По сути, все существующие виды мошенничества основываются на двух вещах: т. н. «жажде халявы» и безграмотности. Для начала, мошенники предлагают человеку какую-то выгоду или обещают прибыль в +100500 процентов. Причем ему и только ему, избранному. В силу отсутствия знаний (или опыта) этот избранный человек не способен проанализировать ситуацию и задуматься, а почему, собственно, только ему? И, если получить +100500 процентов прибыли так просто, почему никто этим не занимается? Почему, если столько сайтов, предлагающих заработок в тыщу долларов в день всего лишь за то, что ты на них заходишь, люди до сих пор едут на заводы, фабрики и офисы, проводят там большую часть дня, стараясь заработать побольше денег? Они дураки? Безграмотный человек, не способный мыслить критически, на самом деле так думает. И, в итоге, сам оказывается в дураках. Без денег и с испорченным здоровьем.
Друзья, это последняя серьезная запись в этом году. И я хотел бы посвятить ее базальной имплантации (или бикортикальной, как ее еще называют).
Нередко я получаю письма такого содержания:

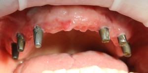
и, периодически, мне приходится видеть пациентов с базальными имплантами:
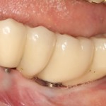
Как правило, вся работа с этими имплантами сводится к их удалению:

Затем — восстановление утраченных объемов костной ткани и нормальная, винтовая имплантация.
И в таких случаях очень сложно воздержаться от критики и обливания дерьмом всех тех, кто к этой теме причастен.
Тем не менее, я постараюсь быть максимально объективным и попробую разобраться, так ли хороша базальная имплантация, как о ней пишут в рекламе? Применима ли она в современной стоматологии? И, если и применима, то когда?
Почему это вдруг актуально?
Существует ряд причин, из-за которых базальная имплантация не уходит в прошлое, как, например, телефоны с дисковым номеронабирателем или трамваи на конной тяге.
Причина #1.
После удаления зубов в челюстных костях происходит ряд серьезных физиологических и патоанатомических изменений, приводящих к их атрофии, т. е. уменьшению геометрических размеров альвеолярного гребня. Атрофию усиливают воспалительные процессы, травматичное удаление зубов или, к примеру, длительное механическое воздействие (ношение съемных протезов). Иногда объем костной ткани оказывается утрачен настолько, что возникает вопрос: «А импланты сюда вообще можно поставить?«, не говоря уже о правильном положении и подборе импланта по размеру.
В боковом участке верхнечелюстной кости можно даже не говорить об атрофии, ведь большую часть ее объема занимает воздушная гайморова пазуха, иногда подходящая очень близко к альвеолярному гребню. В 2012-2013 годах я проводит исследования и выяснил, что из-за анатомических особенностей расположения гайморовой пазухи, почти 92% пациентов требуется операция синуслифтинга для установки имплантов. Повторюсь, размер верхнечелюстной (гайморовой) пазухи — это не степень атрофии, а индивидуальная особенность каждого человека, как, например, размер ноги или цвет глаз. Подробнее об имплантации на верхней челюсти можно почитать здесь>>.
В таких ситуациях имплантация сопряжена с дополнительными вмешательствами, такими как синуслифтинг или остеопластика. И 99,9% умных докторов так и поступают:
— если нет возможности установить имплантат нужного размера в нужное положение, сначала создают эту самую возможность.
поскольку объем тканей, окружающих имплантат (кость и слизистая оболочка) не менее важны для получения эстетического, функционального и долговечного результата, чем сам имплант и ортопедическая конструкция. Это постоянно подтверждается мировым имплантологическим опытом и собственными наблюдениями умных докторов.
Разумеется, проведение остеопластики или синуслифтинга сопряжено как с определенными рисками, так и с некоторыми финансовыми затратами. Не все пациенты понимают, насколько важны адекватные объемы десны вокруг импланта, почему нужно правильно подобрать имплантат по размеру, и на что влияет его правильное положение в челюстной кости. Следовательно, оказываются не готовы ни к рискам, ни к дополнительным финансовым затратам. Тем более, если кто-то предлагает более «простой» и «менее рисковый» вариант имплантации с таким же результатом. Но будет ли результат имплантации, при которой выдержаны общепринятые стандарты и правила, таким же, как при использовании базальных имплантов? Конечно же, нет. Но доктора, которые всем и всегда предлагают эту самую базальную имплантацию, об этом деликатно молчат.
