Вообще, сегодня я планировал опубликовать статью о том, как не переплатить в стоматологической клинике, но тут в КЛИНИКУ ИН вернулась наша давняя пациентка Зинаида, и я решил, что публикация под рабочим названием «Пчелы против меда» подождет. Мы поговорим об остеопластике, сочетаемой с имплантацией, долгосрочных результатах наращивания костной ткани и методах их оценки. Заодно узнаешь, почему я перестал участвовать в тематических аквадискотеках и сидеть в стоматологических пабликах и на форумах.
Традиционно, я предлагаю тебе вспомнить всё, что написано об остеопластике с одновременной имплантацией до этого момента:
Основная цель имплантологического лечения… — публикация 2014 года, где я впервые показываю один из клинических случаев сочетания имплантации и остеопластики. Да, мы проводили подобное лечение во временя, когда ты еще не знал, что такое имплант и чем он отличается от имплантата.
Не усложняйте! Остеопластика — это не так уж и страшно. — публикация из эпохи, когда наращивание костной ткани казалось чем-то очень страшным и опасным. Интересно, что в те времена мы делали больше подобных операций, чем делаем сейчас. 2015 год.
Имплантация, расщепление альвеолярного гребня и немного НКР — статья аж 10-летней давности, первая из публикаций, посвященных имплантации, проводимой с одновременной остеопластикой.
Имплантация и остеопластика (наращивание костной ткани): вместе или врозь? Часть I — статья 2016 года, в которой описан метод из сегодняшней статьи. С имплантатами Nobel Biocare, между прочим.
Имплантация и остеопластика: вместе или врозь? Часть II, плюс Ankylos, плюс Geistlich — эпичная хирургическая работа, эпичный клинический случай аж 2013 года, от воспоминаний о которых у меня до сих пор дергается левый глаз.
Имплантация с одновременным наращиванием костной ткани. Планирование и принятие решений — первая подробная и логически структурированная часть руководства по методике. Специально для врачей, 2022 год.
Имплантация с одновременным наращиванием костной ткани. Алгоритм операции, результаты, проблемы и методы их решения — вторая часть руководства, 2022 год. По сути, обобщение всего моего опыта в этом направлении.
Еще почитай что-нибудь с меткой «остеопластика» на этом сайте или 2026.implant-in.com. В жизни пригодится.
Как видишь, моя компетенция в этих вопросах легко подтверждается историей моих же публикаций. Я провожу такие операции больше пятнадцати лет, столько же наблюдаю результаты и лечу осложнения, если они вдруг случаются. Если ты хочешь стать имплантологом и научиться делать что-то подобное — без проблем. Переходи на эту страницу, внимательно прочитай условия и приезжай на стажировку.
Ну, и книги. Про книги не забудь — их можно купить в моем интернет-магазине последиплом.рф. Первый том «Базовые принципы» — это то, что должен знать каждый имплантолог. Второй том «Немедленная имплантация» — это движение вперед, когда к твоим навыкам отсроченной имплантации добавляется новая методика, установка имплантата в лунку только что удаленного зуба.
Цена любой из книг — всего 4 000 рублей. Это дешевле, чем сходить на однодневные курсы.
Еще взамен уничтоженного канала, у нас появилась целая группа в Телеграм, где есть отдельная тема для врачей (стоматологов и не только). Там можно спрашивать, отвечать, комментировать, спорить и даже материться. Я буду рад, если ты на неё подпишешься.
Вернемся к Зинаиде. Мы познакомились с ней в 2013 году, она гражданин соседнего и до сих пор дружественного государства. Как обычно бывает в таких случаях, Зинаида прислала данные КЛКТ, после мы созвонились и обсудили всё по телефону. Договорились следовать в рамках инструкций с этой страницы: пациентка нашла доктора по месту жительства, который будет её осматривать, забронировала гостиницу на несколько дней и, как было запланировано, прилетела к нам точно ко времени.
«… и даже то, что быть не может — однажды тоже может быть!»
Что бы ты ни планировал — всегда что-то может пойти не по плану. Хирургии это касается в первую очередь, именно поэтому мы держим в клинике солидный запас биоматериалов и имплантатов, все основные инструменты продублированы, а к остеопластике операционную готовят по принципу «хз, по ходу дела решим…»
Ремарка: последнее означает, что ассистенты готовят операционную не к конкретному методу остеопластики (например, к АТККФ или НКР), а ко всему сразу, поскольку не всегда ясно, каким методом будет проводиться наращивание костной ткани.
В общем, так и получилось. Уж не помню, почему я наобещал пациентке, что мы поставим ей имплантаты одновременно с остеопластикой. Но я наобещал. И, когда увидел клиническую картину в полости рта:
у меня появились серьезные сомнения, смогу ли я выполнить своё обещание. Вот только не спрашивай меня «Вот чо, сложно было по КЛКТ посмотреть?». Я же не спрашиваю тебя, где ты был в 2013 году, и сделал ли ты домашку. Но, в целом, план операции у нас не поменялся. Как и было оговорено, мы проведем остеопластику с одновременной имплантацией в боковом участке нижней челюсти справа.
Выбор метода.
Если не считать комбинированных и суперпереусложненных методик, в нашем арсенале есть три базовых вида остеопластических операций (подробно — по ссылкам):
— остеотомия, расщепление альвеолярного гребня
— аутотрансплантация крупных костных фрагментов, т. н. «пересадка костных блоков».
Тогда я рассуждал следующим образом.
