Многие пациенты и, отчасти, некоторые из моих коллег почему-то думают, что основная цель имплантологического лечения — это «вживить» импланты. Типа, добились интеграции, всё хорошо. И не совсем понятно, зачем кто-то заморачивается с синуслифтингом, остеопластикой, пластикой мягких тканей и т. д.? Ведь в соседней клинике сказали, что импланты поставить можно! Попахивает разводом, не так ли?
Друзья, наверное, многие из практикующих имплантологов согласятся, что поставить импланты и добиться их интеграции можно в 90% случаев. Не хватает костной ткани — возьмите имплантат потоньше, нет высоты — есть импланты покороче, нет места — имплантат можно поставить в другое место, с достаточным объемом костной ткани. И эти самые импланты интегрируются в 99,9% случаев, вне зависимости от марки и страны-производителя. Верно, уважаемые коллеги?
А ведь есть еще и ужасные базальные импланты, которые, по мнению изобретателя, можно ставить чуть ли не в воздух…
А вот, что будет дальше? Ну поставили импланты, пусть не туда и не того размера… пациент приходит к врачу-ортопеду, а тот разводит руками — извините, ничем не могу помочь… Ну, или помогает, особенно, если он сам эти импланты ставил. Но ортопедическая конструкция получается, мягко говоря, страшная… А все потому, что естественная на вид, функциональная и долговечная конструкция — это не просто интегрированный имплантат и красивая коронка из дорогого материала. Нередко искусственные зубы выдает именно объем окружающей десны и, как бы ни старался зубной техник, он не может компенсировать этот объем просто красивой коронкой.
Давайте сегодня поговорим об этом. И рассмотрим один простой пример.
Но сначала обратимся к истории.
Имплантология пережила несколько этапов своего развития прежде, чем стать такой, какой мы ее знаем сегодня.
Этап первый. Хирургический. Имплантат устанавливали в то место, где есть костная ткань. Нет костной ткани — нет импланта, пациенту предлагался другой вид протезирования. Что характерно, вся нынешняя т. н. «базальная» имплантация» застряла именно в этом периоде, хоть и преподносится отдельными деятелями как «прорыв» или «революция» в дентальной имплантологии. Хрень это всё, врут они, если честно.
Этап второй. Ортопедический. На этом этапе до докторов дошло, что имплантат сам по себе бесполезен, он должен служить опорой зубного протеза. Следовательно, имплантат нужно подбирать и позиционировать с учетом будущей ортопедической конструкции — и у нас появились хирургические шаблоны, различные методики планирования имплантологического лечения в одной связке с будущим протезированием. Ну а, если под будущей коронкой не хватает костной ткани… мы просто возьмем имплантат потоньше и покороче. К сожалению, такой подход остался в некоторых клиниках, особенно вдали от крупных городов.
Этап третий. Биологический. Со временем выяснилось, что даже с правильно установленным и интегрированными имплантами, красивыми протезами качество жизни пациентов не просто не улучшалось, но и ухудшалось. А сами протетические конструкции в некоторых случаях отказывались служить долго — именно отсюда пошел миф о том, что импланты нужно периодически менять. В ходе наблюдений, опытов и экспериментов выяснилось, что просто «воткнуть имплантат», хоть и точно под протез, маловато — нужно выбрать правильное положение, оси, углы, направление. А чтобы это стало возможным, необходимо восстановить, последовательно, костную ткань и слизистую оболочку в области будущего зуба. И вот тут становятся актуальными операции остеопластики, «наращивания костной ткани», синуслифтинга, пластики мягких тканей, ортопеды и имплантологи начинают дружить с докторами других специальностей, в первую очередь, с ортодонтами и т. д. В результате, после лечения получается н просто имплантат с коронкой, а полноценный зуб. Со всем комплексом окружающих тканей.
Все нормальные клиники и имплантологи переживают сейчас третий этап развития имплантологии. Но есть такие, кто остался во втором, и даже в первом… Естественно, посетив несколько клиник, особенно, если они оказались на «разных этапах развития», пациент получает несколько кардинально различных планов лечения — от рекомендаций вообще отказаться от имплантации и обойтись каким-нибудь другим протезом, до длительного и весьма дорогостоящего восстановления зубов путем нескольких хирургических операций и нескольких этапов протезирования. Где правда?
