Вообще, сегодня я хотел поговорить с Вами о ятрогенных заболеваниях. Кто не в курсе — это болезни, чаще психические, намеренно или случайно спровоцированные медработниками. Например, у пациента длительное время не прекращается луночковое кровотечение, и врач, вместо того, чтобы померить артериальное давление (наиболее частая причина постэкстракционных кровотечений) начинает фантазировать на тему снижения свертываемости крови вследствие какого-нибудь лейкоза. И говорит об этом пациенту. И у пациента от таких «фантазий» врача развивается психическое расстройство — любой синячок или прыщик он воспринимает как «страшное онкологическое заболевание», что конкретно портит ему жизнь.
Удивительно, но наиболее ярыми рассадниками ятрогении являются те, кто, по идее, должен всячески от них спасать — это заслуженные теоретики от медицины, профессора, кандидаты и доктора наук, которые считают, что защита диссертации по вросшему ногтю дает им право быть экспертом в области нейрохирургии или кардиологии.
Ну да ладно. Если вы читали заметку в разделе .OPINION, то, наверняка согласны с тем, что любые деликатные и серьезные вопросы лучше обсуждать с холодной головой и в трезвом уме. Поэтому тему психозов, вызванных заслуженными врачами, я постараюсь раскрыть в следующий раз.
А сегодня я расскажу вам об одном интересном клиническом случае, с которым мне пришлось столкнуться. Как и в прошлый раз, я покажу вам всё — от диагностики и анализа клинической ситуации до самой операции, но уже с фотографиями. Поэтому должен предупредить: тем, кто не выносит вида крови, я не рекомендую продолжать чтение этой статьи.
На сайте и в блоге мы много говорим о ретинированных зубах мудрости. Ну, и о том, как и почему их нужно удалять. Однако, ретинированными бывают не только восьмерки. В принципе, ретинированными могут быть любые зубы, но чаще всего мы имеем дело с ретинированными клыками и боковыми резцами.
А у некоторых людей развивается не 32, как обычно, а 33 или 34 зуба. А иногда и больше. Такие «лишние» зубы называют сверхкомплектными и, если говорить честно, ничего кроме проблем они в себе не несут.
Пожалуй, самая неприятная штука — это ретинированные сверхкомплектные зубы, т. е. лишние зубы, которые не прорезались и, скорее всего, не прорежутся. И опасны они, прежде всего, тем, что обнаруживаются либо случайно, либо тогда, когда уже привели к каким-то осложнениям.
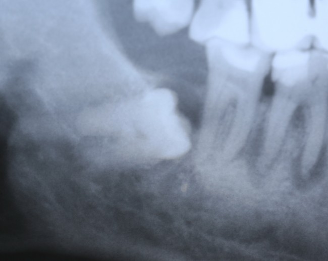
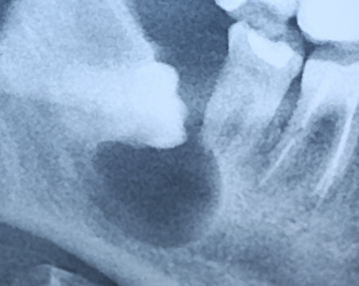
У моей пациентки случайно мы обнаружили два ретинированных сверхкомплектных премоляра:
При этом, весь комплект зубов на месте (за исключением правой верхней восьмерки — моя работа).
Вот разбор снимка:
Пациентка планирует ортодонтическое лечение, а к нему нужно подготовиться — как минимум, удалить оставшиеся восьмерки. И сейчас нам добавилось работы — необходимо что-то сделать со сверхкомплектными зубами.
Почему их вообще нужно удалять? Почему нельзя просто оставить?
Допустим, что пациентка не нуждается в ортодонтическом лечении, и сверхкомплектные ретинированные зубы обнаружили у нее случайно. Почему нельзя просто оставить их в покое — ведь они не беспокоят и не болят, верно?
В качестве ответа приведу два примера из собственной клинической практики:
Вот пациент по имени Егор. Ему чуть больше сорока лет.
Несколько лет назад он сделал панорамный снимок (собирался лечить зубы), на котором выявили ретинированный зуб мудрости — обычное дело, между прочим.
Предложили его удалить. Но Егор отказался, мотивируя это тем, что зуб не болит, не беспокоит и никак не мешает.
