Давеча по российским средствам массовой информации и интернету прошлась история про то, как стоматолог в С.-Петербурге «ради наживы удалила пациентке 22 здоровых зуба». И, судя по лентам в соцсетях, резонанс получился даже большим, чем после «сенсационных» публикаций Навального. Истерят все: пациенты, защитники прав пациентов, СМИ, даже сами стоматологи. Причём, неясно, кто истерит больше. Петиции, интервью, заседания…. осталось только митинг организовать.
Между тем, отличие произошедшего случая от тысяч подобных, состоит лишь в том, что он получил огласку и широкое освещение в средствах массовой информации. Ежегодно сотни, тысячи пациентов предъявляют своим врачам претензии по поводу качества проведенного лечения. И 99,991% таких историй разрешаются тихо, мирно и без всяких петиций, демонстраций и маршей стоматологов.
И сегодня, уважаемые друзья, речь пойдет не о 22-х питерских зубах. Ибо подробностей этой истории я не знаю и судить о том, кто прав, а кто виноват, не могу. Я предлагаю вам поговорить о похожих конфликтах, в целом. О том, почему такое вообще происходит и что нужно делать, чтобы вообще избежать подобных ситуаций.
Я понимаю, что мой взгляд на эти вопросы может существенно отличаться от мнения большинства моих коллег. И что эта статья может вызвать шквал критики или неприятия от самых авторитетных людей в нашей профессии. Должен признаться, я к этому готов, у меня есть еще одна бутылка виски.
Итак, начнём.

Косячат все. Не ошибается лишь тот, кто ничего не делает.
Вот, именно с этого стоит начать. Ошибаются все. И я ошибаюсь, и вы, уважаемый коллега, и тот доктор, который выступал «экспертом» на какой-то там педераче — все мы иногда косячим. Если врач говорит, что он не ошибается, то он либо лжёт, либо у него настолько мало опыта, что все его грандиозные косяки еще впереди.
Не зря же говорят, что у хорошего доктора хорошее кладбище. В стоматологии, естественно, никаких кладбищ нет, но за каждым доктором тянется шлейф недовольных пациентов разной степени протяженности. И вопрос, скорее, не в длине этого шлейфа, а в том, что доктор с ним делает. Проще говоря, как он поступает, если вдруг пациент начинает предъявлять претензии к качеству проведенного лечения.
Решающим является отношение доктора к собственным косякам.
Другое дело, что доктора совершенно по-разному относятся к собственным ошибкам.
Среди нас есть категория людей, склонных перекладывать вину за собственные косяки на окружающих. У таких виноваты все вокруг: пациенты, коллеги, зуботехнические лаборатории, производители стоматологического оборудования и материалов, российское правительство и лично Путин.
Другие доктора, более адекватные, считают, что ответственность за врачебную ошибку несут два человека: сам доктор и его пациент. Если считать по аналогии, что успешный результат лечения — это заслуга двух человек, врача и пациента, значит, то же самое можно сказать о неудовлетворительном результате лечения. И я с этой позицией, отчасти, согласен.
Почему отчасти? Потому, что роль доктора и пациента в возникновении тех или иных проблем явно неравнозначна. Каким бы ни был конфликт между ребенком и взрослым, спрос с последнего всегда будет больше хотя бы потому, что предполагается, что взрослый и умнее, и мудрее, и опытнее. Так вот, пациент — это тот же ребенок с точки зрения медицинских знаний, требовать от него той же ответственности за результат и, тем более, возлагать вину в возникшем конфликте, на мой взгляд, кажется не совсем справедливым.
