Уважаемые друзья, раскол был ожидаем. И вот, он произошёл.
Как вы все знаете, в декабре прошлого года у меня (точнее, у нас) появился новый сайт CLINICIN.RU, бонусом к которому прилагался одноименный стоматологический центр на Остоженке. Отныне, предназначенные для пациентов статьи, с меньшим содержанием медицинской терминологии, кровищи и прочей расчленёнки, будут публиковаться там. Причём, по всем стоматологическим специальностям. Поэтому, если вы интересуетесь имплантацией зубов как пациент, если ваша психика остро реагирует на вид лунки удалённого зуба, а мысль об уколе анестезии роняет в обморок — добро пожаловать на clinicin.ru, ибо он заботится о вашем душевном здоровье.
Задача этого сайта — показать хирургию полости рта и имплантологию такой, какая она есть. Далее здесь будет размещаться информация, как говорится, без купюр и цензуры, но в большей степени для врачей. Ну, или для очень стойких пациентов. Таких, которые смогли бы сами себе поставить имплантат или удалить зуб мудрости, дай им такую возможность. В общем, если вид крови вас не пугает, а специальные термины понятны — добро пожаловать на IMPLANT-IN.COM.

Таки да, в рамках образовательной функции IMPLANT-IN, мы продолжаем разговор про имплантаты. Точнее, про рекомендации по их установке. Для начала, я рекомендую вам ознакомиться с предыдущими сериями частями статьи.
Часть I — о том, от чего зависит качество имплантологического лечения. Особенно рекомендована пациентам. И тем, кто думает, что немецкие имплантаты лучше корейских. И наоборот.
Часть II — критерии выбора имплантационной системы для хирургической практики. Что на самом деле важно, если речь идёт о покупке имплантационной системы? И на что можно забить?
Часть III — микро- и макродизайн имплантационной системы. Вообще, чем имплантаты разных марок отличаются между собой?
Часть IV — хирургический протокол — формальность или правило? Нужно ли его соблюдать? И что будет, если не соблюдать?
Часть V — самая важная. Ибо про позиционирование имплантатов. Напомню, что наибольшее количество косяков и ошибок имплантации — это ошибки подбора и позиционирования имплантата.
А сегодня, уважаемые друзья, мы поговорим о самой операции имплантации. На примере используемых в CLINIC IN имплантационных систем, — а это Astra Tech, Ankylos, XiVE, — я покажу вам процесс установки имплантата в конкретной клинической ситуации, сопроводив всё это шутками-прибаутками своими комментариями, которые, я надеюсь, позволят понять, как всё то, что мы обсуждали в предыдущих частях, реализуется на практике.

Так уж сложилось, что простых случаев у нас относительно немного. Редко получается «просто поставить имплантат«, в основном, операция имплантации сочетается с остеопластикой, синуслифтингом или чем-то еще. Подобрать клинический случай для демонстрации имплантационной системы было не так уж и легко. Поэтому сегодня, разбирая установку имплантата Astra Tech Osseospeed, мы немного коснёмся операции синуслифтинга. Подробнее почитать о нём можно здесь>>
Итак,
Astra Tech Osseospeed TX.
Это одна из наиболее известных имплантационных систем компании Dentsply Sirona Implants. И, в отличие от XiVE и Ankylos, разрабатывалась и долгое время производилась суровыми викингами в Швеции, пока в эпоху глобализации почти все этапы производства не перенесли на завод Friadent в Майнгейм. Другими словами, назвать систему Astra Tech шведской можно только по происхождению, ибо сейчас производится она в Германии, на предприятии Dentsply Sirona Implants.

Аstra Tech, сцуко, суровая система. Почти такая же суровая, как сами викинги, но викинги, всё же, чуть-чуть посуровее. И дело тут даже не в хирургическом протоколе.
Имплантаты Astra Tech имеют уникальный и узнаваемый макродизайн, основной «фишкой» которого является два типа резьбы — мелкая резьба в пришеечной части, более крупная на остальной поверхности имплантата:

Для чего это нужно — читайте в III и IV частях «Рекомендаций…». Этим, кстати, объясняется заявляемая DSI (здесь и далее — сокращение Dentsply Sirona Implants) степень сохранения уровня кости вокруг имплантата Astratech. При условии соблюдения хирургического протокола, разумеется:

Наука же показывает это вот так (график спёрт с официального сайта DSI):

