Это — продолжение статьи о восстановлении утраченных объемов костной ткани при имплантологическом лечении. Ее начало, посвященное остеопластике методом аутотрансплантации костных фрагментов, можно почитать здесь>>.
Друзья, в прошлый раз мы говорили о «наращивании» костной ткани методом пересадки костных блоков. При всех его достоинствах, а именно — дешевизне, надежности, универсальности и предсказуемости, — у него есть ряд недостатков, главными из которых я считаю травматичность (костный блок нужно где-то взять) и сложность адаптации костных блоков к приемному ложу. Иногда приходится «подгонять» костный фрагмент настолько, что он теряет до трети в объеме. И это не есть хорошо.
Сегодня я предлагаю рассмотреть другую остеопластическую методику — восстановление объемов костной ткани с использованием аутокостной стружки, биоматериалов и барьерных мембран.
Начну с самого распространенного заблуждения.
Многие пациенты, да еще и некоторые доктора искренне верят, что нет ничего проще — взять мембрану, взять какой-нибудь биоматериал (костный порошок — sic!), «подсыпать» его в нужное место — и вуаля! Через полгода у нас там выросла нормальная костная ткань, пригодная для имплантации.
Хочется спросить: «С чего вдруг?». Луи Пастер, обозначивший один из главных принципов биологии «клетка-от-клетки», пропеллером вращается в гробу. ПОЧЕМУ биоматериал, лишенный клеток, будет регенерировать и превращаться в кость? Да, в рекламных брошюрках производителей биоматериалов нередко можно встретить: «вот насыпали, подождали, выросло!» Но это, друзья, всего лишь реклама. Чаще всего получается что-то вроде этого:
Поэтому работать с биоматериалами нужно очень осторожно, руководствуясь следующими принципами:
- не верить рекламе и заказным статьям
- использование барьерной мембраны
- обязательное добавление аутокостной стружки в биоматериал, в пропорции не менее 30/70.
Другими словами, друзья, нет никакого волшебства, не существует биоматериалов, обладающих чудесными свойствами, по мановению кюретажной ложечки превращающихся в полноценную костную ткань. Есть законы природы, которые нужно знать и умело использовать.
Исходя из вышесказанного, данная методика ВСЁ РАВНО ТРЕБУЕТ донорского участка для получения аутокостной стружки. Конечно, в гораздо меньшем объеме и с меньшей травматичностью, чем при работе с аутокостными блоками.
Пункт 1. Получение аутокостной стружки.
Существует масса способов получения оной. Самый простой и дешевый — взять тот же костный блок и перемолоть его с помощью специальной костной мельницы. Например, такой:
Есть еще с молотком в комплекте, но, во-первых, с помощью них нередко получается размозженная хрень, а во-вторых, лично я не люблю острых звуков и больших усилий. У многих докторов использование подобных инструментов сразу же отбивает всё желание заниматься остеопластикой.
Есть способы проще и приятнее.
Например, использование специальных остеохарвестеров. Они могут быть вращающимися многоразовыми:
или вот, например:
Бывает что-то вроде «микрорубанка». Многоразового:
или одноразового:
Последний удобнее и продуктивнее в использовании, менее травматичен в работе и позволяет получить аутокостную стружку приемлемой консистенции. Но… использование любых одноразовых инструментов, как вы понимаете, увеличивает стоимость операции. А цена — это тоже фактор выбора.
В отличие от костных блоков, делать забор аутокостной стружки можно в любом месте челюсти. Например, отдельным доступом через минимальный разрез:
или, непосредственно, со скелетированного участка операционной раны. Можно даже доступ для синуслифтинга сделать с помощью остеохарвестера, а заодно — собрать аутокостную стружку:
В общем, каждый выбирает методику забора аутокостной стружки, исходя из собственного опыта и пожеланий, а также клинической ситуации. Например, одному моему пациенту не понравились ощущения при использовании скребка Micross. Во время следующей операции мы проводили забор стружки с помощью вращающегося харвестера.
ТОЛЬКО аутокостная стружка содержит клетки, необходимые для регенерации костной ткани. Поэтому ее можно использовать как изолировано:
Так и в смеси с ксенотрансплантатами. Например, Geistlich Bioss:
Оптимальное соотношение — 50/50, но допускается и 30/70.
Задача биоматериалов при остеопластике данным методом сводится к:
- увеличению объема трансплантируемого материала. Не всегда можно получить аутокостную стружку в достаточном количестве,
- и, что САМОЕ ГЛАВНОЕ, удержанию необходимого объема предотвращению усадки аутокостной стружки в процессе регенерации.
Никакой из биоматериалов не стимулирует регенерацию костной ткани и не ускоряет ее. Сроки регенерации трансплантата, состоящего из аутокостной стружки и смеси аутокостной стружки и биоматериала не отличаются.
Пункт 2. Моделирование.