Примерно через три года снимок повторили — уже по другому поводу:
И что мы видим? Под зубом образовалась гигантских размеров фолликулярная киста. То есть, теперь нам нужно не только удалять ретинированный зуб мудрости, но и фолликулярную кисту. А для этого, кстати, придется депульпировать соседний седьмой зуб:
то есть, вместо пустячного и своевременного удаления ретинированной восьмерки, мы получили серьезную проблему, которая, к счастью разрешилась, благодаря случайно сделанному панорамному снимку и вовремя проведенному хирургическому вмешательству.
И хорошо, что это, всего лишь восьмерка — удалили зуб, удалили кисту и забыли о проблеме. Но ретинированный зуб, как и сверхкомплектный, может быть любым и в любом месте. И в случае, если он находится в пределах зубного ряда, нам нужно не только удалять его и образованную им кисту, но и думать о судьбе соседних зубов. Вот пример — гигантская фолликулярная киста, которая привела к потере всех нижних передних резцов:
Если бы диагностика, лечение и операция были проведены вовремя — всех проблем удалось бы избежать.
То есть, нам понятно, что рано или поздно с этими сверхкомплектными ретинированными зубами будут проблемы. И, чем раньше мы их решим — тем больше шансов избежать осложнений. Согласны?
Анализ клинической ситуации
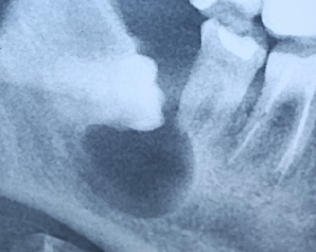
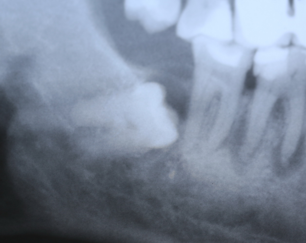
Давайте еще раз посмотрим на снимок:
Что мы на нем видим? Ну да, есть два лишних зуба.
Но…
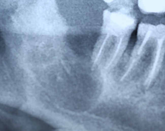
К сожалению, мы не можем по ортопантомограмме…
- … достоверно определить положение зубов. Ортопантомограмма искажает.
- …определить их отношение к нижнечелюстному каналу и соседним зубам. Они находятся ближе к щеке или языку? Нижнечелюстной канал проходит за, между или перед ними? Мы должны ОБЯЗАТЕЛЬНО знать ответы на эти вопросы.
- … самое главное — спланировать операцию в целом и схему операционного доступа, в частности! Это важно? Еще как!
Кстати, по этим же причинам НЕЛЬЗЯ планировать операцию имплантации или остеопластики, основываясь на данных панорамного снимка. Всегда-всегда перед сложным лечением нужно делать компьютерную томографию.
Что, собственно, мы и делаем:
По-моему, на скриншоте всё понятно. Зубы, которые нужно удалить нафиг, обозначены белой стрелкой и словосочетанием «удалить нафиг!«. Темным пунктиром обозначены контуры зубов. Черная точка — просвет нижнечелюстного канала. Снизу слева я попытался наглядно показать схему взаимного расположения и отношения сверхкомплектных зубов к нижнечелюстному каналу. Ну и, внимательно изучив КТ, я принял решение, что операционный доступ нужно делать с язычной стороны.
Пара слов об операционных доступах. Разумеется, доступ с язычной стороны крайне неудобен для хирурга: плохой обзор и высокие риски повреждения подъязычных структур. Но, с другой стороны, классический доступ из преддверия полости рта будет очень травматичным для пациента, при таком доступе мы стопроцентно повредим и зубы-премоляры, и нижнелуночковый нерв, который выходит из ментального отверстия как раз в этой области. А если все эти структуры попытаться обходить, то мы получим пипец какую сложную операцию с неясным прогнозом.
Другими словами, друзья,
— операционный доступ должен быть не столько удобен для хирурга,
сколько малотравматичен и безопасен для пациента.
Когда в лихие девяностые я только начинал изучать хирургию, я видел, как через нижний лапаротомный или горизонтальный «гинекологический» разрез хирурги делали аппендэктомию — и это в доминилапаротомную и доэндоскопическую эпоху. Поэтому меня бесконечно удивляет позиция «докторов», которые для удаления ретинированной восьмерки предлагают удалить здоровый седьмой зуб — типа, так будет легче и проще.
Думать нужно не о простоте операции, а о безопасности и травматичности для пациента. Пусть даже это усложняет само вмешательство.
Вернемся к нашим баранам операции. Вырисовывается следующая схема:
- местная анестезия (проводниковая и инфильтрационная
- доступ с язычной стороны
- костнопластическая трепанация кортикальной пластинки альвеолярного отростка с помощью ультразвука.