Тип соединения «имплантат-абатмент» — коническая платформа с антиротационным элементом, двенадцатигранником, ставшая классикой жанра, и успешно скопированная множеством других производителей — начиная от корейских Dentium и, заканчивая российскими Конмет. В целом, точность изготовления платформы невысока, в сравнении с теми же Ankylos или XiVE, конкретно Friadent-системами, что, с одной стороны, существенно облегчает работу ортопеда, с другой — позволяет легко и с полпинка изготавливать «левые» запчасти и прочий контрафакт для протезирования. Следует отметить, что в этом отношении имплантационная система Astra Tech — один из лидеров по количеству поддельных супраструктур, уступая, разве что, лишь одной швейцарско-американско-израильской имплантационной системе.
В настоящий момент доктора в России и странах СНГ работают с третьим поколением имплантационной системы Astra Tech — Osseospeed TX. От предыдущего поколения, называющегося просто Osseospeed, оно отличается заострённой апикальной частью:

и наличием имплантатов TX Profile со скошенной платформой:

По заявлениям производителя, усовершенствование TX, вроде как, должно облегчить немедленную имплантацию и немедленную нагрузку. Однако, всё это реализовано очень и очень неполноценно и странно — если вы меняете форму имплантата, то, по идее, должны изменить и хирургический протокол. А он никак не изменился — следовательно, если и были у TX с точки зрения макродизайна какие-то преимущества, то все они свелись на нет неизмененным хирургическим набором и схемой установки. В общем, умом шведов не понять, вспомните, хотя бы, ВИА «Army Of Lovers». Каких-то существенных плюсов у TX в сравнении с обычными Osseospeed нет (и быть не может, ибо кроме заострённого кончика ничего не изменилось), а вот EV…. EV, хоть и считается следующим поколением Astra Tech, но, по факту, является принципиально иной имплантационной системой, со своими размерами имплантатов, хирургическим протоколом, наборами и правилами.

Кстати, о хирургическом протоколе. Наверное, сейчас сложно найти имплантационную систему с настолько замудрённым хирургическим протоколом. Взгляните, хотя бы, на хирургический набор:

и хирургический протокол:

Как вам?
Некоторые доктора находят его простым, но эти доктора, видимо, не работали с другими имплантационными системами. Для того, чтобы поставить имплантат диаметром 4.5 мм, необходимо использовать наименьшее количество фрез, в сравнении с другими системами DSI, но от этого он проще не становится:

Как это делается — рассмотрим далее, на конкретном клиническом примере.
Клинический случай — двадцать шестой зуб, установка имплантата Astra Tech и синуслифтинг.
Сосредоточимся на установке имплантата Astra Tech Osseospeed TX, ибо синуслифтинг мы обсуждали ранее, здесь, здесь, здесь, тут и еще здесь. На данном примере я покажу вам установку имплантата Astra Tech Osseospeed TX 5.0х9 мм.
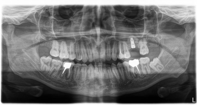
Изначальная клиническая ситуация
Пациенту удалили 26 зуб около двух месяцев назад. Вот компьютерная томография

Подробнее:

В общем, тут нужен синуслифтинг. И, исходя из последних данных об этой операции, 2,6 мм до дна верхнечелюстной полости достаточно, чтобы нормально стабилизировать имплантат, в т. ч. Astra Tech.
26 зуб удалён относительно недавно, поэтому альвеолярный гребень сохранил ширину — это даст нам возможность поставить бескомпромиссно большой по диаметру имплантат — 5.0 мм.
В этой конкретной клинической ситуации первичная стабильность не зависит от длины имплантата, поэтому длину можно выбирать любую. Мы возьмём оптимальную — 9.0 мм. Ибо проще будет с синуслифтингом.
Подробнее о подборе имплантатов можно почитать в предыдущей части «Рекомендаций…»
Готовимся к операции. КЛКТ уже сделали, заполняем договор, план лечения, информированное согласие и всё такое….
Анестезия, разумеется….
Синуслифтинг. Читайте здесь>>.
Начинаем подготовку лунки под имплантат
Выставляем обороты и крутящий момент на физиодиспенсере:

Напомню, что стартовать можно с любых оборотов, поскольку последующие фрезы «вырежут» всю поврежденную костную ткань. Кроме того, чем выше обороты, тем меньше вибрация фрезы и выше точность, начинать препарирование (сверление) кости при сложном рельефе альвеолярного гребня проще на максимальной частоте вращения.
Первым инструментом из хирургического набора является шариковый бор. Он нужен для того, чтобы разметить положение имплантата:

Многие доктора (и некоторые производители имплантационных систем) заменяют шариковый бор в хирургическом наборе на фрезу Линдеманна или пику. На самом деле, шарик намного удобнее, поскольку не заклинивает в плотной кости, может работать любой поверхностью, а его основная функция — поставить точку на поверхности альвеолярного гребня, через которую потом пройдёт ось имплантата. Так что совсем уж углубляться шариком в кость не нужно. Тем более, не стоит проходить им всю глубину будущей лунки. Поставили точку — и всё на этом.
Далее, мы проходим лунку на всю глубину пилотной фрезой диаметром 2.0 мм.