А вот ответить на этот вопрос сложно. Если мы говорим о голливудской улыбке — всегда ли нужна она пациенту? Будут ли отличаться потребности в эстетике у молодого актера из какого-нибудь ситкома и бабушки-пенсионерки, большую часть времени проводящей на даче? Есть ли общепринятые планы лечения, стандартные клинические ситуации, лечение «под ключ» (фффу, не люблю это словосочетание), когда пациентам с разными потребностями могут быть предложены идентичные планы лечения? Вряд ли.
На мой взгляд, хороший врач тем и отличается, что СЛЫШИТ своего пациента. Узнает его потребности. И старается их реализовать. И находит для этого возможности.
Вот пример.
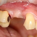
Удалили зубки, два премоляра. Они были под коронкой и соединялись с шестым зубом. Из-за воспаления пришлось их удалить, имплантировать сразу было невозможно ввиду обострения процесса.
Прошло два месяца. Больше двух месяцев ждать после удаления зубов не рекомендую (даже в случае больших кист и гранулем), поскольку далее атрофические процессы становятся более выраженными и их коррекция может потребовать дополнительных вмешательств.
И вроде бы, все неплохо, но когда мы скелетируем костную ткань, то видим следующее:
Можно ли поставить импланты? Теоретически, если использовать импланты диаметром 3,0 мм — вполне возможно. Но как это будет потом выглядеть? Большие коронки на тоненьких имплантах с тонкой десной? А если эти зубы еще попадают в эстетически значимую зону и видны при улыбке? А если это еще и девушка, которая собирается замуж? И вот тут встает вопрос о размерах и позиционировании имплантов, который тянет за собой вопрос об остеопластике.
Каков выбор?
Можно провести синуслифтинг (таки да, он здесь тоже нужен) и остеопластику одномоментно, затем, через 3 месяца, заняться имплантацией. План хорош низкими рисками, но тогда до протезирования пройдет еще 6 месяцев, а для пациента (и состояния костной ткани) это не совсем желательно.
Можно провести остеопластику, синуслифтинг и имплантацию в одно вмешательство. Сразу рассчитать положение имплантов — лунки еще не заросли до конца, это сильно упрощает задачу, — а затем восполнить недостающий объем костной ткани одним из методов остеопластики.
Мы выбираем второй вариант. Он более рискованный, но, если делать всё правильно, должен привести к наилучшему результату.
Поэтому мы начинаем с синуслифтинга:
Полученная костная пластинка заведомо больше необходимого окна. Мы потом используем ее при остеопластике. Убираем ее, видим слизистую оболочку верхнечелюстной пазухи, которую нам нужно приподнять:
приподнимаем и создаем субантральное пространство:
Затем устанавливаем имплантат. В данном случае, Friadent XiVE. Диаметром 3,4 мм — это минимальный размер импланта, который можно использовать в эстетически значимой зоне:
Не обращаем внимания ни на стабильность импланта, ни на объемы окружающей костной ткани. Имплантат после установки может крутиться, шататься и вращаться — правило, когда первичная стабильность была главным условием успешной имплантации, применимо лишь ко второму этапу развития имплантологии. Более того, друзья, есть импланты, которые вообще не предполагают первичной стабильности. Например, Bicon.
А костную ткань мы планируем восстановить последним этапом этой операции.
Очень хочется использовать имплантат поменьше диаметром (3.0 мм), но, как я уже отметил, минимальный размер в эстетически значимой зоне — 3,4 мм. Связано это с тем, что на импланты диаметром 3.0 мм выпускается очень небольшое количество супраструктур (абатментов), поэтому в дальнейшем можно столкнуться со сложностями при протезировании.
После установки второго импланта в правильное положение (ориентируемся по оси и форме лунки зуба), внешнюю кортикальную стенку восстанавливаем костным фрагментом, получившимся после синуслифтинга:
На деле — ничего сложного. Костный фрагмент просто фиксируется одним винтом. Таким образом восстанавливается отсутствующая костная стенка.
