, к чему я это всё показываю.

    Дело в том, что имплантологическое лечение — это лечение на перспективу. Приступая к работе, мы рассчитываем, что установленные импланты и протетические конструкции на них прослужат не один десяток лет, а в идеале — до конца жизни. То есть, успех имплантологического лечения — это не интегрированный имплант, и не возможность тут же поставить на нее коронку. Это длительная стабильная ситуация не только с установленными имплантами, но и со всем комплексом окружающих имплант тканей. И, как видите, она достижима. Даже у пациентки старше 70 лет.

    Когда меня спрашивают о базальной имплантации (BOI), я, по-еврейски, задаю встречный вопрос: «Какая у вас стоит задача? Воткнуть имплантат всеми правдами и неправдами? Или, все же, восстановить утраченный зуб?» Если первое — то BOI вполне подойдет. Но если мы говорим о восстановлении зуба, со всей его физиологией, биомеханикой и анатомией, то мы должны восстановить и все ткани, окружающие зуб — и костную ткань, и слизистую оболочку.

    *  *  *

    Теперь — к свободной теме. Напомню правила:

    • в комментариях к этой записи вы можете оставлять вопросы по любым стоматологическим  специальностям.
    • стоматологи, которых немало среди моих ЖЖ-шных друзей, на эти вопросы отвечают. Сообразно своему опыту, квалификации и компетенции
    • я отвечаю лишь на те вопросы, которые адресованы конкретно мне, либо долгое время остаются без ответа.

    Всё просто. Для вас — возможность получить множество мнений по интересующей теме. Для стоматологов — проявить себя и, наверное, пригласить вас к себе на прием.

    Начнем!

  • Готовлю доклад…

    Готовлю доклад…

     

    Выступаю 7 июня.

  • График работы на июнь

    График работы на июнь

    Добрый день.

    Мой график работы на июнь:

    • Вторник, Четверг, Суббота, с 9-00 до 20-00 — клиника «Канадская Стоматология»
    • Среда, Пятница,  с 9-00 до 21-00 — клиника «Немецкий Имплантологический Центр».

    Координаты клиник, где я работаю, указаны в разделе «Контакты».

    ОГРОМНАЯ ПРОСЬБА планировать прием заранее, поскольку от создаваемой, часто «мнимой срочностью», толкучки не хорошо ни Вам, ни мне. А я хотел бы каждому пациенту уделить максимум времени, а не по 10-15 минут в перерывах.

    Исключение составляют действительно экстренные случаи — острая боль, отек, воспаление, проблемы в послеоперационном периоде.

    geistlich7 июня (в пятницу) принимаю участие в заседании круглого стола по опинион-программе Mucograft компании Geistlich, следовательно, на работе меня не будет.

     

    Отпуск и другие поездки не планируются. До встречи в июне!

  • Что делать с имплантом?

    Что делать с имплантом?

    Что делать с имплантом? Одна южнокорейская фирма знает ответ:

    Она так и называется: EBI IMPLANT.

    Ох, и тяжело им будет на российском рынке….

  • Договор и информированное согласие на проведение хирургического лечения: немного бюрократии

    Договор и информированное согласие на проведение хирургического лечения: немного бюрократии

    Дорогие друзья! На своем сайте в разделе «Для пациентов» я опубликовал два важных документа:

    Я хотел бы обсудить их с вами.

    Все же, они регулируют взаимоотношения врача и пациента, и мне очень важно, что вы думаете о них. Может быть, у вас есть какие-то комментарии, предложения, уточнения — с интересом выслушаю ваше мнение. Все же, «договор» — однокоренное слово с «договариваться». Он не может быть односторонним.

    Что же касается Информированного согласия, —  а оно, как правило, ввергает пациентов в ужас, —  это необходимое дополнение к Договору. Давайте будем честными: хирургическое лечение — это всегда риск. Пусть небольшой, но всё же риск. Так вот, информированное согласие вовсе не говорит о том, что врач снимает с себя ответственность за возможные последствия вмешательства. Подписывая данную бумагу, вы всего лишь подтверждаете факт того, что доктор предупредил вас о возможных рисках в процессе лечения или после него. А вы доктора выслушали и поняли.

    А может быть, вы считаете, что должны быть еще какие-нибудь документы, с которыми необходимо ознакомиться до начала лечения? Пожалуйста, напишите об этом.

    Спасибо.

  • Еще раз о пломбах из амальгамы.

    Еще раз о пломбах из амальгамы.

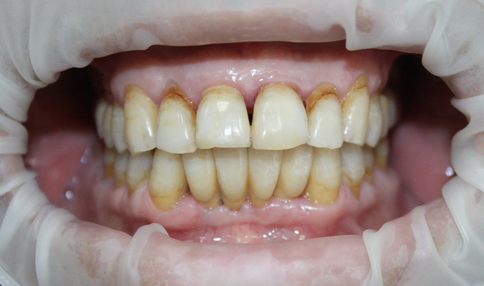
    Всё, о чем пишу в этом блоге, я привык подтверждать (или опровергать) личным опытом. Опыт и практика, какими бы они ни были — хорошими или плохими,  — всегда более надежная опора для утверждений, чем ссылки по принципу «одна бабка сказала». Недавно мне пришлось удалить зуб с амальгамной пломбой, которая прослужила больше 10 лет. Зуб удален из-за обострения хронического периодонтита и невозможности терапевтического лечения.