Есть еще одна крайность — это доктора, берущие всю ответственность за результат лечения на себя. Роль пациента в процессе лечения сводится к двум вещам: открыть рот и оплатить счёт. Причём, некоторые доктора делают это, сами того не подозревая — если пациенту просто пообещали «голливудскую улыбку» за сто тыщ рублей, ничего толком не разъяснили, не рекомендовали и не проконтролировали, то как такой пациент может отвечать за то, в чём он не разбирается? Ему сказали: «Давай сто тыщ и открывай рот — будут у тебя зубы как у Джулии Робертс!». Он заплатил сто тыщ, послушно открыл рот — всё! Он свои обязательства в той мере, какой ему разъяснили, выполнил. И, разумеется, теперь он имеет право требовать от доктора выполнения обещанного, а именно — Джулии Робертс, точнее, её зубов.
Как вы думаете, у каких из докторов больше всего «конфликтных» пациентов? У которых все вокруг виноваты, у тех, кто сам всегда во всём виноват, или у адекватных? Таких, кто научился делить и делит ответственность за результат лечения в соответствующих пропорциях? Ответ очевиден, не правда ли?
Конфликты. Почему вообще случаются?
Откуда вообще берутся «конфликтные» пациенты? Если бы они просто приходили такими «конфликтными» с улицы, мы бы просто могли сказать «извините, не сработаемся» — и предложить «конфликтному» пациенту лечение в другой клинике. Но нет, на первичной консультации, как правило, пациенты настроены очень лояльно и, в большинстве своём, не выглядят «потребительскими экстремистами». И мы с удовольствием приступаем к работе с ними, особенно, если они готовы платить большие деньги.
А потом… либо в процессе лечения, либо по его завершении, пациент начинает всё больше и больше, по мнению некоторых врачей, «придираться» и предъявлять претензии. И, если они не были услышаны и удовлетворены, возникает конфликт, вплоть до судебного.
Некоторые именно такое поведение называют «потребительским экстремизмом», но я с этим крайне не согласен. На мой взгляд, такое поведение вызвано тем, что сам лечебный процесс и его результат начинают всё больше и больше отличаться от того, обещанного и ожидаемого пациентом. Согласитесь, если я оплатил билет до Нью-Йорка, но рейс отменяют за 15 минут до вылета — у меня есть повод для недовольства, верно?
Только одно это обстоятельство говорит о роли и ответственности врача в возникновении конфликта. Простите меня, но я не верю, что пациент изначально пришёл конфликтовать и при этом остался лечиться, а потом, по завершении лечения, ожидаемо подал на доктора в суд.
Таким образом, не нужно делать из доктора святого, который безосновательно подвергается нападкам «злых» пациентов. Нельзя делать из пациента «бедную овечку», которую «коварные» стоматологи залечили до потери зубов. В возникновении любого конфликта, как ни странно, виноваты оба — и доктор, и пациент. Соответственно, разрешать любой конфликт нужно в том же составе.
Конфликты. Почему доходят до суда и уголовки?
Пожалуй, за свою недолгую жизнь я лучше всего усвоил два правила:
- От своих проблем не убежишь. Не стоит даже пытаться.
- Если ты не видишь проблемы или упорно её игнорируешь — она становится больше. И будет расти до тех пор, пока её будет невозможно не заметить.
На самом деле, что заставляет пациента искать решать конфликт не со своим доктором, а в другой клинике, через письменные претензии, суд, прокуратуру, Минздрав и лично Путина? Причины, по сути, две:
- Доктор бегает от пациента и его проблем. В прямом и переносном смысле.
- Доктор не видит проблемы или игнорирует её. А она, по мнению пациента, есть.

И что в таком случае делать пациенту? Единственное, что остаётся — идти, искать правды где-то еще. И, поверьте, пациенты эту правду находят. И, как правило, эта правда доктору глаза колет, нервы портит и кошелек опустошает.
«Потребительский экстремизм» — это способ борьбы пациента за свои права
Ни один пациент не считает себя экстремистом, тем более, экстремистом потребительским. Я уверен, ни один пациент, впервые обратившись к доктору, не ставит целью его засудить, сгноить в тюрьме или изжить с лица земли. Как я уже упомянул, 99,991% настроены лояльно, раз остаются лечиться и доверяют врачу самое ценное, своё здоровье.
