IMPLANT-IN.COM — дентальная имплантация. естественно.

Вертикальная остеопластика. Кто говорил, что это невозможно?

Каждый доктор думает в меру своего опыта и компетенции. Если бы вы пришли ко мне шесть лет назад с просьбой провести немедленную имплантацию, скорее всего, мое решение было бы отрицательным. Я бы сказал, что это слишком рискованно и невозможно в принципе. Сейчас, когда доля немедленной имплантации в практике нашей клиники составляет почти половину всего объема имплантологического лечения, я смело могу утверждать, что немедленная имплантация (т. е. установка импланта в лунку сразу после удаления зуба) не просто возможна, но и очень даже желательна, несет в себе намного меньше рисков и проблем. Более того, могу заметить, что результаты, которые мы получаем при немедленной имплантации, намного лучше, чем при имплантации отсроченной.

Нередко приходится слышать от пациентов следующую историю:

«Ходил к доктору. Он сказал, что имплантация в моем случае невозможна из-за того, что костной ткани очень мало».

Наверное, лет шесть назад, я сказал бы то же самое. Но сейчас…

Сейчас мы владеем технологиями, которые позволяют восстановить костную ткань до приемлемого для имплантации уровня в любом объеме и в любом месте зубного ряда.

Сегодня я попробую рассказать вам о подобном лечении, но, к сожалению, по рентгенснимкам, поскольку фотографии поленился сделать (да, я ленивая лошара ;-)).

Мы поговорим об одной из самых сложных методик остеопластики, а именно — о восстановлении высоты атрофированного альвеолярного гребня.

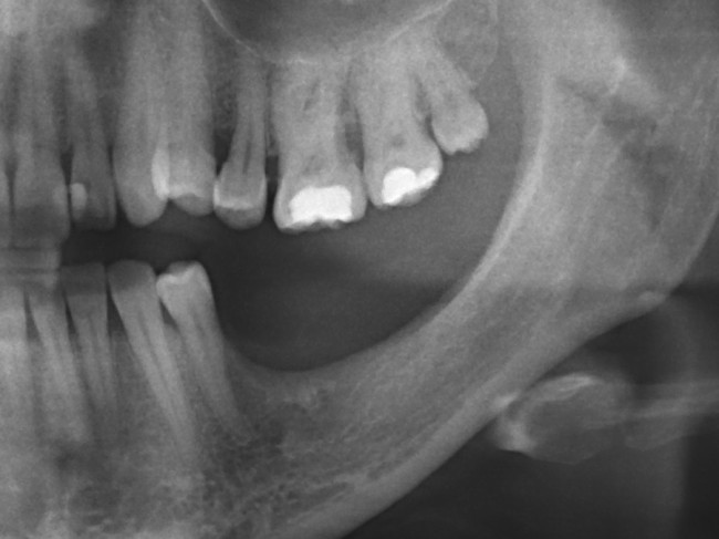
Итак, вот изначальная ситуация:

до лечения

И вот ситуация конечная, уже с имплантами. С начала лечения прошло три месяца.

после имплантации 2

1. Анализ клинической ситуации.

Я понимаю, что данных на части панорамного снимка очень мало для правильной интерпретации клинической ситуации, но, с другой стороны, это позволит не перегрузить Вас информацией.

Дано:

  • боковой сегмент, отсутствуют три зуба: 35, 36, 37. Эти зубы удалены достаточно давно, развилась сильная атрофия костной ткани.
  • верхние зубы, не имея антагонистов, выдвинулись вниз (зубоальвеолярное удлинение, т. н. «симптом Попова-Годона»).
  • пациентке примерно 30 лет. То есть, вся жизнь еще впереди)).

Что делать?

Сначала рассмотрим альтернативные решения:

Вариант А: Съемный протез (бюгельный или пластинчатый). Плюсы — быстро, недорого. Минусы — постепенное ухудшение состояния зубочелюстной системы, начиная от потери оставшихся зубов, усиления атрофии альвеолярного отростка вплоть до полного истончения, проблемы в височно-нижнечелюстными суставами и жевательными мышцами. Я уже не говорю о дискомфорте и качестве жизни — нет ничего хуже съемного протеза.

Как правильно сказала одна моя пациентка:

Вместе со съёмными протезами приходит старость

причём, в любом возрасте. И я с ней согласен.

