IMPLANT-IN.COM — дентальная имплантация. естественно.

Ультракороткие импланты: когда размер действительно имеет значение.

Уважаемые друзья! Признаться, я не ожидал, что тема про макродизайн имплантов вызовет такой интерес. Однако, еще раз перечитав всю свою писанину, я понял, что упустил один важный момент. А именно то, что размер действительно имеет значение!

Я даже встретил одного фаната ультракоротких имплантов и достаточно весело провёл время, обсуждая в фейсбуке их плюсы и минусы. Поэтому сегодня я предлагаю порассуждать, об ультракоротких имплантах и, наконец, разобраться, как жить с таким размером, для чего они вообще предназначены, когда они хороши, и в каких случаях лучше воздержаться от их использования.

*  *  *

Пожалуй, начну с того, что категоричность в суждениях — это признак примитивности мышления. Если дети делят всех людей на «хороших» и «плохих», а у подростков появляется еще и нейтральное «мне пофиг», то интеллигентный и образованный взрослый человек понимает, что мир устроен гораздо сложнее, нежели «хорошее/плохое/мне пофиг». Иной раз то, что считалось плохим, приносит обществу ощутимую пользу. И наоборот, иногда восхваляемые и обожаемые герои поступают так, что вызывают ненависть у всего мира. Наверное, поэтому никакую личность/вещь/событие/ситуацию (нужное подчеркнуть) невозможно рассматривать, обсуждать и оценивать в отрыве от обстоятельств. Увы, но мы очень редко об этом задумываемся.

Лет десять назад, когда я только начинал имплантологическую практику, для меня существовало два типа имплантов: «аццкая крутотень» и «полный отстой». И не секрет, с какими бы имплантами я на тот момент ни работал, они были «аццкая крутотень», а всё остальное, с чем работали мои так называемые «конкуренты» — «полный отстой».

Прошли годы, я изучил и протестировал в практике множество различных имплантационных систем. Чем больше практического опыта я получал, тем больше понимал, что не существует однозначно плохих имплантационных систем, равно, как и не бывает хороших, на все сто процентов, имплантов. И сейчас я рассматриваю имплантаты в рамках совершенно иной парадигмы, гораздо более обширной, сложной и, на первый взгляд, более запутанной, нежели две обозначенные категории. Подробнее об этом можно почитать здесь>>.

Но. вернемся к нашей теме, а именно — к размерам имплантов.

Итак,

Ультракороткие импланты

Когда мы говорим об ультракоротких (7 мм и менее) имплантах, то в первую очередь на ум приходит Bicon:

В далеком 1986 году американский профессор V. Morgan разработал концепцию субкрестальных коротких имплантов с фрикционной платформой. Последнее означает, что ортопедический интерфейс не имеет каких-либо антиротационных элементов (шестигранника и т. д.), а фиксация супраструктуры, коронки или абатмента, происходит путём «заклинивания»:

В этом есть, безусловно, революционность имплантов Bicon, их отличие от других современных имплантационных систем, в этом их главное преимущество и главный недостаток.

Между тем, на современном имплантологическом рынке существуют и другие ультракороткие импланты. И, на самом деле, они есть у многих производителей. Например:

Astratech 4.0×6.0
(Dentsply Sirona Implants)
Nobel Active 5.5×7
(Nobel Biocare)
Straumann Standart 6.5×6.0
(Straumann)
Ankylos 4.5×6.6
(Dentsply Sirona Implants)
..и много, что еще

Как видите, мир ультракоротких имплантов гораздо шире и разнообразнее, чем просто Bicon. Однако, их доля в общей массе выпускаемых имплантов очень невелика. Почему? Об этом речь пойдет чуть позже.

А пока я предлагаю сосредоточиться на ультракоротких пиписьках имплантах, в целом, а не на какой-то конкретной марке. Здесь и далее, мы говорим о явлении в целом, а не о Bicon, в частности.

Почему вообще возникла необходимость в ультракоротких имплантах?