    Помните, я говорил, что амальгама как пломбировочный материал совершенно не приемлема в современной стоматологии? На мой взгляд, лучше не покажешь:

     IMG_9250   IMG_9250_с_пояснениями

    Друзья, мы с вами неоднократно говорили о пломбах из амальгамы. Некоторые мои коллеги даже утверждали, что амальгама — чуть ли не идеальный пломбировочный материал. Такое утверждение было бы актуальным лет тридцать назад, в «докомпозитную» эпоху. Сейчас амальгама по всем параметрам уступает современным пломбировочным и интересна, разве что, с исторической точки зрения.

    Причин тому несколько:

    • ужасная эстетика. Точнее, ее отсутствие.
    • амальгама не приклеивается к тканям зуба и удерживается в полости, исключительно, за счет силы трения. А это значит, что между пломбой и стенкой зуба есть микроскопическая щель, в которую попадают слюна, остатки пищи, бактерии и т. д. — вторичный кариес (как на снимке) неизбежен.
    • высокая теплопроводность и, как следствие, риск развития пульпита и периодонтита из-за термической травмы (как на снимке)
    • редко-редко — гальваноз (если в полости рта есть металлические коронки или вкладки).

    Такие дела, друзья. А что вы думаете об амальгаме?

    Буду рад, если данные фото прокомментируют стоматологи,
    которые занимаются лечением и реставрацией зубов.

    Спасибо.

     

  • Опубликован прейскурант на стоматологические услуги

    Опубликован прейскурант на стоматологические услуги

    Дискуссию о необходимости наличия прейскуранта на сайте клиники можно посмотреть здесь>>.

    Огромное спасибо всем, кто принял в ней участие. С некоторыми пришлось даже поспорить, но, как говорят, в споре рождается истина  — и за это вам, уважаемые друзья, тоже спасибо.

    Из данной беседы я понял одно — прейскурант на стоматологические услуги должен быть на сайте клиники. Для психологического спокойствия потенциальных пациентов. Ну и, чтобы ориентироваться — дорогая клиника или дешевая. А то, насколько он совпадает с реальностью — вопрос далеко не самый важный.

    В чем заключается «психологическое спокойствие» и «прозрачность», признаться, я так и не понял.

    Например, вы выбираете клинику.

    Зашли на сайт, посмотрели прейскурант и увидели — «лечение кариеса» — 1 000 рублей». О, это мне подходит, подумали вы. Звоните, записываетесь на прием. Приходите. Доктор смотрит, ковыряет, делает снимки и составляет финансовый план. По этому самому финансовому плану получилось — «лечение кариеса, КОНКРЕТНО В ВАШЕМ СЛУЧАЕ — 2 000 рублей». Естественно, Вы спрашиваете: «А вот у вашей клинике на сайте….», на что доктор, вполне логично, замечает: «На сайте указана среднестатистическая цена. А вот КОНКРЕТНО В ВАШЕМ СЛУЧАЕ стоимость лечения составит две тыщи рублей». И далее поясняет, почему цена изменилась.

    Ну так, в данном случае, добавил ли прайс на сайте психологического спокойствия? Или, может быть, от него появилось ощущение «прозрачности» и того, что вас не обманывают? Решение о лечении/нелечении у данного доктора вы приняли после чтения прайс-листа на сайте или после консультации?

    Ладно, фиг с ним, с другими клиниками. Основная масса моих пациентов — это адекватные и умные люди, которых интересует, в первую очередь, качество работы, а не красивые цифры на сайте клиники. Тем не менее, чтобы было на что ориентироваться, я покажу кусочек собственного прайс-листа и объясню механизм ценообразования. На примере операции удаления зубов мудрости.

     Дмира_А_20130129_5269    Сра_А_20120908_4412

    Удаление зуба мудрости на левом снимке обошлось пациенту в 4827 рублей. Удаление зуба мудрости пациенту на правом снимке обошлось пациенту в 4516 рублей, несмотря на то, что технически сделать это сложнее, а сама операция требует больше расходников и трудозатрат.

    По действующему прейскуранту клиники («Канадская Стоматология») удаление данных зубов обходится немногим более 6000 рублей. Можно убедиться на стойке у администратора.

    Почему же такая разница в цене?

    А все потому, что зуб  на правом снимке принадлежит человеку с ограниченными финансовыми возможностями, который, к тому же, попросил сделать удаление зуба подешевле. Ну и, потому что пациент понравился — очень приятный человек. Я бы сделал данное удаление вообще бесплатным — но у меня есть некоторые обязательства перед моим работодателем и моей семьей. К тому же, я должен нормально жить и периодически учиться — а это тоже стоит каких-то денег.

