IMPLANT-IN.COM — дентальная имплантация. естественно.

Имплантация: быстро, качественно, недорого. Возможно ли такое?

Каждый из нас по миллиону раз наступал на «рекламные грабли», но, тем не менее, продолжает верить рекламе. Даже если она противоречит логике и здравому смыслу. Даже если она отдает заманухой и дезинформацией. «Быстро, недорого, качественно» — три слова, которые отключают мозги большинству людей.

А возможно ли вообще такое? Можно ли «быстро, качественно, недорого» провести имплантологическое лечение и протезирование?

Давайте порассуждаем об этом.

Сегодня я хочу показать Вам один клинический случай и рассказать про него.

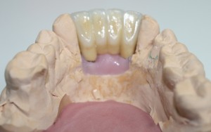
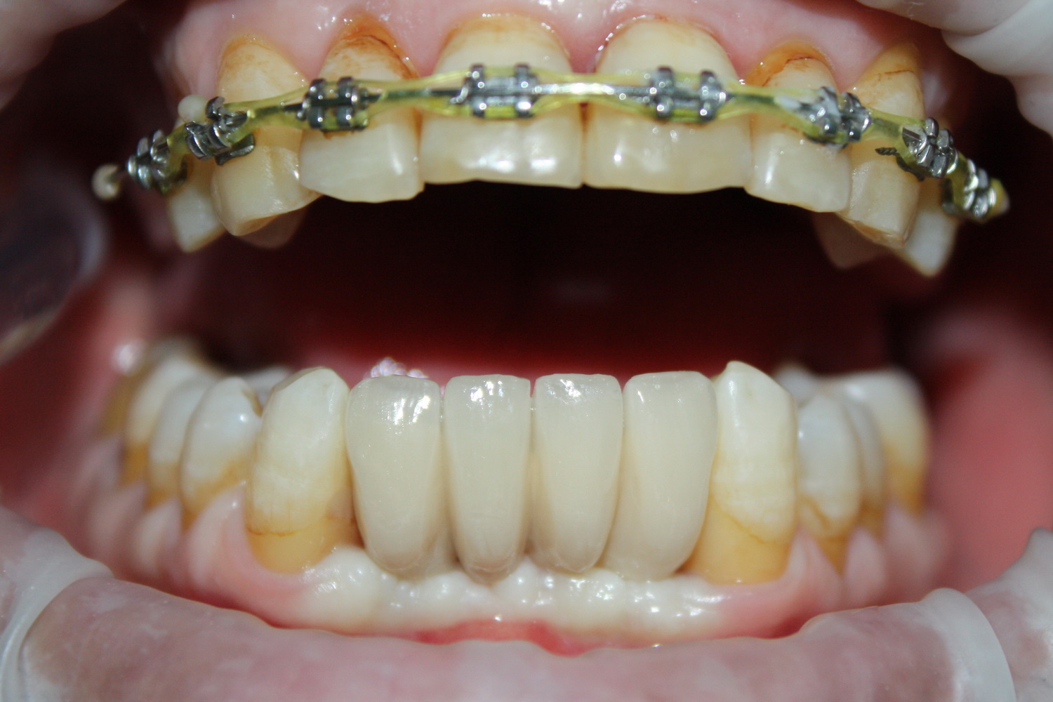
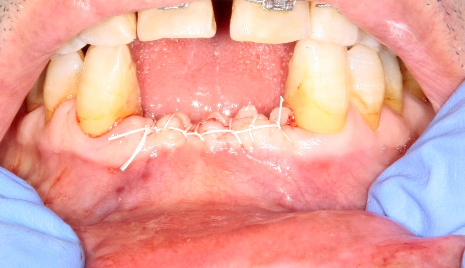
Почти начало лечения. Месяц назад удалены нижние резцы, начато ортодонтическое лечение
Почти начало лечения. Месяц назад удалены нижние резцы, начато ортодонтическое лечение

 

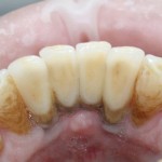
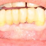
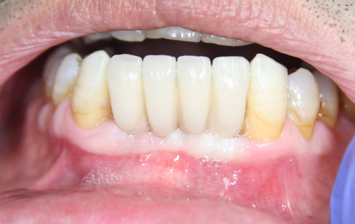
Через 2 месяца после окончательного протезирования.
Через 2 месяца после окончательного протезирования.

На верхней фотографии — почти начало лечения: месяц назад мы вынуждены были удалить нижние резцы, параллельно начали ортодонтическое лечение на верхней челюсти.