Вариант Б: Базальная имплантация, которую усиленно навязывают некоторые доктора и клиники. Ее суть сводится к использованию имплантов особой конструкции, которые можно установить в любой объем костной ткани. Плюсы — это поможет избежать костной пластики. Минусы — крайне ненадежная и неудобная протетическая конструкция, проблемы с гигиеной и десной (следовательно, проблемы с оставшимися зубами и имплантами), почти никакое качество жизни, сильно травматичная жестокая операция и тяжелая реабилитация, проблемы с височно-нижнечелюстными суставами и жевательными мышцами. К счастью, по слухам опыты с базальной имплантацией в России прикрыли.

Вариант В: Установка ультракоротких имплантов типа Bicon или каких-нибудь других. Плюс всё тот же — можно обойтись без костной пластики. Минусы — всё те же. К тому же, надежность протетической конструкции с подобными имплантами будет очень невысока.

Хотя профессор V. Morgan из Harvard Dental School считает, что соотношение длины протетической части (т. е. коронки с абатментом) и импланта как 5:1 вполне допустимо, но я как-то помню из физики правило рычага, и поэтому не вполне уверен, что пятикратно превосходящая по размерам коронка будет нормально функционировать на ультракоротком импланте. Опять же, не следует забывать, что именно профессор Морган является изобретателем ультракоротких имплантов.

Будь моей пациентке лет восемьдесят, наверное, я бы рассмотрел данный вариант. По причине низкой травматичности, про срок службы можно забыть. Но нашей пациентке 30 лет, а это значит, что в планируемую протетическую конструкцию мы должны закладывать ресурс, как минимум, на 60-70 лет, а это никакие короткие импланты не выдержат.

Вариант Г: Восстановление объема костной ткани альвеолярного отростка до приемлемого уровня, последующая имплантация с использованием нормальных по размеру имплантов и нормальных коронок. Плюсы — высокая надежность, большой срок службы, нормальная гигиена и качество жизни. Минусы — срок лечения (не меньше 6 месяцев), две-три операции. Ну и стоимость — всяко, две операции стоят дороже, чем одна.

Анализируем возможные проблемы:

Sketch94233528

Их несколько, они обозначены на снимке.

  1. Значительная атрофия костной ткани, особенно по высоте. Решается: остеопластической операцией.
  2. Дефицит слизистой оболочки почти всегда сопровождает атрофию кости. Следовательно, после имплантации (либо до нее) нам потребуется пластика десны. Я предпочитаю это делать на этапе установки формирователей десны.
  3. Зубоальвеолярное удлинение в области зубов-антагонистов. Решается: ортодонтическим лечением.

Пару слов об ортодонтии в данной ситуации. Раньше (да и сейчас) некоторые доктора решали вопрос «выдвижения» отдельных зубов очень просто: их депульпировали, стачивали до нужного уровня и покрывали коронками. Но подумайте — согласились бы вы покрыть коронками нормальные, в общем-то, зубы? Я — ни за что. Поэтому я приглашаю ортодонта (в нашей клинике есть замечательный доктор Слива Виктория), мы планируем с ней ортодонтическое лечение: на данный сегмент зубного ряда будут наклеены брекеты, затем, с помощью микровинтов (кортикальная опора), мы проведем интрузию («втягивание») данных зубов в правильное положение. Это займет несколько месяцев, как раз до этапа протезирования.

Планируем данную работу

2 или 3 импланта в область отсутствующих 35, 36, 37 зубов, плюс ортодонтическое лечение — интрузия зубов-антагонистов на верхней челюсти.

Sketch94232818

По данной схеме уже видно, какого объема костной ткани нам не хватает. В дополнение к снимкам, в клинике мы часто делаем диагностические модели, на которых восстанавливаем зубы и отсутствующую костную ткань с помощью воска — это т. н. WaxUp. Так мы моделируем и можем увидеть конечный результат нашей работы и планировать операцию. К сожалению, WaxUp показать не могу (поленился сфотографировать, лошара ;-)).

Sketch9423300

Это вполне осуществимо с помощью операции остеопластики, «наращивания костной ткани».

ОДНАКО, до начала лечения, мы должны задать себе и пациентке несколько вопросов:

Sketch94234129

  1. Насколько важна эстетика в боковом отделе?  От этого сильно зависит объем будущей работы и, разумеется, ее стоимость. В идеале, можно воссоздать зубы, неотличимые от настоящих. Но цена подобного лечения будет в разы выше. чем для получения «приемлемого результата». Мы обсуждаем это с пациенткой и определяемся — эстетика не столь актуальна, ведь эти зубы не видны при улыбке. Гораздо важнее их функциональность и удобство ухода.
  2. Что делать с верхними зубами? Мы уже ответили на данный вопрос. Параллельно с имплантологическим лечением, мы будем проводить интрузию («втягивание») верхних зубов на их правильные места. Этим займется ортодонт Слива Виктория Рандовна.
  3. Три или два импланта? При отсутствующих трех зубах мы можем обойтись двумя имплантами. Это будет мостовидный протез с опорой на импланты 35 и 37 зубов. Минусы — мостовидный протез требует более тщательного ухода. Плюсы — он дешевле. При установке трех имплантов мы можем изготовить на каждый имплант одиночную коронку. В этом случае существенно облегчается гигиена и уход за зубами, а сами зубки выглядят более естественно. Минусы — это дороже.
    Пока мы не ведем речи об имплантации (она будет через 3 месяца), поэтому у пациентки есть время подумать. В любом случае, остеопластическую операцию мы рассчитываем на область трех зубов, от пятерки до семерки.
  4. Сколько времени у нас есть? Не все готовы ждать год-два для получения идеального результата. Для его достижения, по-хорошему, требуется сначала провести полное ортодонтическое лечение, затем пройти через одну-две операции остеопластики, после чего последует имплантация и, возможно, одна-две операции на слизистой оболочке. Плюс, многоэтапное протезирование. При этом, нас будет преследовать продолжающаяся атрофия кости и слизистой, поэтому, чем дольше лечение — тем сложнее достижим этот идеальный результат. Не говоря уже о финансах. Данный вопрос ОБЯЗАТЕЛЬНО обсуждается с пациентом. Как я уже неоднократно писал, мы делаем то, что хочет пациент, а не то, что хотим мы. В известных пределах, разумеется).

2. Планирование остеопластической операции

Про остеопластические операции подробно написано у меня в блоге и на сайте. Поэтому на методике проведения вмешательства останавливаться не буду.

Почитать об остеопластике можно здесь и здесь.

В общих чертах, схема будущей операции выглядит так:

Sketch94234910

Остановлюсь лишь на некоторых моментах:

  1. Способ проведения операции — аутотрансплантация костного блока из ретромолярной области и ветви нижней челюсти с последующей фиксацией винтами. Это наиболее предсказуемый метод вертикальной остеопластики, дающий максимум положительных результатов. Ни один метод с использованием ксенотрансплантатов (Bioss, Cerabone, Easygraft и т. д.) такой статистики не дает.
  2. Под блоком, вероятно, будет небольшое пустое пространство вследствие неплотного соответствия поверхностей. Его заполняем аутокостной стружкой, взятой из того же участка, что и блок. В этом случае использование барьерной мембраны (BioGide, Jacon и т. д.) ОБЯЗАТЕЛЬНО.
  3. Пересаженный костный блок также подвержен атрофии — за 3 месяца мы потеряем, порядка 20-30% от первоначального объема. Поэтому блок берется с запасом, учитывающим возможную атрофию. НО есть один нюанс — это верхние выдвинувшиеся зубы. При излишней высоте блока пациентка будет «кусать» область операции верхними зубами, а это чревато осложнениями. Ну и про дефицит слизистой оболочки нельзя забывать. Выбираем компромиссную середину.
  4. Забор костного блока целесообразнее сделать через ту же рану, что и основную операцию. Хотя с подбородка или бугра верхней челюсти донорский блок брать удобнее, мы думаем. в первую очередь, о комфорте пациентки — за одной раной, пусть и большой, ухаживать легче, чем за двумя.
  5. Качество швов и слизистой оболочки. Расхождение швов серьезно увеличивает риски потери блока, процентов на 20-25. А при использовании ксеногенных материалов — на 100%.

3. Остеопластика

И вот теперь, когда все нюансы обговорены, когда всё тщательно спланировано и рассчитано, мы приступаем к остеопластической операции.

Методики, способы и наглядные картинки есть в предыдущих статьях, можно почитать в блоге или на сайте.

Операция проводится под местной анестезией, совершенно безболезненна, и занимает, в среднем, от 60 до 90 минут.

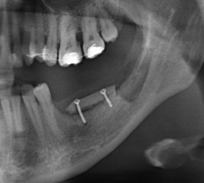
Вот снимок после операции:

сразу после остеопластики

И с обозначениями:

1

«Пустое пространство» под блоком мы заполнили аутокостной стружкой, а сверху закрыли барьерной мембраной BioGide. Самое сложное в данной работе было, на мой взгляд, подогнать размер блока, «собрать» слизистую оболочку и наложить швы так, чтобы пациентка не кусала послеоперационную рану верхними зубами. Кстати, как видите, на верхние зубы уже наклеили брекеты — начали ортодонтическое лечение.

4. Через три месяца — подготовка к имплантации.

Мы приступаем к имплантации через три месяца. Некоторые доктора называют срок в 5-6 месяцев после остеопластики, но, на мой взгляд, это слишком долго.