Другое дело, что у пациентов могут быть разные требования, разные ожидания и вообще, разные взгляды на жизнь. И тот результат, который устроил бы одного пациента, может быть совершенно не приемлем для другого — и это кажется мне совершенно нормальным явлением.
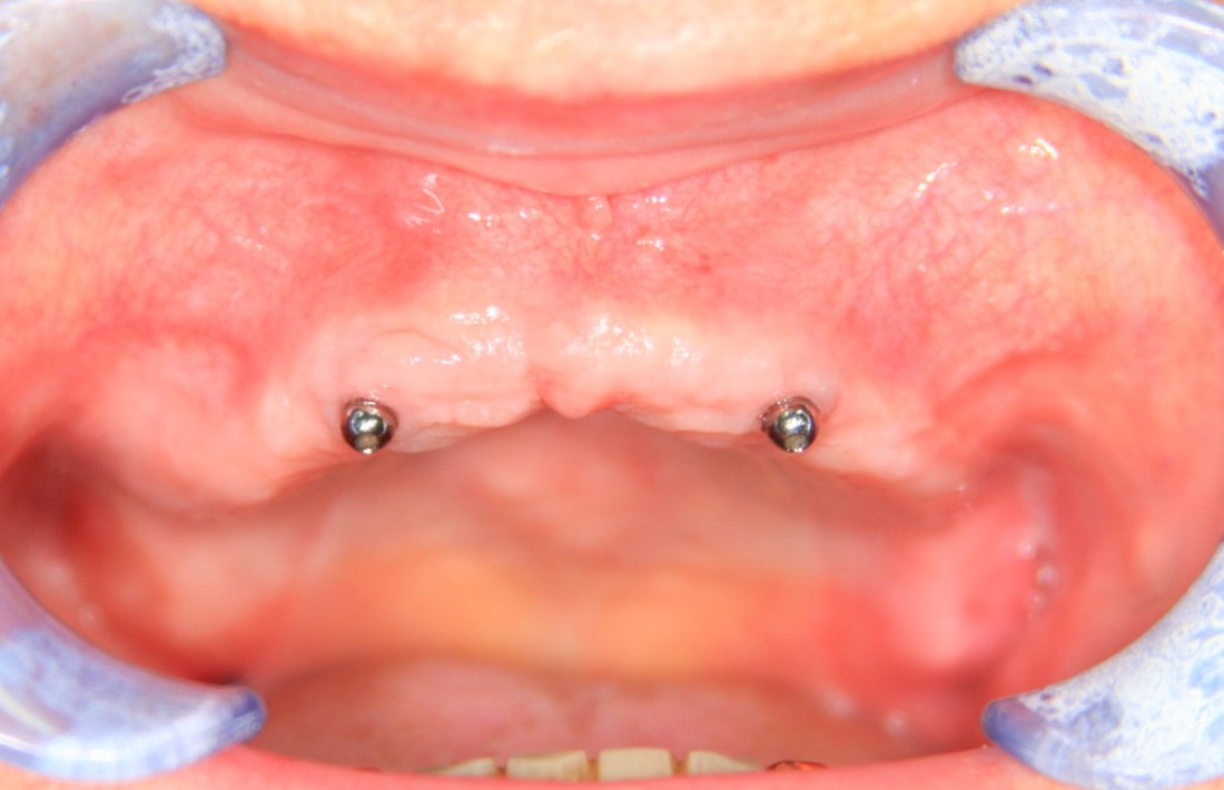
Простой пример. Возьмём один и тот же клинический случай — полную потерю зубов вследствие удаления на одной из челюстей. Что-то типа этого:
И вот представьте, что с подобной клинической картиной обращаются два человека.
Один из них — 45-летний мужчина, который, буквально, потерял все зубы разом из-за пародонтита.