Причина #2.
Большинство людей думает, что дентальный имплант подобен шурупу, вкрученному в дерево. То есть, удерживается в челюстной кости за счет силы трения.
Но это не так. Все современные импланты удерживаются в костной ткани посредством т. н. «остеоинтеграции». Если говорить простым языком, то они, буквально, прирастают к окружающей кости, поэтому способны выдерживать значительную жевательную нагрузку.
По своей природе, остеоинтеграция достигается путем деления клеток костной ткани, другими словами, является частным случаем регенерации. И для того, чтобы регенерация костной ткани была возможна, необходимо обеспечить определенные условия, в частности, неподвижность регенерируемого участка. Именно для этого при лечении переломов костей травматологи накладывают гипс, а пионеры — иммобилизирующую повязку.
Широко рекламируемая и обсуждаемая немедленная имплантация и немедленная нагрузка (т. е., удаление зуба, установка импланта и протезирование за один прием) имеют ряд существенных ограничений и возможны далеко не во всех клинических ситуациях. Установкой коронки на неинтегрированный винтовой имплантат мы значительно повышаем риски неудачи, поэтому всегда должны быть готовы к т. н. «откату назад», то есть, к снятию коронки с импланта и замене ее другой протетической конструкцией. Большинство умных докторов это знают, поэтому относятся к данной методике с предельной осторожностью и вниманием, пытаясь максимально снизить риски возникновения проблем.
Я уже не говорю о том, что реализация немедленной нагрузки практически нереальна в боковом (наиболее нагружаемом) отделе зубного ряда, в условиях дефицита костной ткани и т. д., поскольку любое физическое воздействие на область операции может нарушить регенеративные процессы и привести к отторжению имплантов.
Вопреки этому, казалось бы, здравому смыслу, одним из достоинств базальной имплантации нередко называется возможность «быстрого протезирования». То есть, установка протезов чуть ли не в один день с установкой имплантов. Если учесть, что при соблюдении общепринятой схемы протезирования на имплантах мы вынуждены соблюдать сроки интеграции импланта (минимум, 3 месяца), а с остеопластикой имплантологическое лечение может растянуться на полгода и больше, становится понятно, почему базальная имплантация выглядит довольно привлекательной для большинства пациентов, которые не совсем понимают, как импланты работают и за счет чего они удерживаются в челюстной кости. Доктора, которые вовсю пропагандируют базальную имплантацию, делают особый акцент на коротких сроках лечения, но, опять же, деликатно умалчивают о том, каким будет его результат и какие риски с ней сопряжены.
Причина #3.
Имплантация, с технологической точки зрения — сложный и длительный процесс. Сам имплантат — это не просто «болт», который вкручивается в челюсть, а конструктивно сложное изделие, изготавливаемое с высокой степенью точности. Погрешности и неточности в изготовлении всегда отражаются на результате лечения. Конечно, не всегда сразу после имплантации, но через какое-то время — обязательно.
Для протезирования на современном винтовом импланте требуются кое-какие «запчасти»: формирователь десны, трансфер (чтобы перенести положение импланта в гипсовую модель), аналог (он фиксируется в гипсовой модели, на нем создается коронка) и, наконец, абатмент, который посредством винта фиксируется к импланту и служит непосредственной опорой коронки. Разумеется, все эти компоненты стоят каких-то денег, что не может не отражаться на конечной цене лечения.
При этом, использование разных типов формирователей десны и абатментов позволяет достичь высокого качества лечения в любой, абсолютно любой клинической ситуации. Именно количеством супраструктур и типом их фиксации достигается важнейшее свойство любой системы винтовых имплантов — универсальность. Вплоть до того, что, варьируя разные типы имплантов и абатментов в рамках одной имплантационной системы можно получить совершенно разный результат лечения. Умные доктора об этом знают, поэтому нередко обходятся одной имплантационной системой для решения самого широкого спектра клинических задач.