После потери зубов с альвеолярным гребнем происходит ряд серьезных изменений. Утрата функции ведет к изменению микроциркуляции крови в области удаления, а воспалительные явления (из-за чего, собственно, удаляются зубы) еще больше усугубляют этот процесс. Как результат, оставшиеся без зубов и трофики участки альвеолярного гребня начинают меняться в форме и объемах, т. е. атрофироваться. Причём, атрофия челюстей после удаления зубов происходит всегда и у всех, разница лишь в её степени:

  

Разумеется, мы можем на неё влиять. Так, немедленная имплантация и превентивная аугментация лунки уменьшают степень атрофии, хотя и не предотвращают ее полностью:

  

В целом, заметна статистическая разница между спонтанным (обычным) заживлением лунки и заживлением после превентивной аугментации. Это исследование провели в Цюрихском Университете (prof. D. Thoma et al):

С другой стороны, использование съемных протезов даже непродолжительное время может серьезно её ускорить и усилить:

Кстати, именно поэтому съемные протезы крайне не рекомендуются в качестве временных, в своё время я написал об этом в статье «Факторы успеха остеопластических операций».

Так вот, чрезмерная атрофия альвеолярного гребня может лишить нас возможности имплантации — нам просто не хватит объемов костной ткани для нормальной установки имплантов. Однако, эта проблема решаема — существует целый ряд методик остеопластики (включая синуслифтинг), позволяющих восстановить любой объем костной ткани в в любом участке зубного ряда с высокой степенью эффективности. И, как правило, хорошие врачи в хороших клиниках так и поступают:

      

Увы, но подобные методики подходят не всем. Скажем так, я бы десять раз подумал прежде, чем проводить остеопластику пациенту, которому больше 80 лет, у которого есть серьезные проблемы со здоровьем. Также было бы сложно восстановить до необходимого полностью беззубый альвеолярный гребень со значительной атрофией по высоте:

Ну а, в Европе, США и некоторых других странах, где медицинская страховка покрывает установку имплантов, но не покрывает остеопластические операции, в некоторых случаях также есть резон пытаться обойтись без наращивания костной ткани (исключительно в целях экономии):

  

и использовать ультракороткие импланты и другие «оригинальные решения», типа Astratech TX Profile:

    

Их можно установить в минимально возможный объем костной ткани, где установка обычных взрослых имплантов невозможна без предварительной остеопластики. В некоторых случаях они даже позволяют избежать синуслифтинга, что, согласитесь, звучит очень заманчиво.

Другими словами, уважаемые друзья, ультракороткие импланты призваны сделать нашу работу проще. Мы реально получаем шанс избежать сложной остеопластики, в некоторых случаях — открытого синуслифтинга, которым любят пугать некоторые фанаты с ультракороткими писюнами.

И, наверное, у вас, как и у меня, возникает закономерные вопросы:

Почему?

Если это такая классная технология, то, сцуко, почему она занимает ничтожно малую долю рынка?

Почему, если эти импланты делают работу врача проще, их используют далеко не все клиники?

И, в конце концов, если мы можем обойтись без наращивания костной ткани, то почему мы до сих пор проводим остеопластические операции и синуслифтинг?

Только не нужно валить всё на консерватизм, привычки, незнание, отсутствие опыта и т. д. Я не думаю, что у уважаемых и востребованных хирургов-имплантологов, скептически относящихся к широкому использованию ультракоротких имплантов, его не хватает. Очевидно, существуют какие-то другие причины, из-за которых не происходит повсеместного распространения этой технологии.

В чём же подвох?

Начну с главного.

Чтобы быть хорошим имплантологом, нужно думать, в большей степени, как ортопед, а не как хирург. Нужно помнить, для чего мы вообще устанавливаем импланты, какую цель этим преследуем. При этом, полезно представлять себе не только будущую протетическую конструкцию, но и то, как пациент будет с ней, этой конструкцией, жить. Повышение качества жизни пациента — вот наша с вами основная задача. Если после установки имплантов и протезирования пациент, мягко говоря, мучается — нафиг нам нужна такая работа?

