IMPLANT-IN.COM — дентальная имплантация. естественно.

Имплантация и остеопластика (наращивание костной ткани): вместе или врозь? Часть I.

Остеопластика (или, как говорят в народе, «наращивание костной ткани«) давно уже перестала быть чем-то необычным в имплантологической практике. Скажу даже больше, в последние годы количество таких операций резко возросло. И тому есть несколько объяснений:

  • появилось больше долгосрочных результатов и наблюдений, в т. ч. и собственных работ. У нас появилась возможность видеть, как ведут себя те или иные имплантологические решения на протяжение пяти, десяти, пятнадцати и больше лет. И сейчас большинство грамотных имплантологов понимает, что главная задача имплантологического лечения — это не просто «вкрутить имплантат«, а создать условия для его качественного протезирования, повысить качество жизни пациента, обеспечить приемлемый уровень эксплуатации, гигиены или ухода на долгие-долгие годы.
    По секрету скажу, что «вкрутить» имплантат можно в 100% случаев, вне зависимости от объемов кости — достаточно взять имплантат поменьше и поуже, поставить его немного по-другому, и все. Готово. Вот только как потом такой имплантат протезировать, как он будет функционировать, каким будет уход, срок службы и качество жизни пациента — про все это «вкручиватели» почему-то не задумываются. Типичный пример подхода «лишь бы вкрутить» — базальная имплантация, про которую я уже писал тут.
  • возрастающие требования пациентов. Если раньше большинству требовался «просто зуб», то сейчас многие пациенты хотят «зуб, неотличимый от настоящего». Причем, не только в эстетически значимой зоне. И, я должен заметить, с помощью современных имплантологических методик можно возможно добиться такого результата.
  • последние исследования в области физиологии и биомеханики зубочелюстной системы еще раз подтверждают важность окружающих имплантат тканей для его нормального функционирования. По сути, создание искусственного зуба на импланте — это не изобретение чего-то нового. Мы лишь воссоздаем то, что сделала природа, но, по каким-то причинам, было утрачено. И, если уж восстанавливать, то всё. Полностью.

Таким образом, современную имплантологию сложно представить без остеопластических процедур. А существующие методы остеопластики, от аутотрансплантации костных фрагментов (АКФ) до направленной костной регенерации (НКР), дают нам широкие возможности для выбора в любой клинической ситуации.

Друзья, сегодня я хотел бы поговорить с вами и об имплантации, и об остеопластике. Точнее, о сочетании этих процедур.

*  *  *
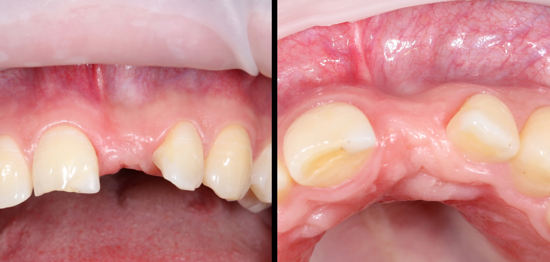
шмидт2   шмидт1

Снимок слева сделан сразу после операции, а справа — через 4 месяца, на этапе установки формирователей десны.

Поскольку обсуждаемая сегодня тема достаточно большая, я решил разбить ее на несколько частей.

Часть I. Имплантация и аутотрансплантация крупных костных фрагментов.

Еще об этом можно почитать здесь>>

Итак,

Почему вообще нужна остеопластика?

Наши зубы имеют разное предназначение и поэтому отличаются по размерам и форме. И «дизайн» наших зубов (в том числе, их корневой системы) во многом связан с их функциональным назначением. Если мы говорим о воссоздании того, что придумала природа, то совершенно правильным было бы на нее ориентироваться — поэтому мы подбираем импланты в зависимости от групповой принадлежности зуба, который собираемся восстановить. Например, для резцов мы используем относительно тонкие и длинные импланты, в то время как для протезирования больших коренных зубов (моляров) требуются большие по диаметру и короткие по длине имплантаты.

