Это — продолжение темы. Начало здесь и здесь.
В прошлый раз мы с вами, уважаемые друзья, говорили об операции удаления зубов с точки зрения врачей. А сегодня мы рассмотрим ту же тему, но уже с точки зрения пациентов.
Наиболее часто возникающий вопрос в почте, комментариях или по телефону звучит так: «Мне сегодня/вчера/позавчера/три дня назад удалили зуб, а сегодня со мной происходит ТАКОЕ (далее следует перечисление симптомов). Доктор, это нормально? Что делать?»
Давайте поговорим о симптомах и явлениях, сопровождающих реабилитационный период после удаления зуба, попробуем определить, что нормально, а что — не очень. Ну и, попытаемся понять физиологический смысл данных симптомов.
Итак, представим, что вам удалили зуб. Неважно, как удалили — аккуратно или не очень, с анестезией или без — всё это подробно рассмотрено в предыдущей статье. Что происходит с лункой зуба (альвеолой) дальше?
Начнем по порядку.
С того, что любое оперативное вмешательство организм воспринимает как травму. Ну, он же не в курсе ваших планов.)) Другими словами, для организма почти всё равно, удалил вам зуб квалифицированный врач-стоматолог или вам его выбили в уличной драке — в большей степени, реакция на эти ситуация будет одинакова.
Разница будет лишь в травматизме и чистоте раны. То есть, при аккуратном и чистом вмешательстве риск послеоперационных осложнений, конечно же, меньше, чем при грубо проведенной операции. Следовательно, чем сложнее удаление зуба, чем оно травматичнее, тем больше внимания требует к себе послеоперационный период, тем выше опасность развития осложений, тем более неприятным будет послеоперационный период.
На любое травматическое воздействие организм реагирует развитием воспалительной реакции. Вот прищемили вы палец дверью — он опухает и болит, а при повреждении кожи или ногтевой пластинки может еще и нагноиться. То же самое происходит и при удалении зубов — запускается цепь событий:
удаление зуба (травма)=>посттравматическое воспаление=>регенерация.
Так вот, друзья, комфорт и качество жизни в послеоперационном периоде сильно зависит от того, насколько сильно будет выражено второе звено этой цепи. Понятное дело, что оно сильно зависит от характера и объема травмы — поэтому, чем аккуратнее, быстрее и легче было удаление, тем меньше травма, тем меньше посттравматическое воспаление.
Три момента, которые следует знать еще до того, как вы сели в кресло к доктору:
- Все зубы разные, имеют разную корневую систему и удаляются по-разному. То есть, если в прошлом вам легко и просто удалили верхний центральный резец — это вовсе не значит, что совершенно также просто и легко будет проведено удаление зуба мудрости. Более того, последствия двух идентичных удалений зубов мудрости с разных сторон могут быть разными. Причина этого кроется в нюансах, о которых мы поговорим ниже.
- Операция удаления зуба проводится по показаниям и, чаще всего, эти показания — острый инфекционно-воспалительный процесс. Другими словами, область операции инфицирована, и с удалением зуба эта самая инфекция никуда не девается.
- С удалением зуба ваше лечение не заканчивается. Следовательно, врач продолжает вас лечить на протяжение послеоперационного периода, и несет за вас ответственность. Поэтому нужно строго соблюдать его рекомендации и назначения, приходить на послеоперационные осмотры. И не стесняться обращаться к доктору в случае возникновения каких-либо проблем. Вообще, друзья, давайте запомним правило:
Если возникли какие-то проблемы или вопросы, связанные с проведенным лечением,
то, в первую очередь, необходимо обратиться к врачу, который лечение проводил.
И только в том случае, если ваш лечащий врач не может ответить на ваши вопросы или решить проблемы — искать другого специалиста. Нет ничего хуже, когда начинается беготня с поиском «авторитетного мнения» — у семи нянек, как известно, дитя без глазу.
Вернемся к только что удаленному зубу.
Вне зависимости от зуба и типа удаления мы имеем в наличии:
- рану слизистой оболочки полости рта.
- костную рану — лунку зуба, по-научному, альвеолу.
Эта рана находится в полости рта, а полость рта — довольно агрессивная среда и сложная для обработки область. Слюна в полости рта содержит огромное количество микробов и остатков пищи, для которых лунка зуба — идеальная среда, чтобы там «застрять». С другой стороны, в слюне содержится ряд антибактериальных компонентов и ферментов (например, лизоцим и некоторые пищеварительные ферменты), которые способствуют быстрому заживлению ран полости рта и не дают слишком уж размножаться микробам.