При базальной имплантации в этом нет необходимости. Имплантат уже соединен с абатментом на гибкой ножке, форма которого меняется за счет обычной обточки и изгибания его в нужную сторону. С одной стороны, это сильно упрощает работу доктора, существенно снижает себестоимость лечения. С другой стороны, внутриротовую обточку абатмента вряд ли можно назвать прецизионной и точной, а все, что хорошо гнется — также хорошо разгибается, не говоря уже о напряжениях, возникающих в металле при изгибе, что снижает его прочность в этом месте. За подробностями — на кафедру прикладной механики, слушать лекции по сопромату. Доктора, которые активно пропагандируют базальную имплантацию, очень часто называют ее низкую стоимость существенным преимуществом, особенно в случаях, когда отпадает необходимость в остеопластике и синуслифтинге. Но, почему-то молчат о том, как ортопедическая конструкция на этих имплантах будет выглядеть, и том, каким образом будет перераспределяться жевательная нагрузка на импланты. Особенно, если мы говорим о «зубах за один день», то есть протезировании на только что установленных базальных имплантах.
Другими словами, друзья, базальные имплантологи просто эксплуатируют страхи («остеопластика — это страшно!»), безграмотность («мы сделаем все быстрее, сроки регенерации пусть соблюдают дураки») и жажду халявы («это стоит в три раза дешевле, чем обычная имплантация!»). Налицо — все признаки мошенничества, о которых я писал выше. О том, что вся базальная имплантация — это мошенничество, можно почитать интернете, на эту тему уже высказались большинство моих коллег.
Более того, есть еще один признак того, что здесь явно не все чисто. Вне сайтов клиник, промышляющих базальной имплантацией, дистрибьюторов и откровенно рекламных отзывов, типа, «пациентов», вы вряд ли найдете о базальной имплантации что-то хорошее. Особенно, если изучить интернет за пределами России и СНГ.
Но можно ли назвать базальную имплантацию мошенничеством, а базальные импланты — абсолютным имплантологическим злом?
Нет. Я думаю, что нет. И ниже я попытаюсь пояснить, почему.
Из истории вопроса.
Дентальная имплантация не всегда была такой, какой мы ее знаем сейчас. Еще 20-30 лет назад не существовало более-менее внятных методик восстановления утраченных из-за атрофии объемов костной ткани, остеопластика, мукопластика и синуслифтинг были, если не на грани фантастики, то где-то недалеко от нее. Единственно возможным путем стабилизации имплантов в условиях дефицита костной ткани считались разработка и установка имплантов весьма вариабельной, иногда очень причудливой формы. И, поскольку тело челюсти, в отличие от альвеолярного гребня, менее подвержено атрофии, возникла идея фиксировать импланты именно в нем. Так появилась базальная имплантация («базальная» от слова «базис», тело челюсти).
Другими словами, фактически, у нас есть два варианта имплантации в атрофированной челюсти: либо подогнать челюстную кость под имплантат (что сейчас все делают методами остеопластики и синуслифтинга), либо подогнать имплант под атрофированную челюсть. Последний вариант — это и есть базальная имплантация.
И появилась она задолго до того, как П.-И. Браннемарк открыл явление остеоинтеграции и заложил основу всей современной дентальной имплантологии.
Посмотрите на фотографию:

Это импланты Ventplant, разработаные доктором Linkow в тридцатых годах прошлого века. Они Вам ничего не напоминают? Например:

А это «современные» импланты, которые активно предлагает одна московская клиника как «суперсовременные, для которых не нужны ни остеопластика, ни синуслифтинг». Как говорится, найди десять существенных отличий….
Иначе говоря, уважаемые друзья, базальная имплантация — это наиболее ранний этап развития дентальной имплантологии вообще. Они были актуальны, когда не было достаточно надежных способов восстановления атрофированной костной ткани, не было биоматериалов и методик направленной регенерации, да и вообще, у докторов первой половины двадцатого века было мало опыта в дентальной имплантологии и протезировании, а долгосрочные результаты (в том смысле, какие у нас есть сейчас) отсутствовали вообще. Более того, подобные импланты для многих пациентов были единственным шансом отказаться от неудобных съемных протезов.
Таким образом, в контексте развития дентальной имплантологии, базальная (или бикортикальная) имплантация сыграла важную роль, является ее историческим эволюционным этапом. Поэтому не стоит ее недооценивать.