Вот чем хорош данный метод, так это широкими возможностями моделировки. С аутокостной стружкой можно делать всё, что угодно и как угодно. Лишь бы была, так сказать, точка опоры.
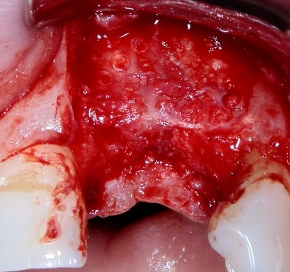
Например, в следующей ситуации:
Оставить так, как есть — это значит, сильно рисковать имплантом и объемом альвеолярного гребня — фактически, большая часть импланта пятого зуба «висит в воздухе». Поэтому получившуюся костную полость мы заполняем аутокостной стружкой в смеси с Bioss и закрываем коллагеновой мембраной BioGide:
При необходимости, мембрану можно фиксировать пинами.
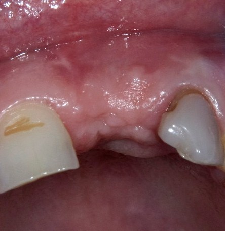
Через три месяца результат:
можно ставить формирователи и заканчивать лечение:
В указанном выше случае использование костных блоков просто невозможно.
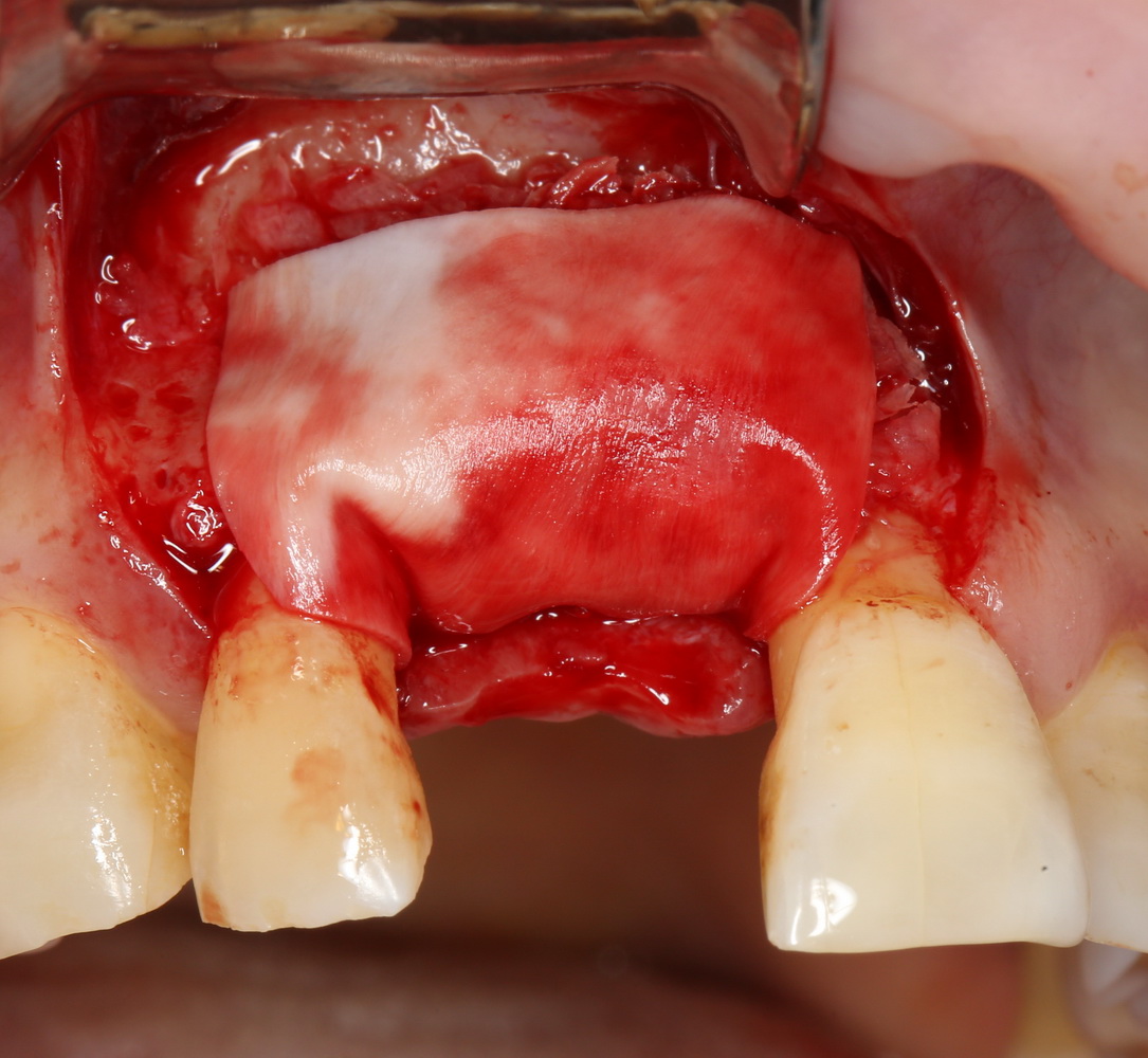
Другой вариант. Имплантируем, но существующего объема костной ткани недостаточно для получения адекватного эстетического и функционального результата:
Поэтому мы используем мембрану Geistlich BioGide и всё ту же аутокостную стружку:
Вот чем мне нравится мембрана BioGide — так это своими свойствами. Предсказуема до мелочей.
