Чем больше я работаю, тем больше понимаю, что в медицине не существует стандартных ситуаций и стандартов вообще. Я не говорю о законах и правилах — они есть и это даже не обсуждается (например то, что инструменты должны быть стерильными), — но вот стандартных схем проведения операций или стандартного набора диагностических/лечебных процедур, на мой взгляд, нет.
Поэтому вопросы: «Какой метод остеопластики выбрать?» или «Какие импланты лучше?» я бы заменил на «Какая схема и методика лечения подойдет данному пациенту?».
Сегодня я покажу вам лишь малую часть остеопластических операций из тех, что мы делаем в нашей клинике. На деле их гораздо больше — мы нередко комбинируем методики и виды операций для достижения наилучшего клинического результата.
Вообще, об остеопластике я могу говорить вечно, ведь это — моя специализация, моя родная стихия, так сказать))). Поэтому я вынужден поделить статью на несколько частей, поскольку она просто не вмещается в форматы блога и сайта.
О том, что мы делаем и как происходит выбор методов лечения — читайте ниже. А еще об остеопластике можно почитать здесь>>
Периодически я слышу дискуссии типа:
- остеопластика костными блоками vs. остеопластика мембранами/аутокостной стружкой
- ламинарная техника vs. титановые сетки/минипластины
- ксенотранслантаты («искусственная кость») vs. костные аутотрансплантаты
- и т. д.
Причем, адепты каждой из методик с пеной у рта акцентируют внимание на недостатках метода оппонентов, иногда даже наглядно их демонстрируют.
Ну, что сказать… на мой взгляд, выбор метода остеопластики — это всегда вопрос существующей клинической ситуации, возможностей и пожеланий пациента.
Остеопластика методом простой аутотрансплантации костных фрагментов.
Между прочим, это самый дешевый вид остеопластических операций. Поэтому применяется очень широко:
с неплохим результатом:
При этом, он один из самых надежных.
Когда требуется восстановить небольшой объем костной ткани, в определенных участках зубного ряда можно делать т. н. «расщепление альвеолярного гребня»:
далее — установка импланта. На всякий случай, лучше фиксировать смещенный блок винтами:
через три месяца:
и еще через пару недель:
В ситуациях, когда нет возможности
фиксировать аутокостный блок с помощью минивинтов,
на помощь приходят минипластины:
этап остеопластики:
через 3 месяца — установка импланта:
еще через 3 месяца — установка формирователя:
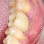
левая фотография — ответ тому, кто считает, что костные блоки со временем атрофируются.
Не в этом случае.
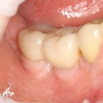
Через пару недель после формирования десны — временное протезирование:
Остеопластику методом аутотрансплантации костных фрагментов можно сочетать с синуслифтингом, как, например, в этой статье>>. Или вот так:
фиксация костных фрагментов:
через три месяца:
установка имплантов:
Очень удобно использовать костные фрагменты для пластики кости в области существовавших ранее ороантральных свищей:
или вот так:
если человек ранее и мечтать не мог об имплантации, то сейчас возможно всё:
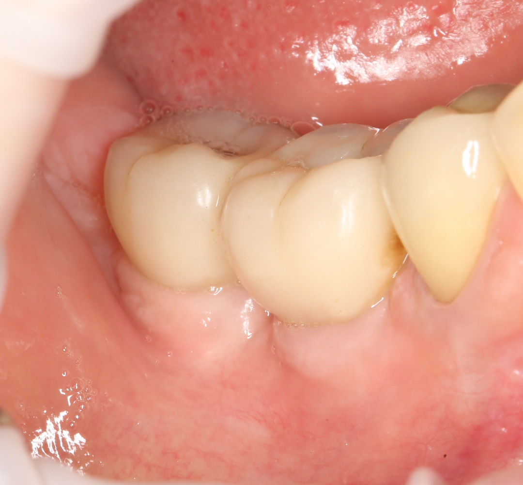
Кстати, об имплантах. Иногда остеопластику можно провести одномоментно с имплантацией:
через 3 месяца:
формирование десны:
И, как видите, вариантов очень и очень много.
Плюсы данной методики:
+ универсальность. Можно работать в любой геометрической плоскости, в любой клинической ситуации.
+ надежность. Даже в случае частичного открытия костного блока, результат лечения, практически, не теряется.
+ объемы. С помощью аутотрансплантации можно воссоздать, абсолютно любой объем костной ткани.
+ стоимость. Это самый дешевый вид остеопластики, часто не требующий вообще никаких дорогостоящих материалов.
и минусы:
— необходимость донорского участка. Костный блок для трансплантации нужно где-то взять.
— относительная травматичность. Опять же, из-за необходимости забора костного блока
— возможна атрофия костного блока из-за недостаточного кровоснабжения. Происходит в случае неправильного определения биотипа костной ткани и выбора метода лечения.
В следующей части я расскажу вам об остеопластике с использованием мембран/аутокостной стружки и/или биоматериалов.
Не переключайтесь!
Продолжение следует>>







































Добавить комментарий
Для отправки комментария вам необходимо авторизоваться.