Второй пациент — 80-летняя бабушка, большую часть своей жизни пользующаяся полным съёмным протезом. Какие имплантологические решения мы им предложим и от чего они будут зависеть? Ведь вариантов достаточно много.
Наверное, 45-летний мужчина будет жаловаться на то, что внешность изменилась, ни разговаривать, ни улыбаться невозможно, девчонки его не любят, а он только что женился/развелся, у него только жизнь начинается, а тут такое… И, как мне кажется, он ожидает, что стоматолог ему сделает зубы даже лучше тех, что у него были, по всем параметрам.
Что мы ему предложим? Разумеется, несъемное протезирование с опорой на 6-8 имплантатов:
Это в большей степени будет удовлетворять его пожеланиям и требованиям. Фактически, он получит новые зубы, только искусственные:
80-летняя бабушка жалуется на то, что у неё съемный протез выпадает, ей перед подругами по лавочке стыдно. И она ожидает, что мы придумаем какую-нибудь штуку, которая поможет её протезу держаться на челюсти и не выпадать.
Скажите, каким будет оптимальное решение в её случае? 2 импланта, шариковые абатменты или локаторы:
Просто фиксируем существующий протез к имплантам — и всё! Бабушка счастлива!
А что будет, если мы случайно перепутаем, и предложим 45-летнему мужику съемный протез на локаторах, а бабушке 6-8 имплантатов с керамическим несъемным протезом? В лучшем случае, нас просто пошлют на хрен, в худшем — это будет выглядеть как некомпетентность и развод на бабки, в наихудшем — об этом еще все узнают.
Хотя, — и я акцентирую на этом внимание, — с точки зрения качества лечения, работа может быть безупречной. Но она не отвечает требованиям или ожиданиям пациента, поэтому не может быть им принята. И пытаться его убедить, что «так сойдёт» или «мы всем так делаем» — значит, не видеть и игнорировать проблему, которая реально пациента волнует. И он пойдёт её решать в другое место. Возможно, даже в суд.
Как избежать подобных ситуаций докторам?
Вся сопровождающая нашу работу бюрократия отнюдь не снижает вероятность возникновения конфликта, но помогает в его разрешении. Поэтому, чем больше подписей пациент оставил, — обязательными являются договор и информированное согласие, остальное по необходимости, — тем лучше. В любом спорном, с точки зрения медицины случае, лучше заранее брать подпись в карте о том, что пациент осознает риски, связанные с лечением и готов к ним. При этом, естественно, нужно разъяснять суть этих рисков и, если с точки зрения доктора, они чрезмерны — лучше отказаться от такого лечения. Даже если пациент очень просит.
Разумеется, после пациент может утверждать, что его «загипнотизировали», «ввели в заблуждение», «накачали наркотиками» или «у него был стресс», и он вообще не понимал, что подписывал. Поэтому не нужно слишком сильно надеяться на все эти подписи, любой грамотный адвокат их легко оспорит.
Но, было бы более правильным предотвратить конфликт, либо гасить его в зародыше — тогда и всё остальное не потребуется. А для этого достаточно делать две вещи:
- Слышать пациента, внимать его пожеланиям, ожиданиям и требованиям.
- Быть честным и, как минимум, пытаться разрешить возникшую проблему, а не убегать от неё.
Самое главное — вы делаете свою работу для пациента, а не для себя. Как в приведённом выше примере, одна и та же клиническая ситуация может быть разрешена разными способами, причём, определяющими являются жалобы и ожидания пациента, а не наша фантазия. Другими словами, если пациент попросил сделать ему зелёные зубы — нужно качественно сделать ему зеленые зубы, либо отказаться от этой работы, если она противоречит вашим моральным убеждениям и мировоззрению. Ну, или направить такого пациента с зелеными зубами к психиатру. Выбор есть всегда.
Если же вы вынуждены что-то менять в ходе лечения, то все эти изменения должны быть согласованы заранее и хорошенько обоснованы. Опять же, не с позиции Жирафа «мне видней», а с чётким и понятным объяснением. Особенно это важно, если пациенту что-то приходится доплачивать в ходе лечения.