Во влажном состоянии она эластична и податлива, поэтому нет необходимости использовать пины или винты:
ну и, швы:
К сожалению, бывают ситуации, когда качественная имплантация просто невозможна из-за ряда факторов: недостаточный объем костной ткани, текущее ортодонтическое лечение и т. д.
В этом случае остеопластика делается отдельной процедурой. Ее принципы точно те же, но уже без импланта. Например:
Имплантировать в таких условиях — заведомо обрекать себя на хреновый, с точки зрения эстетики и функциональности, результат. Поэтому первым этапом проводим остеопластику. Объем небольшой, использовать в таких объемах костный блок не очень рационально. Воспользуемся аутокостной стружкой и мембраной.
Сначала фиксируется BioGide. Это легко:
Затем укладывается и конфигурируется аутокостная стружка:
Если после этого BioGide намочить физраствором, им легко укрыть получившийся объем:
Для надежности можно зафиксировать пинами:
Ну и, швы:
Пункт 3. Барьерная мембрана.
В своей практике мне удалось протестировать огромное количество барьерных мембран, от советского «Пародонкол» до Collagen и Syntes. Честно скажу — всё работает. Что-то лучше, что-то хуже, что-то бесит — но работают абсолютно все мембраны. Другой вопрос, насколько удобна эта работа.
Сейчас в 90% случаев я использую Geistlich BioGide. Меня она устраивает, в первую очередь, удобством работы, предсказуемостью и качеством. В то же время, иногда я использую Jason от Bottis, а иногда — другие, еще более экзотичные мембраны, которые приносят на тесты.
Что же касается нерезорбируемых мембран… Было дело, работал с Gore-Tex (дорого, очень дорого), титановыми сетками (заколебался потом доставать) и тефлоновыми Cytoplast:
результат:
или
с трудом выковыриваем сетку и ищем имплантат:
чтобы поставить формирователь:
Ну а, в целом же, не считая небходимости ОБЯЗАТЕЛЬНОЙ фиксации пинами или винтами, работа с нерезорбируемыми мембранами не отличается от работы с резорбируемыми коллагеновыми материалами. Поэтому особых преимуществ, способных повлиять на результаты лечения, у нерезорбируемых мембран нет.
Пункт 4. Главный секрет успешной остеопластики
Друзья, он очень простой. Это швы. От качества швов зависит очень и очень многое.
Если при работе с костными блоками в случае расхождения швов у нас есть шанс сохранить результат, то при попадании инфекции из полости рта в область трансплантата, состоящего из аутокостной стружки, он сам быстро превращается в рассадник инфекции — ни промыванием, ни повторными швами удержать объем и результат не удается. С этой точки зрения, описываемая методика гораздо более деликатная и ранимая. Инфекцией, разумеется.
Но, в принципе, если на протяжение послеоперационного периода удается сохранить рану герметичной — результат будет. Обязательно.
Поэтому забываем викрил и другие плетеные материалы. Только нерезорбируемая мононить (Prolene, Resoprene и т. д.), только хардкор.
Заключение.
Друзья, всё вышеперечисленное — это всего лишь еще один метод восстановления костной ткани, который мы широко используем в нашей повседневной работе. Еще один — и далеко не последний.
Его плюсы, на мой взгляд, очевидны:
+ относительная простота
+ малоинвазивность и малотравматичность
+ легкость моделирования
+ универсальность
Но и минусов тоже хватает:
— себестоимость. За мембрану, одноразовый остеохарвестер, биоматериалы нужно платить
— сложность восстановления больших дефектов
— сложность работы при вертикальном типе атрофии костной ткани
— высокая чувствительность к инфекции и состоянию швов.
В следующий раз я расскажу вам о комбинированных методиках остеопластики — сочетании костных фрагментов, барьерных мембран, биоматериалов и аутокостной стружки. Сейчас доля подобных операций составляет в нашей клинике, порядка, 80-85% и, наверное, это самое интересное, новое и предсказуемое в остеопластической имплантологической хирургии.
Поэтому не переключайтесь). Ждите третьей части)
Спасибо за внимание.
С уважением, Станислав Васильев.
продолжение следует>>























































Добавить комментарий
Для отправки комментария вам необходимо авторизоваться.