После этого можно поставить пин и проверить направление и ангуляцию оси будущего имплантата.

Кстати, о пинах. В Astra Tech они, сцуко, хитрые. Диаметр тонкого конца 2.0 мм, а толстого — 3.2 мм. Это значит, что измерить и оценить ось имплантата мы можем на этапе пилотной фрезы (2.0 мм) и следующей за ней «зеленой» (3.2 мм). Далее точные изменения становятся невозможными. Платформа-ограничитель имеет размеры 3.5 (по узкой) и 5.0 (по широкой частям) мм, что позволяет оценить положение будущей лунки относительно других имплантов и соседних зубов в окклюзионной плоскости.

Следующей мы используем фрезу 2.0/3.2:

Такие фрезы — особенность имплантационной системы Astra Tech. Они нужны для того, чтобы не разломать края лунки и сделать переход между фрезами (а мы переходим с 2.0 на 3.2 мм) более точным и плавным, благодаря направляющей 2.0 мм. Однако, пройти лунку такой фрезой на всю глубину удаётся далеко не всегда. В таких случаях используется обычная спиральная фреза диаметром 3.2 мм (с зеленой полоской). Но в нашем случае такой необходимости нет, ибо выше только субантральное пространство, поэтому мы работаем только вот такой двойной фрезой.
После этого можно еще раз (последний, кстати), проверить направление и ангуляцию оси будущего имплантата. Всё тем же вышеозначенным пином:

Если бы мы хотели поставить имплантат диаметром 4.5 мм, то далее мы перешли бы к кортикальной конической фрезе. Однако ж, я посчитал, имплантат диаметром 5.0 мм в данной клинической ситуации будет более надежным и органичным, поэтому мы продолжаем подготовку лунки. И следующая используемая фреза — 3.2/3.7 — то же самое. что и предыдущая, с направляющей 3.2 мм:

Это — финишная фреза при подготовке лунки под имплантат диаметром 5.0 мм (за исключением Osseospeed S, т. е. с цилиндрической шейкой). Но лунка под имплантат еще не готова. Давайте еще раз посмотрим на имплантат, который мы собираемся установить:

То есть, конкретно у этого имплантата между диаметром тела (3.7 мм) и диаметром платформы (5.0 мм) есть существенная разница. Это, кстати, нередко вводит в заблуждение имплантологов, впервые столкнувшихся с этой имплантационной системой — не совсем понятно, как таким набором фрез подготовить лунку под такой большой имплантат.
С другой стороны, существует определенная группа столяров-слесарей, живущих по принципу «посильнее закрутил — лучше держится» (то, что я называют «столярно-слесарным направлением в имплантологии»). Столяры-слесари, особенно 13 и 15 разрядов, с целью повышения первичной стабильности, игнорируют кортикальные фрезы и пытаются закрутить имплантат диаметром шейки 5.0 мм в лунку 3.7 мм, превышая крутящий момент в 2-3 раза. Ну, конечно, потом удивляются, почему на таких крутых имплантах и у таких крутых докторов возникает периимплантит:

В общем, если в ваши планы не входит лечение периимплантита и удаление отторгнувшихся имплантатов — не игнорируйте кортикальные фрезы. Никогда. Даже в III-IV биотипах кости. Почему — читайте здесь>> и здесь>>.
В общем, мы с вами не придурки слесари-столяры, периимплантита не хотим, поэтому кортикальные фрезы не игнорируем:

Кортикальная фреза погружается строго до отметки (см выше). В нашем клиническом случае (с синуслифтингом) это особенно важно, чтобы имплантат не улетел в субантральное пространство. Таким образом получаем лунку, полностью конгруэнтную будущему имплантату. Это очень-очень важно:

Пришло время вернуться к синуслифтингу и заполнить сформированное ранее субантральное пространство графтом (Geistlich Bio-Oss Pen):

запечатываем заполненное субантральное пространство:

Как это правильно сделать, читайте здесь>>, здесь>> и здесь>>.
Приступаем к установке имплантата.
У имплантатов Astra Tech пипец, какая неудобная упаковка. Отчасти это компенсируется наличием ячеек, куда эти упаковки вставляются.