На нижнем фото: контрольный осмотр пациента через 2 месяца после окончательного протезирования.

Есть разница?

Лечение шло следующим образом:

Исходная ситуация: пациенту чуть больше 60 лет, тяжелый пародонтит, вызванный проблемами с прикусом. В последнее время отмечает, что после потери зубов на верхней челюсти, оставшиеся зубы «поехали» в разные стороны. Был на консультации в другой клинике, где предложили удалить все зубы на верхней челюсти и изготовить съемный протез — пародонтит же!

Месяц назад мы удалили пациенту сильно подвижные нижние резцы (по данным компьютерной томографии стало ясно, что их не спасти), а наш ортодонт Яна Акопян приступила к ортодонтическому лечению, цель которого — устранить большие межзубные промежутки и восстановить нормальное функциональное соотношение зубов верхней и нижней челюстей.

Дабы пациент не оставался совсем без зубов, наш врач-ортопед Макаров Артур сделал пациенту временный адгезивный мостовидный протез вместо отсутствующих резцов. Для изготовления такого протеза не требуется обтачивать зубы, а сам он легко снимается и фиксируется на светоотверждаемый композитный материал.

Почти начало лечения. Месяц назад удалены нижние резцы, начато ортодонтическое лечение
Почти начало лечения. Месяц назад удалены нижние резцы, начато ортодонтическое лечение

 

Как я уже писал ранее, одна из основных причин пародонтита — функциональные нарушения прикуса. Поэтому, очень часто, без ортодонтической помощи лечение пародонтита — штука бесполезная. Ни кюретажем, ни мазями и лоскутными операциями данную причину, увы, не устранить.

Кстати, данный случай — хороший пример ортодонтического лечения у пациентов взрослого и пожилого возрастов. Отлично разбивает миф о том, что исправление прикуса возможно только в детстве.

Пациенту предложили следующий план лечения:

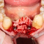
Нижняя челюсть: 2 импланта в область боковых резцов — временный протез на имплантах — постоянное протезирование.

Верхняя челюсть: ортодонтическое лечение — 4 импланта в область пятых и седьмых зубов — временное протезирование — постоянное протезирование.

Следует заметить, что к имплантации на верхней челюсти мы приступаем по команде врача-ортодонта, когда закончится период активного перемещения зубов, и они займут свои места. В противном случае, из-за движения зубов, наши импланты могут оказаться вовсе не там, где мы изначально планировали.

Ортодонтическое лечение планируется на срок 7-8 месяцев, так что пока мы приступаем к имплантации на нижней челюсти.