Остеотомия пролетает сразу, поскольку альвеолярный гребень такой ширины невозможно расщепить так, чтобы правильно установить имплантаты. Технически — да, но тогда имплантаты будут расположены слишком язычно, плюс риск атрофии тонкого вестибулярного фрагмента… Короче, не от случай для остеотомии.
А вот направленная костная регенерация — это вариант. И по условиям, и по клинической ситуации. Правда, НКР получается примерно в полтора раза дороже и не улучшает стабильность имплантатов. Если бы у меня была ипотека и автокредит, а пациентка после операции находилась бы в зоне досягаемости, то этот метод остеопластики был бы оптимальным с точки зрения баланса сложность/травматичность/результат.
Остается одна методика, а именно — аутотрансплантация крупных костных фрагментов. Как и в случае с НКР, у нас есть и условия, и оптимальная клиническая ситуация. В частности, мы можем провести операцию по принципу «одной раны», что это очень важно. К тому же, АТККФ получается дешевле, позволяет улучшить стабилизацию имплантатов и, в целом, получается более предсказуемой и удобной конкретно в этом клиническом случае (с точки зрения «одной раны» и способов фиксации графта).
Итого, я остановился методе АТККФ как на наиболее дешевом, удобном и предсказуемом.
Вообще, про выбор метода остеопластики хорошо написано здесь>>
Выбор имплантатов
Сейчас в нашем арсенале есть аж пять имплантационных систем, включающих в себя имплантаты разных типов:
А тогда было две: субгингивальная Xive S и субкрестальная Ankylos C/X.
Безусловно, субгингивальные имплантаты удобнее во всех отношениях, но… после остеопластики сложно спрогнозировать уровень атрофии кости в послеоперационном участке и угадать с правильным положением платформы. К тому моменту у меня уже был опыт подобных операций, в т. ч. с субгингивальными имплантатами, но не при такой конфигурации альвеолярного гребня и не при таком объемном костном дефекте.
Платформу субкрестальных имплантатов можно позиционировать, что называется, » с запасом» — заглубить её в кость на 3-4 мм. Даже в случае интенсивной постоперационной атрофии, она останется в правильном положении, и у нас сохранятся все условия для получения хорошего результата лечения.

В общем, Ankylos С/X — это мой выбор конкретно в этой клинической ситуации.
Как показало дальнейшее развитие событий, выбор абсолютно правильный.
Знакомство и консультация.
Наперво — консультация. Как и было оговорено инструкцией, Зинаида приехала в Москву на несколько дней, поселилась в гостинице недалеко от нашей клиники.
Наконец, мы с ней познакомились очно, побеседовали и обсудили нюансы предстоящей операции. Зинаида согласилась с моим доводами и напоследок сказала:
— Доктор, я летела к вам две тысячи километров. Мне вас рекомендовали серьезные люди, я вам полностью доверяю. Делайте всё, что посчитаете нужным.
Нельзя подводить серьезных людей. Надо оправдать выданный мне кредит доверия.
Мы назначили операцию на следующий день.
Ход операции.
Для начала, я процитирую умного человека (А. Кутин «Хирургия остеомиелита»):
Планирование операции всегда сложнее, чем сама операция.
Поскольку всё у нас было распланировано и согласовано, операция действительно получилась несложной.
Анестезия.
Подобные операции можно и нужно проводить под местной анестезией. Совершенно точно, они не требуют ни наркоза, ни седации. И вот, почему:
Во-первых, это непродолжительное хирургическое вмешательство. На полтора часа, максимум. Местная анестезия действует значительно дольше.
Во-вторых, всё хирургическое вмешательство проходит в одном участке зубного ряда. Его можно обезболить минимальным количеством анестетика. В нашем случае потребовалось 6.8 мл Ультракаина Д-С форте. Всего 4 карпулы.
В-третьих, для работы в этой зоне требуется содействие пациента во время операции: открыть-закрыть рот, повернуть, зафиксировать голову и т. д. Для этого с пациентом нужно общаться, а для общения он должен быть в сознании. «Выключение» пациента не позволяет этого сделать. И это, как ни странно значительно усложняет хирургическое вмешательство.
В-четвертых, безопасность. Ты и сам знаешь, что наркоз нифига не полезен. Помимо этого, он превращает пациента в неконтактный кусок мяса, что развязывает хирургу руки и позволяет делать то, что он никогда бы не сделал человеку в сознании. Хирург теряет осторожность и даже страх — а это уже прямой путь к беде.
В-пятых… в-пятых, наркоз в амбулаторной стоматологии используют только мудаки. Почему? Читай здесь>>
Разрез.
На этапе разреза делают дофига ошибок, что приводит к излишней травматичности вмешательства, сложностям при ушивании раны, расхождению швов и т. д. В общем, к нему нельзя относиться пофигистически.
Ремарка: еще на этапе консультации с участием стоматолога-ортопеда, мы признали 44 зуб негодным и решили его удалить. Перед проведением разреза мы убрали коронку с 44 зуба и подготовили его к удалению. Так мы избежим попадания фрагментов коронки в открытую рану, а проведение самого разреза получится проще и аккуратнее.
За редким исключением, мы всегда проводим разрез в пределах прикрепленной десны. Даже если её участок шириной всего полтора-два миллиметра — постарайся оставить его в этих границах.
Поскольку мы планируем получать аутотрансплантат из этой же области, мы продляем разрез до донорской зоны. В этом участке удобно вывести его вестибулярно, прямо в проекции наружной косой линии.
Скелетирование и создание доступа.