    Иногда меня спрашивают: «От какой суммы у вас начинается синуслифтинг и костная пластика?», я честно отвечаю: «от 0 рублей 00 копеек». Некоторые не верят, думают, что их разводят. Пациенты, уже прошедшие операцию, знают, что нередко мы делаем остеопластики и синуслифтинги бесплатно, если параллельно ставим импланты. Извините, но брать с вас по 20-30 тыс. рублей за 15 минут дополнительной работы мне не позволяет совесть.

    Я работаю с людьми, а не с клиническими случаями. Каждый пациент — это личность. Со своими желаниями, возможностями, «тараканами в голове», в конце концов. Со своим внутренним миром.

    Я не могу подходить ко всем стандартно, не делая различий между пациентами. Может быть, поэтому со многими из них мы впоследствии остаемся друзьями?

    Всё, лирика закончилась, теперь о серьезном. Специально для потенциальных пациентов, я опубликовал прейскурант на моем сайте. Кому интересно — заходите и смотрите.

    Еще раз, спасибо всем за интересную беседу в прошлый раз.

    С уважением, Станислав Васильев.

  • Свободная тема. Вопросы-ответы за апрель.

    Свободная тема. Вопросы-ответы за апрель.

    • Чем отличаются люминиры от виниров?
    • В чем разница между бескаркасными и безметалловыми зубными коронками?
    • Можно ли исправить прикус без брекетов?
    • В каких случаях нужно покрывать зуб коронкой, а в каких можно обойтись пломбой или вкладкой?

    Конечно, я бы мог ответить, но существуют специалисты, гораздо более компетентные в данных вопросах, нежели я. Для того, чтобы вы, уважаемые друзья, получили ответы, так сказать, из первых рук и из компетентных источников, раз в месяц в блоге появляется свободная тема.

    Смысл прост. Вы задаете вопрос по любой стоматологической специальности. А врачи-стоматологи, которых немало среди моих друзей, на них отвечают. Так, как считают нужным.

    В приоритете — мнение моих коллег. Я отвечаю на вопросы только в случае, если они долгое время остаются без ответа, либо адресованы непосредственно мне.

    Итак, спрашивайте! И отвечайте!

  • Перикоронарит. Затрудненное прорезывание зубов мудрости

    Перикоронарит. Затрудненное прорезывание зубов мудрости

    Существует часть пациентов, которой для обращения к врачу-стоматологу нужен повод. Причем, повод весьма весомый. И, к сожалению, часто таким поводом является острое состояние с выраженным болевым синдромом, создающее серьезную опасность не только для здоровья, но и для жизни пациента.

    Мы неоднократно говорили с вами про профилактические осмотры, их необходимость и важность в предупреждении острых воспалительных заболеваний зубов. Ведь острое состояние, боль, отек — всё это признаки крайней запущенности болезни, признак того, что организм постепенно перестает справляться с воспалением. И подает мозгу сигнал в виде сильных болевых импульсов: «Эй, вы там! Наверху! Сделайте что-нибудь!». Но особо упоротые пациенты, вместо срочного обращения к врачу, пытаются заглушить эти сигналы с помощью различных таблеток, как бы говорят собственному организму: «Ты кто такой? Давай, до свиданья!»

    Так вот, друзья, пытаться заглушить боль таблетками — всё равно, что перерезать телефонную линию в пожарной части. Вроде как, телефон молчит — но это вовсе не значит, что пожара нет.

    Сегодня я хотел бы поговорить с вами о перикоронарите — затрудненном прорезывании зубов мудрости. Что это за болезнь, в чем ее причины и как ее лечить — обо всем этом вы узнаете из данной статьи.

    1[1]
    перикоронарит
    как он есть
     Итак, что такое перикоронарит? Простым языком — это воспаление мягких тканей вокруг (коронки) прорезывающегося зуба. Перикоронарит может быть у любых зубов, в том числе и молочных — вспомните своих малышей и то, как у них прорезывались зубки, — это и есть перикоронарит.

    Однако, чаще всего мы имеет дело с перикоронаритом при прорезывании зубов мудрости — и это вполне объяснимо, поскольку в 99,95% случаев воспалительные явления сопровождают именно затрудненное прорезывание зубов.

    Еще раз повторюсь — и это очень важно, — перикоронарит, воспаление окружающих зуб мягких тканей, почти всегда сопровождает затрудненное прорезывание зубов.

    Ну а в каких случаях зубы мудрости прорезываются с трудом? Только только тогда, когда им не хватает места в зубном ряду. Этим, кстати, объясняется редкость перикоронарита шестерок и семерок, ведь к моменту их прорезывания места в челюсти еще более, чем достаточно. Но в возрасте от 16 лет и старше, рост нижней челюсти замедляется и, в некоторых случаях, полный набор зубов в нее не помещается — отсюда и возникает затрудненное прорезывание или просто ретенция зубов мудрости (это когда зубы не прорезываются вовсе и остаются в толще челюстной кости).