У вас не возникает никаких вопросов по этому поводу? Если нет, то они есть у меня:
— если это настолько волшебная технология, то почему она почти полностью исчезла с появлением винтовых интегрируемых имплантов? И почему вообще возникла необходимость в остеопластике и синуслифтинге, если существовали импланты, при установке которых можно обходиться без восстановления объемов альвеолярного гребня?
Попробуйте задать его доктору, который настойчиво предлагает вам базальную имплантацию. Его ответ наверняка вас удивит. А умных докторов он еще и рассмешит.
Постепенное накопление имплантологического опыта и знаний, появление долгосрочных (больше 10-15 лет) результатов имплантологического лечения, развитие стоматологической науки и биофизики, заставили стоматологов всего мира пересмотреть роль окружающих имплантат тканей, а именно — кости и слизистой оболочки (десны). Уже давно доказано, и мы это прекрасно понимаем, что на срок службы, функциональность и эстетику имплантологической конструкции влияют даже размер импланта и его положение в челюстной кости, а это условие может быть выполнено только при наличии достаточного объема тканей вокруг искусственного зуба. В первой половине двадцатого века (золотое время базальной имплантации) стоматологи всерьез рассуждали об успехе имплантации как о выигрыше в лотерею (примерно, с половинными шансами), сейчас же мы уверенно говорим о выживаемости 97% имплантов в десятилетнем периоде. Это, кстати, сильно лучше, чем выживаемость эндодонтически леченых зубов (так сказал американский профессор В. Морган).
По сути, это основная причина, из-за которой все стали постепенно отказываться от базальной имплантации. Плюс, невозможность удовлетворить все возрастающие требования большинства пациентов, а именно: надежность, срок службы, эстетика, функциональность, качество жизни.
Так, базальную имплантацию со временем заменили винтовые остеоинтегрируемые импланты, более надежные, удобные и универсальные, пусть более трудоемкие и дорогие в работе.
Что сейчас?
Сейчас базальная имплантация активно предлагается людям, которые хотят решить свои зубные проблемы «быстро, качественно и недорого». Любому человеку, имеющему хотя бы среднее образование и какой-то жизненный опыт, совершенно ясно, что такое бывает только в рекламе, да и то, не всегда. Не бывает простых решений сложных и запущенных проблем, как невозможно произвести капитальный ремонт двигателя, просто залив в него какую-то присадку к маслу, или сделать капитальный ремонт здания, просто покрасив его снаружи.
Хорошо, если человек понимает, что ему не хватает знаний, чтобы разобраться в этом вопросе, и он начинает искать, читать, изучать. Чаще же, безграмотные люди совершенно не признают своей безграмотности, и, более того, через ее призму думают, что они умнее всех, видят и знают больше, чем даже компетентные и авторитетные специалисты. А еще и подозревают этих специалистов, что те хотят на них нажиться. И, увы, именно такие люди чаще всего становятся жертвами мошенников, которые прекрасно знают, как использовать тот факт, что человек думает, что он самый умный на свете.
Насколько правдива реклама и отзывы о базальной имплантации? Можно ли им верить? Вот картинки с сайта клиники, которая активно занимается базальной имплантации, я взял одну из их работ. Кому интересно, можно погуглить. Там их очень много, с описанием.