Не нужно отслаивать периост сразу и отовсюду. Зачем? Вместо этого, мы последовательно открываем те участки, в которых предполагаем вести манипуляции.
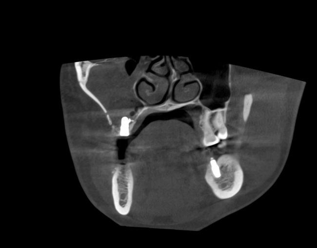
Кстати, обрати внимание на ширину альвеолярного гребня (левая картинка). Она чуть меньше 3 мм. Это объясняет, почему я засомневался в возможности установки имплантатов одновременно с остеопластикой. Понятно и без КЛКТ.
Наперво, мне нужно удалить разрушенный зуб и получить костный аутотрансплантат.
Для получения костного блока, мы открываем донорскую зону, наружную косую линию нижней челюсти.
Получение костного аутотрансплантата.
Здесь потребуется пародонтологический зонд с миллиметровой разметкой или какой-то другой измерительный прибор (операционная линейка). Ранее по КЛКТ я измерил костный дефект, теперь нужно нанести границы будущего костного блока на донорскую зону.
Ремарка: некоторые доктора предлагают делать хирургические шаблоны или выкройки специально для точного забора костного блока. На мой взгляд, это чрезмерное усложнение - во-первых, использование подобных шаблонов или выкроек требует увеличения площади раны, во-вторых, это увеличивает время и стоимость лечения, в-третьих, на этом этапе не требуется высокая точность, поскольку блок всё равно потребует адаптации.
Иными словами, важна не точность, а быстрый, аккуратный и, что главное, малотравматичный забор аутотрансплантата.
Для получения костного блока мы использовали ультразвуковую пьезохирургическую систему. Это самый удобный и безопасный инструмент для проведения подобных манипуляций. С помощью него мы сформировали и выделили костный блок. Он должен отделяться легким движением остеотома или элеватора. Как это сделать правильно — читай здесь>>
Кстати, если костный блок не отделяется от костного ложа легким движением элеватора, значит он неправильно сформирован или не до конца выделен. Вообще, любое чрезмерное усилие в хирургии — это всегда следствие рукожопия. Если тебе что-то приходится делать с усилием (установка имплантата, удаление зуба и т. д.) — значит ты делаешь это неправильно. Остановись и подумай, что именно.
Подготовка костного ложа и фиксация аутотрансплантата
Возвращаемся к основной операционной области. Еще раз посмотрим на альвеолярный гребень, поофигеваем от его ширины и моих грандиозных планов:
На этом месте мне следует дать некоторые пояснения.
Если ты читал мои предыдущие публикации, посвященные остеопластике, то наверняка знаешь, что костное ложе перед фиксацией графта (любого графта) требует некоторой подготовки. В основном она заключается в полном или частичном удалении кортикального слоя и, применительно к АТККФ — адаптации не только блока под ложе, но и ложа под пересаживаемый костный блок. Подробности здесь>>
Ежу понятно, что к необходимости этих манипуляций мы пришли не сразу. А тогда был 2013 год… и у меня были мысли, что подготовка костного ложа нужна не всегда и не всем. Здесь я понадеялся на размер костного дефекта и большую площадь контакта между костным аутотрансплантатом и принимающим ложем. Конечно, сейчас я сделал бы немного по-другому.
Я зафиксировал костный блок практически без адаптации на несколько винтов. Обрати внимание, что винты находятся в зоне, где не планируется установка имплантатов. Фиксация должна быть надежной, поскольку мне еще предстояла подготовка лунок для имплантатов. Трех винтов для этого вполне достаточно.
Дальнейшая адаптация костного блока свелась к сглаживанию острых краев. После чего я приступил к подготовке лунок и установке имплантатов.
Установка имплантатов.
Напомню, что для этой работы я выбрал субкрестальные имплантаты Ankylos C/X. Они прекрасно сочетаются с любым методом остеопластики.
Я не планирую установку супраструктур или коронок, поэтому на уровень первичной стабильности можно положить болт. Даже наоборот — чем меньше крутящий момент при установке, тем лучше. Для имплантатов Ankylos и подобных им, это особенно важно. В общем, момент силы при установке — не более 10-15 Нсм.
Ремарка: имплантаты с предустановленными имплантодержателями хороши тем, что с ними легко контролировать позиционирование имплантатов. В случае с Ankylos С/Х - еще и крутящий момент. Имплантодержатель должен отсоединяться от имплантата с легким щелчком. Если его клинит, и тебе приходится прикладывать для этого усилия, то ты, однозначно, превысил момент силы во время установки имплантата. Следовательно, жди проблем.
Глянем на то, что получилось:
Осталось адаптировать костный блок (убрать острые края), проверить его фиксацию и, при необходимости, добавить винты. Десятисекундное дело.
Изоляция области аутографта и имплантатов барьерной мембраной.
Перекрывать костный блок барьерной мембраной или оставить так? По этому вопросу есть много мнений. Между тем, в публикации по методике есть ясное показание, когда это требуется.
Конкретно в этом клиническом случае между костным аутотрансплантатом, ложем и имплантатами есть пустое пространство. Если его не изолировать от мягких тканей, они прорастут и осложнят интеграцию аутографта. Поэтому я решил перекрыть костный блок барьерной мембраной, пусть это делает хирургическую операцию немного дороже.
На этом этапе есть несколько нюансов, о которых я хочу рассказать отдельно.