    Очень характерный пример я приводил в одной из первых статей, посвященных зубам мудрости:

     0_1abaa_fcaff097_L 0_1abab_6198601e_L

    Снимки сделаны с разницей в несколько лет. На левом снимке зуб мудрости еще не прорезался, но, судя по состоянию костной ткани и корням зубов, формирования прикуса почти завершено. И, поскольку зубу не хватает места, он, цепляясь за семерку, начинает разворот в челюсти (на правом снимке). Именно так получаются горизонтально расположенные «лежачие» зубы мудрости.

    Другими словами, — и это тоже очень важно,  — перикоронарит зубов мудрости является первым признаком того, что с прикусом не всё в порядке. Поэтому всем пациентам, кто столкнулся с данным заболеванием, я рекомендую обязательно проконсультироваться с врачом-ортодонтом.

    Возможно ли предвидеть затрудненное прорезывание зубов мудрости и следующее за этим нарушение прикуса? Да, возможно.

    В этом деле велика роль профилактических осмотров. Многие ли из вас посещают стоматолога регулярно, даже когда ничто не беспокоит? Уверен, что у тех, кто это делает, никаких проблем с зубами нет. А всё потому, что на профилактических осмотрах мы можем выявить и ликвидировать потенциальные проблемы, пока они не превратились в что-то более серьезное.

    Допустим, пришел пациент в возрасте 15 лет на профилактический осмотр, мы сделали снимки и заметили зачатки зубов мудрости. Направили пациента к ортодонту, который, проведя специальное исследование (ТРГ) и расчеты, заключил, что зубы мудрости в зубном ряду не поместятся. Следовательно, в процессе прорезывания они либо дадут перикоронарит (и нам придется их удалять), либо начнут двигать соседние зубы вперед и усугубят ситуацию с прикусом.

    В общем, друзья мои, перикоронарит и затрудненное прорезывание зубов мудрости — следствие начинающихся проблем с прикусом.

    Исходя из понимания вышенаписанного, давайте рассмотрим правильную тактику лечения данного заболевания.

    В учебниках, по которым я учился в университете («это были девяностые, мы учились, как могли»), и которые, в свою очередь, являются перепечаткой еще более старых учебников, по которым учились мои учителя, основным способом лечения перикоронарита называется иссечение слизистого капюшона над коронкой прорезывающегося зуба:

    IMG_9117[1]

    Вроде как, иссекли капюшон, освободили коронку зуба — и вуаля! Зуб прорезался, все счастливы. Сидим, радуемся.

    Однако, на практике происходит совершенно иначе. В более,чем 80% случаев, рано или поздно, возникает рецидив заболевания — а всё потому, что иссечение капюшона не устраняет причины перикоронарита, затрудненного прорезывания зуба мудрости (недостатка места в зубном ряду), а сама слизистая оболочка обладает уникальным свойством регенерировать.

    Почему же тогда про иссечение слизистотканного капюшона писали в древних учебниках, а некоторые хирурги до сих пор практикуют данный способ лечения, несмотря на его очевидную неэффективность? А всё дело в том, что в те далекие седые времена всерьез никто не рассматривал прикус как основу стоматологического здоровья, и, как следствие, считал ортодонтию чуть ли не уделом косметологии — типа, она нужна только для эстетики. А ряд нынешних хирургов не видят дальше кончика собственного скальпеля и совершенно не хотят вникать в причины тех или иных проблем в полости рта — им лишь бы резать-зашивать, резать-зашивать…

    Кстати, по этой же причине в отечественной стоматологии весьма часты неудачи при лечении заболеваний пародонта — без понимания роли правильного соотношения зубов и важности ортодонтического лечения в пародонтологии нечего делать.

    Другая причина, почему некоторые хирурги прибегают к иссечению капюшона при перикоронарите — это страх осложнений или проблем во время/после удаления зуба мудрости. Дескать, отек будет, болеть будет.. А разве при иссечении слизистотканного капюшона такого не бывает? Бывает, еще как — а причина в том, что отекает не костная ткань, не лунка зуба, а именно слизистая оболочка и подлежащие мягкие ткани. Она содержит больше нервных рецепторов и сосудов — именно от нее идет основная боль и отек после операции. К тому же, правильное удаление зуба мудрости занимает столько же времени, сколько и иссечение слизистого капюшона, а послеоперационный период проходит совершенно с теми же ощущениями.

    Ну а разница в том, что в первом случае (при иссечении слизистой) мы лишь оттягиваем решение проблемы и не устраняем причину перикоронарита. А во втором случае (при удалении зуба мудрости) устраняем причину болезни, решая, тем самым, проблему.

    На мой взгляд, единственной ситуацией, когда мы можем прибегнуть к иссечению слизистотканного капюшона, является невозможность удаления зуба по каким-то техническим причинам — отсутствие необходимых инструментов и оборудования, недостаточная квалификация стоматолога и т. д.

    Во всех остальных случаях единственно правильным способом лечения перикоронарита является удаление причинного зуба мудрости. Всё очень просто:

     1 2

    Между фотографиями разница в 3 минуты. И проблемо финито.

    Что касается конкретно удаления зубов мудрости, то даже в самых сложных случаях это редко занимает больше 15-20 минут, совершенно безболезненно и комфортно. Подробнее об удалении зубов мудрости, показаниях к удалению и послеоперационном периоде можно почитать по соответствующим ссылкам.

