Продолжаем разговор об остеопластических операциях. Точнее, о факторах, которые влияют на их результат. В предыдущих частях мы рассмотрели два самых важных:
кому это интересно — можно почитать в соответствующих статьях на моем сайте, тут и тут.
Безусловно, жизнеспособность трансплантата, которым мы восполняем утраченные объемы альвеолярного гребня важны. Не менее важным является отсутствие инфекции, ибо она способна превращать жизнеспособный графт в мертвую фигню нежизнеспособный. Отчасти, чистота области операции после хирургического вмешательства определяется тем, как проведен разрез (площадь операционной раны) и тем, как наложены швы. И сегодня мы с вами об этом поговорим.
Итак,
Фактор #3. Герметичность послеоперационной раны.
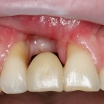
Забыв о нем, мы можем испортить любую, даже мастерски проведенную остеопластику:
Не моя работа (мне пришлось переделывать), но причины неудачи на фото выше вполне очевидны. Недостаточное внимание к слизистой оболочке и наложению швов привело к тому, что аутокостный фрагмент инфицировался и лишился способности к интеграции. И в таких случаях бесполезно пытаться сохранить импланты (доктор уже удалил их) и сам графт — только удаление и последующая переделка остеопластики, плюс повтор имплантации. Неприятно.
Вообще, любое расхождение швов после остеопластических операций чревато последствиями. Если аутокостные фрагменты (блоки) еще как-то способны сопротивляться инфекции, их можно сохранить, потеряв часть объема (в среднем, около 25-30%), то графты на основе аутокостной стружки и, тем более, биоматериалов инфицируются мгновенно, становясь отличным субстратом для размножения бактерий. Поэтому расхождение швов над трансплантатом из биоматериала, даже если он закрыт пятью слоями барьерной мембраны — это почти 99% потеря результата. Вне зависимости от марки ксенографта и мембраны:
Да, с этой точки зрения аутокостные фрагменты, безусловно, надежнее. И это должно влиять на выбор метода остеопластики в каждом конкретном клиническом случае.
С чего начинается забота о герметичности раны после хирургического вмешательства?
Разрез
Да, не ослышались. Все начинается с разреза. Нередко его переносят на подвижную слизистую оболочку — чтобы проще было подтянуть и зашить. По факту, такое планирование доступа будет не совсем верным: подвижная слизистая оболочка легко растягивается и «пропускает» даже между часто наложенных лигатур, не обеспечивая нормальной герметичности. К тому же, она, как правило, имеет небольшую толщину, а это значит, что барьер между графтом и внешней средой получается очень непрочным и тонким. Другими словами, делая разрез по подвижной слизистой, мы не только не облегчаем себе работу по ушиванию раны, но и существенно увеличиваем риски расхождения швов и последующего инфицирования графта.
Все это относится и к так называемым «тоннельным методикам», которые, вроде как, предназначены для предупреждения расхождения швов и инфицирования послеоперационной раны. На самом деле, они не дают никакого выигрыша в профилактике осложнений, но зато существенно уменьшают как обзор, так и наши возможности во время операции. То есть, увеличивают риски. А они нам не нужны.
Итак, каким образом планировать разрез при остеопластической операции? В прошлый раз мы с вами говорили о компромиссе между размером и обзором, сегодня раскрою еще несколько секретов:
1. Разрез — всегда в пределах прикрепленной десны:
Даже если этой десны очень-очень мало:
На верхней челюсти даже полное отсутствие кератинизированной десны можно компенсировать, сместив разрез как можно более небно:
Как видите, при дальнейшем ушивании такой разрез не будет расползаться, и лигатуры — прорезываться.
2. Угол разреза — таким образом, чтобы создать наибольшую его глубину. Разрез по кратчайшему пути, с одной стороны, облегчает доступ, не увеличивая площади операционной раны. С другой стороны, увеличение расстояния между точками А и В (на фото) позволяет добиться герметичности швов и избежать их расхождения даже при относительно тонкой слизистой оболочке. Образующаяся при этом «буферная зона» не даст инфекции проникнуть в рану даже в случае частичного расхождения ее краев.
3. Планируйте разрез таким образом, чтобы потом как можно меньше перемещать края раны относительно друг друга. То есть, все геометрические точки разреза должны после его ушивания остаться на прежних местах.