Кстати, комплект поставки не содержит ни заглушки, ни абатмента. А сам имплантат фиксируется на ключе простым заклиниванием платформы. Т. е. не слишком надёжно:

По этому поводу существует поговорка: «Кто не ронял имплантаты Astra Tech, тот не работал с имплантатами Astra Tech«. В общем, будьте аккуратны, в идеале, проводите все манипуляции по фиксации имплантата на ключе над столом.
Если лунка подготовлена правильно, то имплантат проваливается в неё почти полностью:

и докручивается до правильного положения несколькими оборотами.

Еще раз акцентирую внимание на том, что Astra Tech — субгингивальная имплантационная система. А это значит, что для неё выполняются те же правила позиционирования, что и для других субгингивальных имплантационных систем. Читайте здесь>>.
Теперь заглушка. Упаковка заглушки еще более неудобная, чем упаковка имплантата:

Напомню, что все компоненты имплантационной системы Astra Tech одноразовые. Следовательно, многоразовое (в целях экономии) использование заглушек и формирователей десны неприемлемо:

Теперь швы:

Контрольный снимок — ортопантомограмма:

Рекомендации после операции можно посмотреть здесь>>
Первый этап имплантологического лечения завершён.
К следующему этапу мы подойдём через 3-4 месяца. Этого времени достаточно для интеграции имплантата и регенерации субантрального пространства после синуслифтинга.
Далее, я хотел бы поделиться с некоторыми нюансами использования Astra Tech, не отражённых в мануалах, но логично вытекающих из опыта длительного использования данной имплантационной системы:
1. Пожалуй, самое главное. Astra Tech — это субгингивальная имплантационная система. Это значит, что полированная фаска вокруг платформы должна находиться выше уровня костной ткани. Субкрестальная установка имплантата, в принципе, возможна, но никаких преимуществ не даёт. Хотя и не создаёт серьезных сложностей для протезирования, в отличие от любой имплантационной системы с плоской платформой.
2. Отказ от конической (или цилиндрической) кортикальной фрезы с целью повышения первичной стабильности чреват периимплантитом. Заявленный компанией Astra Tech низкий уровень утраты кости вокруг имплантата актуален лишь при точном следовании хирургическому протоколу и, как следствие, снижении нагрузки на костную ткань.
3. Перепреп с Astra Tech не столь опасен, сколь недопреп, но за счёт конической пришеечной части, осложняет позиционирование имплантата по глубине погружения. При синуслифтинге он вообще может провалиться.
4. Поскольку в комплект поставки имплантатов Astra Tech не входит ничего, кроме самого имплантатов, то позиционировать их без шаблонов довольно сложно. Варианты — использовать пины, препарируя все лунки сразу. Либо можно ориентироваться по ранее установленным имплантатам, если установить в них длинные формирователи десны. Или трансферы для закрытой ложки.
5. Ossespeed, на самом деле — совершенно обычная и привычная микроструктура поверхности имплантатов. Каких-то секретных ингридиентов и преимуществ в остеоинтеграции, в сравнении с поверхностью других имплантатов, она не даёт.
6. Имплантаты диаметром 3.5 и 4.5 мм имеют очень тонкую стенку в пришеечной части. Их не стоит ставить в те места, где велика нагрузка или высок риск развития периимплантита. Лучше использовать имплантаты диаметром 4.0 и 5.0 мм — стенки у них толще при том же размере платформы.
7. В целом, я нахожу систему Astra Tech весьма сложной, особенно для начинающего имплантолога. Это как раз та имплантационная система, использованию которой нужно учиться. Да, для ортопедов всё проще (выше я писал, почему), но уповать на какие-то «волшебные» свойства Astratech или Osseospeed не стоит. Косячат с этой системой не меньше, чем с другими. Но если её хорошо изучить и понять — я бы назвал её одной из самых надёжных.
8. Главный «секрет» имплантатов Astra Tech — в их макродизайне, реализуемый только при строгом соблюдении хирургического протокола. Других секретов нет.
Кстати, стоматологический центр CLINIC IN работает с тремя имплантационными системами Dentsply Sirona Implants: Astra Tech, Ankylos, XiVE. И установка любого из обозначенных имплантов в нашей клинике стоит от 40 до 55 тыс. рублей.
И в следующей трети шестой части статьи «Рекомендации по установке имплантов» я расскажу вам про Ankylos. Очень-очень подробно.
Не переключайтесь!
С уважением, Станислав Васильев.

Добавить комментарий
Для отправки комментария вам необходимо авторизоваться.