    С удовольствием отвечу на ваши вопросы и комментарии.

    Спасибо за внимание.

    С уважением, Станислав Васильев.

  • Интриги, скандалы, расследования. Стоматология снова на ТВ.

    Интриги, скандалы, расследования. Стоматология снова на ТВ.

    Одна российская телекомпания готовит сюжет о стоматологах. Точнее о том, как стоматологи обманывают пациентов, как наживаются на них и как косячат.

    Для того, чтобы снять сюжет, им нужны люди, «обиженные и обманутые» стоматологами. Ну, скажем, пошли вы к доктору, а он ррраз! — и вместо одного кариеса нашел пятьдесят дырок. Или обещал, что ортодонтическое лечение будет длиться полтора года, а вместо этого вы ходите с брекетами уже третий год, и конца этому лечению не видно. Или, например, после лечения выяснилось, что установка коронки обошлась вам в 2-3 раза дороже суммы, которая называлась до лечения.

    В общем, телевидение ищет героев для своей передачи. Если хотите поучаствовать — пишите в на электронную почту staskins@2026.implant-in.com, я дам телефон координатора.

    *  *  *

    Уважаемые телевизионщики и сопричастные. Я прекрасно понимаю, что передачи в стиле «интриги-скандалы-расследования» очень популярны в нашей стране и имеют высокий рейтинг. Но, пожалуйста, включите голову и подумайте — а какова польза от таких передач? Ну, все повозмущались, поохали, поругали врачей-убийц — а что дальше? Какие цели данная передача преследует — раскрыть «правду» или напугать людей и внушить им, что стоматологи — сплошь мошенники и убийцы? Но для «раскрытия правды» как-то однобоко все получается.

    Неужели сложно придумать и снять научно-просветительскую передачу о стоматологии? Рассказать, о современной стоматологии, ее новейших методиках, показать ее возможности и раскрыть некоторые секреты — я уверен, что такая передача будет интересна самому широкому кругу зрителей. Ведь что знают простые люди о тех же брекетах? То, что их нужно долго носить, что они дорогие, что они, якобы, портят зубы. Но мало кто знает, что правильное соотношение зубов — это основа здоровья не только зубов, но и организма, в целом. Что существует огромное количество различных брекет-систем, что ортодонтия находится на острие стоматологической науки и количество ортодонтических пациентов растет в геометрической прогрессии. Так почему бы об этом не рассказать? Честно и объективно.

    Несомненно, такая передача была бы не только интересной, но и полезной. Ведь, чем больше люди знают о стоматологии — тем меньше у них страхов, тем сложнее ввести их в заблуждение, тем лучше для них.

    А это значит, что историй, когда стоматолог обманул пациента и навредил ему, будет всё меньше и меньше…

  • График работы на апрель

    График работы на апрель

    Уважаемые друзья! И снова здравствуйте!

    Публикую график работы на апрель:

    • вторник, четверг, суббота с 9-00 до 20-00, клиника «Канадская Стоматология».
    • среда, пятница с 9-00 до 21-00, клиника «Немецкий Имплантологический Центр».

    Координаты клиник, телефоны и схемы прохода/проезда есть на моем сайте в соответствующем разделе.

    Напомню, что консультации в клиниках бесплатные. Это сделано, в первую очередь, для удобства пациентов, поскольку ничто и никогда не заменит личного общения. Также напомню, что я занимаюсь только хирургической стоматологией и дентальной имплантологией, т. е. не лечу кариес и не занимаюсь протезированием.

    Единственная просьба — записываться на прием или консультации, как минимум, за неделю (а лучше — еще раньше). Конечно, очередь на прием — это признак хорошего и востребованного специалиста, но мне крайне неудобно заставлять вас ждать. Каждому из своих пациентов я хотел бы уделить максимум времени и внимания, а не отвечать на вопросы урывками, на бегу, как в муниципальной поликлинике. Рассчитывайте на то, что одна лишь консультация может занимать от получаса и больше, до тех пор, пока у вас не останется вопросов и сомнений.

    Исключение — острая боль и другие неотложные состояния. Появился отек, болезненность, опухла десна или еще что-то острое случилось — не нужно ждать очереди. Просто позвоните мне, и я приму вас в самое ближайшее время.

    С 24 апреля по 8 мая  — я в отпуске. За это время, с целью обмена, опытом я планирую посетить несколько стоматологических центров в Германии, Франции и Италии, а со 2 по 4 мая приму участие в симпозиуме по остеологии:

    osteology[1]

    Вот такие планы у меня на апрель.

    До встречи!

    С уважением, Станислав Васильев.

  • Свободная тема. Вопросы-ответы за март

    Свободная тема. Вопросы-ответы за март

    Каждый месяц в моем блоге, а теперь — еще и на сайте, начинается со свободной темы.

    Ее смысл очень прост: вы задаете вопросы по любой из стоматологических специальностей, а мои друзья, среди которых немало очень хороших стоматологов-специалистов, на эти вопросы отвечают.