4. Не рекомендуется использовать для проведения разрезов радиоскальпель, лазер и прочие понты. Как показывает практика, это существенно ухудшает последующее заживление операционной раны. Поинтересоваться об этом можно у камбустиологов, травматологов и пластических хирургов. Это как раз те специалисты, которые знают о заживлении ран больше, чем любые другие доктора.
Мобилизация краев раны
Как я уже написал выше, дефицит костной ткани почти всегда сопровождается дефицитом слизистой оболочки, который, после увеличения объема и изменения конфигурации альвеолярного гребня, мы должны компенсировать. Обычно для этого рассекают надкостницу, мобилизуя края раны за счет подвижной слизистой оболочки. При этом нужно помнить, что разрез периоста должен находиться как можно дальше от графта. Если же над зафиксированным трансплантатом надкостница будет отсутствовать, это, с высокой степенью вероятности, приведет к его резорбции. А это уже не очень хорошо.
Рассечение надкостницы проводится под подвижной слизистой оболочкой. Это позволяет растянуть ее, увеличив размер лоскута примерно, на 50-70%. В идеале, после проведения этого этапа, рана должна легко закрыться сама, без швов и какого-либо натяжения:
и вот тут главное — не переусердствовать.
Бывают ситуации, когда ушивание раны без натяжения просто невозможно, несмотря на значительную мобилизацию ее краев. Нередко это происходит после неудачных операций, требующих переделки. Послеоперационные рубцы не только изменяют кровоснабжение слизистой оболочки, осложняя ее регенерацию, но и приводят к деформациям, иногда значительным. Как в ситуации на картинке ниже — у пациентки уже было семь (!) операций на этой области. И все — неудачные.
Что делать в таких случаях?
Самое главное — не торопиться. Если вы проведете остеопластику и не сможете качественно и герметично зашить операционную рану — это будет провал. Видимо, как раз этот момент не учитывался при проведении повторных операций у пациентки выше. И с каждой следующей неудачной остеопластикой становилось все хуже и хуже… но не стоит переживать, ибо ситуация поправима!
Существуют два варианта решения данной проблемы.
Вариант #1. Сначала пластика слизистой оболочки, затем — остеопластика.
Приведу пример. После вертикальной остеопластики из-за дефицита слизистой оболочки над областью операции, у пациента открылась часть костного блока:
Попытки «утопить» его под слизистую оболочку успеха не имели, мы вынуждены убрать блок полностью. В итоге, мы не достигли нужного результата операции, ее придется повторить. И повторять ее в условиях существующего дефицита слизистой оболочки — это как дважды наступить на одни и те же грабли: вероятнее всего, мы опять пролетим. Поэтому новый этап лечения (точнее, перелечивания) мы начнем с пластики слизистой оболочки. Делается это очень просто — пересадкой кератинизированной десны с нёба:
Фактически, пересаженный слизистотканный лоскут представляет собой заплатку, которой восстанавливается необходимый объем прикрепленной слизистой оболочки. Он просто пришивается там, где десны не хватает:
картинка через день:
и через месяц:
Вот теперь дефицит десны устранен, мы можем приступать к остеопластике. Причем, делаем это несколько иным, нежели изначально планировалось, методом, одновременно с установкой имплантов:
На этот раз рана ушивается вообще без каких-либо проблем. И мы получаем ожидаемый результат имплантологического лечения:
Другими словами, друзья, еще до старта стоит подумать о финише. И, неплохо бы создать нормальные условия для этого самого финиша.
Вариант #2. Герметизация раны пересадкой соединительнотканного лоскута сразу после остеопластики.
Метод хорош, к примеру, при немедленной имплантации и остеопластике. Однако, требования к клинической ситуации в данном случае выше, нежели в варианте #1.
Вообще, возьмите за правило: делите большие и сложные операции на много мелких. Потому как риск неудачи в этом случае сильно меньше, хотя лечение получается более долгим, и не всем пациентам это нравится. То есть, не злоупотребляйте и не пытайтесь затолкать всё лечение в одну операцию. Поверьте, круто это выглядит только на фейсбуке. А в жизни все гораздо прозаичнее.
Итак, рассмотрим ситуацию. Мы удалили четыре зуба, установили два импланта, сделали остеопластику. Дефицит слизистой оболочки из-за наличия лунок удаленных зубов, усугубился после изменения объема альвеолярного гребня. Герметично зашить такую рану будет сложно, а риски расхождения швов высоки. Думаю, не стоит объяснять, чем это грозит в эстетически значимой зоне.