В таблице ниже — рекомендуемые размеры имплантов в зависимости от групповой принадлежности зубов:

Рекомендуемые размеры имплантов в зависимости от групповой принадлежности удаленных зубов (Васильев С., 2013)
Рекомендуемые размеры имплантов в зависимости от групповой принадлежности удаленных зубов (Васильев С., 2013)

Безусловно, из этого правило существуют исключения, но их не так много. В большинстве клинических случаев, все же, лучше руководствоваться этой таблицей. Особенно в том, что касается диаметров.

Кроме того, положение зубов в челюстной кости также имеет свои закономерности — именно за счет этого наши зубы нормально воспринимают и распределяют даже большую жевательную нагрузку. И, если мы хотим, чтобы наш искусственный зуб на импланте не просто выглядел, но и функционировал как естественный зуб, мы должны его позиционировать с учетом этих закономерностей.

То есть, фактически, мы не изобретаем ничего нового. Наш имплантат — это искусственный корень зуба, который должен соответствовать естественному зубу, который придумала природа и который был когда-то утрачен.

Вкратце, такой подход отражает имплантологическое правило #2:

- размер и положение импланта в челюстной кости должны соответствовать размеру и положению естественного зуба.

В случае немедленной имплантации или в простых условиях это правило соблюдается очень легко:

 A09A4427 (2) IMG_8420 (2)

в частности, для верхних премоляров существует правило, по которому ось импланта должна проходить через фиссуру или, в крайнем случае, щечный бугор зуба (см. фотографии выше).

Но вот проблема — при длительном отсутствии зубов, травматичном удалении или из-за воспалительных процессов костная ткань альвеолярного отростка нижней челюсти атрофируется, меняет свою конфигурацию. Иногда довольно значительно:

 A09A6305 (2) A09A6306 (2)

Можно ли в таких условиях поставить импланты? Скажу честно, можно. Но эти импланты будут короткими и тонкими, а находиться будут в таких положениях, в которых ортопеду будет очень сложно (иногда даже просто невозможно) их нормально протезировать.

Если бы мы думали категориями «лишь бы поставить имплантат» и отдать поскорее ипотеку, то, не задумываясь, навкручивали бы имплантов. Что там с протезированием, сроком службы, качеством жизни,  — нас бы не волновало. Увы, но такой подход до сих пор встречается в некоторых клиниках и, как результат — немало пациентов с уже установленными имплантами ходит по Москве из клиники в клинику, но нигде не могут их нормально протезировать. Это очень обидно.

К счастью, мы не такие)))). Из имплантологического правила #2 следует, что:

- если имплантат нужного размера невозможно установить в нужное положение, необходимо создать условия для его правильного позиционирования.

Другими словами, если мало костной ткани (так чаще всего говорят пациентам), нужно не выбирать имплант поменьше, покороче и ставить его криво, а воссоздать необходимый для правильной установки правильного импланта объем костной ткани. Близко гайморова пазуха? Делаем синуслифтинг. Узкий альвеолярный гребень? Расширяем. У нас есть огромное количество возможностей!

Вообще, про остеопластику написано очень много у меня на сайте. Здесь рассматривается все, начиная от методов, заканчивая факторами успеха. Если интересно, можно почитать.

Почему вообще нужно что-то объединять?

Имплантологическое лечение, как правило, сильно растянуто во времени. Чтобы приступить к протезированию и дать полную нагрузку на имплантат, он должен интегрироваться в кости. Этот процесс, называемый в науке «остеоинтеграцией«, является частным случаем регенерации, т. е. размножения и деления клеток костной ткани. Во многом, процесс остеоинтеграции схож с тем, как заживают лунки имплантов или срастаются переломы костей — в нем участвуют схожие физиологические механизмы. Увы, мы не можем заставить нашу костную ткань регенерировать быстрее, чем ей уготовано природой, поэтому нам приходится ждать интеграции имплантов, в среднем, 3-4 месяца.