Чаще всего зубы (за исключением ретинированных, травмированных и удаляемых по ортодонтическим показаниям) удаляются по поводу хронического периодонтита, в т. ч. в стадии обострения. Хронический периодонтит — это заболевание, когда инфекция уже покидает пределы зубы и распространяется в окружающих зуб тканях — отсюда ряд характерных симптомов:
- наличие на рентгеновских снимках видимых изменений в околокорневых тканях (кисты, гранулемы и т. д.)
- боли в области депульпированных зубов («почему болит зуб — он же «мертвый»?).
- отек (флюс), воспаление десны и т. п.
В контексте нашей темы это имеет важное значение. Пораженный зуб, в данном случае — это причина заболевания, а не само заболевание. То есть, удаляя зуб (причину) мы не вылечиваем само заболевание и сопутствующие симптомы. Инфекция как была в альвеоле, так и осталась. Воспаление — тоже.
Параллельно с зубом, чаще всего, удается удалить и прикорневую гранулему (или кисту), но, тем не менее, каскад воспалительных реакций в области зуба уже запущен, и хирургически «остановить» его мы не в силах.
А теперь представьте:
- удаление зуба (травма) — > посттравматическое воспаление
- хронический периодонтит, особенно в стадии обострения -> уже воспаление само по себе.
Это объясняет, почему после удаления зуба в состоянии острого воспалительного процесса, болезненные ощущения не только не проходят сразу, но и нередко усиливаются и сопровождаются отеком, повышенной температурой и другими симптомами.
Поэтому, друзья, если вам показано удаление зуба по каким-то там причинам (невозможность терапевтического лечения или что-то еще) — не нужно ждать, когда зуб заболит. Удаление зубов в состоянии острой боли — штука очень неприятная и неблагодарная. Если хотите, чтобы удаление прошло легко и просто, а реабилитационный период был комфортным — все стоматологические манипуляции проводите в плановом порядке, не дожидаясь обострения.
Давайте рассмотрим основные симптомы, которые беспокоят пациентов после операции удаления зуба:
Луночковое кровотечение
При удалении зуба повреждается мелкая сосудистая сеть, поэтому лунка начинает заполняться кровью. Кровотечение, в данном случае — один из видов защитной реакции организма. Формирующийся кровяной сгусток изолирует рану от внешней (агрессивной среды), а ток крови препятствует попаданию микробов и зубного налета в альвеолу. Кровь содержит ряд факторов, препятствующих развитию в лунке воспалительного процесса, обладает антисептическими и бактерицидными свойствами (в начале прошлого века, в доантибиотиковую эру, был разработан способ перевязки ран «кровяными» повязками, который очень хорошо зарекомендовал себя в военное время).
Поэтому, кровоточащая лунка зуба — это совершенно нормально. Причем, незначительное луночковое кровотечение может продолжаться длительное время — несколько часов, а то и сутки. Ничего страшного в этом нет. Я бы больше беспокоился, если бы лунка не кровоточила бы вообще. Как показывает практика, кровоточащие лунки легче и быстрее заживают.
НО, есть одно НО. Если кровотечение слишком обильное, либо не соответствует объему вмешательства — например, удалили нижний резец, а крови столько, как будто почку пересаживали, — это уже опасно. Как правило, обильное и при этом длительное луночковое кровотечение связано с артериальной гипертензией. Поэтому следует измерить артериальное давление и, при необходимости, принять соответствующие препараты.
В школе университете нас пугали гемофилией или другими нарушениями свертываемости крови, в том числе, связанные с приемом определенных лекарств. Но это очень редкая штука. И, обычно, пациенты знают о своих проблемах со свертываемостью, поэтому либо готовятся к операции, отменяют лекарства, либо обращаются в специализированные учреждения, где им проводят операцию удаления зуба под контролем анестезиологов и гематологов.
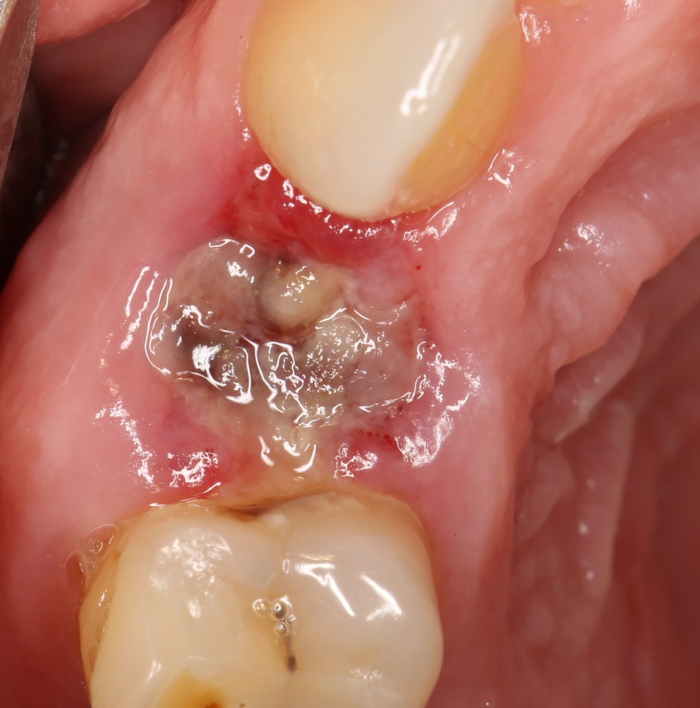
Через день-два лунка удаленного зуба выглядит следующим образом:
Постепенно кровяной сгусток из темно-бордового превращается в желтовато-белый. Связано это с тем, что красная его часть (эритроциты и гемоглобин) вымываются ротовой жидкостью, остается только фибриновый каркас. Многие пациенты путают его с гноем, пытаются вычистить. Не нужно этого делать.