Что делать, если даже значительной мобилизацией краев раны не удается достичь герметичности?
На помощь приходит заплатка — соединительнотканный лоскут. Сначала он подшивается так, чтобы по максимуму перекрыть апертуру раны, где вероятнее всего расхождение швов:
Затем, края раны ушиваются поверх него. Получается, своего рода, такая же заплатка, как в варианте #1, только изнутри:
Таким образом достигается изоляция графта от внешнего воздействия, которая останется состоятельной даже при расхождении швов.
Вместо лоскутов, которые надо откуда-то получить, делать еще одну рану и т. д., можно использовать коллагеновые матрицы. В отличие от барьерных мембран, пропускающих инфекцию на раз-два, матрицы типа Мукографта предназначены, в первую очередь, для «открытого» ведения и, следовательно, могут использоваться для герметизации раны от внешней среды. Простой пример — превентивная аугментация лунок, которая, по сути, тоже является методом остеопластики:
Натолкали в лунку биоматериала, прикрыли коллагеновой матрицей:
Пришили ее к краям раны:
Подождали, примерно 4-6 недель:
и вот, готовое место для импланта:
и сам имплант:
Подробнее об аугментации лунок можно почитать здесь>>
Швы и шовный материал
Прошли времена, когда хирургам и их помощникам приходилось заготавливать конский волос, самостоятельно готовить и стерилизовать кетгут и капрон. Сегодня выпускается множество видов шовного материала, выбор поистине огромный. Из всей этой кучи проще всего обозначить то, что не рекомендуется использовать для ушивания ран после остеопластики. К этим материалам относятся:
- любые резорбируемые нитки, из-за малопредсказуемых сроков резорбции и подверженности воздействию ферментов. Про такие материалы как кетгут лучше вообще забыть.
- желательно избегать использования плетеный (полифиламентных) материалов. Из-за способности накапливать на себе микробный налет и фибрин, а это существенно ухудшает гигиену и уход за послеоперационной раной.
Идеальный вариант: монофиламентная нерезорбируемая нить размером от 4-0 до 6-0, в зависимости от биотипа слизистой, на атравматичной игле.
Идеальный шов — непрерывный:
хотя бы потому, что пациентам с ним комфортнее, за раной легче ухаживать, а сам шов легче снимать. Минус — если распускается один стежок, то распускается и весь шов. К тому же, он деформирует слизистую оболочку, и это особенно заметно на подвижной слизистой.
Поэтому в особо сложных и ответственных случаях имеет смысл либо сочетать его с наводящими швами (узловыми) в самых опасных местах, либо полностью перейти на узловые лигатуры:
Обратите внимание — все лигатуры, вколы/выколы иголки проходят в пределах кератинизированной десны. При излишнем натяжении подвижная слизистая оболочка просто рвется, а сами лигатуры прорезываются. И герметичности нашей ране это не добавляет.
Супраструктуры
При сочетании остеопластики с немедленной имплантацией лучше отказаться от каких-либо супраструктур, поскольку они нарушают герметичность раны, и по ним микрофлора полости рта может инфицировать графт. Даже если очень не хочется, но импланты при этом нужно ушивать наглухо. Да, мы теряем какой-то объем прикрепленной десны, но зато существенно снижаем риски неудачи при остеопластике. Как в следующем примере:
Мы удалили четвертый зуб, поставили имплантат в его лунку, одномоментно сделали остеопластику и синуслифтинг в области пятого и шестого зубов:
Вместе с имплантом все заполняется ксенографтом:
и закрывается мембраной:
накладываются швы, причем лунка четвертого зуба ушивается наглухо (здесь пригодилась бы методика с лоскутом или мукографтом):
Через 3 месяца:
отличный результат остеопластики:
можно ставить импланты пятого и шестого зубов:
Существует еще масса способов герметизации раны: мы использовали специальные каппы, различные пленки и даже адгезивы для ран (стащили из ожогового центра). Неважно, каким способом вы достигаете герметичности. Нужно помнить, что от качества швов и слизистой оболочки сильно зависит результат сложной и дорогостоящей операции. И, если вы это осознаете — у вас не будет проблем с остеопластикой.
Разумеется, если вы не забываете иммобилизовать графт, но об этом мы поговорим в следующий раз.
Продолжение следует.

































Добавить комментарий
Для отправки комментария вам необходимо авторизоваться.