А если к этому добавить остеопластику отдельным этапом (вне зависимости от метода), то нам необходимо сначала дождаться регенерации костной ткани, и только потом приступать к имплантации. Что увеличивает срок лечения, в среднем, до 6-8 месяцев. А это уже очень долго.

Но это еще не всё. Любую операцию организм воспринимает как травму со всеми вытекающими последствиями. Образуются рубцовые ткани, которые имеют иное клеточное строение и, следовательно, по-другому регенерируют. Вот почему повторные хирургические операции даются все сложнее и сложнее.

Ну и, немаловажный фактор — это ресурсы. Точнее, деньги и время пациентов. Шампунь и кондиционер всегда будут стоить дороже, чем шампунь-кондиционер «2-в-1». Если же мы рассматриваем не средство для волос, а хирургию, то сюда следует добавить операционные риски, лекарственную нагрузку, послеоперационный период и т. д.

Поэтому совершенно логичным выглядит решение объединить все хирургические этапы в один — это не только ускорит процесс лечения, но и сделает его более безопасным, предсказуемым и доступным.

Именно об этом пойдет речь ниже.

Когда можно и когда нельзя?

Повторюсь, что при интеграции имплантов работают те же физиологические механизмы, что и при интеграции костных блоков и биоматериалов, используемых для остеопластики. Точно также заживают переломы костей и лунки зубов. Ничего волшебного тут нет, простое понимание физиологии на уровне 3 курса медицинского университета.

Ключевым является лишь вопрос позиционирования и стабилизации имплантов в существующем объеме костной ткани. Причем, позиционирование — это ключевой фактор успеха имплантологического лечения, поэтому он находится в приоритете.

Например, вот клиническая ситуация:

A09A4758 (2)

Можем ли мы установить импланты в этом случае? «Вкрутить» — да, сможем. Установить в правильное положение, обеспечить качественное и долговечное протезирование — нет, вряд ли. Поэтому в данном случае лучше разбить лечение на несколько этапов. Сначала остеопластика:

A09A4769 (2)

Потом, через 3 месяца, установка правильных имплантов в правильное положение:

A09A1787 (2)

Но нередко случаются ситуации, похожие на эту:

1

С одной стороны, мы можем правильно позиционировать нужный имплантат в существующем объеме костной ткани. С другой стороны, существующая атрофия костной ткани представляет из себя не просто эстетический дефект, но и повлияет на функциональность и долговечность протетической конструкции.

Следовательно, можно установить имплантат и «нарастить» вокруг него необходимые объемы костной ткани. Что мы и делаем:

 4  8  9

с неплохим, в общем-то, результатом:

16

В целом же, алгоритм принятия решения о проведении остеопластики одновременно с имплантацией очень прост:

  1. Изучается возможность позиционирования правильного импланта в правильном положении:
    Для этого очень удобно использовать восковое моделирование и хирургические шаблоны.
  2. Если такая возможность есть при существующем объеме костной ткани, нам остается лишь выбрать наиболее подходящий для данной клинической ситуации метод остеопластики.
  3. Если правильное позиционирование импланта в существующем объеме костной ткани невозможно, а его хоть какая-то стабильность недостижима, лучше рассмотреть вариант с остеопластикой отдельным этапом. В этом случае к имплантации можно будет приступить через 3-4 месяца.

Какими имплантами?

Практически, для проведения операции имплантации одновременно с остеопластикой можно использовать любые импланты. Однако, работа с имплантами, имеющими плоскую ортопедическую платформу (такие, как XiVE Dentsply Implants), несколько сложнее, чем с имплантами, имеющими конический ортопедический интерфейс. Для проведения НКР еще удобнее субкрестальные импланты (к примеру, Ankylos Dentsply Implants), поскольку можно не париться с позиционированием по высоте и просто «утопить» импланты целиком в графт:

 A09A5982 (2) A09A5985 (2)  IMG_5560 (2)

Все используемые нами системы имплантов (XiVE, Ankylos, Astratech, Nobel) позволяют беспроблемно проводить остеопластику одновременно с имплантацией и получать хорошие результаты.