- работа ТОЛЬКО в пределах коронок сверхкомплектных зубов, чтобы не повредить нижнечелюстной канал и корневую систему премоляров.
- нерезорбируемые швы.
Время проведения такой операции — примерно 30 минут.
Оперативное вмешательство
Всё начинается с анестезии и разреза:
Его приблизительная схема показана на картинке справа. Разрез спланирован таким образом, чтобы потом вывести узелки швов на внешнюю сторону — так они будут меньше беспокоить пациента в послеоперационном периоде. К тому же, обзор раны будет лучше.
Для разреза я пользуюсь специальным обоюдоострым микроскальпелем, кстати.
Следует учесть, что с язычной стороны слизистая оболочка более нежная и тонкая. Скелетировать альвеолярный отросток нужно с большой осторожностью:
Белой стрелочкой я отметил сосудистые пучки, входящие-выходящие в/из альвеолярного отростка. Некоторые ошибочно принимают их за нервы и этим объясняют то, что анестезия не подействовала. Напомню, что местная анестезия не действует только тогда, когда ее делают неправильно.
Черный пунктир — это примерная схема костнопластической трепанации. За последние годы я серьезно «подсел» на ультразвук — делаю им любые серьезные операции.
В данном случае можно было бы использовать бормашину со специальными борами, но это будет гораздо травматичнее. К тому же, вращающимся инструментом легко повредить нежную слизистую оболочку подъязычной области. Хотя отмечу, что использовать ультразвук для обычного удаления зубов (восьмерок, например) слегка нерационально — одна насадка стоит больше 400 евро, а использовать ее можно, от силы, 20 раз. Стоимость удаления зуба тогда увеличится на 50-60% только из-за этого.
Почему именно костнопластическая? Почему нельзя просто «выпилить» окошко нужной формы? Анализируя КТ, я определил толщину кортикального слоя кости в области операционного доступа и решил, что будет правильнее, сначала, выпилить небольшую костную дверцу, которую после удаления зубов можно поставить на место. Это позволит избежать использования любых барьерных мембран и спейсеров.
Аналогичную технологию мы применяем при синуслифтинге.
Итак, ультразвуковой разрез по костной ткани:
Костная «дверца» на время отделяется и убирается в физраствор, а мы видим следующее:
Это фолликулы и, частично, коронковые части сверхкомплектных зубов.
Теперь аккуратно нам нужно выделить сами зубы:
А вот они! Далее мы руководствуемся главным правилом хирурга-стоматолога:
При удалении зубов нельзя прилагать значительных физических усилий. Если операция идет правильно, зубы должны, вообще, сами вываливаться из лунок.
Однако, наши сверхкомплектные зубы вываливаться не хотят. Потому что их коронки образуют что-то вроде клина, который непросто вытащить через маленькое трепанационное отверстие.
Поэтому мы, всё также, с помощью ультразвука, отпиливаем коронку одного из зубов:
После чего, зубы вываливаются из лунок самостоятельно. В прямом смысле слова:
Кстати, запомните вот что:
НИКОГДА-НИКОГДА корни зубов не срастаются и не переплетаются между собой.
Это противоречит принципам их развития.
Вот удаленные зубы:
А вот их лунки:
Теоретически, лунки можно чем-нибудь заполнить. Только чем? И для чего?
Костная ткань сама регенерирует, если ей не мешать. Поэтому не стоит толкать в лунки какой-нибудь остеопластический материал, типа Cerabone или Bioss. Нет смысла.