— я использовал барьерную мембрану Geistlich Bio-Gide, которая имеет две разные поверхности: с одной стороны она рыхлая «адгезивная», с другой — гладкая и прочная. Как укладывать — на результат не влияет, но в плане удобства рыхлую поверхность мы «приклеиваем» к тому, на чем требуется барьерную мембрану удержать. В данном случае хотелось бы удержать её на костной поверхности — следовательно, мы укладываем её рыхлой поверхностью к кости.
Ремарка: примечательно, что во время синуслифтинга ситуация иная - там требуется удержать барьерную мембрану на слизистой оболочке верхнечелюстной пазухи. Следовательно, рыхлая поверхность - на стороне шнайдеровой мембраны.
— много лет мы используем антибиотики для интраоперационной профилактики инфекционно-воспалительных осложнений. Уже в то время мы пришли к выводу, что удобнее всего — порошки антибактериальных препаратов для приготовления раствором: дешевые, стерильные, в удобной упаковке. Прямо в виде порошка их можно добавлять в графт, растворы для ирригации, либо использовать так, как показано на фото. Еще мы используем порошок антибиотика для изготовления пасты, которой обрабатываем имплантаты в процессе ревизии или при лечении периимплантита. Это удобнее и эффективнее, чем интраоперационное использование жидких форм антибактериальных препаратов.
— ты знаешь, что барьерная мембрана может выполнять две функции, каркасную и изолирующую. Первая функция требует обязательной фиксации и натяжения, вторая — нет. В нашем случае «каркасом» регенерата является костный блок, а барьерная мембрана нужна только для изоляции. Поэтому она не требует натяжения и фиксации пинами.
После я внимательно проверил, что костный блок и имплантаты полностью перекрыты. Теперь рану можно ушивать.
Наложение швов.
Если на этапе разреза и формирования раны всё сделано правильно, то наложение швов не вызывает особых трудностей. Периостотомия или послабляющие разрезы на периосте не требуются (ни практически никогда не требуются). А сами швы получаются аккуратными и герметичными:
Обрати внимание, что все шовные лигатуры находятся в пределах кератинизированной десны. Это позволяет избежать деформации тканей и лишних рубцов. В наиболее уязвимых местах (около зубов) шовные лигатуры лучше продублировать.
Если бы мне пришлось делать это сейчас, то я бы использовал непрерывный «матрацный» шов. Он удобнее, быстрее в наложении и комфортнее для пациента. Минус — если распускается, то распускается весь. К тому же, его очень неудобно снимать.
Несмотря на то, что уже тогда мы широко использовали непрерывные швы в подобных случаях, здесь я, во-первых, зассал (может распуститься), во-вторых, снятие швов предполагалось в поликлинике по месту жительства пациентки, и мне не хотелось, чтобы там при снятии швов начудили. Как выяснится позже — зря беспокоился.
Неизменно одно — в таких операциях мы использовали и до сих пор используем нерезорбируемые монофиламентные шовные материалы, поскольку они наиболее гигиеничные. Чтобы острые концы нитей не беспокоили пациента, их можно оплавить нагретой гладилкой или гуттаперчевым плаггером.
После операции:
— контрольный снимок (раньше делали ОПТГ, сейчас — строго КЛКТ)
— рекомендации и назначения в письменном виде, которые мы всегда сопровождаем устными пояснениями. Их, кстати, можно найти на этой странице>>. Почитай, если интересно.
После операции
Через день мы встретились с Зинаидой, оценили симптоматику. Она вполне обычная для таких операций: болезненных ощущений практически нет, зато есть выраженный отек в пол-лица и синяк, на всю щеку, плавно переходящий на шею. От всего этого прекрасно спасала медицинская маска, и пациентка не сильно переживала. Вообще, мне нравился её позитивный настрой — на любую бабуйню, которую многие бы посчитали «ужасом-ужасом», она улыбалась и говорила: «Я думала, что будет хуже…»
Коррекция назначений не потребовалась. Я рекомендовал держать обезболивающие (НПВС) в кармане и принимать только по необходимости. Антибактериальную терапию мы запланировали отменить через пару дней, в итоге срок приёма антибиотиков составил всего 4 дня, не считая дня операции.
Ремарка: В моих книгах подробно описаны схемы лекарственной терапии в хирургической стоматологии. Если кратко, то назначения не должны быть шаблонными, должны учитывать особенности здоровья и образа жизни пациента, быть легкими в применении и, при необходимости, корректироваться.
На следующий день после осмотра, Зинаида улетела домой, в солнечную среднеазиатскую страну.
Этап установки формирователей десны
Прошло около четырех месяцев. Мы запланировали следующий этап лечения, формирование десневой манжеты (ФДМ).
Как и в прошлый раз, мы согласовали приезд Зинаиды заранее. Здесь возник целый ряд проблем:
— Сама по себе операция установки формирователей десны довольно простая и занимает, от силы, 15-30 минут. После неё редко бывают какие-нибудь осложнения, она не требует такого наблюдения, как, например, остеопластика или имплантация. По сути, пациентка едет к нам ради 15-минутной хирургической процедуры, стоимость которой в два раза ниже, чем билеты до Москвы и обратно.
— Следовательно, если и приезжать, то сразу на этапы протезирования. Но к ним возможно приступить только через несколько дней после установки формирователей десны, а само временное протезирование занимает, в среднем, около недели. Иными словами, Зинаиде лучше остаться в Москве дней на 10-12, и вернуться домой уже с новыми зубами. Чтобы максимально ускорить проведение протезирования, нам нужно заранее поставить все приёмы у стоматолога-ортопеда и забронировать зуботехническую лабораторию.