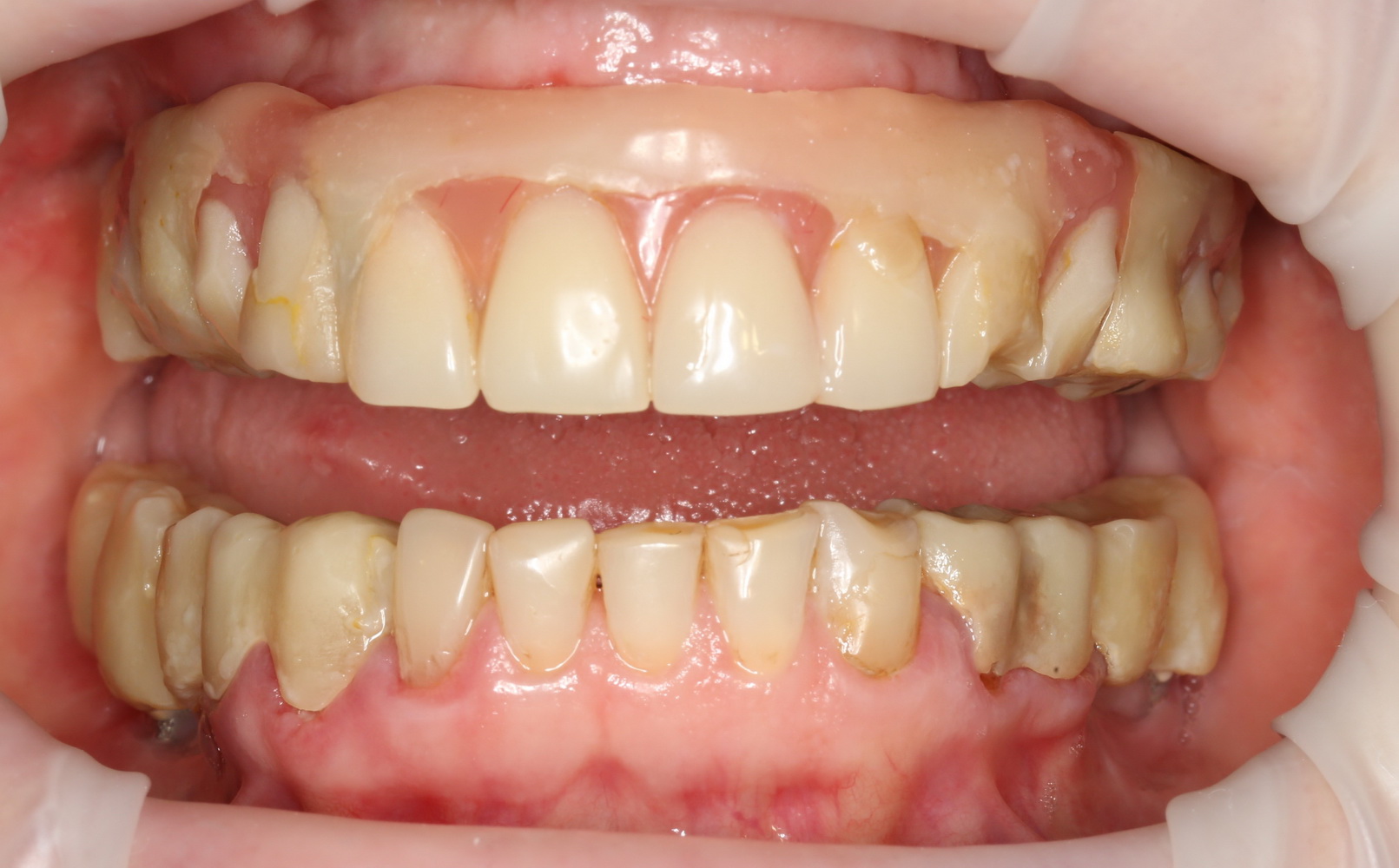
Что отличает все эти демонстрации от того, что мы видим у умных докторов? Ни один из снимков не показывает состояние десны вокруг имплантов (а это, между прочим, является важным критерием качества лечения), все розовое, что вы видите на снимке — это искусственная керамическая или пластмассовая десна. С таким же успехом можно просто удалить пациенту все зубы, поставить съемный протез и сделать фотку. И будет все отлично смотреться. Вот, к примеру, мой пациент, который носит временный съемный протез и готовится к нормальной имплантации:

такой же результат, что и на фотках выше, но без имплантов.
Чрезмерный объем искусственной десны создает серьезные сложности для гигиены и ухода за имплантами, не говоря уже о качестве жизни. Как следствие, возникает перманентное воспаление, которое существенно уменьшает срок службы имплантов.
Ну и, сама концепция протезирования на неинтегрированных имплантах весьма и весьма противоречива. Почему?
Хотите посмотреть, как на самом деле выглядит протез, изготовленный за 3 дня, и установленный на базальные импланты? Смотрите:

На протезе вы видите следы многочисленных коррекций и ремонтов. Зубы на нижнем и верхнем протезе в боковых участках из-за постоянных подточек, практически потеряли форму, не функциональны. И я объясню вам, почему такое происходит.