Каким методом?

На моем сайте описано достаточно много остеопластических операций, которые можно разделить на отдельные методы:

  1. Аутотрансплантация крупных костных фрагментов (как правило, костных блоков).
  2. Направленная костная регенерация (с использованием барьерных мембран и биоматериалов)
  3. Комбинированные методы остеопластики (включающие в себя как пересадку крупных аутокостных фрагментов, так и направленную тканевую регенерацию).

Последние нередко имеют какие-то авторские названия, но сути это не меняет — все схожи в общих чертах и отличаются лишь небольшими нюансами.

И, если мы говорим об остеопластике, проводимой одновременно с имплантацией, то можно использовать абсолютно любой из этих методов. Более того, наблюдая результаты своей работы в течение длительного (до 5 лет) времени, я могу с уверенностью сказать, что качественный результат лечения достижим любым из этих методов.

Аутотрансплантация крупных костных фрагментов (АКФ).

Напомню, это самый дешевый, надежный и предсказуемый метод остеопластики. Вместе с тем, он требует определенных навыков, инструментов и оборудования, считается более трудоемким и травматичным (хотя, после сотни проведенных операций перестаешь это замечать;-)).

Давайте рассмотрим этот метод более подробно.

Исходная клиническая ситуация: из-за длительного отсутствия зубов возникла существенная атрофия альвеолярного гребня по толщине:

 A09A5442 (2)  A09A5443 (2)

Для начала, нужно определиться с методикой. В данном случае подойдет любой из методов, но совместно с пациенткой мы решили установить импланты и провести одномоментную остеопластику методом аутотрансплантации костного фрагмента. Поэтому стоит подумать о том, чтобы всю операцию провести через одну рану. Это уменьшит травматичность и облегчит уход за областью вмешательства в послеоперационном периоде.

Операция начинается с разреза. Напомню, что разрез делается в пределах прикрепленной десны, это важно для последующего соблюдения Фактора успеха III:

A09A5444 (2)

Конечно, было бы легче сделать разрез по подвижной слизистой оболочке, но в последующем такой шов легко расходится и создать полную герметичность будет сложно.

Скелетирование альвеолярного гребня. В том числе, участка для забора аутокостного трансплантата:

 A09A5445 (2) A09A5446 (2)

Не нужно скелетировать весь альвеолярный гребень целиком. Мы делаем это только в тех участках, которые необходимы для работы в настоящий момент. Потом, при необходимости, можно будет расшириться.

Следующим этапом происходит формирование и забор аутокостного фрагмента для пересадки:

 A09A5447 (2) A09A5448 (2)

Правило простое: никаких физических усилий или молотков. Все делается исключительно нежно и аккуратно, легким движением руки. Вообще, если во время ЛЮБОЙ хирургической операции вам приходится прикладывать много физической силы — значит, вы что-то делаете не так. Имеет смысл проанализировать свои хирургические навыки)))

Далее, примеряем и адаптируем костный блок:

 A09A5449 (2) A09A5450 (2)

Готовим его к фиксации:

A09A5451 (2)

Многие ошибочно предполагают, что большое количество дырок в блоке нужно для того, чтобы «всё лучше срослось». На деле, большое количество отверстий в аутокостном фрагменте даст нам возможность переставлять вины и адаптировать его «на месте». А это особенно важно для одномоментной установки имплантов, потому что винты не должны попасть в проекцию будущей лунки.

Фиксация костного блока:

 A09A5452 (2) A09A5453 (2)

Для этого стоит использовать длинные винты. В противном случае, при подготовке лунки под имплантат костный блок может отлететь.