— Всегда есть риск, что что-то пойдет не так. Например, на этапе установки мы поймем, что остеопластика не удалась, или имплантат не интегрировался, или требуются какие-то дополнительные хирургические процедуры, вроде пластики десны. В этом случае план предстоящего лечения кардинально меняется, мы обламываем и пациента, и зуботехническую лабораторию. А у стоматолога-ортопеда пропадает ценное время. Объясняться со всеми и выяснять, кто кому что должен, весьма не просто.
Ремарка: вот поэтому я сделал специальную страницу для пациентов из других городов, регионов и стран, желающих лечиться в нашей клинике. И не очень одобряю стоматологический туризм "набегами", без должного контроля врачом по месту жительства и взаимодействием с лечащей клиникой.
Итак, Зинаида на приеме.
Вот клиническая картина через 4 месяца после ранее проведенной имплантации с остеопластикой:
Как видишь, коллеги из недалекой дружественной страны не осилили снятие швов. Мне это не нравится, хотя и объясняет, почему люди готовы ехать за тыщи километров ради 20-минутной операции удаления зуба мудрости.
Ну хорошо. Швы сняли. Делаем разрез. Обрати внимание, что после всех проведенных операций у нас остается очень небольшой по ширине слой жевательной слизистой оболочки:
в связи с чем возникает резонный вопрос:
А нет ли здесь необходимости в дополнительной пластике десны?
Напомню, то был 2014 год. В те времена отношение моих коллег к пластике десны как к необходимому этапу имплантологического лечения сводилось к двум крайностям: от «нафиг не нужна» до «делаем всегда». Не все понимали её смысл, далеко не всегда доктора могли обосновать клинические показания для её проведения. Это сейчас мы такие умные и всё знаем. Провели сотни нужных и ненужных операций, написали кучу статей по этому поводу:
Сохранение и формирование десневого контура: от простого к сложному и наоборот.
ВОКРУГ ИМПЛАНТАТОВ: нулевая утрата кости, биологическая ширина десны и всё такое.
А тогда… тогда я решил обойтись без дополнительной хирургической процедуры. И вот, почему.
Во-первых, дополнительная хирургия сильно бы осложнила логистику лечебного процесса. Пациентке пришлось бы приезжать еще раз (издалека), а сам этап протезирования откладывался бы на несколько месяцев. Этого не хотели ни я, ни пациентка, ни стоматолог-ортопед.
Во-вторых, к тому моменту у меня были прекрасные результаты лечения и в более худших условиях по десне. В конце концов, нам ничто не помешает провести эту операцию и после протезирования, если что-то пойдет не так.
В-третьих… в третьих, лучшая операция — это та, которой удалось избежать. Вот мы и ведем дело… к лучшей операции.
Конечно, сейчас мы действуем значительно деликатнее. И не делаем такие разрезы без необходимости:
С другой стороны, если бы делали «как сейчас», ты не увидел бы ничего интересного.
Устанавливаем формирователи десневой манжеты. Сегодня я называю эту процедуру не менее важной, чем любой другой этап имплантологического лечения:
И швы. Просто швы. Никаких дополнительных процедур.
Если честно, то сейчас бы я использовал другой шовный материал и другой тип швов. Одно неизменно, — и я об этом много раз говорил, — самая широкая часть формирователя десны должна находиться на уровне десны. Так, чтобы эффективно отрабатывать т. н. «биологическую ширину».
Через неделю я снял швы, а мой коллега Андрей Карнеев (дело было еще в НИЦ) приступил к изготовлению протезов. На это ушло полторы недели:
Ремарка: Во всех случаях "сложной" имплантации первым делом изготавливаются временные коронки на срок до 12 месяцев. Здесь мы провели остеопластику одновременно с имплантацией - и это вполне катит за "сложную" имплантацию и требует изготовления временных коронок на минимальный срок 6 месяцев.
«Ого, какие классные зубы!» — сказала тогда Зинаида, после чего мы попрощались и договорились встретиться через полгода-год для замены временного протеза на постоянный керамический. Зинаида вернулась домой, в дружественную среднеазиатскую страну.
Ежу понятно, что ни через полгода, ни через год мы не встретились…
2025 год, наши дни.
Стоит ли говорить, как много событий произошло с момента последней нашей встречи? Произошел госпереворот на Украине (2014), после которого Крым стал нашим, и против нашей страны были введены первые санкции. в 2020 году эпидемия COVID-19 наглядно показала, как ОРВИ может вырубить экономику целых регионов, и как легко можно управлять людьми и миром. Про 2022 год я вообще молчу — СВО и конфликт на Украине (прямое следствие госпереворота-2014) четко поделили общество на своих и чужих, наглядно показали, кто есть кто.
С момента проведенного лечения прошло 11 лет. Честно говоря, я подумал, что никогда больше не увижу Зинаиду, и что постоянное протезирование ей провели местные среднеазиатские доктора.
Но… в начале 2025 года я получаю от Зинаиды письмо, в котором она просит закончить лечение. Я с ужасом ожидал каких-нибудь жалоб и проблем (всё же, 11 лет без наблюдения стоматолога), но оказалось, что Зинаида просит поменять износившиеся временные коронки на постоянные. Да-да, ты не ослышался! Она 11 лет пользовалась временными коронками, и всё, что её беспокоит — это износ временных коронок!. Это абсолютный рекорд, я считаю.