    Например, в силу своей специализации, я вряд ли смогу внятно ответить на вопросы по лечению или протезированию зубов, но зато у меня есть друзья, обладающие необходимым опытом и квалификацией, способные дать компетентный ответ.

    Я отвечаю лишь тогда, когда вопрос долгое время остается без ответа, либо адресован, непосредственно, мне.

    Итак, задавайте вопросы в комментариях. Отвечайте на вопросы в комментариях.

    Спасибо!

  • Март…

    Март…

    … — время переосмысления и работы на ошибками.

    Не, ну и у меня изредка бывают ошибки. При этом я всегда знаю, как их исправить. И исправляю.

    Вообще, мое мнение в распределение ответственности за результат лечения таково. С пациентом работает, прежде всего, врач, а не клиника. Поэтому за результаты лечения отвечает доктор. В конце концов, он мог бы предвидеть проблемы и отказаться от работы с пациентом.

    График работы в марте

    Приходите в гости!

     

  • Отдаленные результаты имплантации и профилактические осмотры

    Отдаленные результаты имплантации и профилактические осмотры

    Друзья, недавно мы обсудили несколько очень важных моментов, касающихся дентальной имплантации:

    Для тех, кому лень возвращаться к этим записям и читать их, повторюсь очень кратко: отторжение импланта до года после протезирования (в т. ч. до протезирования) есть проблема врача, а в срок от года и дольше после протезирования — проблема пациента. У неприживаемости имплантов есть вполне конкретные причины, среди которых «особенности организма пациента» играют последнюю роль.

    Сегодня я хотел бы с вами обсудить отдаленные результаты имплантологического лечения и понять, что мы от этих самых имплантов ожидаем.

    Не секрет, что дентальная имплантация и протезирование на имплантах — весьма дорогостоящая штука. Причем, во многом стоимость работы зависит от пожеланий пациента — чем выше эстетические и функциональные требования, тем больше объем и, соответственно, цена лечения.

    Но что мы получаем за эти деньги?

    В первую очередь, длительный срок службы протеза. В отличие от любых других видов протезирования, ни импланты, ни коронки на имплантах не требуют замены и, в случае адекватного ухода и гигиены, будут «жевать» очень долгое время, вплоть до конца жизни.

    Во-вторых, дентальная имплантация — единственный метод опоры протезов, который не приводит к ухудшению состояния полости рта.

    Так, в случае изготовления мостовидного протеза в случае одного отсутствующего зуба, нам приходится препарировать (нередко — депульпировать, «удалить нерв») и готовить под коронки два соседних зуба. В итоге, мы получаем еще два проблемных участка в полости рта: за мостовидным протезом требуется тщательный уход, а сами депульпированные зубы подвергаются значительной перегрузке — и, следовательно, срок их службы относительно небольшой. Нередки случаи, когда через 4-8 лет эксплуатации «моста», приходится удалять опорные зубы и расширять область имплантации. Так, мы постепенно приходим к съемному протезированию.

    Я уже не говорю об эстетической и функциональной стороне вопроса. Мостовидный протез — это именно протез, назвать его «искусственным зубом» в полном смысле этого слова не представляется возможным.

    Другой возможный способ протезирования без имплантов, — и это касается, в первую очередь, значительного количества отсутствующих зубов, — съемное протезирование.

    Многие пациенты говорят, что «со съемными протезами приходит старость», поскольку сильно падает качество жизни. Со съемным протезом неудобно разговаривать, жевать, улыбаться и вообще — жить полноценной жизнью. Более того, в силу особенностей удержания в полости рта, любой съемный протез крайне негативно воздействует на зубы и подлежащую десну.

    Получается, что любые зубные протезы, как съемные, так и мостовидные, со временем потребуют замены вследствие повреждения ими зубов и окружающих тканей.

    Почему же не требуется менять импланты или протезы на имплантах?

    Дело в том, что коронка на импланте, по сути дела — искусственный зуб. Сам имплантат играет роль корня, а металлокерамическая или циркониевая коронка — роль коронковой части зуба.

    Дентальный имплантат восстанавливает, прежде всего, фунциональную роль зуба. Благодаря ему, жевательная нагрузка передается с коронковой части, непосредственно на «искусственный корень» (имплантат), и далее распределяется в костной ткани — всё происходит точно также, как у естественных зубов.

    Вокруг установленного имплантата со временем формируются структуры тканей, схожие с теми, что окружают естественные зубы (например, слизистотканная муфта, окружающая основание абатмента, является «почти» аналогом круговой связки зуба).

    Вот почему я утверждал и продолжаю утверждать, что размер и положение импланта должны соответствовать размеру и положению отсутствующего зуба. Вот почему я всерьез рассматриваю только винтовые импланты строго определенных производителей — ведь наша задача не «воткнуть» имплантат любой ценой, —  мы должны воссоздать не только зуб, но и весь комплекс тканей вокруг него. Только так можно добиться качественной эстетики, хорошей функциональности и длительного срока службы искусственных зубов.