Субантральное пространство и пустые полости между костным блоком, имплантами и принимающим ложем заполняется аутокостной стружкой и закрывается мембраной BioGide:
Многих интересует вопрос — а для чего вообще нужны мембраны? Ну, с «искусственной костью» aka спейсерами всё более-менее понятно — их задача — восполнить и удержать заданный объем регенерируемой костной ткани. А какую роль играет вот эта белая тряпочка?
А все дело в том, уважаемые друзья, что различные ткани растут и регенерируют с разной скоростью. Если для регенерации слизистой оболочки или фиброзной ткани достаточно 1-2 недель, то костная ткань регенерирует дольше — от 1 до 4 месяцев. И, если мы не используем мембрану, слизистая оболочка быстро прорастает в те участки, куда просто не успевает прорасти костная ткань. Последней, естественно, расти уже некуда — и остеопластика теряет смысл. А коллагеновая мембрана ограничивает рост слизистой оболочки в тех участках, где ее не должно быть — тем самым, давая время на регенерацию костной ткани. Надеюсь, я понятно объясняю?))
В общем, друзья, при остеопластике аутокостной стружкой, биоматериалами, комбинированной (ламинарной) технике и даже в случае использования костных фрагментов нам нередко требуются эти самые коллагеновые мембраны. Их еще называют барьерными. Или мембранами «направленной регенерации».
Вернемся к нашей операции.
Накладываем швы:
Делаем назначения, даем рекомендации. И ждем.
С пациентом встречаемся через 3 месяца. Опять же, затягивать процесс лечения — это значит, ухудшать результат. Пока в области операции не будет восстановлена адекватная нагрузка, атрофические процессы будут продолжаться, несмотря на установленные импланты.
Готовимся к формированию десны. Если Вы обратили внимание, мы частично потеряли приклепленную (кератинизированную) десну, ее необходимо восстановить. Это обычное следствие остеопластических операций, особенно масштабных — почти все они требуют последующего восстановления кератинизированной слизистой оболочки.
Делаем разрез, смотрим, что там с имплантами. А с ними всё в порядке:
Как и с окружающей их костной тканью:
Обратите внимание, до какого уровня имплантат находится в костной ткани. До полированной фаски — и это правильное расположение и глубина погружения XiVE. У разных имплантационных систем они могут отличаться — см. инструкцию.
Мы ставим формирователи десны:
параллельно восстанавливая достаточный слой прикрепленной десны. Через неделю:
Осталось еще немного подождать, контурировать десну и отправить пациентку на временное протезирование. До профосмотра после протезирования пациентка еще не дошла, поэтому результаты протезирования я покажу Вам позже. Но точно знаю, что результатом она довольна.
Попробую кратко резюмировать вышесказанное.
Уважаемые друзья, основная цель имплантологического лечения — это не «воткнуть» имплантат и добиться его остеоинтеграции. Как я уже написал выше, мы можем установить импланты в 90% клинических ситуаций, просто перелокализовав их и подобрав по размеру. Но каким будет протезирование на таких имплантах, как будет выглядеть и работать протетическая конструкция — сказать сложно. Еще сложнее сказать, каково будет качество жизни пациента с таким протезом.
Остеопластика. синуслифтинг, пластика мягких тканей — эти операции не всегда делаются из-за «невозможности» поставить имплантат. Нередко мы проводим их одномоментно с имплантацией, чтобы воссоздать необходимый для нормального протезирования объем окружающих мягких тканей. Причем, в зоне улыбки эта работа необходима почти всегда.
То есть, основная цель имплантологического лечения — это не просто установка импланта нужного размера в нужное положение, но и воссоздание необходимого объема твердых и мягких тканей вокруг него. Последнее прямо влияет не только на эстетический, но и на функциональный результат протезирования.
И про это нельзя забывать.
Спасибо за внимание.
С уважением, Станислав Васильев.





















Добавить комментарий
Для отправки комментария вам необходимо авторизоваться.