К счастью, страна, где проживает Зинаида, осталась дружественной и после 2022 года. Более того, сохранила прямые рейсы с Москвой. Мы легко договорились о встрече и продолжении лечения. По тем же правилам, что и в прошлый раз.
Мы встретились как старые друзья. Честно признаюсь, я очень переживал. Я ожидал увидеть какую-нибудь жуть, утраченную кость, периимплантит, разрушенный вхлам протез и всё такое. Но… всё оказалось не так плохо:
Но фиг с ними, с протезами. Это временные композитные коронки, их не так уж сложно заменить. Меня волнует другой вопрос:
— что там с имплантатами и костной тканью?
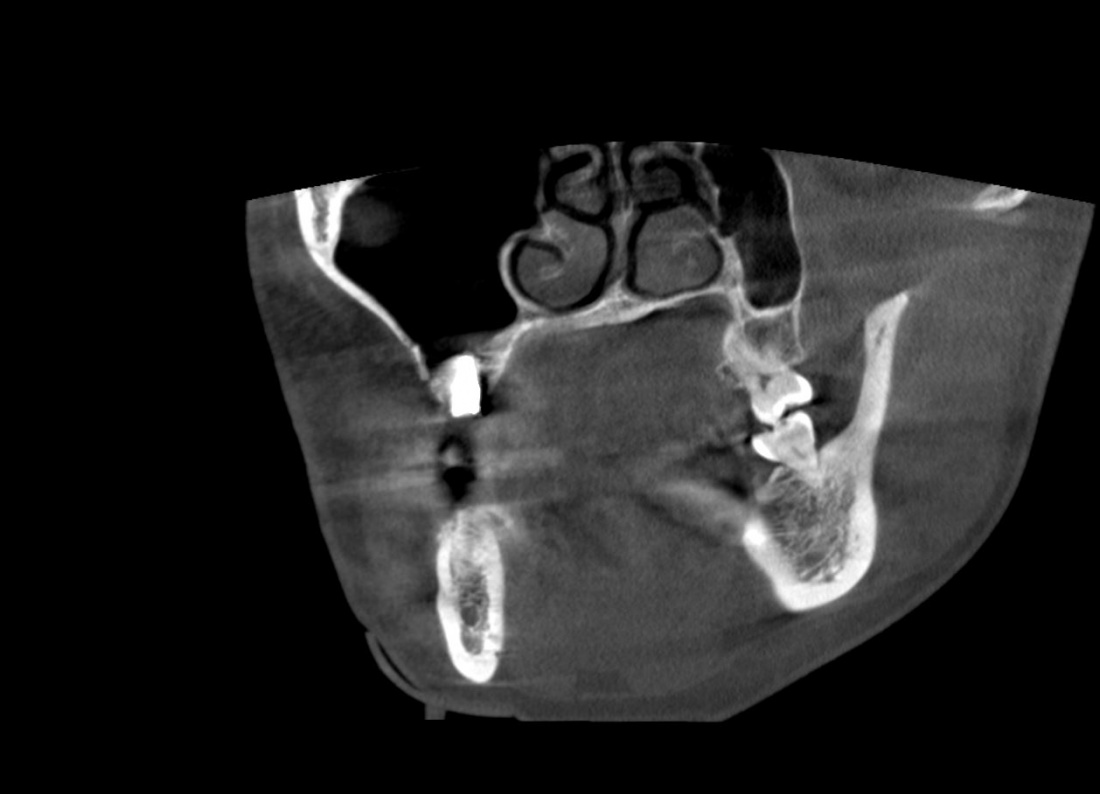
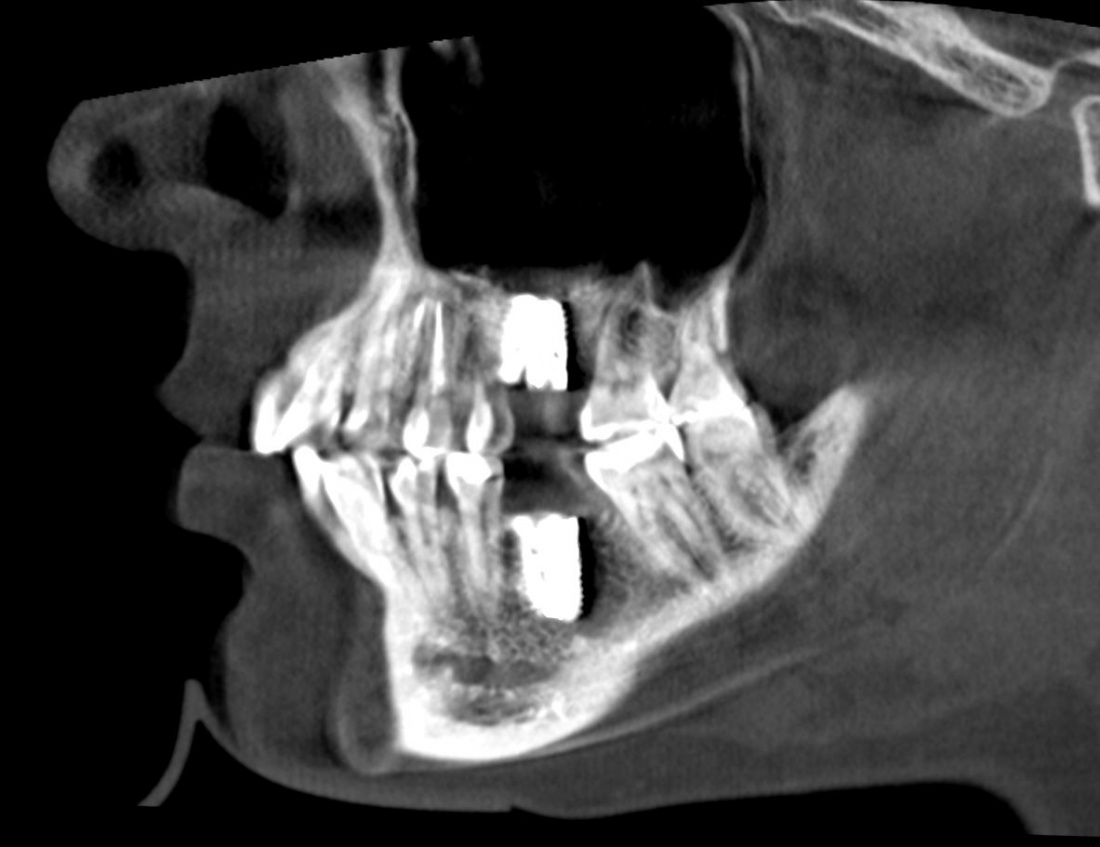
Для этого мы сделали КЛКТ:
И КЛКТ показала нам, что с имплантатами и окружающей костью всё зашибись. Через 12 лет после операции, отсутствия наблюдения, пофигизма в замене временных коронок! Нужны ли тебе еще какие-нибудь доводы в пользу долгосрочной эффективности метода?