В целом же, рекомендации в послеоперационном периоде направлены именно на сохранение в лунке кровяного сгустка, поскольку это и есть оптимальная защита для раны:
- не полоскать (сгусток может вывалиться, оставив лунку пустой и беззащитной перед зубным налетом и микробами)
- не жевать на стороне удаленного зуба (по той же причине)
- не не ковыряться в лунке и не пытаться ее «прочистить» (по той же причине)
- избегать грубой, горячей и раздражающей пищи (усиление кровотока может привести к повторному кровотечению и «выталкиванию» кровяного сгустка из лунки)
- избегать физических нагрузок, перегревания (по той же причине)
Да и вообще, именно кровяной сгусток служит субстратом для регенерации как костной ткани, так и слизистой оболочки. Поэтому сохранение его в лунке — залог как комфортного послеоперационного периода, так и успешной последующей имплантации.
Боль и дискомфорт
Представьте, что Вы сильно ударились головой. Болит? Еще как. То же самое и здесь, при удалении зуба. Вообще, не зря же в драке пытаются попасть именно по черепушке — голова с точки зрения нервной системы — очень чувствительное место.
Другое дело, что удаление зубов чаще всего проходит под анестезией, поэтому самый острый (ближайший) болевой период приходится на время «отключения» нервов. Затем, анестезия проходит, боли появляются.
Существует несколько источников боли.
- Первый — это сама лунка зуба. В периодонте много нервных окончаний, и, если их что-то раздражает — они реагируют болевым синдромом. По мере заполнения лунки кровяным сгустком, раздражение проходит, и боли в области лунки успокаиваются. Если же лунка остается открытой, либо кровяной сгусток выпадает (альвеолит) — появляются боли. Иногда, очень даже неслабые.
- Второй источник боли — это периост (надкостница). Ее растяжение или раздражение очень болезненно. Именно поэтому болезненна инфильтрационная анестезия, если она делается поднадкостнично. После удаления зуба или после анестезии под надкостницей может образоваться гематома, которая растягивает периост, что и дает болевой синдром.
- Третий источник боли — внутрикостный отек. Хотя он менее выражен, но тоже вносит свою роль в формирование болевого синдрома. Принцип такой же, как и с поднадкостничной гематомой.
Отсюда рекомендации после удаления:
- холод на область послеоперационной раны (позволяет уменьшить отек за счет холодовой ишемии и временного снижения кровообращения в области операции);
- ни в коем случае не греть область удаленного зуба (в тепле кровоснабжение увеличивается, что способствует отеку и, следовательно, усиливает болезненность);
- прием обезболивающих противовоспалительных препаратов нестероидного типа, поскольку к наркоте доступа, чаще всего, нет). Обезболивающий эффект данных лекарственных средств как раз связан с ингибированием синтеза простогландинов и других медиаторов воспаления, влиянии на проницаемость клеточных мембран и уменьшении отека межклеточного вещества.
Обычно, при правильно проведенной операции удаления зуба, болезненные ощущения беспокоят пациента в течение нескольких часов, сутки максимум. Если же боли не прекращаются, то присутствуют какие-то серьезные проблемы — нужно обязательно обратиться к врачу. Срочно.
Отек и припухлость.
Опять приведу пример с пальцем. Вот вы прищемили палец дверью. Он опухает? Чаще всего.
Причина появления отека при удалении зубов очень сходна.
Как я писал выше, удаление зуба (травма) сопровождается посттравматическим воспалением.
При развитии воспалительного процесса запускается целый каскад патофизиологических и биохимических реакций с участием медиаторов воспаления (тех же простогландинов и цитокинового комплекса), в результате усиливается кровообращение в области воспаления (гиперемия), понижается проницаемость клеточных мембран, что приводит к гипергидратации («обводнению») межклеточного вещества. Конечно, на самом деле всё гораздо сложнее, но упрощенно это выглядит именно так.