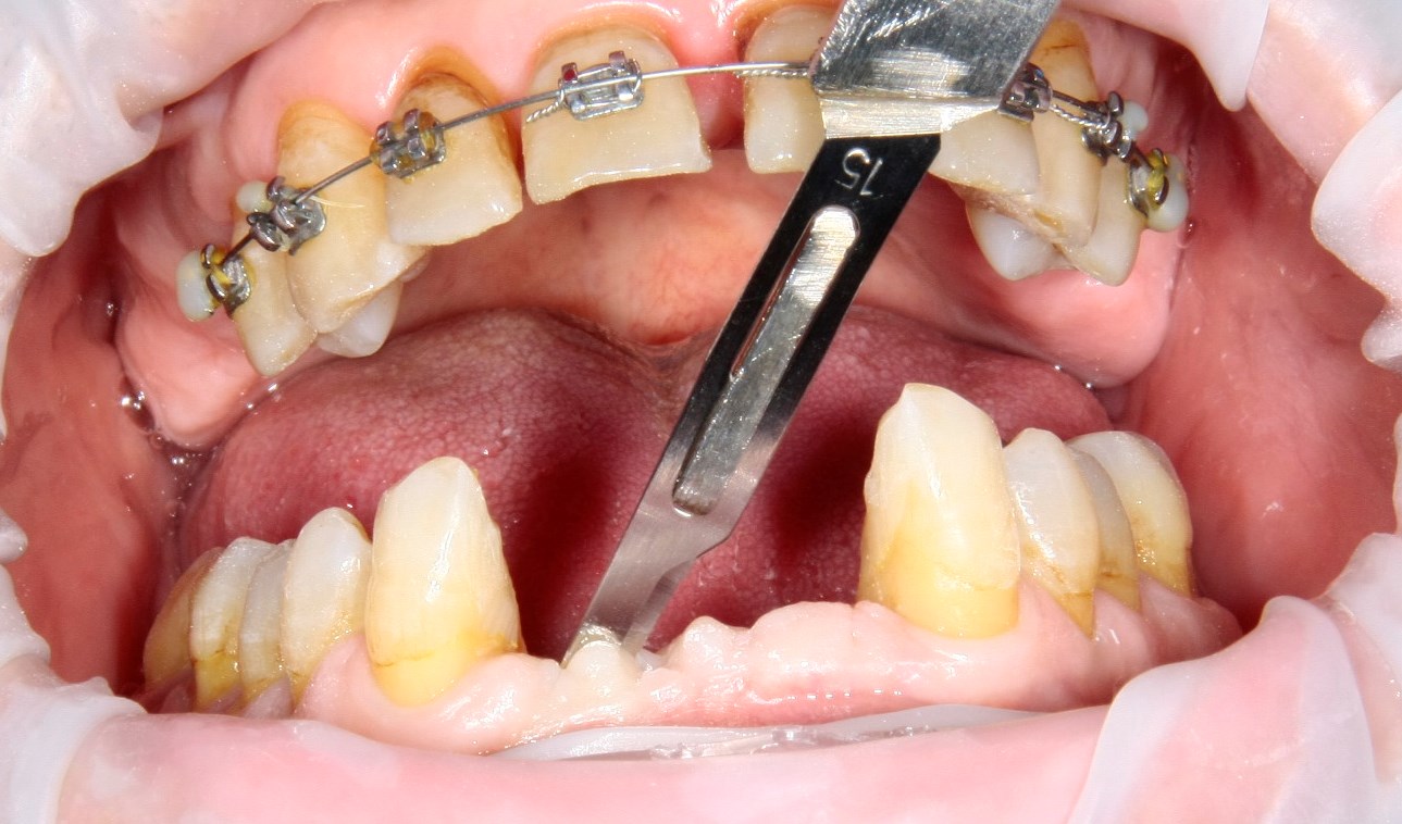
Сначала снимаем адгезивный мост. Да, понимаю, что не очень удобно его снимать перед каждой манипуляцией. Но использовать временный съемный протез конкретно в этом случае нежелательно по ряду причин, а именно:

  • пародонтит. Можно повредить кламмерами соседние зубы, а давление протеза на слизистую оболочку приведет к еще большей атрофии костной ткани и слизистой оболочки.
  • фронтальный сегмент. Из-за давления протеза еще больше уменьшится высота десны, а она и так в дефиците.
  • неудобство для пациента. Любой несъемный протез удобнее любого съемного.

Сняли протез:

2

Под местной анестезией делается разрез по гребню альвеолярного отростка:

3

Слизистая оболочка отслаивается до нормально обозримого операционного поля. Мы видим лунки недавно удаленных зубов:

4

Многие доктора рекомендуют приступать к имплантации не ранее, чем через несколько месяцев после удаления зубов. Я же считаю, что ждать полного заживления костной раны и заполнения лунки костной тканью необязательно.

  1. Во-первых, для выживаемости имплантов гораздо большее значение имеет состояние слизистой оболочки и приступать к имплантации можно почти сразу же, как десна над лункой восстановилась до нормального состояния.
  2. Во-вторых, наличие полувосстановившихся лунок зубов облегчает позиционирование имплантов.
  3. В-третьих, атрофические процессы еще не приняли катастрофический масштаб
  4. В-четвертых, уже запустившийся после удаления зуба регенеративный процесс только способствует интеграции имплантов.

В итоге, мы получаем что-то среднее между методиками немедленной и отсроченной имплантации. 4-6 недель — оптимальный срок от момента удаления зуба до начала имплантологического лечения. Большего и не надо.

Готовим лунки для имплантов:

5

На этом этапе важна точность позиционирования. В набор Friadent Xive входят аналоги имплантов, которыми очень удобно проверять положение и глубину лунок:

 6  7

Лунки имплантов можно готовить одновременно, а можно и по очереди. В первом случае операция идет быстрее, а во втором — точнее.

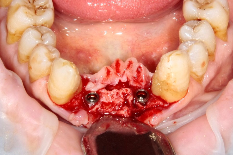
Затем устанавливаются импланты. В данном случае я выбрал импланты Friadent Xive 3.4×13 мм. В принципе, можно было бы использовать имплантаты диаметром 3,0 мм, специально предназначенные для нижних резцов, но, к сожалению, выбор супраструктур для них весьма ограничен:

8

И второй имплантат:

 9  10

Убираем имплантодержатели.
Их потом можно использовать как временные абатменты, для изготовления временных ортопедических конструкций:

 12  11

Импланты закрываем заглушками:

13

Обратите внимание на то, что мы не погружаем имплантаты слишком глубоко. Полированная фаска имплантата должна находиться выше уровня костной ткани.