И, самое главное — относитесь к пациентам как к детям. Среди них могут быть и доктора философских наук, и местные авторитеты, и адски брутальные мужланы и тёти, которые на девочек не очень-то похожи. Но, поверьте, в своём большинстве, они разбираются в медицине также, как дети в законах физики. То есть, никак. И на это надо делать поправку, ибо невозможно требовать от ребёнка то, что мы требуем от взрослого.
Как избежать подобных ситуаций пациентам?
Представьте, что вы покупаете автомобиль. Вы ходите по автосалонам и выбираете, что лучше купить.
В первом автосалоне вам предлагают новый мерседес G63 AMG (Галендваген) за пятьсот тыщ рублей. При реальной стоимости этого автомобиля у официального дилера от 10 млн. рублей. При этом вас уверяют, что он новый, в идеальном состоянии, нашпигован всем, чем только можно, но вот много места занимает, и в честь дня рождения генерального директора его готовы отдать за 500 тыс. рублей. Вопрос к вам:
— вы купите такой автомобиль? И у вас реально не возникнет подозрения, что с ним что-то не так?
Вы приходите во второй автосалон, где представлены новые машины разных брендов. Но вы пока знаете лишь то, что вам нужна машина, а какая, какого цвета и в каком кузове, понятия не имеете. Вы зовёте менеджера, который от вас тупо отмахивается — типа берите то, на что хватит денег. Но в эту категорию попадает, к примеру, тридцать новых, но очень разных автомобилей. Тест-драйва нет, информацию по машинам если и дают, то очень неохотно. Вопрос:
— купите ли вы автомобиль в этом автосалоне? А, если и купите, не будете ли потом жалеть, что не купили вон ту, белую, что стояла рядом?
Вы идёте в третий автосалон. Вы чётко знаете, что вам нужен дизельный внедорожник желтого цвета такой-то марки с конкретным набором опций. Но менеджер автосалона начитает критиковать ваш выбор: «Типа, зачем вам внедорожник, тем более дизельный? Зачем вам желтый, берите серый! Эти опции вам не нужны, эти тоже не нужны, а вот это будет в самый раз.» На ваши резонные возражения он говорит: «Я менеджер, мне лучше знать!». Вопрос:
— какова вероятность того, что вы купите автомобиль в этом автосалоне у этого менеджера?
Ну и, наконец, четвертый автосалон. Вы идёте с конкретной задачей купить конкретный автомобиль такой-то марки такого-то цвета с таким-то набором опций. Менеджер внимательно вас слушает, уточняет некоторые детали и проводит поиск по базе данных. Потом, извиняясь, говорит, что такого автомобиля в наличии нет, но его можно заказать с предоплатой в 10% и сроком поставки два месяца. Вопрос:
— оставите ли вы предоплату и согласитесь ли ждать желаемый автомобиль два месяца?
Думаю, ответы вам известны. А теперь вернемся к вашему здоровью, гораздо более ценному, чем автомобиль за стопицотыщ рублей.
Итак, правило первого автосалона:
Не верьте рекламе. Если вам предлагается лечение со стоимостью на порядок ниже, чем, в аналогичных клиниках, на то есть причины. И эти причины, к сожалению, не хорошее настроение директора, не «совместная акция с производителем крема для обуви», не День Железнодорожника. Значительные скидки, купоны и групоны появляются в клиниках не от хорошей жизни, а это значит, что нужно, как минимум, быть осторожным и внимательно смотреть за тем, что и как там делают. И, конечно же, не ждать, что за три рубля вам сделают работу, которая в соседней клинике обошлась бы в двадцать раз дороже.