Что дальше?
А дальше всё просто. Я попросил своего коллегу Ивана Алгазина заменить износившиеся временные коронки на постоянные керамические — но с учётом современных реалий и требований:
Серия контрольных снимков на этапах:
Вот так закончилась 12-летняя эпопея Зинаиды с восстановлением зубов на нижней челюсти. Через пару дней она уехала на экскурсию в Санкт-Петербург (на всякий случай, мы попросили задержаться в России, вдруг потребуется коррекция), а оттуда — домой, в дружественную страну. Судя по тому, что она нам пишет — у неё всё прекрасно и хорошо. Зинаида обещает не пропускать профилактические осмотры и наблюдаться у стоматолога по месту жительства.
Надеюсь, так оно и будет.
* * *
Описанный здесь хирургический этап был давно, 12 лет назад — ежу понятно, он отличается от того, что мы делаем сейчас. Наверное, не было бы повода рассказывать об этом клиническом случае так подробно, если бы не ванги.
Ванги
Вангами я называю любителей заглядывать в будущее и предсказывать. Эдаких провидцев на минималках. Это та самая разновидность диванных экспертов с минимальным опытом и поверхностными знаниями, для которых умение прогнозировать является синонимом «экспертности». Такие ванги есть везде, в любой группе, паблике или в любом сообществе. Ты их встречал, и не один раз. Их прогнозы, в основном пессимистичны и выглядят как «всё развалится…», «будет только хуже…», «ничего не получится!..», » не взлетит…» и т. п. Как они приходят к таким прогнозам — хрен его знает. Почему они хотят всем об этом рассказать — объяснения нет даже у самих ванг. Они не заморачиваются глубоким анализом, не знакомы с методологией научного прогнозирования, ибо для этого нужен мозг, а у них его нет. У современной ванги вместо мозга — ChatGPT. Каждый их коммент — не поиск истины, а стремление самоутвердиться. Даже когда ванга задает вопрос — ей не нужен твой ответ, ей нужно чтобы ты выслушал её невероятно ценное «проффесиональное» мнение.
Примерно в 2015 году, когда этот клинический случай, условно говоря, был завершен, в стоматологическом сообществе одной вражеской социальной сети разгорелась дискуссия об эффективности методов остеопластики, плавно переходящая в срач. Несмотря на то, что уже тогда я не питал никаких иллюзий в отношении профессиональных пабликов и тех, кто в них зависает, я решил выложить комикс-обзор на основе этого случая в обсуждении эффективности методов наращивания костной ткани.
Я бы привел ссылку на свой коммент, но, во-первых, эта вражеская социальная сеть, принадлежащая террористической организации, заблокирована на территории нашей страны, а, во-вторых, мне лень.
Стоило мне нажать «Отправить», как на мой комикс сразу набежали ванги, их общий посыл выглядел так:
«Всё херня/всё развалится/костные блоки уйдут/надо было делать НКР/импланты выпадут/метод неэффективный, всё резорбируется/бла-бла-бла…./Урбан сказал/Кури сказал/Массирони сказал…»
В итоге, ванги были посланы нахер, а я — заблокирован в стоматологическом паблике за оскорбление уважаемых людей. Да, среди ванг встречаются деятели, обвешанные свистелками-перделками аки новогодняя ёлка. Они всерьез считают, что за это их нужно уважать. Ога, канешн.
Но, не суть. С момента описанной хирургической операции прошло 12 лет. С момента моего комикса в паблике и обсуждения эффективности методов остеопластики- примерно десять лет.
Наверное, сегодня я могу обратиться ко всем вангам во всех стоматологических пабликах:
Предсказания — это не признак «экспертности». Стремление всюду и всему давать прогнозы — признак недалекого ума и отсутствия опыта.
Это если вежливо.
А если нет, то
Лососните тунца, предсказатели херовы!
Да-да, именно так ты можешь сказать всем вангам, если повстречаешь их на своём профессиональном пути.
По идее, нужно закончить мой рассказ какими-то выводами и моралью.
Начну с морали:
Мораль.