Чрезмерное погружение имплантов — одна из наиболее распространенных ошибок в имплантологии, грозным осложнением которой является периимплантит и рецессия десны в области соседних зубов. С этой точки зрения, лучше недокрутить, чем перекрутить.

Еще один важный момент — это усилие (torque) с которым устанавливается имплантат. В идеале, он должен вкладываться в лунку как сабля в ножны — гладко, мягко, без каких-либо усилий. Если для установки импланта приходится прибегать к использованию ключа-трещотки — это не очень хорошо. Поэтому, если имплантат не докручивается на 30-40 нМ, целесообразнее вытащить его, дообработать лунку — и потом установить заново.

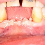
На послеоперационную рану накладываются швы:

14

После чего ортопед фиксирует временный адгезивный протез.

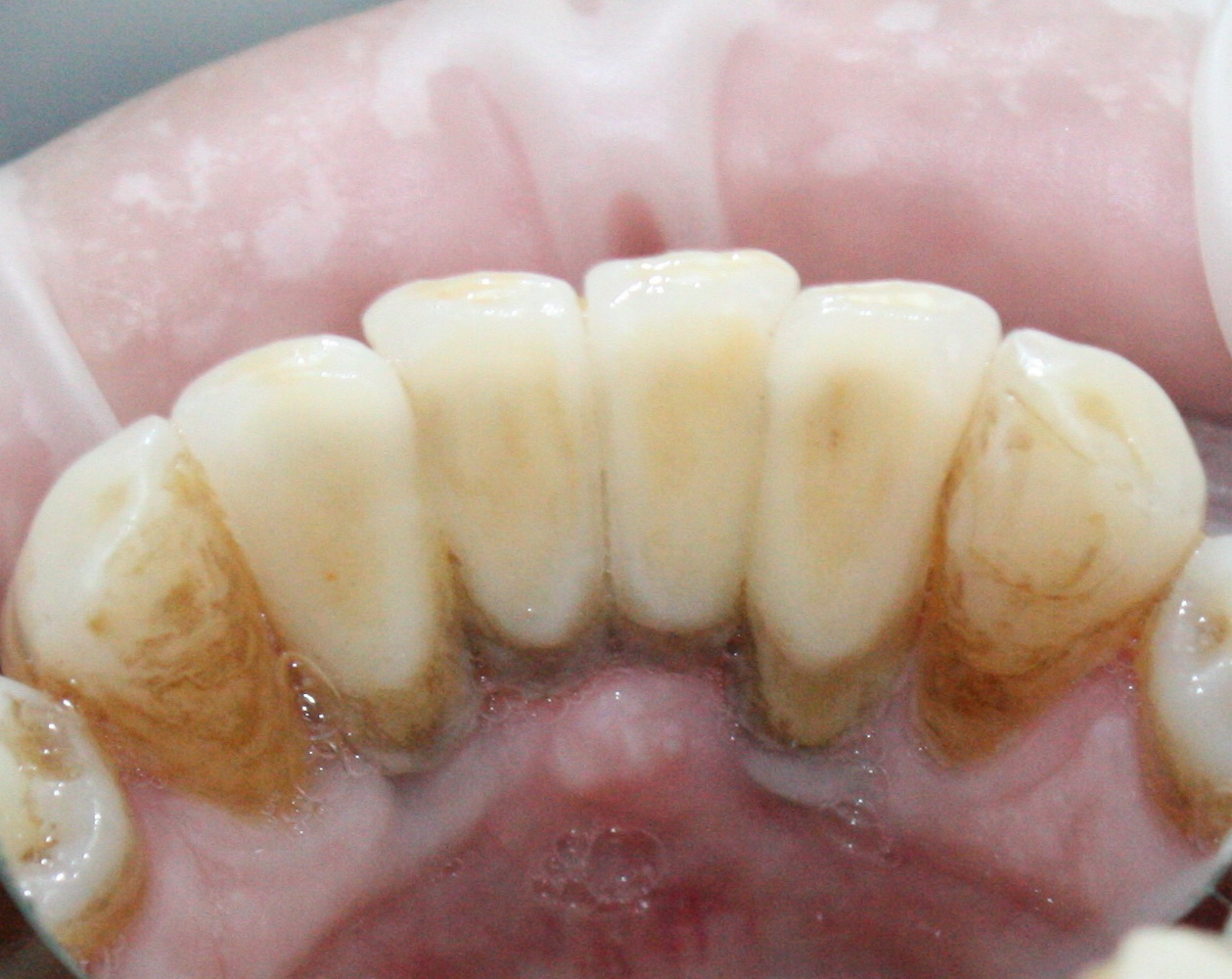
Фото через 2 дня после операции:

16

Темный цвет налета на композитных коронках связан с использованием раствора Хлоргексидина для полоскания рта.

