…точнее, о последствиях удаления зубов.
В моем блоге немало записей, посвященных именно этой теме, однако, количество вопросов по ней не уменьшается. Что поделать, удаление зуба — самая частая и распространенная операция в мире.
Вы можете почитать несколько предыдущих статей:
- что делать до и после удаления зуба?
- всё о зубах мудрости (подборка)
- ну и, немедленная имплантация — ведь каждый зуб (кроме восьмерок), скорее всего, придется протезировать. Так почему же не подготовить площадку под коронку сразу?
Есть также памятка с послеоперационными рекомендациями и назначениями.
Можно скачать и использовать в работе
Я решил разделить эту статью на две части.
- Одна — для врачей. Как правильно удалить любой зуб и сделать это с минимальными последствиями. Поделюсь нюансами данной работы.
- Вторая часть статьи — для пациентов. В ней я постараюсь объяснить все те явления послеоперационного периода, которые нередко беспокоят пациентов и вызывают кучу вопросов. Я опубликую ее завтра или послезавтра.
ДЛЯ ВРАЧЕЙ
Первое правило, с которого начинается любая хирургическая операция — это качественная анестезия.
Запомните, не бывает людей, на которых не действуют местные анестетики, бывают врачи, которые не умеют ее делать. Еще Вишневский с помощью 0.025% новокаина умел обезболивать так, что пациенту можно было резекцию челюсти делать — а многие из нас не справляются с современными высокоэффективными анестетиками.
![0_c4aa6_517e8113_-1-L[1]](http://2026.implant-in.com/wp-content/uploads/2013/09/0_c4aa6_517e8113_-1-L1-e1454683766296.jpg)
На качество местной анестезии не влияет ни алкоголь, ни курение, ни наркотики. Она одинаково эффективна как у наркомана, так и у совершенно здорового человека.
Также местное обезболивание — наиболее безопасный способ анестезии. Частота осложнений при местной анестезии в разы ниже, чем при общем наркозе, но при этом всё равно сильно преувеличена. Основное осложнение местной инъекционной анестезии — это отек и гематома, а не аллергическая реакция, которой все боятся. Частота последней, при использовании современных анестетиков — один случай на стопицотмиллионов.
В общем, не нужно валить на пациента: «На Вас не подействовала анестезия, потому что Вы не то съели, не то выпили, не так поспали и т. д.». Просто берем и повторяем анестезию, вспоминая анатомию и не забывая о дозировках анестетика (особенно, это касается анестетиков с адреналином и пожилых пациентов и детей).
Что делать, если Вы вкололи уже 6 карпул ультракаина, а анестезия не наступает? Лучше объяснить пациенту проблему и операцию на другой день. Ну, или на вечер. Решайте сами, что важнее — желание заработать или избежать возможных осложнений?
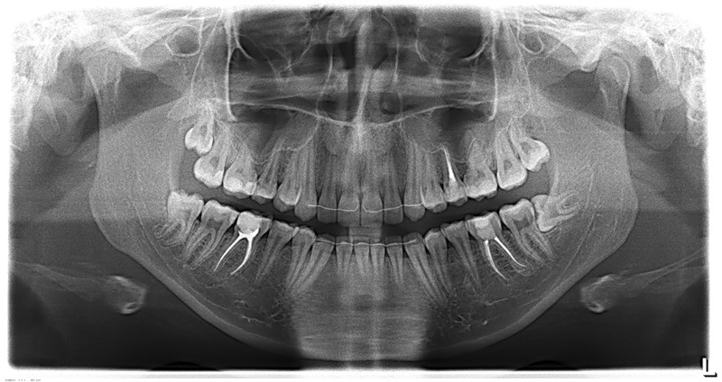
Далее, приступаем к удалению. Неплохо было бы ознакомиться со снимками, для начала — ведь большая часть зуба находится, как известно, вне нашего зрения и видна только на рентгенограммах.
Пара слов о рентгеновских снимках. Нередко слышу два умозаключения:
«на ортопантомограмме корни верхних зубов
находятся в проекции альвеолярной бухты верхнечелюстной пазухи,
поэтому обязательно будет перфорация и ороантральное соустье,
свищ, гайморит, ад и погибель.:»
«на ортопантомограмме корень нижнего зуба мудрости находится близко
(или пересекает) нижнечелюстной канал,
поэтому удаление зуба мудрости приведет к повреждению нижнелуночкового нерва
и последующему онемению половины челюсти, губы и подбородка:»
Разберем подробнее:
Во-первых, панорамный снимок — штука, сильно искажающая пространственное соотношение тканей и структур. Возьмите два листа бумаги с текстом с обеих сторон, сложите их вместе и посмотрите на просвет. Удается ли прочитать текст? Вот ортопантомограмма — примерно, то же самое. Другими словами, сказать по ортопантомограмме о соотношении верхнечелюстной пазухи и корней верхних зубов, равно как и о положении корней восьмерок и нижнечелюстного канала ДОСТОВЕРНО НЕЛЬЗЯ! Поэтому, для такой точной работы как дентальная имплантация, нам нужна компьютерная томография.
Во-вторых, можно просто посмотреть компьютерную томографию, либо сходить в анатомический театр, препарировать труп и убедиться, что корни верхних зубов, чаще всего, не попадают в верхнечелюстную пазуху, а обходят ее по сторонам. А, если и попадают, то между ними и пазухой остается слой костной ткани, надкостницы и слизистой оболочки гайморовой пазухи, которые, при правильной методике удаления, не дадут образоваться соустью. Редкое, очень редкое исключение из этого правила — длительный периапикальный процесс, который приводит к разрушению костной перегородки между лункой зуба и дном верхнечелюстной пазухи.