Дело в том, что со временем, по мере утраты зубов, у пациента перестраивается весь жевательный аппарат: изменения происходят в челюстных суставах, жевательных мышцах, челюстных костях и т. д. Тотальное протезирование на имплантах — весьма сложная штука, ведь врачу-ортопеду и зубного технику требуется определить такое соотношение челюстей, какое было тогда, когда у пациента еще были все зубы на месте. Это очень сложный, деликатный и важный этап диагностики. Умные доктора это знают, именно поэтому даже при небольшом протезировании используют различные виды функциональной диагностики. Здесь же ничего подобного не было. Работу максимально упростили — ну да, завышают протезы? Подточим! Не смыкаются? Наплавим! А то, что при этом чувствует пациент, что у него происходит с челюстными суставами и жевательными мышцами, как мне кажется, никто не задумывается.
А теперь посмотрите снимок этого пациента:
Как вы считаете, что будет травматичнее и опаснее: установка шести имплантов такой формы или два простых синуслифтинга и шесть обычных имплантов?
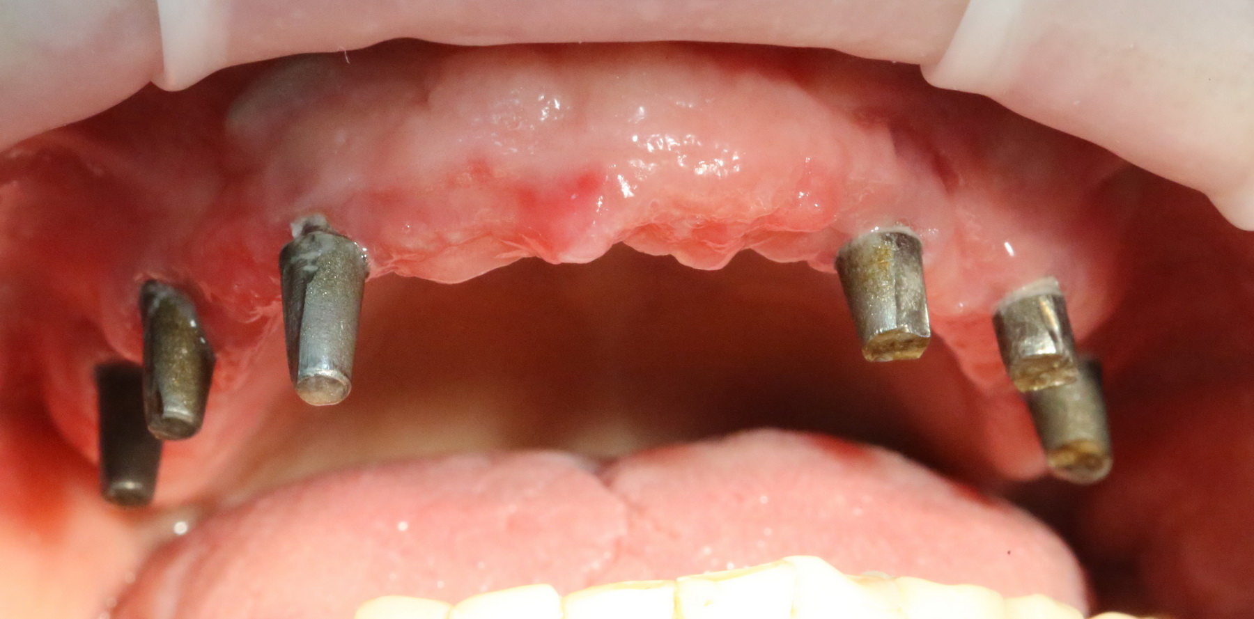
К слову сказать, базальные импланты не интегрируются, а удерживаются, исключительно, за счет своей формы:
А это значит, что длительная функциональная нагрузка в таком объеме просто будет их медленно расшатывать. Особенно, если учесть, что их нагружают почти сразу после установки. И весьма большой протетической конструкцией.
И вот, у этой пациентки все импланты, а их, ни много, ни мало, восемь штук, подвижны:
Мы вынуждены их удалить. И теперь представьте, как будет проходить такое удаление и с каким дефицитом костной ткани мы, в итоге столкнемся. Что вообще делать дальше? Девушка плачет.