Установить импланты можно почти всегда. Любое количество, в любое место — достаточно взять имплантат потоньше, покороче, поставить его чуть левее-правее — и он нормально интегрируется. Но будет ли потом возможность нормально и надежно протезировать такой имплантат? Вряд ли. Улучшится ли качество жизни пациента с подобной конструкцией? В этом я тоже сильно сомневаюсь.

И вот тут, уважаемые друзья, мы опять приходим к имплантологическому правилу #2:

Размер и положение имплантата в челюстной кости должны соответствовать размеру и положению естественного зуба.

Так, что же с ультракороткими имплантами не так? Давайте посмотрим на них, с точки зрения протезирования и дальнейшей эксплуатации зубного протеза.

Если обозначить точки смыкания верхних и нижних зубов, мы получим кривую. В науке ее называют кривой Шпее, и в нормальном прикусе она выглядит следующим образом:

и, несмотря на то, что все мы разные, имеем разное строение черепа, разные по размеру зубы и челюсти, эта кривая у всех нас выглядит примерно одинаково. Так уж устроена наша зубочелюстная система, именно такое смыкание зубов обеспечивает нормальную работу жевательных мышц и суставов. И изменение формы этой кривой, завышение или занижение линии смыкания, приводит к образованию преждевременных контактов (т. н. суперконтактов) и, нередко — к мышечно-суставной дисфункции. Хорошие ортопеды это знают, поэтому стараются сохранить эту кривую Шпее в рамках физиологической нормы:

  

Кроме того, существует понятие биологических размеров коронок зубов. То есть, форма и размер коронковой части не берутся произвольно, а моделируются с учётом целого ряда параметров — и все хорошие ортопеды тоже это знают. Я, к сожалению (или, к счастью) простой хирург-имплантолог, не ортопед, поэтому подробно рассказать об этих параметрах не могу. Впрочем, всё это есть в ортопедической литературе.

Почему всё это должен знать имплантолог? Дело в том, что суммарная длина конструкции «имплантат-абатмент-коронка» должна оставаться неизменной, если мы хотим, чтобы коронка была в прикусе и нормально функционировала. Это значит, что небольшая длина импланта должна быть компенсирована раздутым эго и большим джипом увеличением размеров супраструктуры, а именно — абатмента и коронки:

Хотя изобретатель имплантов Bicon, профессор Винсент Морган утверждает, что супраструктура может превышать длину импланта в пять раз:

и приводит результаты целого ряда научных исследований на эту тему, я должен заметить, что существует одно важное исследование, проведенное в III в. до н. э. неким Архимедом (не имплантологом, а простым физиком-экспериментатором), результатом которого стало сформулированное правило рычага:

  

позже обобщенное в формулу:

Другими словами, нагрузка в 30 Н, приложенная к коронке в точке А, в точке B , будет равняться 90 Н, при условии, что соотношение имплантат/супраструктура будет как 1:3:

А это это уже, как вы понимаете, немаленькая цифра. Например, момент силы при затяжке болтов колёс большинства автомобилей составляет 100-120 Нм, что, согласитесь, ненамного больше.

И, может быть, имплантату на это пофиг, остеоинтеграция позволяет и не такое. Но как насчет соединения имплантат-абатмент? Особенно, при отсутствии антиротационных элементов и соединяющих винтов на имплантах Bicon? Уверен, по этому поводу тоже есть какое-то научное исследование и, скорее всего, оно тоже утверждает, что «усё нормуль», но, опять же, Архимед…. физика…. простая механика… Извините, но как-то это не укладывается у меня в голове.