В данном случае я использовал обычную коллагеновую губку — и то, только для того, чтобы «костная дверца», которую я выпилил в самом начале операции, не провалилась внутрь:
Теперь запиливаем «костную дверцу» на ее законное место:
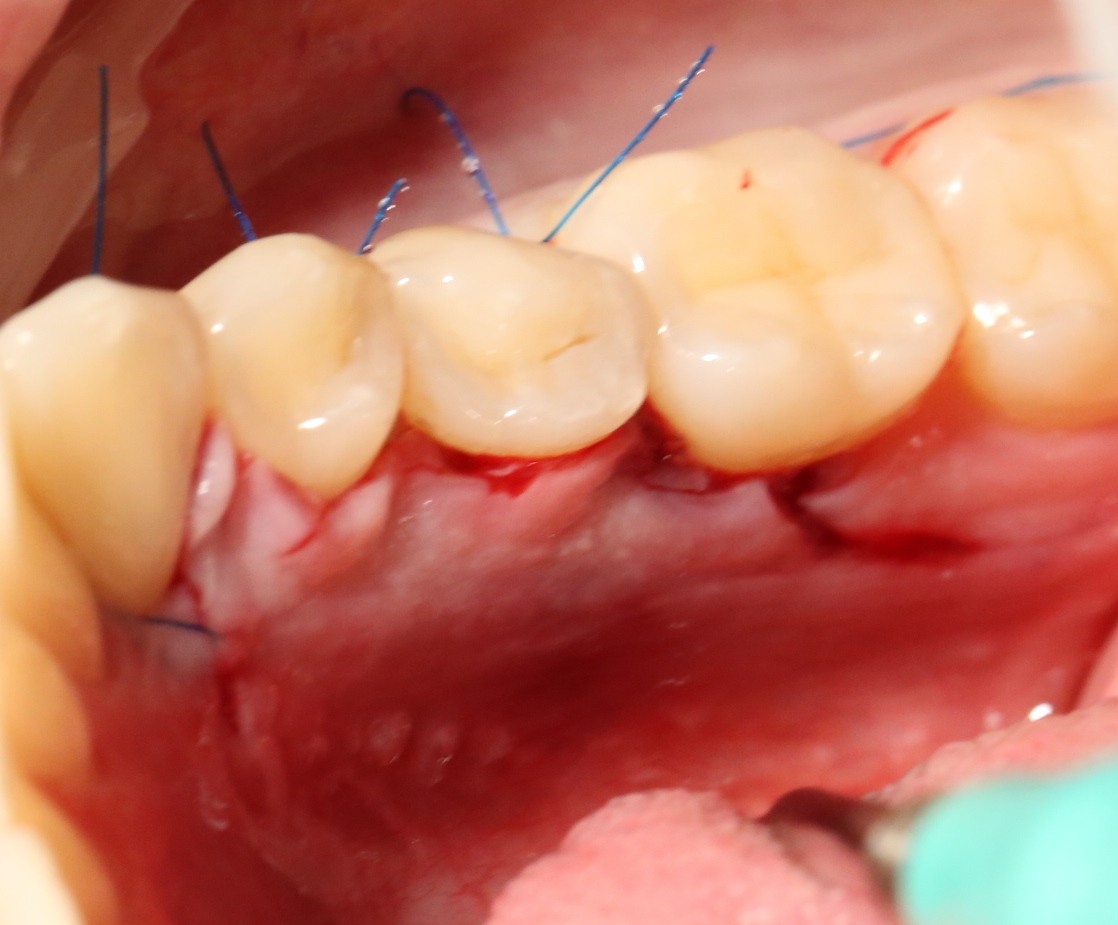
И накладываем швы.
Благодаря сделанному нами разрезу, мы можем вывести узелки на внешнюю сторону альвеолярного отростка, что будет удобнее и комфортнее для пациента:
Операция закончена.
Пациентка получает стандартные послеоперационные рекомендации #1 и приглашается на послеоперационный осмотр через пару дней.
А вот еще одно правило:
Хирургическая операция — это, всего лишь, часть лечения. Причем, не самая сложная.
Самое сложное — это сделать послеоперационные период безопасным и комфортным для пациента. Для этого его нужно, как минимум, наблюдать некоторое время после операции.
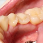
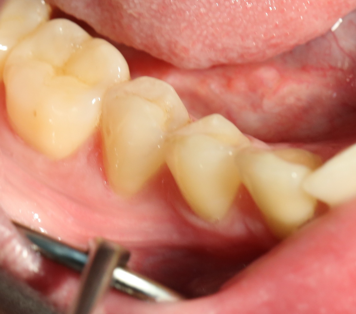
Вот фотография послеоперационной раны через пару дней:
Так, друзья, выглядит нормальная послеоперационная рана. Со швами я угадал. Это, кстати, Prolene 5-0.
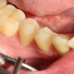
А вот фотография через месяц после операции:
Задайтесь вопросом — оно того стоило? 30 минут в операционной, 4 дня на реабилитацию и 2 недели со швами? Стоило ли это того, чтобы в будущем избежать серьезных проблем со здоровьем?
На мой взгляд — да.
Наверное, комментарии излишни. Я написал всё, что хотел.
Но, если у кого-нибудь есть вопросы или мысли по поводу показанной операции — я готов ответить или обсудить.
Спасибо за внимание.
С уважением, Станислав Васильев. 2026.implant-in.com
































Добавить комментарий
Для отправки комментария вам необходимо авторизоваться.