Во-первых, достаточная для имплантации интеграция блока происходит вообще за 2-2,5 месяца.

Во-вторых, не забывайте про то, что пересаженные костные блоки также склонны к атрофии.

Это можно увидеть по прицельному снимку, который мы сделали через 3 месяца после остеопластики:

3 месяца после остеопластики

Sketch1051621

Вспомните, как стояли винты сразу после операции и как они выглядят сейчас.

Обратите внимание на появление новообразованной костной ткани под блоком — на снимке наглядно прослеживается ее губчатая структура. Пока границы слоев костной ткани видны хорошо, но, в дальнейшем, они почти исчезнут.

Пациентка озвучила свое решение по поводу количества имплантов — мы решили установить пока два импланта в область 35, 37 зубов, сделать на них мостовидный протез. Если вдруг по каким-то причинам он ее не устроит — мы всегда можем доставить имплантат 36 зуба и сделать три одиночные коронки. Без проблем — костной ткани теперь достаточно.

В данной работе я использовал импланты Friadent Xive. Это наш с пациенткой выбор.

Всегда выбирайте не импланты, а имплантолога! Поскольку от марки имплантов зависит очень немногое.

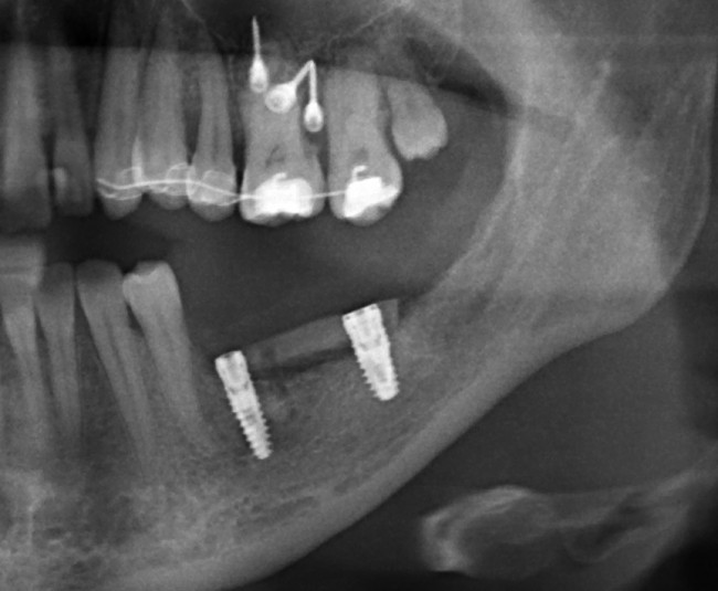
Снимок после проведенной имплантации:

после имплантации 2

Винты, фиксировавшие блок, удалены. Имплантаты позиционированы по разметке ортопеда, исходя из планируемой ортопедической конструкции.

Многих пациентов также интересует, как заживает тот участок челюсти, с которого был взят костный блок для пересадки. На снимке выше очень хорошо видно, что через три месяца костная ткань там почти полностью восстановилась — область забора блока еле видна.

Вот схема:

Sketch1051936

На верхней челюсти — микровинты в качестве кортикальной опоры, необходимой для интрузии зубов. Поскольку костная ткань верхней челюсти не очень плотная, и винты, как оказалось, не дают нужной поддержки, в дальнейшем планируем заменить их на микропластину.

5. Дальнейшее лечение

К сожалению, всё, показанное выше, — всего лишь половина работы. Точнее, меньшая половина.

Через два с половиной месяца нам предстоит пластика десны и установка формирователей.

Еще через пару недель — временные коронки на импланты. Затем, через полгода, а может и дольше — постоянное протезирование.

Sketch10511226

Могу сказать лишь спасибо пациентке, которая решилась на столь сложное лечение. Я знаю, как нелегко ей было после первой и второй операции, как неудобно ухаживать за послеоперационной раной, минивинтами и брекетами. Но она никогда, даже в самые тяжелые моменты, не теряла надежды и соблюдала все правила и рекомендации. Я бесконечно благодарен ей за доверие и терпение, а также за тот оптимизм, которым она, периодически, подзаряжала и меня. Со своей стороны я обещаю, что сделаю всё, чтобы она получила желаемый результат лечения.

Оптимизм — это главная, самая волшебная и до сих пор необъяснимо влияющая на результаты лечения штука, друзья. Это, блин, не гомеопатию бодяжить)).

Будьте оптимистами. И всё будет хорошо!

Готов ответить на вопросы в комментариях.

Спасибо за внимание.

С уважением, Станислав Васильев.

Комментарии

Добавить комментарий