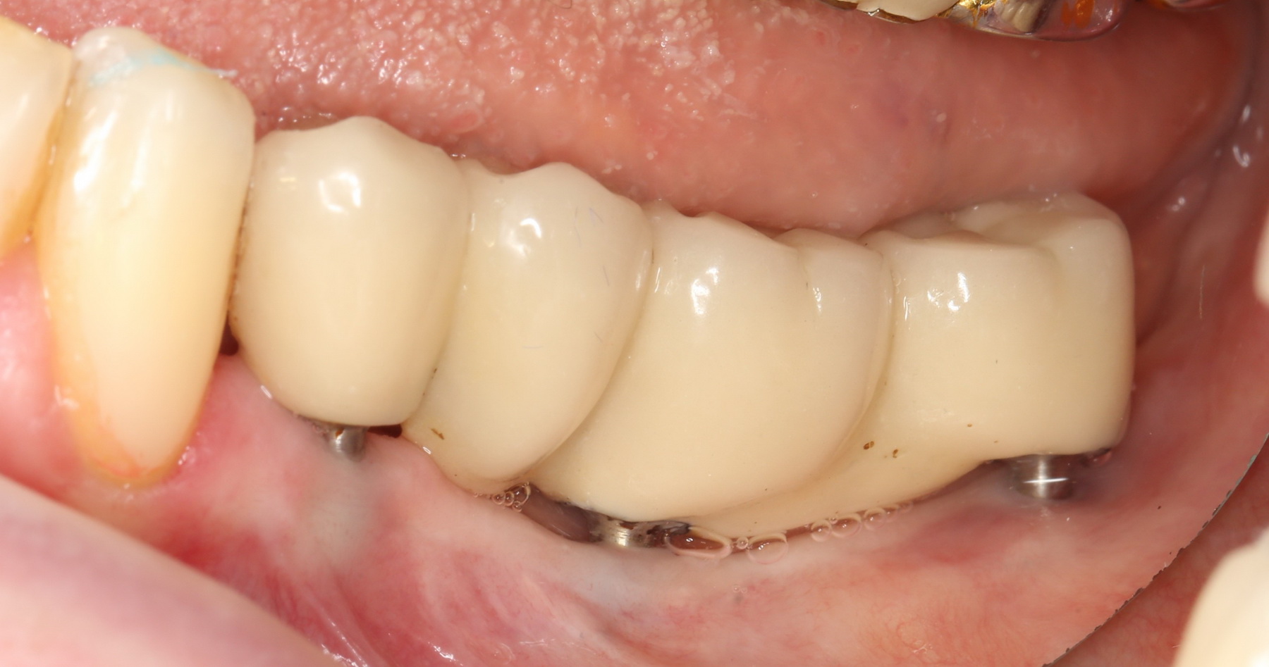
Вот пациент, молодой парень, которому также успели удалить все зубы и наставить базальных имплантов:
из восьми верхних имплантов осталось четыре, мы их пока используем для стабилизации временного съемного протеза. На то время, пока проводим остеопластику и имплантацию в боковых участках.
Нижние, вроде как, вполне держатся, на них стоят постоянные металлокерамические коронки. Помните, что я говорил про один из главных критериев качественной имплантологической работы? Состояние десны вокруг имплантов!
Хотите на это посмотреть? Этого не покажут, рекламируя базальную имплантацию:
То есть, друзья, десны нет. За подобную работу в наших клиниках рвут диплом в клочья и выгоняют нафиг. Для базальной имплантации, такая ситуация — норма:
И теперь представьте, как за всем этим ухаживать? Как этим жевать, если учесть тот факт, что ножка импланта, торчащая из десны, легко гнется? И сколько такие импланты вообще прослужат, если учесть сложную гигиену и неудобную форму протеза в этом участке?
Жаль, но мы вынуждены эти базальные импланты удалить, проводить остеопластику и ставить другие, обычные винтовые импланты. И, к счастью, уже закончили эту работу, как нибудь расскажу вам о ней.
Неужели все совсем печально, спросите вы? Вроде как, я обещал быть объективным, а тут, в статье, сплошной негатив!