15

Послеоперационный период — комфортный и безболезненный. Швы снимаем прямо из-под протеза на 12 день.

Через 6 недель после имплантации область операции выглядит следующим образом:

17

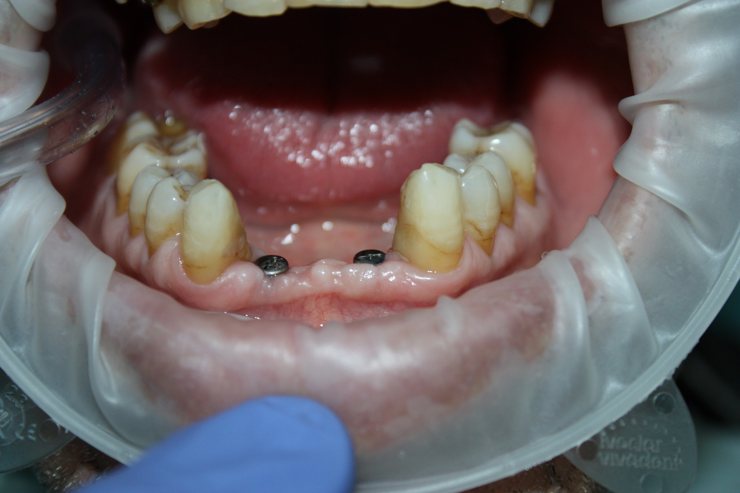
В очередной раз снимаем временный адгезивный протез:

18

На импланты устанавливаем формирователи десны:

19

А через две недели врач-ортопед Макаров Артур изготавливает временные коронки на имплантах.

31г

Для этого он убирает формирователи десны:

31д

Затем на импланты фиксирует трансферы — специальные штуки для точного переноса положения имплантов в гипсовую модель:

31а

Затем, зубной техник в лаборатории изготавливает временный протез с опорой на импланты:

31б

Который будет фиксироваться с помощью винтов:

31в

На этих этапах я остановлюсь подробнее.

Многих пациентов интересует вопрос: «Почему коронки на имплантах стоят чуть ли не в два раза дороже коронок на обычные зубы?» Ответ — в фотографиях выше. Для того, чтобы изготовить коронку на обычный зуб, достаточно подготовить его соответствующим образом: обточить, снять слепки, определить прикус и, после нескольких примерок и подбора цвета, зафиксировать коронку на зуб.

С имплантами дела обстоят иначе. Сначала на импланты фиксируются транферы, затем слепки снимаются таким образом, чтобы эти самые трансферы остались в оттиске. К трансферам фиксируются аналоги имплантов, которые потом остаются в модели, точно повторяя положение имплантов в полости рта. На аналоги имплантов подбираются и индивидуализируются абатменты — и только потом зубной техник приступает к изготовлению коронки по классической схеме: моделирование, литье, примерка, облицовка и т. д.

Так вот, друзья, в большинстве имплантационных систем все эти трансферы, аналоги, винты к ним — одноразовые и не самые дешевые детальки. Поэтому доктора вынуждены включать их в стоимость лечения — именно за счет них формируется разница в цена коронок на обычный зуб и на имплантат.

Другой немаловажный вопрос — необходимость временных коронок. Почему нельзя сразу делать постоянные? Тема очень обширная и больше ортопедическая, поэтому я отвечу, применительно к данному клиническому случаю:

 — пока не закончено ортодонтическое лечение, постоянные коронки делать нельзя. Изменяющееся соотношение зубов может привести к тому, что дорогостоящие постоянные коронки просто не будут соответствовать прикусу. И их, в отличие от временных композитных коронок, очень сложно и крайне нежелательно корректировать.