    Кстати, о длительных сроках службы. Многие хорошие и честные стоматологические клиники дают на ортопедические конструкции с опорой на импланты определенную гарантию — 1 год с момента протезирования.

    Данный срок совершенно оправдан — обычно за этот период все возможные проблемы, в том числе, ошибки, допущенные при установке имплантов и протезировании, дают о себе знать. Если протез на имплантах простоял больше, чем один год — значит, какие-то неприятности с ним в отдаленном периоде маловероятны. Конечно, при условии качественного ухода и тщательной гигиены полости рта.

    Сразу отмечу, что «пожизненная гарантия» или «гарантия 10-15 лет», которую обещают некоторые не очень добросовестные клиники или стоматологи — небольшое лукавство.

    Во-первых, когда по каким-то причинам пациент теряет импланты через 4-5 лет после установки, вдруг выясняется, что «пожизненная гарантия» распространялась на имплантат как на техническое изделие, а не на имплантацию как на медицинскую услугу. Вот, имплант, в руке — он же не сломался! Значит, негарантийный случай.

    Действительно, сломать имплантат очень и очень сложно. Титановый болт 5-миллиметрового диаметра же.

    Во-вторых, потеря имплантатов в отдаленном периоде (от года и больше с момента протезирования) — это почти всегда проблема ухода и гигиены. То есть, если пациент не чистил зубы, не приходил на профилактические осмотры — кто в этом виноват?

    Правильно сказал однажды мой друг Хаден, врач-стоматолог-ортопед: «Я могу дать пожизненную гарантию на зубные протезы, но в этом случае стоимость данной работы будет в 3-4 раза выше клинического прайса.» И не возразишь)).

    *  *  *

    К сожалению, пациент не всегда может самостоятельно заметить какие-то проблемы на начальных стадиях. Чаще всего к врачу обращаются лишь тогда, когда беда приобрела какие-то совершенно катастрофические масштабы.

    Поэтому одна из рекомендаций для пациентов с имплантами — периодические, примерно, раз в полгода, профилактические осмотры. В нашей клинике мы сделали их бесплатными — и теперь имеем возможность наблюдать отдаленные результаты своей работы.

    Лично я считаю результатом именно то, что мы наблюдаем через несколько лет после имплантации.

    Тут как с хорошим вином — пока оно созревает, то изменяет свой вкус и аромат, но со временем процессы брожения почти прекращаются, и вино, разлитое в бутылки, уже более-менее стабильно — именно тогда мы дегустируем, оцениваем и говорим, удалось вино или нет.

    Я специально выбрал две работы, про которые уже писал. С момента имплантации и протезирования прошло 1,5-2,5 года. Я сделал фотографии и предлагаю сравнить их с тем, что было через несколько месяцев после протезирования.

    Случай №1. Немедленная одиночная имплантация.

    Начало и промежуточные результаты данной работы можно посмотреть здесь>>

    Исходная ситуация, удаление зуба и немедленная установка импланта Astratech Osseospeed:

    исходная ситуация - перелом корня бокового резца
    исходная ситуация — перелом корня бокового резца
    немедленная установка импланта Astratech c формирователем десны
    немедленная установка импланта Astratech c формирователем десны

    Через несколько месяцев после протезирования:

     1  2

    Через два с половиной года после протезирования:

     4  6

    Как видно на фотографиях, эстетика десны в области искусственного бокового резца только улучшилась — межзубные сосочки и прикрепленная слизистая оболочка приобрели правильную форму и цвет, а сам зуб, практически, неотличим от естественного. Осталось только уговорить пациентку продолжить работу с клыком и центральными резцами, которые, несомненно, требуют такой же качественной реставрации.

    Случай №2. Имплантация и несъемное протезирование при полном отсутствии зубов.

    О нем, как и о методике лечения, подробно рассказано здесь>>

    Исходная ситуация — и-за осложнений пародонтита, мы вынуждены удалить все зубы на нижней челюсти. На верхней челюсти нет зубов больше десяти лет:

    из-за осложнений периодонтита удалены все зубы нижней челюсти
    из-за осложнений периодонтита удалены все зубы нижней челюсти

    Одномоментно, на нижнюю челюсть установлены четыре импланта Astratech Osseospeed. Чуть позже, 4 импланта установлено на верхнюю челюсть:

    _MG_5303

    По схеме all-on-4 изготовлен и установлен несъемный металлокерамический протез. Винтовая фиксация протеза к имплантам:

    IMG_1182

    Конечный результат через несколько месяцев после протезирования:

    Пациентка очень довольна!
    Пациентка очень довольна!

    Профилактический осмотр через полтора года после протезирования. У пациентки нет никаких жалоб, гигиена полости рта в норме:

    Внешний вид протеза в полости рта:

    IMG_4482

    Внешний вид при улыбке:

    IMG_4478

    В последнем случае можно сказать, что мы раз и навсегда решили проблему с зубами — нам точно не придется что-то доделывать или переделывать. Для человека, разменявшего восьмой десяток, это очень важно — спокойно жить, нормально жевать и улыбаться, не отвлекаясь на стоматолога.