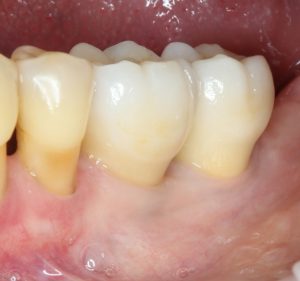
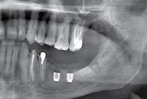
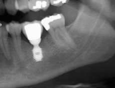
Но это еще не самое веселое. Допустим, мы решили проблему соединения «имплант-абатмент», у нас нет проблем с люфтами, а сам имплантат настолько хорошо интегрировался, что способен любую нагрузку в любом направлении. Возникает другая проблема — размер супраструктуры и соответствие ее нормальной биологической длине коронки зуба:

На фотографии выше, коронки опираются на обычные импланты, но даже в этом случае увеличение высоты супраструктуры усложняет гигиену и требует более пристального дальнейшего наблюдения. С ультракороткими имплантами, если честно, всё еще хуже.

Как будет выглядеть такая конструкция? Какой длины будут коронки? Возможно, на эстетику даже можно забить, ведь для некоторых людей красота зубов в боковом сегменте челюсти за пределами эстетически значимой зоны не так важна, но… как быть с уходом за протетической конструкцией и ежедневной гигиеной? Ведь, чем больше по размеру протез, тем сложнее за ним ухаживать. Тем больше мест, где может остаться зубной налет, а это, как вы понимаете, может привести к очень неприятным последствиям — периимплантиту, что для ультракоротких имплантов очень критично. А застревание пищи между протезом и десной? Можно ли назвать это «повышением качества жизни пациента»? Вряд ли.

В общем, уважаемые друзья, с точки зрения хорошего ортопеда, ультракороткие импланты — та еще задница. Да, для имплантолога работы меньше, поставить их очень просто, но вот когда доходит дело до протезирования, начинаются пляски с бубнами. А я. опять же, напомню, что мы должны выбирать такой план имплантологического лечения, чтобы максимально облегчить работу врачу-ортопеду. Чтобы он каждый раз, после приёма очередного пациента, делал так:

Вот почему, дорогие друзья, я рассматривал, рассматриваю и буду рассматривать ультракороткие имплантаты, исключительно как компромиссное решение. Их использование — это, безусловно, план B или даже план C, но никак не основной и главный план имплантологического лечения. Ну и, говоря о компромиссе, мы должны понимать, что это всегда чревато какими-то минусами, которые, возможно, на первый взгляд не слишком заметны. Причём, это знаю не только я. Это знает всё мировое имплантологическое сообщество, это известно и компаниям-производителям — именно поэтому ультракороткие импланты занимают ту нишу, которую занимают, и не получают, к счастью, широкого распространения.

Заключение

Вот, друзья, такое неоднозначное мнение у меня получилось. Разумеется, сейчас в комментарии набегут Д`Артаньяны с криками «вокруг все педерасты», со шпагой наперевес защищать полюбившиеся импланты. Пожалуйста, я буду только рад, если вы подробно представите и обоснуете свою позицию. Известная истина — на каждого эксперта найдется эксперт с противоположным мнением (А. Кларк).

Однако, я должен еще раз подчеркнуть — я не против ультракоротких имплантов, не считаю, что они какие-то плохие, и недостойны называться имплантами. Но, как и в случае с базальной имплантацией, я склонен полагать, что они имеют весьма ограниченные показания к использованию, и ставить их всем подряд, без учета ряда факторов (в первую очередь, протетики и качества жизни пациентов) — не хорошо и не правильно. Тем более, нельзя впаривать эти импланты, пугая пациента «страшной остеопластикой» или «ужасным синуслифтингом«. Другое дело, что в практике случаются ситуации, когда по каким-то причинам мы просто НЕ МОЖЕМ провести наращивание костной ткани, и вот в таких случаях ультракороткие импланты — самое отличное решение.

Кстати, о том, у кого длиннее, о подборе имплантов по размерам мы поговорим, когда будем обсуждать очередные «Рекомендации по установке». Добавьте в избранное и не переключайтесь!)

Спасибо, что дочитали до конца.

С уважением, Станислав Васильев.

Комментарии

Добавить комментарий