Нет, друзья, не все так плохо. Честно. Я, конечно, не являюсь поклонником базальной имплантации, но и противником меня назвать сложно.
Потому, что считаю, что проблемы, связанные с базальными имплантами, возникают не из-за их качества или каких-то особенностей, а, почти исключительно, из-за того,
как и в каких клинических случаях их используют.
Действительно, в нашей практике бывают ситуации, когда мы вынуждены идти на серьезные компромиссы с целью снижения сроков и травматичности имплантологического лечения.
Например, пришел к нам в клинику 90-летний пациент, который из-за атрофии альвеолярного гребня не может пользоваться даже съемным протезом. Делать такому пожилому человеку остеопластику и имплантацию по общепринятой схеме, конечно же, возможно, но зачем усложнять и рисковать? Ведь, даже не учитывая возможные проблемы с регенерацией, любая операция для него — довольно существенная нагрузка на организм. Было бы проще добиться поставленной задачи, без глобальной остеопластики и использовав базальные импланты. В таких случаях, это будет лучшее их применение.
То же самое касается пациентов, которым по каким-то причинам нельзя или нежелательно проводить сложные остеопластические процедуры: онкологические заболевания челюстно-лицевой области, контузия, последствия травм, запущенная общесоматическая патология, проблемы со свертываемостью крови и т. д. В тех случаях, когда риск осложнений перевешивает ожидаемый результат лечения — вот тогда нам нужны базальные импланты.
Понятное дело, что таких пациентов очень немного. Но это не значит, что нужно тыкать базальные импланты всем и везде, не обращая внимание ни на возраст, ни на состояние зубочелюстной системы, ни на пожелания пациентов. По простой аналогии:
нож может быть как орудием труда, так и орудием убийства. Все зависит от того, в чьей руке он находится
Так и с базальной имплантацией, уважаемые друзья. Метод неплох. Он имеет свой диапазон применения, правда, весьма ограниченный, но иногда является единственным для пациента шансом вернуть себе зубы.
Проблема в том, что используются базальные импланты, в основном, не по показаниям. Отсюда, столько критики в их адрес. И такое количество осложнений.
Заключение
Завершая эту статью, за которую меня, как мне кажется, однозначно закажут, клинику взорвут, а машину сожгут, я хотел бы вот что сказать.
Друзья, единственный способ вас надурить, с базальной имплантацией или чем-то еще — это пользоваться тем, что вы мало знаете. Поэтому всегда стремитесь узнать больше. Особенно о том, что касается вашего здоровья.
В медицине уже давно нет никаких прорывов, прошло время революций и кардинальный перемен. Наука развивается медленно и равномерно, все новое отлично гармонирует со старым и прекрасно вписываются в давно выстроенную систему. Как, впрочем, и все остальное: чтобы появился ваш iPhone 6, сначала должны были появиться транзисторы и интегральные микросхемы.
В медицине нет ничего сокровенного или тайного, любой процесс можно легко разобрать и объяснить на основе простых школьных знаний. И первый признак того, что вас не обманывают — вся информация, выдаваемая врачом, прекрасно вписывается в вашу систему знаний. Если вам что-то непонятно — это, скорее всего, обман. Уходите.
В медицине не существует никаких заговоров или картельных сговоров. Это жесткая конкурентная среда, особенно в стоматологии. Если десять докторов вам сказали «Нет», и лишь один доктор сказал «Да» — скорее всего, ошибается именно он, а не остальные десять.
Ну и, напоследок.
Не существует «официальной» и «неофициальной» медицины. Есть просто медицина, а есть лжемедицина. Да, не все, к сожалению, мы можем объяснить с позиции доказательной медицины, не для всех болезней есть объяснение и эффективное лечение, но это — лишь вопрос времени. Мы растем, развиваемся, умнеем. Та же стоматология стала сильно круче, чем была всего 5 лет назад. Ничто не стоит на месте.
И я желаю вам, уважаемые друзья, не останавливаться в следующем году. Расти. Развиваться. Совершенствоваться. Открывать новое.
А я, как и прежде, буду пытаться решить ваши зубные проблемы.
С Наступающим Новым Годом!
С уважением, Ваш доктор, Станислав Васильев.







Добавить комментарий
Для отправки комментария вам необходимо авторизоваться.