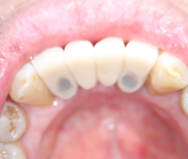
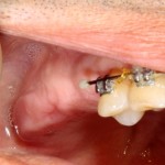
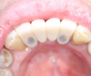
Итак, временные коронки зафиксированы на импланты, которые установили около двух месяцев назад:

 32  33

Шахты винтов закрываются временным светоотверждаемым материалом Click, при необходимости его можно удалить, а сами коронки снять.

И пока пациент привыкает к новым зубам на нижней челюсти, мы, по команде ортодонта, приступаем к имплантации на верхней челюсти.

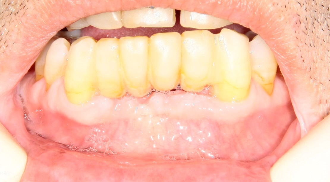
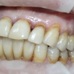
Кстати, с момента начала лечения прошло чуть больше трех месяцев. Вот так выглядит полость рта перед началом лечения:

46

Что пациента совершенно устраивает:

48

Активное перемещение зубов на верхней челюсти закончено,  мы приступаем к имплантации.

Совместно с пациентом мы решили имплантировать каждую сторону по отдельности, с разницей в несколько недель. Начинаем с правой стороны:

20

Поскольку бюджет ограничен, мы решили установить импланты в область пятого и седьмого зубов, затем сделать на них мостовидный протез из трех единиц.
Условия для этого почти идеальные:

21

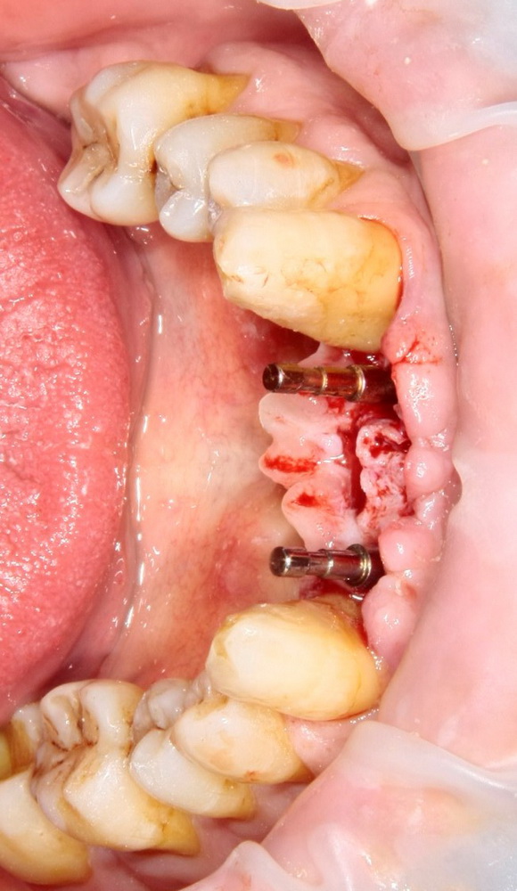
Как и в работе с нижней челюстью, мы делаем разрез по гребню альвеолярного отростка:

22

После чего, с помощью входящих в имплантационный набор аналогов имплантов и аналогов абатментов, подбираем положение импланта пятого зуба:

  23   24

Я планирую установить имплантат Friadent Xive диаметром 4,5 мм, что максимально соответствует размеру зубов пациента. Обратите на положение аналога абатмента по отношению к соседней четверке. Это очень важный момент.

Точно также делаем разметку и готовим лунку под имплантат седьмого зуба. Планируемый диаметр импланта — 5.5 мм:

26   25

Затем подготавливаем лунки и устанавливаем импланты Friadent Xive соответствующего диаметра:

27  28

Убираем имплантодержатели, а сами импланты закрываем заглушками:

29  30

Также обратите внимание, что я не погружаю импланты слишком глубоко — только до края полированной фаски.

На операционную рану накладываются швы:

31

В послеоперационном периоде — антибактериальная и противовоспалительная терапия, витамины, щадящий режим и щадящая диета.

Пока заживает правая сторона, мы приступаем к имплантации на левой части нижней челюсти. Схема имплантации совершенно такая же, поэтому опишу очень кратко:

34

Разрез по гребню альвеолярного отростка:

35

С левой стороны по данным компьютерной томографии — низкое расположение дна гайморовой пазухи. Поэтому, одновременно с установкой имплантов, мы проводим операцию синуслифтинга. Для этого делаем окошко в верхнечелюстную полость:

36

После этого аккуратно отслаиваем слизистую оболочку гайморовой пазухи и создаем субантральное пространство:

37  38

После чего спокойно приступаем к установке имплантов. Сначала устанавливаем имплантат пятого зуба:

39  42

Затем — имплантат седьмого зуба:

40  41

Закрываем импланты заглушками и накладываем швы:

 43  44

Субантральное пространство я заполнил костной стружкой, которая получилась при подготовке лунок под импланты. При небольших объемах можно обойтись без остеопластических материалов.