Переставляя винты и пришлифовывая аутокостный фрагмент, можно добиться более-менее точного соответствия принимающему ложу:

 A09A5457 (2) A09A5458 (2)

Теперь можно готовить лунки под импланты:

A09A5459 (2)

В данном случае я планирую установить импланты Nobel Replace Conical Connection:

 A09A5461 (2) A09A5462 (2)

Операция почти закончена. Обратите внимание, на два момента:

  1. Блок явно больше, чем нужно. Это связано с тем, что в процессе интеграции происходит атрофия графтов (причем, абсолютно любых), и мы должны закладывать этот уровень атрофии при планировании объемов костной пластики. В среднем, плюс 30% к тому, что нам нужно.
  2. Между блоком и принимающим ложем есть пустое пространство. Поэтому область операции необходимо изолировать барьерной мембраной от быстро растущих мягких тканей. Я использую Geistlich BioGide 25×25 mm:

 A09A5466 (2) A09A5467 (2)

Ну и, швы. Если все сделать правильно, рана сложится сама, без лишних усилий:

 A09A5472 (2) A09A5475 (2)

В послеоперационном периоде ведение раны и назначения такие же, как при обычной операции остеопластики.

Через 4 месяца мы можем оценить результат проведенной операции:

 A09A6611 (2) A09A6612 (2)

На фотографиях видно, насколько атрофировался костный блок. Именно поэтому при планировании мы увеличили объемы блока на величину этой атрофии.

Удаляем винты. Для этого не нужно делать больших разрезов:

A09A6617 (2)

Иногда винты остеоинтегрируются как импланты. Можно их оставить, ничего страшного в этом нет.

Теперь делаем разрез и открываем импланты:

 A09A6620 (2) A09A6621 (2)

На фотографиях хорошо видно, какие изменения произошли с областью операции за четыре месяца. Пересаженный костный блок интегрировался настолько хорошо, что частично заросли заглушки имплантов. Такое нередко происходит, именно поэтому в подобных случаях я предпочитаю импланты с конической ортопедической платформой — их легче открывать.

Нам остается просто поставить формирователи десны:

 A09A6628 (2) A09A6629 (2)

и подождать, пока вокруг них сформируется плотная слизистая оболочка. Потом мы направляем пациента к ортопеду для протезирования.

Хирургический этап имплантологического лечения закончен.

Резюмируя его, еще раз подчеркну некоторые важные моменты:

  • «принцип одной раны». Всегда стремимся сделать операционную рану как можно меньше, чтобы уменьшить травматичность операции и облегчить уход в послеоперационном периоде.
  • любой костный блок должен забираться легко, без молотка, долота и физических усилий.
  • «адаптация на месте» и очень надежная фиксация. Настолько надежная, чтобы при подготовке лунки под имплантат блок не отлетел.
  • использование длинных винтов и возможности их переставлять.
  • предпочтительны импланты с конической платформой
  • если между блоком и принимающим ложем есть пространство, необходимо использовать барьерную мембрану.
  • рана зашивается наглухо, исключаются любые супраструктуры и немедленная нагрузка (Фактор успеха III).
  • ведение раны в послеоперационном периоде такое же, как при обычных операциях остеопластики.
  • к следующим этапам можно приступать через 3-4 месяца.

В целом же, это самый дешевый и, одновременно с этим, надежный вариант остеопластики, который можно провести одномоментно с имплантацией. При должных навыках он настолько прост, что занимает, примерно, плюс 20-30 минут к операции установки импланта. Неудивительно, что мы пользуемся им наиболее часто.

Направленная костная регенерация (НКР).

Использование биоматериалов (графтов и барьерных мембран) существенно увеличивает стоимость операции (особенно сейчас), однако, данным метод не требует значительного забора аутографта из донорского участка, а, следовательно, более удобен и малотравматичен в некоторых случаях.

продолжение следует>>

Комментарии

Добавить комментарий