Наука, какой бы они ни была, изучает причинно-следственные взаимосвязи. Причина — в прошлом, Следствие — в настоящем. У науки нет возможности изучать будущее. Поэтому наука никогда не смотрит вперед. Она смотрит назад и по сторонам. Как только наука начинает рассказывать о будущем, делать прогнозы и давать предсказания — она перестает быть наукой.
Прогнозы в медицине — дело крайне не благодарное. Если не сказать, что зловредное. Всё, что у нас есть в медицине в настоящий момент — это прошлое. У нас есть статистика, но это статистика прошлого. У нас есть опыт, но это всегда опыт прошлого. Сто офигенно результативных операций никак не гарантируют, что следующая, сто первая операция пройдет хорошо. В медицине мы можем говорить только об осторожных предположениях, но никак не о прогнозах.
Для того, чтобы сделать осторожное предположение, нужно намного больше данных, чем есть у любого комментатора в интернетах. По сути, предполагать могут лишь доктор и его пациент. Те, кто планировал, обосновывал и принимал решения, проводил лечение, наблюдал за развитием ситуации и т. д. Остальные не имеют никаких моральных и этических прав на прогнозы, поэтому идут нахер. Это утверждение превращает любое интернет-обсуждение клинических случаев в пустую трату времени. Дискуссии в профессиональных пабликах контрпродуктивны. Они не дают знаний, не несут никакой практической пользы и ставят целью самоутверждение и повышение чувства собственной важности.
Если ты хочешь чему-то научиться — читай книжки (не обязательно мои) и общайся с реальными докторами в реальной жизни. Лучший вариант — сначала встать за спиной, а затем и рядом со своим более опытным коллегой. Доктора так всегда учились. Я так учился. Это единственный проверенный способ стать настоящим хирургом. Других вариантов нет. Кстати, об этом я говорил во время разговора со студентами.
Выводы.
Нет никакой разницы в эффективности различных методов остеопластики. Вообще никакой. Все методы наращивания костной ткани одинаково результативны при условии, что правильно спланированы и реализованы.
Нельзя противопоставлять различные способы остеопластики. НКР никак не противоречит остеотомии, а она, в свою очередь, никогда не заменит АТККФ там, где это нужно. Профессионализм стоматолога-хирурга состоит не столько в правильной реализации методов наращивания кости, сколько в умении правильно выбирать подходящий метод для имеющихся клинических условий.
Наконец, никакая операция не может быть сложнее, чем ее планирование (с). Если во время или после операции с твоим пациентом начинается какая-то бабуйня — значит, ты что-то упустил при планировании.
Помни об этом. Еще на забудь подписаться на нашу новую группу в Телеграм, где есть раздел для врачей.
И всё у тебя получится!
Спасибо, что дочитал до конца. Как всегда, я готов ответить на любые твои вопросы. Пиши в комментах прямо здесь.
С уважением, Станислав Васильев, стоматолог-хирург, КЛИНИКА ИН.









































































































































































































































































































































































































































































































































































































































































































































Признаюсь, не совсем понимаю необходимости назначения консультации ЛОР-врача всем пациентам поголовно. Скажем, если у пациента нет жалоб со стороны носовой полости, нет вазомоторного или аллергического ринита, на КЛКТ все носовые пазухи воздушные и чистые, их сообщение с носовой полостью не нарушено — каков смысл гонять пациента к ринологу?
























































































































































