То же самое касается и нижнечелюстного нерва и восьмерок. Сделав компьютерную томографию мы убедимся, что нижнечелюстной нерв находится гораздо более язычно, нежели корень зуба. А на снимке они, нередко накладываются друг на друга создавая иллюзию пересечения.
Так почему же эти осложнения, я имею ввиду парестезию после удаления нижних восьмерок и перфорацию дна верхнечелюстной пазухи при удалении верхних зубов, случаются? Главная, самая главная причина — излишний травматизм во время операции.
Отсюда следует второе и, пожалуй, самое главное правило — если при удалении зубов Вы прикладываете слишком много усилий, значит, вы что-то делаете не так. Работаете неправильно. Зубы, даже в самых сложных случаях, удаляются мизинчиком, без каких-либо усилий.
Если зуб ломается, если не удается его вытащить целиком — не нужно этого делать. С помощью бормашины можно поделить зуб на несколько частей — и удалить его по частям. Это намного проще.
Сломался мелкий корешок где-то в глубине лунки? Промойте лунку физраствором, дистиллированной водой, раствором хлоргексидина — и у Вас будет нормальный обзор. Ни в коем случае нельзя работать вслепую.
Несколько раз видел, как некоторые доктора, чтобы обеспечить гемостаз в лунке, промывают ее перекисью водорода. Это — прямой путь к альвеолиту и всевозможным осложениям в послеоперационном периоде. Поэтому забудьте про перекись водорода вообще — в современной хирургической стоматологии она не применяется.
Еще забудьте про молоток и долото. У вас есть бормашина — пользуйтесь ей. Да, это не так эффектно выглядит, как при использовании молотка и долота, но зато избежите осложений и негатива со стороны пациента.![0_e8c0a_36b90d0a_L[1]](http://2026.implant-in.com/wp-content/uploads/2013/09/0_e8c0a_36b90d0a_L1-150x150.jpg)
Ну ладно, удалили зуб. Что делать с лункой?
Правило третье — никаких выскабливаний, мы с вами не аборт делаем. Кюретаж необходим только в случае наличия явной гранулемы у корня зуба, либо если вы подозреваете, что по краям лунки (как правило, в пределах слизистой оболочки) остались мелкие кусочки зуба. Всё дело в том, что оставшиеся в лунке периодонтальные волокна — важный фактор удержания в ней кровяного сгустка. Если их выскоблить «до зеркального блеска», как написано в некоторых старых учебниках, то потом будем лечить альвеолит.
Правило четвертое — швы. В случае, если лунка зуба получилась большая, или для удаления зуба делались дополнительные разрезы — необходимо наложение швов. Идеальные материал для швов на лунки зубов — Vicryl или PGA, размером 3-0 или 4-0. Если предполагается одеть съемный протез зуба сразу после удаления, то можно использовать более тонкий шовный материал.
Наглухо ушиваются лунки только ретинированных зубов. Если коронковая часть зуба видна хотя бы частично, герметичные швы могут привести к осложениям: инфицированию области лунки и развитию абсцесса.
Некоторые коллеги до сих пор используют йодоформные турунды для тампонады лунки. Вопрос к ним: «Для чего?». Йодоформ из турунды растворяется и вымывается через несколько часов, после чего сама турунда становится рассадником инфекции. Она никак не способствует заживлению костной раны, а после ее удаления\выпадения образуется т. н. «сухая лунка». Ну и пахнет она отвратительно.
Обычно в лунку после удаления зуба я помещаю Neocones (Septodont). При его отсутствии можно использовать Alveogyl или «Альвостаз». Нужно ли помещать в лунку какие-нибудь остеопластические материалы? Об этом почитайте в статье о немедленной имплантации.
Итак, зуб удален, лунка обработана — что дальше?
Назначения. Многие доктора забывают о том, что с удалением зуба их работа не заканчивается. Мало провести операцию, важно полностью реабилитировать пациента после нее. И это, на мой взгляд, самая сложная часть практики хирурга-стоматолога.
Полость рта изначально инфицирована. Это значит, что хотим мы или нет, в лунку удаленного зуба попадает слюна, в которой содержится большое количество микроорганизмов. Дабы не было инфицирования и осложений, необходимо назначение антибактериальный средств. Какие лекарства лучше использовать, как и в каких случаях их назначать, можно почитать здесь>>
Вкратце, антибиотики после удаления зуба назначаются:
- в случае острого воспалительного процесса
- при удалении нижних зубов мудрости — почти всегда
- при удалении ретинированных зубов, если послеоперационная рана ушивается наглухо
- в случае излишней травматичности самой операции удаления.
В других случаях необходимости назначения антибактериальных препаратов нет.
Про нестероидные противовоспалительные средства можно почитать здесь>>
А про необходимость назначения антигистаминных препаратов — здесь>>.
Ну и, некоторые базовые и вводные принципы лекарственной терапии в амбулаторной хирургической стоматологии — здесь>>
О рекомендациях по послеоперационному режиму, для чего они нужны и что почему мы их делаем, можно почитать в следующей серии.
Следите за обновлениями!
С уважением, Станислав Васильев.

![0_d9c07_54439835_L[1]](http://2026.implant-in.com/wp-content/uploads/2013/09/0_d9c07_54439835_L1-150x150.jpg)
![0_75a52_d0a2eefc_XL[1]](http://2026.implant-in.com/wp-content/uploads/2013/09/0_75a52_d0a2eefc_XL1-650x345.jpg)
![0_ec420_93c128d7_L[1]](http://2026.implant-in.com/wp-content/uploads/2013/09/0_ec420_93c128d7_L1.jpg)
Добавить комментарий
Для отправки комментария вам необходимо авторизоваться.