Процесс этот не мгновенный, поэтому развитие отека мы наблюдаем на вторые-третьи сутки после операции. Он постепенно нарастает, затем ситуация стабилизируется — и отек начинает проходить.
Существует еще один фактор, способствующий отеку — это кровотечение. Кровь из поврежденных в ходе операции микрососудов вытекает не только наружу, но и пропитывает окружающие ткани. Особенно это заметно при удалении зубов мудрости и наложении швов на края лунки — кровью пропитываются мягкие ткани щеки, и со временем мы наблюдаем появление синяка всех цветов радуги.
Другими словами, отек после удаления зуба — штука обычная и нормальная. Естественно, в пределах разумного. Если вдруг после удаления зуба через несколько часов или сутки появился отек — это не значит, что там гной. Не нужно паниковать, делать разрезы и пытаться этот гной найти. Нужно просто ждать, наблюдать и соблюдать рекомендации — и припухлость постепенно пойдет на убыль.
Понимая, что приводит к отеку, можно сформировать рекомендации по его уменьшению/предотвращению:
- холод на место операции в ближайшем послеоперационном периоде (холодовая ишемия и временное снижение кровотока в области послеоперационной раны)
- иногда — глюкокортикоиды разово или двухкратно (снижают проницаемость клеточных мембран, препятствуют гипергидратации межклеточного вещества
- иногда — гемостатики и препараты витамина К (препятствуют образованию гематомы)
- почти обязательно — нестероидные противовоспалительные препараты
- иногда — антигистаминные препараты (гистамин — один из факторов, способствующих появлению отека)
- исключение грубой, горячей, острой пищи, физических нагрузок, перегревания, физиотерапевтических процедур (усиливают кровообращение в области операции)
Если же отек появляется через несколько дней после удаления зуба, сопровождается болями — это уже серьезная проблема. Бегом к доктору.
Вот, пожалуй, три местных явления, которые в той или иной мере сопровождают послеоперационный период. Они могут быть выраженными, а могут быть почти незаметными, но, так или иначе, присутствуют всегда.
Другие явления, в большей степени, связаны именно с ними.
А это может быть:
- затрудненное открывание рта (отек и тризм (блокирование) жевательных мышц вследствие болевого синдрома)
- боли при глотании, жевании, разговоре (отек, реакция на воспаление регионарных лимфатических узлов)
- повышение температуры тела (механизм повышения температуры тела примерно такой же, как и механизм образования отека, только более масштабный)
- ухудшение самочувствия (то же самое).
Отдельным пунктом идут неврологические проблемы (парестезия, потеря чувствительности со стороны удаленного зуба), но это, как правило, связано либо с излишней травматичностью самой операции или анестезии, либо с развитием внутрикостного отека и сдавлением нервного ствола). Во втором случае парестезия проходит с исчезновением отека, хотя может и задержаться на несколько недель или даже месяцев.Связано это с тем, что нервное волокно очень чувствительно к недостатку питания (кислорода), при этом очень долго восстанавливается.
Вот так, с такими симптомами проходит послеоперационный период после удаления зуба. Он всегда сопровождается посттравматическим воспалением, поэтому даже в простых, на первый взгляд, случаях требует наблюдения врача. В среднем, он длится от 3 до 10 дней, при этом основные симптомы (боль, отек и т. д.) присутствуют в течение 3-4 дней.
Надеюсь, данная статья хотя бы немного объяснила, что происходит с вашим организмом и лункой после удаления зуба. Надеюсь, вам стал понятен смысл рекомендаций и назначений, необходимость приема лекарств и наблюдения в послеоперационном периоде. Я специально не рассматриваю в этой теме прием антибактериальных средств, хотя применяются они часто, поскольку сами по себе антибиотики НЕ ЛЕЧАТ ВОСПАЛЕНИЕ и не способствуют скорейшему заживлению лунки зуба. Их задача — предотвратить инфицирование раны либо, если рана уже инфицирована — справиться с инфекцией. Как и почему — тема для отдельной беседы.
Я готов ответить на вопросы в комментариях.
Спасибо,что дочитали до конца.
С уважением, Станислав Васильев.

![Зуб перед удалением 0[1]](http://2026.implant-in.com/wp-content/uploads/2013/10/01-1-150x150.jpg)
![13[1]](http://2026.implant-in.com/wp-content/uploads/2013/10/131-150x150.jpg)
![22[1]](http://2026.implant-in.com/wp-content/uploads/2013/10/221-150x150.jpg)
Добавить комментарий
Для отправки комментария вам необходимо авторизоваться.