Вообще, чем меньше мы используем искусственные остеопластические материалы в лечении — тем лучше. Особенно это касается всяких «порошков искусственной кости». Не нужно тупо верить рекламе. Включайте здравый смысл.

Через два с половиной месяца картинка выглядит следующим образом:

45

Брекеты с верхней челюсти уже сняли — ортодонтическое лечение заняло, примерно, 7-8 месяцев. На мой взгляд, достигнут вполне приемлемый результат.

Десна в области нижних резцов приобрела нормальный цвет. Пациент вовсю пользуется новыми зубами, несмотря на то, что коронки временные.

Мы можем приступать к изготовлению постоянных протезов на импланты.

Металлокерамика или оксид циркония? Как и в случае с выбором имплантов, качество, эстетика и функциональность протезов зависят не от материала каркаса, а от того, кто и как их делает. Поэтому выбирайте врача, а не материалы.

В данном случае решено изготовить металлокерамические протезы на индивидуальных абатментах. Зуботехническая лаборатория French Creative, врач-ортопед Макаров Артур.

В принципе, процесс изготовления постоянных протезов не сильно отличается от изготовления временных коронок, которое я показал выше: те же слепки, трансферы, аналоги, модели и примерки.

Вот каркасы будущих металлокерамических протезов:

нижние резцы:

49

боковые группы верхней челюсти, вид сверху:

50

боковые группы, вид сбоку:

51

Большое, очень большое значение для качественного протезирования играет правильный подбор и позиционирование имплантов. Поэтому утверждать, что в протезировании все зависит от ортопеда и зубного техника — не вполне корректно.

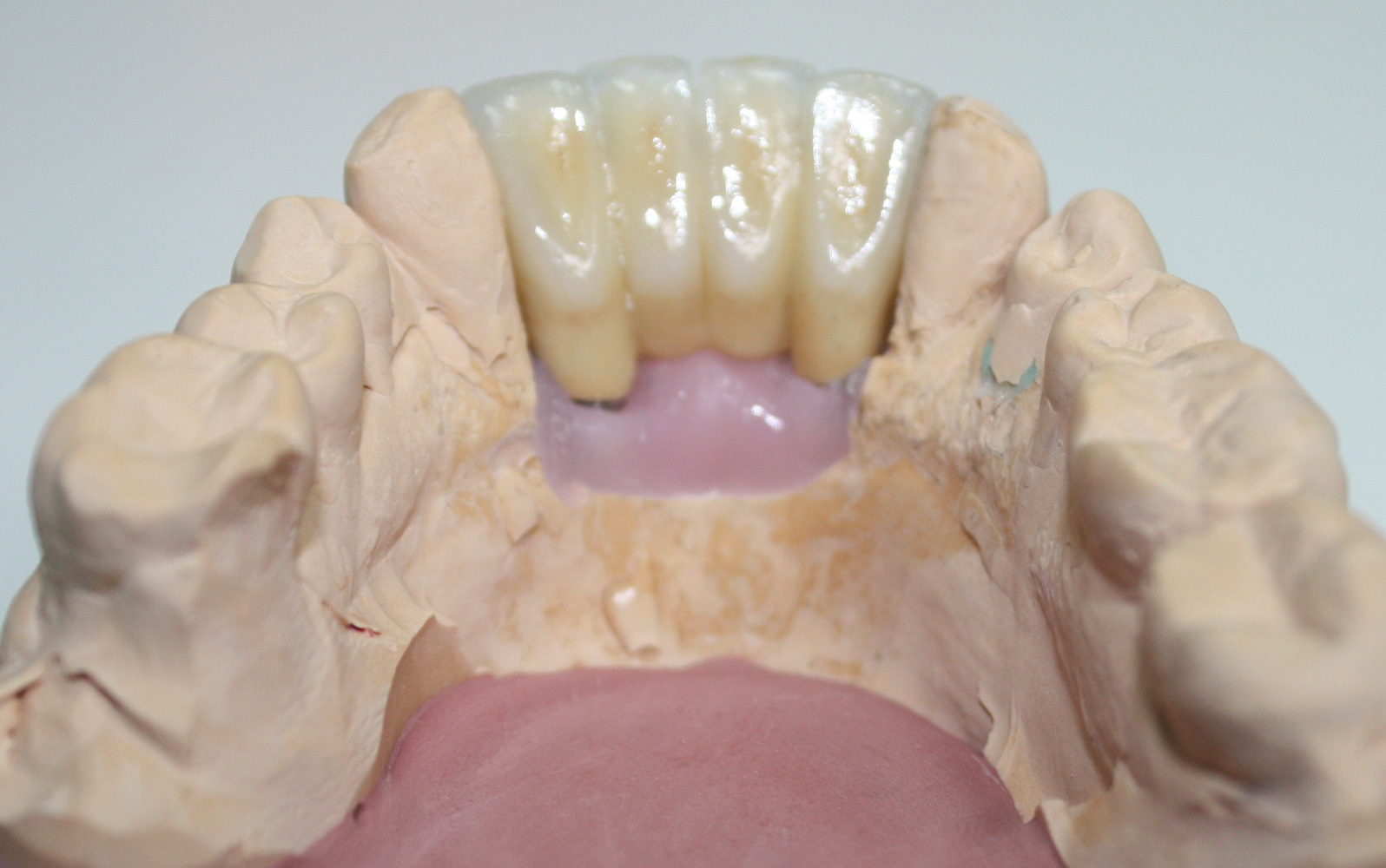
А вот свежеизготовленные протезы перед фиксацией в полости рта:

нижние резцы:

52

вид сверху:

53

Боковые группы верхней челюсти:

54

вид сверху:

55

Да, на первый взгляд, выглядят они не очень. Но не забывайте возраст и состояние собственных зубов пациента. Задача ортопеда — не сделать концептуально-творческую ортопедическую конструкцию, а добиться такой картины, при которой протезы были бы неотличимы от естественных зубов.

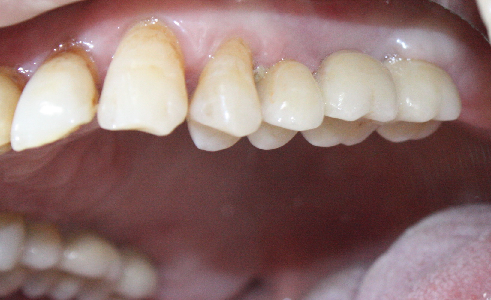
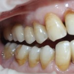
И, на мой взгляд, ортопеду это удалось:

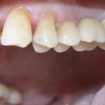
Через 2 месяца после окончательного протезирования.

и еще:

57

Вид на нижние резцы с язычной стороны:

59

Боковые сегменты верхней челюсти:

58

и еще:

61

вид  с жевательной поверхности:

60

На мой взгляд, получилось очень круто. Вернитесь к первой фотографии и посмотрите, с чего мы начали наше лечение.

Ну так… быстро, недорого, качественно? Давайте разберемся.

Быстро? Вряд ли. От начала до конца всё лечение заняло 9 месяцев, что обусловлено, прежде всего, сроком ортодонтического лечения. Если бы его не было, а вся имплантологическая работа проводилась бы за одну операцию, то у нас получилось бы 4-5 месяцев, из которых 1 месяц заняло бы протезирование.

Недорого? Во всех оперируемых сегментах мы работали, практически, в идеальных условиях — лишь слева потребовалась операция синуслифтинга. Также был сделан выбор в пользу металлокерамических протезов (вместо оксида циркония), хотя их изготовлением занималась весьма не дешевая лаборатория и высококвалифицированный ортопед. Плюс ортодонтическое лечение на самой простой брекет-системе. Плюс временные коронки.

Но всё это растянуто по времени, а в финансах были расставлены правильные приоритеты (опыт и квалификация врача важнее используемых материалов) и, как результат, пациент очень доволен.

Качественно? Мне кажется, что желаемый результат достигнут. Пациент тоже так думает. И ортопед. И ортодонт.

Как обычно, жду Ваших вопросов и комментариев. С удовольствием поясню непонятные моменты.

Спасибо за внимание. С уважением, Станислав Васильев.

Комментарии

2 комментария на ««Имплантация: быстро, качественно, недорого. Возможно ли такое?»»

  1. Аватар пользователя TP2
    TP2

    Гениально! Вместо того, чтобы убрать рецессию десны, вы просто тупо сделали длинные коронки да ещё смоделировали оголённые корни зубов. Шедеврально!

    1. Аватар пользователя Станислав Васильев

      Ты где был в 2012 году, умник? В школе учился?

Добавить комментарий