Правило второго автосалона:
Задавайте как можно больше вопросов. Не стесняйтесь, все хорошие врачи знают, что у пациентом не бывает глупых вопросов. Не бойтесь попросить доктора показать его предыдущий опыт разрешения аналогичных клинических ситуаций (спросите снимки, фотографии и т. д.). На все ваши вопросы вы должны получить понятные и убедительные ответы. Не забывайте про фильтры (логика, здравый смысл, личный опыт и знания) — получаемая информация должна легко через них проходить. Да, медицина — это сложная штука, но большая её часть легко переводится на уровень простых школьных знаний и никак не противоречит фундаментальным естественным наукам.
Правило третьего автосалона:
Предлагаемый вам план лечения должен быть предельно прост и понятен. Вы должны знать, за что вы платите, и куда пойдет каждая затраченная вами копейка. Выбирая между дешевым и дорогим имплантами, вы должны понимать, в чём между ними разница. Если вы этого не понимаете, значит разницы нет. И, самое главное — предлагаемый вам план лечения должен привести к желаемому вами результату, а не удовлетворить фантазии доктора и оплатить его ипотеку. Если чувствуете обратное — сходите на консультацию к другому доктору. К тому, кто вас, наконец, услышит.
Правило четвертого автосалона:
Научитесь конкретизировать и правильно обозначать свои ожидания и требования. Не нужно говорить «Я хочу металлокерамику» или «Мне нужны имплантаты«, поскольку это никак не отражает ни эстетических, ни функциональных требований (в основном, всё современное протезирование — это импланты и металлокерамика). Правильнее было бы сказать: «Я хочу зубы, неотличимые от настоящих» или, например, «Мне неудобно пользоваться съемными протезами«. Так, вместо одного решения, вы получите несколько, у вас будет выбор. А выбор — это всегда хорошо.
Ну и, последнее, за рамками автосалонов. Лечение, особенно комплексное, требует времени. Чем сложнее клиническая ситуация, тем больше период, требуемый для реабилитации, тем выше риски и неопределенности в процессе её разрешения. Увы, но невозможно восстановить полноценную функциональность зубочелюстной системы и эстетику улыбки за один день, если человек проходил без зубов десятки лет. Пожалуйста, отнеситесь к этому с пониманием.
Заключение.
Давным давно, мне пришлось выступить на передаче «Пусть говорят» с Андреем Малаховым, где я конкретно облажался. Хотя, речь шла не обо мне или моей работе, мы, стоматологи, по глупости согласившиеся в этом шоу поучаствовать, были буквально расстреляны из реактивных говномётов. Причём, расстрельной командой из бабушек руководили какой-то там депутат Мосгордумы и пожилая актриса на грани забвения. Помнится, я отмывался несколько недель от всего этого и, похоже, так и не отмылся — до сих пор чувствую себя врачом-убийцей.
И, наверное, единственное, что хочется сказать напоследок….
Уважаемые коллеги, всегда проще сохранить лояльность пациента, чем потом разбираться с ним в суде. Да, ошибаются все, смиритесь с этим. Другое дело, что к собственным ошибкам мы относимся по-разному — именно поэтому кто-то тратит деньги на юристов, а кто-то на переделки своих же работ. И там, и там — это деньги, но во втором случае они помогают сохранить репутацию и лицо, что немаловажно для доктора.
Ну и, уважаемые пациенты! Увы, прошли те времена, когда за нас всё время кто-то что-то решал, делал и нёс ответственность. К сожалению, теперь ваше здоровье — это исключительно ваша забота, ваш выбор и ваша ответственность. Поверьте, не нужно быть слишком умным, чтобы разобраться в той же имплантологии, протезировании, ортодонтии и т. д. Поэтому прежде, чем вы приступили к лечению, как минимум, почитайте об этом. Интересуйтесь, спрашивайте, вникайте. И, конечно же, соблюдайте рекомендации и назначения вашего доктора. И, я уверен, у вас всё всегда будет хорошо.
Спасибо, что дочитали до конца.
С уважением, Станислав Васильев.







Добавить комментарий
Для отправки комментария вам необходимо авторизоваться.