    Как видите, что в первом, что во втором случае, с протезами и имплантами за срок в 1,5-2,5 года не произошло никаких изменений. Это говорит о том, что к вопросу работы с данными зубами мы совершенно точно уже не вернемся. Хотя, и продолжим наблюдать за ними в течение еще нескольких лет.

    Профилактические осмотры — это важная и неотъемлемая часть стоматологической работы. Даже если, на ваш взгляд, с зубами ничего не происходит — имеет смысл заглядывать к стоматологу хотя бы раз в полгода-год. Возможно, действительно никакого лечения не требуется, но если есть какая-нибудь незаметная пока проблема — лучше ее выявить и ликвидировать. Ведь, чем раньше начато лечение — тем оно эффективней и надежнее. Ну и, разумеется, дешевле.

    Надеюсь, по двум указанным случаям, понятны перспективы качественного имплантологического лечения и протезирования — на сегодняшний день, это единственный надежный качественный, эстетичный, функциональный и долговечный способ решения проблемы отсутствующих зубов.

    Наверняка, следующий этап развития имплантологии — это стволовые клетки, выращивание и интеграция зубов из биоматериалов. Но когда это будет и сколько это будет стоить?

    Как обычно, жду Ваши вопросы в комментариях.

    Спасибо за внимание.

    С уважением, Станислав Васильев.

  • Я на работе!!!

    Я на работе!!!

    Ура! Я на работе!

    В любом отпуске всегда наступает момент, когда начинаешь скучать по любимой работе. И вроде отдых уже не в радость — хочется поскорее оказаться в привычной обстановке и заняться привычными делами.

    С сегодняшнего дня я работаю в обычном режиме, с 9-00 до 20-00, кроме воскресенья и понедельника. Координаты клиник, где я работаю, указаны здесь>>

    В связи с желанием повысить качество собственной работы, я хотел бы попросить вас о следующем:

    1. Если проблема, которая вас беспокоит, не терпит отлагательств (например, острая боль или отек), лучше всего срочно позвонить мне (или в клинику) и записаться на прием. По электронной почте неотложные экстренные вопросы лучше не решать. Ведь никто скорую помощь через интернет не вызывает, верно?
      Я всегда найду время и возможность принять пациента с острой болью в самое ближайшее время.
    2. Если вы хотите получить полноценную консультацию, то записывайтесь на прием заранее (за 3-4 дня), как минимум, на полчаса, старайтесь не опаздывать. Прошу отнестись к этому с пониманием — пациентов очень много, а времени мало. Уважайте других людей, нуждающихся в помощи также, как и Вы.
    3. Если предполагается какая-нибудь манипуляция в день первичного обращения (удаление зуба, ретенционной кисты и т. д.), записывайтесь, как минимум, на 45-60 минут. Нет ничего хуже, чем спешка.
    4. Консультации бесплатные. Стоимость лечения зависит от исходной ситуации и ваших пожеланий, поэтому каждый раз рассчитывается в индивидуальном порядке.
    5. Еще раз прошу вас отнестись с пониманием к тому, что запись на консультации или лечение идет на неделю вперед. Если бы в сутках было 28 часов, а неделе — 9 дней… возможно, ситуация была бы иная, но в настоящий момент я хотел бы уделить каждому пациенту максимум внимания и заботы. В том числе, и вам. 😉

    Готов ответить на вопросы в комментариях.

    С уважением, Станислав Васильев.

  • The site is андер констракшн

    The site is андер констракшн

    Дорогие друзья! Я прошу отнестись с пониманием к тому, что многие разделы этого сайта содержат мало полезной информации или попросту  пусты. В настоящий момент я активно работаю над их заполнением.

    Например, сегодня почти заполнил раздел ДЛЯ ВРАЧЕЙ. В нем уже есть необходимая информация о сотрудничестве, учебных курсах, а также анонсирована книга, над которой я работаю уже весьма продолжительное время.

    На прошлой неделе заполнил раздел ЭТО Я, но, на мой взгляд, он получился слишком пафосным и малопонятным. Надо бы переделать, чем и займусь в ближайшее время.

    В разделе КОНТАКТЫ вы можете найти способы связаться со мной по любым существующим вопросам или записаться на консультацию.

    Ну и, удивительно, что с момента анонса в блоге supradent.ru сайт посмотрело уже более тысячи человек. И я вам очень признателен за такой интерес.

    Еще раз огромное спасибо за внимание.

    С уважением, Станислав Васильев.

  • Вот оно, начало… ©

    Вот оно, начало… ©

    Наконец-то, после длительных мучений и тягостных раздумий, при поддержке светилы IT-бизнеса Олега Милюкова и компании Meris, запущен сайт IMPLANT-IN.COM!

    О чем он будет? Да так, очередной ресурс, посвященный хирургической стоматологии и дентальной имплантации. Сейчас он скучный, серый и совершенно не информативный. Но у него весьма толковый автор, гигантские амбиции и огромные возможности. А это значит, что скоро он будет таким же популярным и полезным, как мой блог о понятной и доступной стоматологии — supradent.ru.

    Удачи вам! Удачи мне.

    Стас Васильев.